INTRODUCCIÓN
La mucinosis folicular es una forma de mucinosis cutánea caracterizada por el depósito de mucina en la vaina externa de los folículos pilosebáceos1. En teoría es más frecuente encontrarla como entidad clínico-histológica individual, pero en la práctica la gran mayoría de los casos publicados de mucinosis folicular en adultos están en relación con la micosis fungoide (MF).
La forma habitual de presentación clínica de la mucinosis folicular son las pápulas foliculares con tendencia a confluir en placas, las cuales suelen ocasionar alopecia en áreas de folículos pilosos terminales. De forma genérica, se considera que la mucinosis folicular tiene tres formas clínicas de presentación: a) lesiones en cabeza y cuello, autorresolutivas, en niños y adultos jóvenes; b) lesiones generalizadas, con evolución crónica, en la edad media de la vida, y c) lesiones en diversas localizaciones y asociadas a MF en edades avanzadas2.
Presentamos aquí un caso de mucinosis folicular que no corresponde a ninguno de estos patrones anteriores.
DESCRIPCION DEL CASO
Mujer de 65 años, sin antecedentes de interés, que consultó por presentar una lesión facial asintomática de unos 5 años de evolución. Dicha lesión había sido tratada con diversos corticosteroides y antifúngicos tópicos sin experimentar mejoría. En la exploración se apreció en gran parte de la hemifacies derecha una placa eritemato-edematosa, mal definida, con áreas de descamación y leve infiltración a la palpación (fig. 1). Los diagnósticos clínicos fueron de rosácea localizada, dermatitis seborreica o tinea incognito. Se realizaron analíticas (bioquímica, hemograma, autoanticuerpos) y cultivos (hongos y micobacterias) que fueron negativos.
Fig. 1.--Placa eritematosa, mal definida, con leve descamación superficial en hemifacies derecha.
En dos biopsias previas sólo pudo apreciarse una epidermis psoriasiforme y un inflitrado linfocitario de predominio perifolicular, hallazgos que se consideraron compatibles con rosácea. Se instauraron tratamientos con metronidazol, tópico y oral, y con tetraciclinas orales, sin que se observara ninguna mejoría. En una tercera biopsia se encontaron hallazgos similares, pero con áreas de degeneración mucinosa a nivel de los folículos polisebáceos (figs. 2 y 3). Las tinciones de hierro coloidal y azul Alcián (pH 2,5) confirmaron la presencia de mucina a nivel folicular. El infiltrado seguía siendo foliculotrópico, sin atipias nucleares en los linfocitos ni epidermotropismo. Considerando estos hallazgos histológicos, la ausencia de otras dermatosis, la exclusión de procesos linfoproliferativos sistémicos y la evolución de la lesión se estableció el diagnóstico de mucinosis folicular primaria. La lesión fue tratada con PUVA (psoraleno y luz ultravioleta) con escasa mejoría.
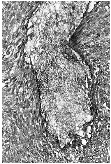
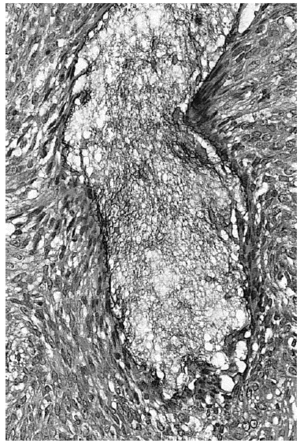
Fig. 2.--Epidermis normal con infiltrados linfocitarios perifoliculares y áreas claras a nivel de los folículos pilosos.
Fig. 3.--Acumulación de mucina en uno de los folículos pilosebáceos. Los linfocitos que infiltran el epitelio folicular no muestran atipia nuclear
DISCUSION
A pesar de su existencia como entidad clínico-histológica individual, la mayoría de los casos de mucinosis folicular de los que tenemos conocimiento aparecen en relación con otras dermatosis concomitantes, sobre todo con la MF. Así, la lectura de la bibliografía nos ha facilitado el conocer múltiples detalles de esta relación y nos ha dificultado el mantener el concepto de mucinosis folicular como entidad individual.
