El nódulo angiomatoso epitelioide cutáneo es una proliferación vascular poco frecuente de naturaleza benigna y de reciente descripción. Clínicamente es una lesión rojiza, pequeña, papulosa o nodular, habitualmente única, de crecimiento rápido en el tronco o las extremidades de una persona adulta. Histopatológicamente se trata de una proliferación de células de hábito epitelioide y crecimiento predominantemente sólido, bien delimitada, unilobular, localizada en la dermis superficial. Es común encontrar vasos bien conformados salpicando la lesión, así como cierto infiltrado inflamatorio acompañante. Las células muestran amplios citoplasmas rosados, muchas veces con vacuolas, y núcleos vesiculosos con nucléolos prominentes. La morfología de las células es relativamente uniforme y no se encuentran atipias ni pleomorfismo, aunque no son raras las mitosis. Describimos dos nuevos casos de nódulo angiomatoso epitelioide cutáneo, el primero en una mujer embarazada de 28 años y el segundo en un varón de 27 años, ambos con todos los rasgos descritos como propios de esta entidad, pero con la peculiaridad de que presentaban un elevado índice mitósico. Discutimos el diagnóstico diferencial entre el nódulo angiomatoso epitelioide cutáneo y otras proliferaciones vasculares con citología epitelioide
The cutaneous epithelioid angiomatous nodule is an uncommon benign vascular proliferation that has only recently been described. Clinically, it usually presents as a solitary, fast-growing, small reddish papulous or nodular lesion on the trunk or limbs of adults. Histopathologic study reveals a proliferation of epithelioid cells and predominantly solid, well delimited, unilobular growth in the superficial dermis. Well defined vessels are often found permeating the lesion, which also shows a certain degree of inflammatory infiltration. The cells contain abundant pink cytoplasm, often with vacuoles, and vesicular nuclei with prominent nucleoli. The morphology of these cells is relatively uniform, without atypia or pleomorphism, although mitoses are not uncommon.
We report 2 new cases of cutaneous epithelioid angiomatous nodules, the first in a 28-year-old pregnant woman and the second in a 27-year-old man. In both cases, the usual characteristics of this entity were present, but with the peculiarity of a high mitotic index. We discuss the differential diagnosis of cutaneous epithelioid angiomatous nodules with other vascular proliferations that exhibit epithelioid cytology.
El nódulo angiomatoso epitelioide cutáneo (NAEC) es una proliferación vascular benigna, probablemente reactiva, que cursa como una lesión nodular, pequeña, de crecimiento rápido, localizada en el tronco o las extremidades de un paciente adulto1. Histopatológicamente se caracteriza por ser una proliferación sólida y bien delimitada localizada en la dermis superficial y compuesta por células de hábito epitelioide, algunas de citoplasma vacuolado, sin atipia ni pleomorfismo pero con algunas mitosis.
Se trata de una entidad rara, de la que hasta ahora sólo existen 28 casos descritos1-5. Su importancia radica en el hecho de que en ocasiones puede plantearse el diagnóstico diferencial con proliferaciones vasculares epitelioides malignas. Presentamos dos casos de NAEC peculiares por su elevado contenido de mitosis.
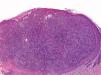
Casos clínicosCaso 1Se trata de una mujer de 28 años, embarazada de 7 meses, sin antecedentes patológicos de interés, que consultó por una lesión nodular de aproximadamente 7mm de diámetro localizada en la región subescapular derecha. La lesión había crecido bruscamente en el último mes y al realizar la exploración se observó que consistía en un nódulo pequeño, rojizo, con áreas negruzcas de aspecto infartado y rodeado de un halo eritematoso (fig. 1). Se realizó una extirpación ajustada de la lesión que mostró una proliferación sólida en la dermis superficial, delimitada por un collarete epidérmico y ulcerada en superficie, recubierta de una costra serosa (fig. 2). Dicha proliferación estaba constituida por células de hábito epitelioide, con núcleos vesiculosos y nucléolo evidente, algunas de ellas con vacuolas intracitoplasmáticas. La proliferación estaba salpicada por numerosas luces tapizadas de endotelio. Las células no mostraban atipias marcadas, pero sí llamó la atención la presencia de abundantes mitosis (fig. 3). El estudio inmunohistoquímico mostró positividad para el Ki-67 hasta en el 40 % de las células, y también fueron positivos el CD31 y el CD34. Sin embargo, las células no se tiñeron con caldesmón, citoqueratinas ni antígeno epitelial de membrana (EMA).
