INTRODUCCION
Los nevos epidérmicos son lesiones hamartomatosas derivadas del ectodermo embrionario que pueden exhibir una gama diversa de diferenciación hacia queratinocitos y/o estructuras anexiales epidérmicas. Aquellos nevos que se diferencian esencialmente hacia queratinocitos se suelen conocer como nevos epidérmicos verrugosos1. Ciertas características clínicas (picor, apariencia inflamatoria) e histopatológicas (alternancia de paraqueratosis-agranulosis y ortoqueratosis-hipergranulosis) han permitido la individualización del que se conoce como nevo epidérmico verrugoso inflamatorio lineal (NEVIL). El NEVIL, como otros nevos epidérmicos, suele aparecer en edades precoces de la vida (el 75% antes de los 5 años de edad)2; sin embargo, se han descrito formas de aparición tardía3,4.
A continuación describimos la singular evolución clínica de un NEVIL de aparición en la edad adulta.
DESCRIPCION DEL CASO
Un varón de 42 años, con antecedentes personales de asma, hipertensión arterial e hiperuricemia, en tratamiento con amlodipino y alopurinol, consultó porque sobre una alteración cutánea aparecida unos 10 años antes en la extremidad inferior derecha había desarrollado en los últimos 2 años varias áreas tumorales.
La exploración reveló una alteración cutánea que se extendía en un trayecto longitudinal desde la zona externa de la región glútea, por la cara anterior del muslo (fig. 1) y hasta la cara interna de la rodilla y pierna derecha. Esta banda de piel, de unos 10 cm de anchura, aparecía constituida por la íntima agrupación de múltiples elementos lenticulares de aspecto eritematoso y queratósico. En el seno de la previa dermatosis lineal se observó la presencia de varias lesiones tumorales vegetantes, exofíticas, de superficie carnosa mamelonada, con áreas de fácil sangrado y con una exudación maloliente acumulada en las criptas entre las zonas más papilomatosas. Las zonas más vegetantes se localizaban en la cara interna de la rodilla derecha (fig. 2) y en el tercio distal de la superficie pretibial derecha (fig. 3). Alguna de las lesiones vegetantes protruía hasta 3 cm sobre el nivel de la piel circundante (fig. 2).
Fig. 1.--Alteración cutánea longitudinal en el muslo derecho.
Fig. 2.--Tumoración vegetante en la cara interna de la rodilla derecha.
Fig. 3.--Zona hiperplásica en la superficie pretibial derecha.
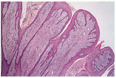
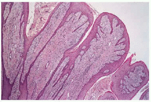
En el estudio histopatológico de las biopsias tomadas de la dermatosis longitudinal zoniforme se encontró una hiperplasia epidérmica por intensa acantosis de predominio interpapilar acompañada en las capas epidérmicas altas de una alternancia de paraqueratosis-agranulosis y ortoqueratosis-hipergranulosis (fig. 4). El examen microscópico de varios fragmentos de las tumoraciones vegetantes reveló únicamente una exageración de los fenómenos de papilomatosis, con alternancia de unas gruesas papilas de estroma edematoso cubiertas por escasas capas epidérmicas y unas profundas criptas epiteliales interpapilares (fig. 5). Se realizó un cultivo de varios fragmentos de biopsia en medios para bacterias, micobacterias y hongos sin obtener ningún crecimiento.
Fig. 4.--Aspecto microscópico de la dermatosis lineal.
Fig. 5.--Aspecto microscópico de la tumoración vegetante en la rodilla derecha.
Con el diagnóstico de nevo epidérmico verrugoso inflamatorio lineal con áreas multifocales de hiperplasia papilomatosa vegetante, y aun en ausencia de malignidad, hemos realizado tratamiento mediante extirpación quirúrgica de las zonas tumorales con el fin de evitar un deterioro funcional en el miembro del paciente.
DISCUSION
Hemos descrito una lesión de distribución segmentaria cuyo trayecto (zona externa de la región glútea, cara anterior del muslo y cara interna de rodilla y pierna) se corresponde con la distribución de las líneas de Blaschko. Este tipo de patrón lineal se ha relacionado, en diversas enfermedades de aparición esporádica, con la presencia en la embriogénesis precoz de dos clones celulares diferentes, probablemente por mutaciones postzigóticas (mosaicismo somático)5.
Se han publicado diversos ejemplos de neoplasias aparecidas sobre nevos epidérmicos: carcinoma epidermoide6-8, carcinoma basocelular9-11, queratoacantoma12, porocarcinoma13, acantoma de células claras14. Recientemente, la evidencia clínica de la aparición de tumores secundarios sobre algunas alteraciones segmentarias se ha explicado mediante el atractivo mecanismo genético de la pérdida de la heterozigosidad. La mutación del alelo normal en células de ciertas dermatosis segmentarias ya heterozigotas (a diferencia del resto de la piel) para un gen supresor de neoplasias daría lugar a una célula homozigótica o hemizigótica para dicho gen15.
Sin embargo, el carácter puramente hiperplásico de los diversos fragmentos extirpados a nuestro paciente nos obliga a considerar las proliferaciones vegetantes aparecidas sobre este NEVIL como lesiones pseudotumorales simuladoras clínicas de neoplasia. Desde un punto de vista clínico, el carácter multifocal y la aparición en el terreno hamartomatoso del NEVIL, desde el punto de vista histológico, el aspecto papilomatoso más que pseudoepiteliomatoso, y desde el punto de vista microbiológico, la repetida ausencia de crecimiento de bacterias patógenas, excluyen el diagnóstico del tipo de procesos pseudotumorales que se han conocido como seudoepiteliomas16,17 o como piodermitis vegetantes18. Existe alguna referencia previa de proliferaciones vegetantes en las áreas flexurales de un nevo epidérmico verrugoso sistematizado19.
En conclusión, hemos descrito un ejemplo de nevo epidérmico verrugoso inflamatorio lineal que en la edad adulta desarrolló proliferaciones vegetantes de carácter puramente hiperplásico.







