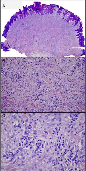
Un niño de 8 años sin antecedentes presentaba una lesión asintomática de crecimiento rápido en la muñeca derecha de 3 meses de evolución. Se trataba de un nódulo firme de 15×8mm de tamaño, de coloración rosada y superficie ligeramente hiperqueratósica (fig. 1). El análisis histopatológico evidenció una tumoración nodular formada por amplios nidos de células epitelioides y fusiformes que se extendían hasta la dermis profunda. No reveló necrosis ni figuras mitóticas estableciéndose el diagnóstico de nevus de Spitz (NS) (fig. 2).
El NS es una proliferación de melanocitos generalmente adquirida, aunque se han descrito casos congénitos1. Suelen manifestarse como pápulas o nódulos, de tacto suave, coloración rosada o pigmentada de forma homogénea. Miden 5-10mm de tamaño y sus bordes son bien definidos. Con frecuencia se localizan en las extremidades inferiores o en la cabeza y en el cuello2.
Los NS de gran tamaño y de aspecto verrucoso son infrecuentes, lo que induce a pensar en otros diagnósticos (verruga vulgar, molusco contagioso, etc.). Ante lesiones de crecimiento progresivo en las que el diagnóstico clínico no sea concluyente es imprescindible el estudio histopatológico.




