INTRODUCCION
Las neurofibromatosis se definen como un grupo heterogéneo de enfermedades que afectan a la piel, al sistema nervioso o ambos. Fueron descritas en 1882 por Von Recklinghausen1 y actualmente están incluidas en las facomatosis o síndromes neurocutáneos.
La neurofibromatosis segmentaria es una rara forma de neurofibromatosis que se caracteriza por la presencia de manchas «café con leche» y/o neurofibromas limitados a un área del cuerpo, sin compromiso sistémico y sin antecedentes personales.
DESCRIPCION DEL CASO
Varón de 33 años, sin antecedentes personales ni familiares de interés, presentaba desde el nacimiento una mancha «café con leche» limitada al dorso y palma de la mano derecha, que se extendía hasta el tercio distal del antebrazo (fig. 1). El paciente consultaba porque en los últimos 10 años había notado un aumento progresivo de tamaño de dicha mano, así como una dificultad para la movilidad de los dedos. En la exploración se apreciaba un importante aumento de tamaño de tejidos blandos tanto del dorso como de la palma de la mano derecha (fig. 2). A la palpación se definían lesiones tumorales multilobulares de consistencia blanda y no dolorosa.
Fig. 1.--Mancha «café con leche» y aumento de tamaño de la mano izquierda.
Fig. 2.--Detalle de las palmas.
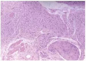
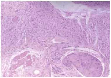
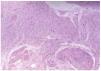
En el estudio histológico de la tumoración de la palma de la mano se observó una proliferación de células fusiformes de pequeño tamaño que ocupaban la dermis de forma difusa. En profundidad se agrupaban con un patrón plexiforme bien definido, intercalándose focalmente entre los adipocitos (fig. 3). En áreas se agrupaban formando estructuras que imitaban a corpúsculos de Meissner (fig. 4). Con la técnica para la proteína S100 se teñían tanto las células fusiformes como los corpúsculos tipo Meissner. Con ello se llegó al diagnóstico histológico de neurofibroma con un patrón difuso en dermis y plexiforme a nivel subcutáneo.
Fig. 3.--Infiltración dérmica de células fusiformes. En profundidad las células se agrupan con un patrón plexiforme. (Hematoxilina-eosina, x20.)
Fig. 4.--Detalle de estructuras que simulan los corpúsculos tipo Meissner. (Hematoxilina-eosina, x80.)
Se realizó al paciente una exploración oftalmológica, donde no se evidenciaron nódulos de Lisch. También se le practicó una exploración neurológica, una tomografía computarizada (TC) craneal, una ecografía abdominal y una radiografía de tórax sin encontrar hallazgos significativos.
La presencia de una mancha «café con leche» asociada a un neurofibroma plexiforme en un área corporal localizada, así como la ausencia de antecedentes familiares y de afectación sistémica, llevó al diagnóstico de neurofibromatosis segmentaria tipo V de Riccardi o neurofibromatosis segmentaria verdadera (subtipo I de Roth).
DISCUSION
La neurofibromatosis localizada en un segmento corporal fue descrita por primera vez por Gammel en 19312 como una forma inusual de neurofibromatosis. Riccardi en 1982 clasificó las neurofibromatosis en ocho tipos. La neurofibromatosis segmentaria, o NF5, fue definida por la presencia localizada de manchas «café con leche», y/o neurofibromas en una o varias áreas circunscritas de la piel, sin antecedentes familiares y sin compromiso sistémico. Los casos publicados posteriormente no se ajustaban totalmente a esta clasificación, por lo que Roth en 1987 subdividió la NF5 en 4 subgrupos, de acuerdo con la unilateralidad o bilateralidad de las lesiones, la presencia o ausencia de historia familiar y la asociación o no de lesiones sistémicas.
La neurofibromatosis segmentaria se presenta con una frecuencia estimada3 en la población general de 0,001. Hasta la fecha se han publicado en la bibliografía poco más de 100 casos de NF54, siendo al menos quince comunicados por autores españoles5-10.
El mecanismo de transmisión de la neurofibromatosis segmentaria no está aclarado, pero parece ser una mutación somática poszigótica precoz de las células primitivas de la cresta neural, afectándose el gen de la NF1, localizado en la región pericentromérica del brazo largo del cromosoma 17. Para que la enfermedad pueda transmitirse se piensa que debe existir un mosaicismo somático acompañado de un mosaicismo gonadal11. Algunos autores defienden que la neurofibromatosis segmentaria es una entidad independiente6 y no como una variante de neurofibromatosis10, por presentar un pronóstico más benigno y porque la presencia de nódulos de Lish y casos familiares son excepcionales (7 %)12. En la revisión realizada por Demerrie y Gerstein13 en 1996 de 98 casos de neurofibromatosis segmentaria, se pone de manifiesto que los neurofibromas son la manifestación cutánea más frecuente, que se observa en el 70 % de los casos. Las manchas «café con leche» se presentan en el 44 % de los casos y las efélides axilares o inguinales en un 20 %, asociadas siempre a manchas «café con leche».
En el plano histológico Megahed14 ha descrito recientemente 10 variantes histopatológicas de neurofibromas: clásico, celular, mixoide, hialinizado, epitelioide, plexiforme, difuso, pigmentado, de células granulares y paciniano. A pesar de ello hay autores que consideran algunas de estas variantes como formas poco definidas o curiosidades morfológicas. En nuestro caso, el neurofibroma se presentaba con un patrón difuso de células fusiformes dérmicas y, sin embargo, a nivel subcutáneo se apreciaba un patrón plexiforme. No consideramos el término «neurofibroma plexiforme» para definir nuestro caso, a pesar de presentar un patrón plexiforme en profundidad porque interpretamos que este término se debe reservar para aquellos neurofibromas que se presentan grandes fascículos nerviosos engrosados entre los septos del tejido celular subcutáneo o raramente en la dermis. Los neurofibromas plexiformes no suelen aparecer antes de los 5 años de edad, y aumentan de tamaño y número durante la pubertad. La transformación maligna de los neurofibromas en la neurofibromatosis segmentaria se ha descrito en muy pocas ocasiones14,15.
La afectación sistémica en la neurofibromatosis segmentaria es rara12. Destaca la presencia de neurofibromas en abdomen16, mediastino y tracto urogenital. Otras alteraciones descritas asociadas son un caso de glioblastoma multiforme17, una agenesia de la arteria renal ipsolateral13 y un caso asociado a carcinoma de colon7. Debido a esta frecuencia de asociaciones es importante realizar a estos pacientes un estudio sistémico, que incluya anamnesis, exploración física, valoración oftalmológica, exploración neurológica (TC craneal y resonancia magnética) y estudio de extensión (radiografía de tórax, ecografía abdominal y mapa óseo), así como un seguimiento multidisciplinario evolutivo del paciente. También se recomienda el consejo genético, principalmente en pacientes con descendencia.
La variedad clínica que presenta la neurofibromatosis, la dificultad para su clasificación, así como el hecho de que actualmente sólo se reconozcan por estudios clínicos y moleculares la NF1 y la NF2, hacen que las demás formas reconocidas por Riccardi, como la neurofibromatosis segmentaria, estén en espera de nuevos estudios para su definición. Quizá sólo se deba plantear como neurofibromatosis segmentaria a la neurofibromatosis subtipo 1 de Roth o neurofibromatosis segmentaria verdadera y considerar los demás tipos de neurofibromatosis segmentaria como variantes de la NF1.