Se trata de un varón de 27 años, sin antecedentes personales de interés, que consultó por una lesión de reciente aparición, localizada en la cara.
En la exploración se observó una pápula de aspecto angiomatoso que fue diagnosticada clínicamente de granuloma piógeno.
Se realizó la extirpación de la lesión y el estudio histológico mostró una lesión circunscrita a la dermis superficial, rodeada por un collarete epidérmico y con una superficie con áreas ulceradas cubiertas por escamo costra (fig. 4). Se observaba una infiltración de células epitelioides, con núcleos vesiculosos y nucléolos prominentes, con abundantes vacuolas intracitoplasmáticas. Entre estas células se podían observar algunos espacios vasculares (fig. 5). El estudio histológico mostró positividad para CD31 en las células epitelioides. Como en el caso anterior era llamativa la abundante presencia de mitosis.
El NAEC fue descrito en 2004 por Brenn y Fletcher1 a partir de una serie de 15 casos. Desde la descripción inicial sólo se han publicado 13 casos más2-5. El NAEC es una proliferación vascular de naturaleza benigna y probablemente reactiva, que aparece como una lesión única, o menos veces múltiple, papulosa o nodular, de crecimiento rápido –habitualmente en meses– que asienta preferentemente en el tronco de una persona adulta. No obstante, se han descrito casos en edades comprendidas entre los 14 y los 79 años (tabla 1). El estudio histopatológico muestra una proliferación sólida, bien delimitada y unilobular que asienta en la dermis superficial, compuesta por células de hábito epitelioide. Estas células son grandes con amplios citoplasmas rosados, núcleos vesiculosos con nucléolo evidente, y presentan con frecuencia vacuolas intracitoplasmáticas como expresión de una diferenciación vascular primitiva. Las células no muestran atipia ni pleomorfismo, pero no son raras las mitosis. Aunque se trata de una proliferación predominantemente sólida, es habitual encontrar luces vasculares salpicando focalmente la lesión. En muchos casos se aprecia un infiltrado inflamatorio acompañante predominantemente linfocitario.
Resumen de las principales características clínicas de los nodulos angiomatosos epitelioides cutáneos publicados hasta la fecha
| Sexo | Edad (años) | Localización | Clínica | |
| Sangüeza et al5 (2008) | VMVVVVVMMV | 57144535425572207439 | TóraxEspaldaRegión retroauricular derechaCeja izquierdaHombro izquierdoMano izquierdaCuelloPecho derechoHemifrente derechaPárpado superior derecho | Múltiples lesionesNevoHemangiomaQuisteAngioleiomiomaReacción a cuerpo extrañoCáncerLesión únicaQuiste epidérmicoLesión vascular inflamada |
| Brenn y Fletcher1 (2004) | VMMVMVMMVMVMVVM | 552728484815557917412937264420 | TóraxEspaldaNalga derechaEspaldaDedo de la manoPlanta del pieFlanco derechoHombro derechoCavidad nasalLumbarAntebrazo derechoNarizTóraxBrazo izquierdoPierna derecha | Nódulo pequeñoNódulo exofíticoNódulo eritematosoDesconocidaNóduloLesión azuladaPápula pruriginosaNóduloPólipo rojizoPólipo rojizo friableNóduloPápula rojizaNódulo azuladoPápulas eritematovioláceasNódulo doloroso |
| Fernández-Flores et al3 (2001) | M | 30 | Pliegue retroauricular derecho | Nódulo azulado |
| Zamecnik2 (2004) | M | 54 | Desconocida | Nódulo |
| Kantrow et al4 (2007) | M | 43 | Espalda | Pápula pruriginosa |
| Nuestros casos | MV | 2827 | Región escapularCara | Nódulo rojizoPápula angiomatosa |
| Total | 15V15M | 14-79 | 13 tronco7 extremidades9 cabeza y cuello1 desconocida |
M: mujer; V: varón.
Misago et al6 han descrito una lesión histológicamente igual al NAEC, pero localizada en el tejido celular subcutáneo. Este caso clínicamente también tenía similitudes con otros casos de NAEC, ya que se trataba de una lesión de crecimiento rápido localizada en el tronco de un varón joven.