Aunque se desconcoce por qué los queratinocitos foliculares sintetizan elevadas cantidades de mucina, se piensa que son los linfocitos T del infiltrado inflamatorio perifolicular los inductores de esta síntesis, a través de la liberación de diversas citocinas3. Por ello, además de en la MF, la mucinosis folicular se ha descrito en procesos linfoproliferativos sistémicos como leucemias, enfermedad de Hodgkin y macroglobulinemia de Wäldenstrom4, 5, y en muy diversas afecciones cutáneas con infiltrados inflamatorios linfocitarios (tabla 1).
Debido a estas múltiples asociaciones parece lógico considerar la mucinosis folicular como un patrón reactivo del epitelio folicular, el cual puede presentarse de forma aislada o en una gran variedad de dermatosis6. Por ello, ante un caso cuyo único hallazgo histológico es la presencia de degeneración mucinosa folicular resulta obligado descartar, en primer lugar, la coexistencia de otras enfermedades cutáneas y, en segundo, la presencia de hemopatías. Cuando no se encuentra podemos hablar de mucinosis folicular primaria, aunque siempre con la sospecha mantenida de si no será un epifenómeno preliminar de otra dermatosis y/o hemopatía subyacente.
Resultaría incompleto hablar de mucinosis folicular sin hacer explícita una pregunta que se encuentra en la mente de todos los dermatólogos: ¿cómo podemos saber si una mucinosis folicular va a evolucionar a MF? Clínicamente no podemos guiarnos por nin-gún hallazgo, aunque existan descripciones al respecto en la bibliografía (edad, localización, quistes miliares, etc.). La monoclonalidad de los linfocitos, considerada en el pasado definitoria a este respecto, no puede evaluarse como un hallazgo concluyente, puesto que existen poblaciones clonales en dermatosis benignas. De hecho, existen casos descritos de mucinosis foliculares primarias clonales sin evolución a MF tras más de 2 años de evolución7. Así, parece que sólo nos queda el estudio cuidadoso del infiltrado linfocitario en diversas biopsias espaciadas en el tiempo para detectar la presencia de atipia nuclear, epidermotropismo u otros datos histológicos de MF.
En general se estima que un 20% de las mucinosis foliculares acabarían desarrollando una MF, pero dada la gran disparidad de datos existente en la bibliografía y la irregular metodología de estos trabajos, esta cifra no deja de ser meramente orientativa. Además, conviene recordar que la mucinosis folicular puede preceder, simultanear o aparecer con posterioridad a la MF, lo cual dificulta aún más diseñar estudios adecuados sobre esta relación. Tampoco es posible precisar qué tiempo medio transcurriría desde la aparición de la mucinosis folicular a la MF, período que algunos autores han estipulado en 5 años2, aunque en trabajos realizados en nuestro país se recogen claras excepciones a esta cifra8.
Un problema que plantea la mucinosis folicular en la práctica dermatológica diaria es la dificultad en el diagnóstico clínico, sobre todo ahora que sabemos que con frecuencia no se presenta con los hallazgos clásicos descritos por Pinkus: pápulas foliculares que confluyen en placas y crean áreas de alopecia9. Lejos de ello existen ya varios casos descritos de mucinosis folicular con muy diversa morfología clínica: placas eritematosas, eccematosas, edematosas, urticariformes, acneiformes, nodulares, con infiltración cutánea difusa, etc10-13. Algunas de estas descripciones corresponden a casos asociados con MF, donde podrían solaparse las manifestaciones clínicas de ambas entidades13, pero otras son casos de mucinosis folicular primaria10-12. De estos estudios cabe destacar el realizado por Sanmartín et al13, en el cual los autores avalan, con la recopilación de varios casos, algunas de estas nuevas formas clínicas de mucinosis folicular idiopáticas: acneiforme, urticariana en placas y eccematosa.
En resumen, el caso que aquí presentamos nos parece relevante por dos motivos. El primero, porque nos permite recordar que la mucinosis folicular en pacientes adultos puede ser un diagnóstico per se, no siempre ligado a la coexistencia de otras dermatosis (MF). El segundo, porque nos aporta una evidencia más de la diversa expresividad clínica de la mucinosis folicular, en este caso una única placa en región facial de evolución crónica.






