Sr. Director:
El histiocitoma fibroso maligno (HFM) constituye uno de los sarcomas de partes blandas más frecuentes en la edad anciana1,2 y agrupa una serie de variantes histológicas, como la pleomórfica (60 %), mixoide (25 %), angiomatoide, de células gigantes e inflamatorio1–3. Para algunos autores el mixofibrosarcoma (MFS) constituye la variante mixoide del HFM4, mientras que otros autores5 defienden que se trata de una entidad independiente.
El MFS se manifiesta típicamente como una masa nodular, blanda e indolora, en el tejido celular subcutáneo de miembros inferiores (80 %)2 en una persona de edad avanzada. Se han descrito otras formas clínicas como infiltración difusa, múltiples nódulos o pápulas2, e incluso un caso en que simulaba una mucinosis papulosa6. La masa tumoral se origina en el tejido celular subcutáneo, con frecuente extensión a planos profundos (90 %)3; la extensión hacia planos suprayacentes (dermis) es infrecuente con menos de 10 casos referidos en la literatura2,3,6. Se han descrito una serie de grados histológicos7 considerando de alto grado formas con escasa matriz mixoide, así como mayor celularidad, pleomorfismo y número de mitosis. En general las formas de más bajo grado presentan abundante matriz mixoide en estratos superficiales3, lo que obliga a biopsias incisionales profundas para alcanzar estratos con celularidad atípica y poder realizar un diagnóstico correcto2. Se plantea el diagnóstico diferencial histológico con la dermatitis de estasis, el angiomixoma cutáneo superficial, la mucinosis y en general con procesos que cursan con agregado de mucina.
El tratamiento de elección del MFS consiste en una extirpación amplia, mientras que la radioterapia sólo se ha mostrado útil para reducir el riesgo de recidiva local8. Este tumor presenta una supervivencia en formas menos agresivas cercana al 85 % a los 5 años6. Presentamos el caso de un varón de 90 años de edad con antecedentes de insuficiencia venosa crónica y trombocitemia esencial en tratamiento con hidroxiurea. Refería una historia de un año de evolución consistente en tumefacción de la pierna izquierda variable a lo largo del día, que posteriormente se había hecho persistente, con progresión céfalo-caudal. De forma gradual sobre esta zona empastada había desarrollado lesiones de contenido traslúcido y apariencia pseudoampollar, junto con dolor local.
A la exploración llamaba la atención la presencia de cordones varicosos y placas de acroangiodermatitis, que apoyaban el diagnóstico previo de insuficiencia venosa crónica, también se observaba un empastamiento asimétrico localizado en la pierna izquierda (fig. 1). En la cara medial de dicha pierna se intuía el agregado de pápulas traslúcidas (fig. 2) de consistencia gelatinosa al corte.
Fueron solicitadas analíticas básicas incluyendo hemograma, bioquímica, perfil férrico y antígeno prostático específico (PSA); se objetivó solamente macrocitosis (volumen corpuscular medio [VCM] 107,9 fL) y trombocitosis (571.000 cl/mm3) atribuible a la trombocitosis esencial y el tratamiento. Una eco-doppler descartó obstrucción del árbol venoso, y en una resonancia magnética se observó infiltración difusa del tejido celular subcutáneo compatible con lesión infiltrante.
En una primera biopsia se constató la separación de los haces colágenos y la dilatación de plexos vasculares superficiales y profundos, siendo diagnosticado de linfedema crónico localizado.
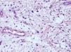
Ante la discordancia clínico-histológica se tomó una segunda biopsia, en ella se observó el agregado masivo de una matriz tenuemente basófila, que inducía una sobreelevación de epidermis-dermis para configurar las pápulas traslúcidas que se observaban a la exploración. La matriz mixoide se depositaba desde el subcutis hasta prácticamente la dermis papilar. Se podían observar asimismo (fig. 3) células de aspecto pleomórfico y figuras de mitosis, que aumentaban en número en planos profundos, así como un agregado de mucina intracitoplasmática. Un panel inmunohistoquímico mostró positividad para vimentina-CD34.
Con estos datos fue diagnosticado de MFS de grado intermedio con extensión a dermis. En el estudio de extensión (tomografía axial computarizada toracoabdominopélvica) no se objetivaron metástasis adenopáticas ni en órganos sólidos, siendo estadiado como enfermedad localizada.
Dada la edad del paciente y la extensión de la afectación se administró radioterapia local, hasta un total de 3.000 cGy en 10 fracciones, con buena tolerancia y respuesta parcial aparente tras las primeras sesiones, desapareciendo las lesiones pseudoampollares y reduciéndose la infiltración. Dicho beneficio fue sólo transitorio (tres meses) y ante la posterior progresión se realizó una amputación supracondílea, sin existir indicios de enfermedad en una reevaluación realizada 6 meses tras la cirugía.
Presentamos un caso de mixofibrosarcoma con una peculiar presentación clínica, en forma de agregado de pápulas traslúcidas de contenido mucinoso, que simulaba clínicamente una enfermedad ampollar; aunque también se planteó la posibilidad de una enfermedad por depósito o una neoplasia linfática. No hemos encontrado en la literatura casos descritos con una presentación similar. Otra peculiaridad del presente caso es la afectación dérmica extensa al inicio, hecho éste relativamente infrecuente2,3,6. En esta entidad son habituales, como en nuestro caso, los errores en el diagnóstico histológico inicial. Ello obliga a un mayor nivel de sospecha y a la realización de biopsias incisionales profundas para descartar este tumor2 y realizar el diagnóstico diferencial con otras entidades que cursan con agregado de mucina, o con patrones histológicos próximos (linfedema crónico-dermatitis de estasis).





