Una mujer de 78 años de edad, con antecedente de hipertensión arterial, fue remitida a Dermatología para valoración por un nódulo de más de 10 años de evolución, localizado en el tercio proximal del antebrazo derecho, que no provocaba dolor pero sí discretas molestias con traumatismos y manipulación.
Exploración físicaA la exploración presentaba un pequeño nódulo subcutáneo de unos 7mm, de consistencia dura, bien delimitado, adherido a planos profundos y que parecía movilizarse con la contracción muscular.
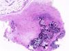
HistopatologíaEl estudio histopatológico (fig. 1) reveló una masa subcutánea constituida por células fibroblásticas de núcleos ovoides con nucléolos prominentes. Además, se apreciaban áreas calcificadas, así como focos de metaplasia condroide.
Otras pruebas complementariasSe realizó en el momento de la consulta una ecografía cutánea (fig. 2) que mostró una lesión ovoide, heterogénea, bien delimitada, con áreas hiperecoicas en su interior, en claro contacto con la musculatura subyacente de la que parecía depender. El estudio doppler no mostró aumento de vascularización ni intra ni perilesional.
¿Cuál es su diagnóstico?
DiagnósticoFibroma calcificante aponeurótico.
Evolución y tratamientoSe realizó exéresis del nódulo y cierre directo del defecto, sin ninguna complicación. La paciente se mantuvo asintomática y sin recidiva.
ComentarioEl fibroma calcificante aponeurótico es una tumoración de carácter benigno descrita por primera vez en 1953. Clásicamente se ha considerado más frecuente en niños o adolescentes. Se ha descrito su aparición en un amplio rango de edad, que llega hasta los 69 años1, habiendo sido mayor en nuestra paciente con 78 años. Suele encontrarse en la parte más distal de las extremidades, aunque se han descrito casos con localizaciones menos frecuentes2.
Clínicamente se manifiesta como una tumoración dura que no depende de la piel subyacente y que sufre un crecimiento lentamente progresivo durante años, siendo completamente asintomático, salvo en aquellos casos en los que puede llegar a producir sintomatología por compresión de estructuras adyacentes3.
El diagnóstico se basa en una combinación de hallazgos clínicos y de pruebas de imagen. Radiológicamente se suele apreciar una masa de tejidos blandos con focos de calcificación irregular en su interior, y ecográficamente se ha descrito un caso4 como una masa lobulada bien delimitada con puntos hiperecoicos en su interior. Además, se han descrito también los hallazgos mediante TAC o mediante RMN1,5. No obstante, aunque las pruebas de imagen pueden orientar, el diagnóstico de certeza provendrá siempre del estudio histopatológico de la pieza, ya sea por biopsia parcial o tras la exéresis completa. Este mostrará una tumoración compuesta por fibroblastos de núcleos redondos u ovoides con tendencia a la infiltración de tejidos periféricos1,2. Además, suele apreciarse una metaplasia condroide junto a focos de clara calcificación. El diagnóstico diferencial dependerá de la localización, pero debe incluir el condroma, la fibromatosis palmoplantar, el pilomatricoma e incluso una fibromatosis agresiva o un sarcoma sinovial.
El tratamiento de elección es la exéresis completa de la lesión. No obstante, se ha descrito una alta probabilidad de recurrencia, ya que muchas veces su carácter infiltrativo impide la exéresis completa.
Conflicto de interesesLos autores declaran no tener ningún conflicto de intereses.




