Los tumores con diferenciación mioepitelial incluyen el tumor mixto, el mioepitelioma y el carcinoma mioepitelial. Suelen afectar a las glándulas salivales, aunque pueden localizarse también en el área nasosinusal, laringe, pulmón y piel. Las neoplasias cutáneas con diferenciación mioepitelial incluyen el siringoma condroide (tumor mixto), el mioepitelioma cutáneo, el siringoma condroide maligno y el carcinoma mioepitelial1-3. En los últimos años se ha descrito la variante sincitial del mioepitelioma cutáneo4.
Un varón de 33 años, sin antecedentes personales de interés, consultó por una pápula de 0,2cm de diámetro de 2 años de evolución situada en el flanco derecho, ligeramente eritematosa y dolorosa. No asociaba signos de sangrado ni crecimiento. Se planteó el diagnóstico clínico de angioleiomioma y angiolipoma y se realizó biopsia escisional de la lesión.
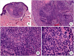
Histológicamente se observó una lesión sobreelevada, sésil, debido a la presencia de una neoformación nodular, sólida, bien circunscrita, de contornos lobulados, situada en el tercio superficial de la dermis reticular (fig. 1A). Estaba constituida por células fusiformes y epitelioides, de núcleo oval o redondeado, sin atipia significativa, citoplasma en cantidad variable, de límites mal definidos y sin prácticamente componente intersticial (figs. 1B-D). Se apreció un máximo de 4 figuras mitóticas por 10 campos a 40×. No se observó necrosis tumoral.
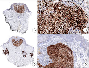
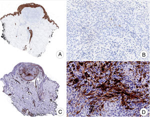
La población tumoral mostró inmunotinción difusa y generalizada para S-100 y EMA (fig. 2), siendo focal para actina muscular lisa (figs. 3C,D) y caldesmón. No se observó inmunotinción para citoqueratinas AE1-AE3 (figs. 3A,B), melan-A, desmina, proteína gliofibrilar ácida, p63, ni claudina-1.
Se estudió mediante RT-PCR y secuenciación de los reordenamientos EWSR1 (EWSR1-POUF5F1, EWSR1-ZNF444 y EWSR1-PBX1)5 con resultado negativo.
El mioepitelioma sincitial es un tumor raro, presentándose clínicamente como una pápula o nódulo en extremidades de varones de mediana edad. Histológicamente se caracteriza por ser un tumor sólido de células fusiformes o histocitoides de citoplasma eosinófilo pálido y núcleo vesicular, con estroma escaso5,6.
Habitualmente no presenta mitosis, necrosis e invasión linfovascular, pero excepcionalmente se han descrito hasta 4 figuras mitóticas por 10 campos a 40×7. Los criterios diagnósticos del carcinoma mioepitelial cutáneo no están bien establecidos, pero los tumores con atipia citológica marcada, un alto índice mitótico y necrosis muestran un comportamiento más agresivo, con incremento de la probabilidad de recidiva y metástasis a distancia5,7-9.
El 50% de los mioepiteliomas sincitiales cutáneos presentan un reordenamiento del gen EWSR14,5,7.
Los tumores mioepiteliales suelen expresar citoqueratinas y la proteína S100. No obstante, el mioepitelioma sincitial presenta inmunotinción para EMA y proteína S100, y la mayoría son negativos para citoqueratinas5.
El diagnóstico diferencial incluye el histiocitioma fibroso benigno epitelioide, el xantogranuloma juvenil, lesiones melanocíticas y el sarcoma epitelioide5,9.
El histiocitioma fibroso benigno epitelioide se presenta como un nódulo dérmico de células epitelioides, con presencia frecuente de binucleación, positivas para EMA, en el seno de un estroma fibrovascular. No obstante, esta lesión no presenta una arquitectura sincitial ni la inmunotinción para la proteína S100, ni para PAGF y p63, como ocurre con el mioepitelioma sincitial4,7,9.
En su fase precoz, el xantogranuloma juvenil se presenta como una lesión exofítica de histiocitos eosinófilos que no suele presentar células lipidizadas mononucleadas o multinucleadas (células de Touton)9. No obstante, suele afectar a niños, muestra inmunotinción para CD163, CD68 y negatividad para EMA y la proteína S1004.
El mioepitelioma sincitial cutáneo se constituye por una combinación de células epitelioides, histocitoides y fusiformes. En la histología del nevus de Spitz se objetivan nidos de células melanocíticas con frecuente maduración descendente y sin patrón arquitectural sincitial. Ambas neoplasias son positivas para S100, pero la positividad para Melan A, HMB-45 y MiTF, así como la negatividad para EMA y PAGF, favorece el diagnóstico de nevus de Spitz4,5,7,9.
El sarcoma epitelioide suele presentar una combinación de células epitelioides y fusiformes con atipia celular y crecimiento infiltrativo con frecuentes nódulos satélites. No obstante, en algunos casos se presenta con un patrón con atipia leve. Ambas lesiones son positivas para EMA, pero el sarcoma epitelioide es positivo para citoqueratinas y CD34, es negativo para los marcadores mioepiteliales como la proteína S100 y GFAP, y presenta frecuentemente pérdida de inmunotinción para INI-15,7,9.
El diagnóstico diferencial de una lesión tumoral cutánea dolorosa incluye angiolipomas, neuromas, tumor glómico, schwannoma, leiomioma, espiradenoma ecrino y dermatofibroma10.
El tratamiento de los mioepiteliomas cutáneos sincitiales se basa en la exéresis amplia. Nuestro paciente presentó buena evolución sin evidencia de recurrencia local ni metástasis en los controles posteriores, en consonancia con lo descrito en la literatura4,9.
Como conclusión, presentamos un caso de un mioepitelioma sincitial cutáneo doloroso. Es un tumor dérmico benigno muy raro. Su clínica es inespecífica, y para su diagnóstico es fundamental la realización de un examen histopatológico y un panel inmunohistoquímico completo para diferenciarlo de otras lesiones asociadas a un peor pronóstico. La presencia del reordenamiento del gen EWSR1 puede ayudar al diagnóstico. El tratamiento se basa en la exéresis amplia de la lesión, con un pronóstico excelente.
Conflicto de interesesLos autores declaran no tener ningún conflicto de intereses.





