Una mujer de 70 años, sin antecedentes médicos de interés, consultó por presentar varias pápulas asintomáticas, con un aspecto amarillento en el cuero cabelludo desde hacía 3 meses y sin recordar haber tenido un factor desencadenante. Negaba la existencia de otra sintomatología sistémica asociada. No había otros miembros de la familia con lesiones similares. La paciente no presentaba antecedentes previos de neoplasias y tampoco había padecido ningún cuadro de alopecia ni enfermedades inflamatorias que afectaran el cuero cabelludo.
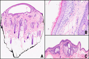
Exploración físicaLa exploración física evidenció la existencia de 8 pápulas ovaladas, bien delimitadas, de coloración amarillenta, superficie lisa, consistencia dura y de un diámetro variable (3-5mm) localizadas en la región occipital del cuero cabelludo (fig. 1A). A la dermatoscopia se apreciaban unas áreas amarillentas sin estructuras, con algunos pequeños vasos ramificados en la superficie y la periferia de algunas de ellas (fig. 1B).
(A) Pápulas ovaladas, bien delimitadas, de coloración amarillenta, superficie lisa y de diámetro variable (4-6mm) en la región occipital del cuero cabelludo. (B) Por dermatoscopia se aprecian áreas amarillentas sin estructuras con algunos pequeños vasos ramificados en superficie y perilesionales.
Se realizó una biopsia en sacabocados de 4mm de una de las lesiones cuyo estudio histológico mostró una cavidad quística en la dermis superficial, sin contenido en su interior (fig. 2A), cuya pared estaba constituida por un epitelio escamoso estratificado formado por unas pocas capas celulares, sin granulosa, y revestido internamente por una cutícula eosinofílica de un contorno ondulado con unas espículas finas dirigidas hacia la luz (fig. 2B). Adyacente a la cavidad quística se encontraban varias glándulas sebáceas (fig. 2C).
(A) Cavidad quística en dermis superficial. Hematoxilina-eosina ×10 (B) A mayor detalle pared de la cavidad constituida por un epitelio escamoso estratificado, sin capa granulosa y revestido internamente por una cutícula eosinofílica de contorno ondulado. Hematoxilina-eosina ×50. (C) Glándulas sebáceas adyacentes a la cavidad quística. Hematoxilina-eosina ×40.
Esteatocistomas múltiples.
TratamientoTras establecerse el diagnóstico se informó a la paciente de las diferentes opciones terapéuticas descritas para esta entidad, entre las cuales destacaban la exéresis o el drenaje quirúrgico, la administración de corticoides intralesionales, el láser CO2, la crioterapia e incluso el uso de retinoides. Finalmente, dado el carácter asintomático de las lesiones y la escasa repercusión estética referida por la paciente, se acordó adoptar una actitud expectante.
EvoluciónEn los controles posteriores realizados a la paciente las lesiones permanecieron estables sin un aumento del número ni tamaño de las mismas, ni la aparición de sintomatología alguna.
ComentarioLos esteatocistomas múltiples son unas malformaciones hamartomatosas del conducto pilosebáceo poco frecuentes, que suelen desarrollarse durante la infancia/adolescencia de forma esporádica o familiar con un patrón de herencia autosómico dominante (se han asociado con la presencia de una mutación en el gen de la queratina 7), en forma de múltiples nódulos y/o quistes de tamaño variable (0,1-3cm) de consistencia elástica, cubiertos por una piel de una coloración normal, y localizados preferentemente en la región superior del tórax, las axilas, las extremidades superiores y el escroto1,2.
Excepcionalmente, los esteatocistomas múltiples pueden presentarse en la edad adulta con unas lesiones localizadas exclusivamente en el cuero cabelludo, adquiriendo unas características peculiares en forma de pápulas amarillentas «seudoxantomatosas» que plantean clínicamente el diagnóstico diferencial con los xantomas eruptivos, los xantogranulomas o los tumores anexiales con diferenciación sebácea3. Las formas localizadas en el cuero cabelludo suelen ser esporádicas, y se observan, como en el caso descrito, en las mujeres de una edad media/avanzada (tabla 1)1–4,8–10.
Principales características de las formas localizadas de esteatocistomas múltiples descritos en la literatura
| Paciente | Edad | Sexo | Antecedentes de interés | Zona afecta | Morfología | Síntomas |
|---|---|---|---|---|---|---|
| González López et al.1 | 75 años | Mujer | Poliquistosis renal autosómica dominante. No lesiones similares en familiares | Retroauricular izquierda y cervical posterior | Múltiples quistes agrupados de tonalidad nacarada, superficie lisa, consistencia firme, de 1-3mm | Asintomáticas |
| Kumakiri et al.2 | 71 años | Mujer | No lesiones similares en familiares | Cuero cabelludo, región temporal y occipital | Más de 120 pápulas y quistes de coloración amarillenta, superficie lisa, de menos de 2mm | Asintomáticas |
| Kim et al.3 | 63 años | Mujer | No lesiones similares en familiares | Cuero cabelludo, región temporal | Múltiples pápulas amarillentas, de superficie lisa y 3-5mm de diámetro | Asintomáticas |
| Lee et al.4 | 50 años | Varón | Se desconocen | Cuero cabelludo (diseminadas) | Múltiples quistes de superficie lisa, color piel, de 2-40mm diámetro, junto con placas alopécicas | Asintomáticas |
| Marley et al.7 | 70 años | Varón | No lesiones similares en familiares | Cuero cabelludo, región central | Cuatro nódulos de superficie lisa, coloración amarillenta, de 13-24mm | Asintomáticas |
| Belinchón et al.8 | 50 años | Mujer | No lesiones similares en familiares | Cuero cabelludo (diseminadas) | Unas cuarenta pápulas amarillentas de 1-4mm de diámetro | Asintomáticas |
| Mortazavi et al.9 | 70 años | Varón | No lesiones similares en familiares | Cuero cabelludo (diseminadas) | Múltiples pápulas de superficie lisa, coloración amarillenta, de 5-11mm de diámetro | Asintomáticas |
| Hansen et al.10 | 71 años | Mujer | No lesiones similares en familiares | Frontal y región central del cuero cabelludo | Múltiples pápulas de superficie lisa y color piel, infracentimétricas | Asintomáticas |
Aunque se conoce su benignidad, es importante establecer un diagnóstico de certeza mediante el estudio histológico, dada su posible asociación con otros síndromes o enfermedades como el síndrome de Leopard o el del nevo basocelular, los tricoblastomas múltiples, el quiste dermoide gigante intracraneal, el hipotiroidismo, la hipotricosis, la paquioniquia congénita o la hidradenitis supurativa5. Dichas asociaciones fueron descartadas en la paciente. Dada la naturaleza benigna de esta entidad y el riesgo de cicatrización aberrante y/o recurrencias, el tratamiento se reserva para aquellas formas sintomáticas, con alternativas tanto quirúrgicas como no quirúrgicas, como las planteadas a la paciente6.
La distribución en forma de lesiones próximas y agrupadas («agminadas») de localización exclusiva en el cuero cabelludo representa una presentación novedosa y atípica de esteatocistomas múltiples.
Conflicto de interesesLos autores declaran no tener ningún conflicto de intereses.






