Un niño de 3 años, sin antecedentes patológicos de interés, es visto en la consulta por una lesión cutánea localizada en la extremidad inferior izquierda. Se trataba de una lesión congénita que había ido creciendo progresivamente, a medida que crecía el niño. El paciente negaba dolor y tampoco refería sudoración local.
Exploración físicaA la exploración física presentaba un nódulo subcutáneo de 2cm de diámetro, de coloración rosada y con hipertricosis, localizado en la zona prepatelar izquierda. El nódulo era firme, de consistencia blanda y móvil (fig. 1).
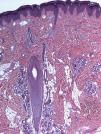
HistopatologíaEl estudio histológico de una biopsia en sacabocados de 4mm obtenida del centro de la lesión mostraba una proliferación de vasos dilatados con paredes finas en la dermis superficial y profunda, íntimamente asociados a un número aumentado de glándulas ecrinas de tamaño y morfología normal, algunos folículos pilosos y tejido adiposo. No se observaban cambios epidérmicos, figuras mitóticas ni atipia citológica (figs. 2 y 3).
Hamartoma angiomatoso ecrino (HAE).
EvoluciónDado que la lesión era asintomática, y de acuerdo con la familia, decidimos no realizar ningún tratamiento.
ComentarioEl HAE es una malformación benigna de origen vascular y ecrino. Se trata de una patología extremadamente rara que puede ser congénita o aparecer en la juventud, apareciendo sólo ocasionalmente en la edad adulta1.
Los pacientes presentan de forma típica una placa, nódulo o mácula, la mayoría de las veces solitaria, aunque puede ser múltiple, con un crecimiento progresivo. La localización más habitual es la zona distal de las extremidades, en particular las piernas. El color puede ser rojo, violáceo, azul, marrón o del color de la piel normal, sugiriendo en ocasiones una lesión vascular1,2. Como se observa en nuestro paciente, la lesión puede ir acompañada de hipertricosis3. En la mayoría de las ocasiones es asintomática, aunque se ha descrito dolor o hiperhidrosis hasta en un tercio de los sujetos2, síntomas que no presentaba nuestro paciente. En algún caso se han descrito formas familiares4.
Los hallazgos histopatológicos incluyen un número aumentado de estructuras ecrinas en la dermis media y baja, adyacente a racimos de vasos dilatados, generalmente de naturaleza capilar. Las estructuras ecrinas están bien diferenciadas, pero pueden estar aumentadas de tamaño. También se ha descrito la presencia de focos grasos en la dermis, folículos pilosos, haces nerviosos hiperplásicos, vasos linfáticos o mucina. Ocasionalmente pueden hallarse cambios epidérmicos que incluyen hiperplasia epidérmica, papilomatosis e hiperqueratosis1–5.
El pronóstico del HAE suele ser benigno y se asocia a un crecimiento proporcional al del paciente. Si la lesión es sintomática la escisión quirúrgica es curativa. Se ha descrito algún caso de involución espontánea6. La presencia de HAE, por el momento, no se ha asociado con ninguna otra patología en concreto.
En nuestro caso el diagnóstico diferencial clínico que nos planteamos incluía todas aquellas lesiones que pueden presentar hipertricosis y crecimiento progresivo. Estos rasgos ya han sido reportados en lesiones como el nevus congénito piloso, el hamartoma de músculo liso, el tumor glómico, el angioma en penachos, el nevus de Becker, el hamartoma fibroso, el nevus del tejido conectivo, el neurofibroma y el meningioma cutáneo1,2,6–8. Algunos de estos diagnósticos podían no ser tenidos en cuenta por sus características clínicas específicas, pero la mayoría se descartó después del estudio histológico de la lesión. El diagnóstico diferencial histopatológico principal es con el nevus ecrino, una lesión caracterizada por glándulas ecrinas hiperplásicas no asociadas a proliferación capilar.
Para resumir, el HAE es un malformación benigna inusual de glándulas ecrinas hiperplásicas y estructuras vasculares, típicamente localizada en la extremidad de un niño. La presencia de un nódulo asintomático, congénito y firme, asociado a hipertricosis y cuyo crecimiento es proporcional al del niño, debería sugerir el diagnóstico de HAE.
Conflicto de interesesLos autores declaran no tener ningún conflicto de intereses.





