Varón caucásico de 33 años de edad, diagnosticado recientemente de infección por el virus de la inmunodeficiencia humana (VIH) y en tratamiento desde hacía tres meses con terapia antirretroviral de gran actividad (TARGA) con darunavir, ritonavir y tenofovir/emtricitabina. El paciente fue remitido para valoración de una lesión única en la cavidad oral de dos semanas de evolución, asintomática pero que ocasionalmente sangraba y le causaba molestias al ingerir alimentos sólidos.
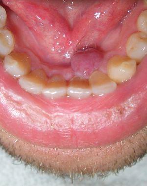
Exploración físicaEn la exploración se apreciaba un nódulo exofítico, sésil, de aspecto carnoso, de 8mm de diámetro y de superficie lisa, localizado en la región interior de la encía inferior (fig. 1). En la valoración general del paciente no se palpaban adenopatías locorregionales ni se detectaron otras lesiones cutáneo-mucosas asociadas.
HistopatologíaSe realizó exéresis de la lesión mediante afeitado y coagulación de la base. El estudio histopatológico mediante tinción de hematoxilina-eosina mostró proliferación difusa dérmica de células fusiformes que disecaban los haces de colágeno, así como la formación de espacios vasculares con contenido hemático (fig. 2). Además se observó protrusión de algunos de los vasos sanguíneos preexistentes sobre los vasos neoformados (fig. 3). El estudio inmunohistoquímico evidenció positividad para el virus del herpes tipo 8 (VHH-8).
¿Cuál es su diagnóstico?
DiagnósticoSarcoma de Kaposi oral.
EvoluciónSe realizó estudio de extensión que descartó afectación visceral. Mediante el afeitado realizado en la primera visita se extirpó completamente la lesión, no requiriéndose otros tratamientos complementarios.
DiscusiónEl sarcoma de Kaposi (SK) es la neoplasia más comúnmente diagnosticada en pacientes con síndrome de la inmunodeficiencia adquirida, representando el 90% de todos los cánceres en este grupo1. La afectación oral es una localización frecuente del SK epidémico. Se estima que un 71% de los pacientes positivos para el VIH con SK cutáneo presenta lesiones en la cavidad oral. En el 22% de los casos la afectación oral puede ser la forma de presentación del SK2. Las manifestaciones clínicas más frecuentes son máculas violáceas, rojo-vinosas, lesiones nodulares y ulceradas localizadas principalmente en el paladar.
Las condiciones favorables creadas por la infección por el VIH incluyen el predominio de las citoquinas Th1 como interferón-gamma, factor de necrosis tumoral-alfa, IL-1 e IL-6, que se sabe son factores promotores del SK.
La introducción de la TARGA promueve la curación de las lesiones de SK y previene la aparición de otras nuevas, principalmente debido a la reducción de la carga viral de VIH y VHH-83,4 y a la disminución de los factores antiangiogénicos y antiinflamatorios. Sin embargo, tras el inicio de la terapia con TARGA estos pacientes también pueden experimentar el síndrome inflamatorio de reconstitución inmune (SIRI), una reacción paradójica, con exacerbaciones de las infecciones oportunistas en el contexto de la recuperación inmunológica5.
El ejemplo que presentamos es el resultado de la combinación de ambos factores: la respuesta inmune a una infección oportunista preexistente por el VHH-8, y el componente inflamatorio del SIRI (reflejado en el rápido crecimiento y la clínica pedunculada).