No se conoce la causa que provoca la aparición de un NAEC pero su rápido desarrollo, así como su comportamiento benigno, hace suponer que se trata de un proceso reactivo, es decir, hiperplásico más que tumoral. En este sentido, se ha propuesto que se trata de una entidad muy relacionada con la hiperplasia angiolinfoide con eosinofilia (HAE), también llamada hemangioma epitelioide1,2,5. No obstante, en nuestra opinión, existen suficientes criterios clínicos y sobre todo histopatológicos que justifican la consideración del NAEC como una entidad diferente de la HAE, como detallaremos a continuación. En todo caso, el NAEC nos parece una entidad mucho más próxima al granuloma piógeno, pero con un patrón de crecimiento sólido y con frecuentes mitosis.
El diagnóstico diferencial del NAEC debe hacerse con otros tumores y proliferaciones vasculares compuestas por células de hábito epitelioide. Así, podemos diferenciarlo de la HAE apoyándonos en criterios clínicos e histopatológicos. Clínicamente la HAE asienta preferentemente en la cabeza o el cuello y muchas veces se presenta en forma de varias lesiones agrupadas7, mientras que el NAEC parece predominar en el tronco y suele ser una lesión aislada. En cuanto a los hallazgos histopatológicos, la HAE alcanza habitualmente la dermis profunda y la hipodermis, mientras que el NAEC se confina a la dermis superficial. La HAE es típicamente multilobular, al contrario que el NAEC, que es típicamente unilobular. Por otro lado, en la HAE predomina el componente vasoformativo, mientras que el NAEC es esencialmente una proliferación sólida. Por último, hay mayor inflamación, mayor cantidad de eosinófilos acompañantes y el estroma es más abundante en la HAE que en el NAEC.
La angiomatosis bacilar afecta de modo preferente –aunque no exclusivamente– a pacientes inmunodeprimidos, sobre todo a pacientes seropositivos para el virus de la inmunodeficiencia humana (VIH). Hasta ahora el NAEC no se ha relacionado con inmunodepresión ni con otro tipo de patología de base. En la angiomatosis bacilar es habitual encontrar varias lesiones, o incluso lesiones diseminadas, mientras que en el NAEC la mayoría de los casos se presentan como lesiones únicas, como ya hemos comentado. Por otro lado, desde el punto de vista histopatológico, la angiomatosis bacilar es multilobular, muestra típicamente un infiltrado neutrofílico y una especie de grumos de un material purpúrico correspondientes a acumulaciones de bartonelas8. Ninguno de estos 3 rasgos histológicos es propio del NAEC.
En nuestros casos tenía especial importancia el diagnóstico diferencial con el hemangioendotelioma epitelioide y con el angiosarcoma epitelioide, ya que estas dos entidades muestran un comportamiento clínico mucho peor que el del NAEC. El angiosarcoma epitelioide muestra características clínicas más propias de un tumor maligno, de modo que es más grande y peor delimitado que el NAEC. Histológicamente el angiosarcoma epitelioide simula un carcinoma, de manera que infiltra la dermis en profundidad, muchas veces presenta áreas de necrosis salpicadas o en masa y las células epitelioides que lo conforman muestran un grado de atipia y pleomorfismo que no se aprecian en el NAEC9. En algunos casos es de ayuda la inmunohistoquímica puesto que las citoqueratinas son positivas hasta en el 50 % de los angiosarcomas epitelioides, mientras que en el nódulo angiomatoso son negativas.
En cuanto al hemangioendotelioma epitelioide10 –igual que el angiosarcoma epitelioide–, este muestra rasgos clínicos de malignidad, es decir, es una lesión de mayor tamaño y está peor delimitada que el NAEC. Anatomopatológicamente el hemangioendotelioma epitelioide profundiza más que el NAEC, muestra mucho más estroma, que suele ser hialino y no suele contener vasos bien estructurados, que no es raro encontrar focalmente en el NAEC. Las citoqueratinas son positivas hasta en el 25 % de los casos de hemangiomaendotelioma epitelioide.
En conclusión, comunicamos estos casos de NAEC no sólo porque es una entidad poco frecuente, con 28 casos previos publicados, sino porque además se trata de una variedad peculiar de NAEC que hemos denominado proliferativa por su elevado índice mitótico. Pensamos que quizá el estado gestacional de la paciente pudo favorecer el carácter proliferativo y hasta cierto punto «infiltrativo» del primer caso. Consideramos asimismo importante conocer esta variedad de NAEC porque es un auténtico simulador histológico de angiosarcoma.
Conflicto de intereses
Declaramos no tener ningún conflicto de intereses.








