INTRODUCCION
El milio coloide es un proceso dermatológico de causa no bien conocida. Existen dos formas clínicas bien diferenciadas: una juvenil, que generalmente se hereda con carácter autosómico dominante, comienza antes de la pubertad y se localiza en la cara y otra forma del adulto, que ha sido relacionada fundamentalmente con la exposición solar crónica 1. Presentamos 2 casos de milio coloide del adulto.
CASOS CLINICOS
Caso 1
Un varón de 48 años, sin antecedentes personales ni familiares de interés, agricultor de profesión, consultó por presentar desde hace aproximadamente 4 años, unas lesiones cutáneas asintomáticas en las mejillas y en el dorso de las manos. La exploración física puso de manifiesto múltiples pápulas amarillentas, translúcidas, que conformaban placas de consistencia dura, localizadas en el dorso de ambas manos (fig. 1) y en las mejillas. No se apreciaron lesiones en el resto del tegumento. Se realizó biopsia cutánea del dorso de la mano, y se evidenció en la dermis papilar un material eosinofílico fisurado, bien delimitado y rodeado por bandas de colágeno.
Fig. 1.--Pápulas agrupadas en el dorso de las manos.
Con los hallazgos clínicos e histológicos, establecimos el diagnóstico de milio coloide del adulto y comenzamos tratamiento con cremas fotoprotectoras y crema de tretinoína tópica al 0,025 %; mejoró discretamente a los 4 meses de tratamiento.
Caso 2
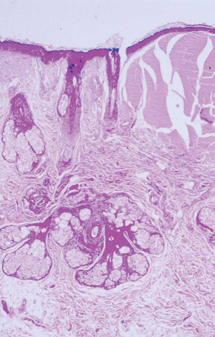
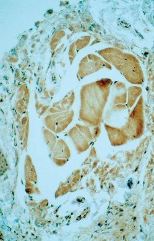
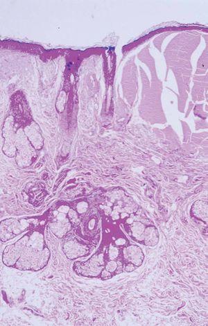
Un varón de 42 años, sin antecedentes personales ni familiares de interés clínico, de profesión guarda forestal; consultó por haber apreciado desde hacía varios años (no precisaba con exactitud), unas lesiones cutáneas en la cara, sin sintomatología acompañante. En la exploración física se apreciaban múltiples pápulas amarillo-anaranjadas, translúcidas, semiduras a la palpación, que se situaban en ambas regiones malares y en el dorso nasal (fig. 2). Se practicó biopsia cutánea en la mejilla, que mostró una acumulación de grandes masas de un material homogéneo eosinofílico, fisurado, en la dermis superficial y cubierto por un epitelio levemente atrófico (fig. 3). A mayor aumento se observaron estas grandes masas de material eosinofílico fisuradas, marginadas por un collarete acantótico epidérmico y con una estrecha zona grenz subepidérmica suprayacente a estos depósitos. También se observaron restos nucleares y celulares en el interior del material coloide (fig. 4). La tinción para la proteína P amiloide (anti-SAP) fue positiva para estas acumulaciones (fig. 5), lo que sugiere, por tanto, el origen elástico de estas masas. Realizamos con estos datos el diagnóstico de milio coloide del adulto y se aconsejaron únicamente medidas fotoprotectoras.
Fig. 2.--Múltiples pápulas amarillentas en área malar.
Fig. 3.--Acumulación de material eosinofílico, fisurado, bien delimitado, en dermis papilar. Epidermis atrófica con leve hiperqueratosis ortoqueratósica. (Hematoxilina-eosina, x100.)
Fig. 4.--Masa eosinofílica fisurada, rodeada por un collarete acantótico y restos celulares en su interior. Delgada banda grenz que separa la zona de la membrana basal del depósito coloide. (Hematoxilina-eosina, x200.)
Fig. 5.--Tinción positiva del material coloide con SAP (sustancia P amiloide).
DISCUSION
Presentamos dos nuevos casos de milio coloide del adulto, que es un proceso dermatológico bastante infrecuente, cuya verdadera incidencia probablemente esté infravalorada. Se han descrito dos formas clínicas bien definidas: una forma juvenil, que puede ser familiar y cuya herencia genética se cree que puede ser autosómica dominante. La afectación es de predominio facial y tiende a desaparecer en la edad adulta 2. Recientemente, se ha descrito un caso de milio coloide juvenil asociado a conjuntivitis lígnea 3 (engrosamiento membranoso tarsal por infiltrado hialino submucoso) y a depósitos gingivales de material eosinofílico tipo amiloide 4. Otra forma es la del adulto, no familiar, con afectación de las zonas fotoexpuestas: la cara (se han descrito casos aislados en los párpados 5), el cuello, los pabellones auriculares, el dorso de las manos y formas unilaterales en brazos 6. Esta forma aparece con mayor frecuencia en varones, con una relación 4:1 y está relacionada con la exposición solar crónica, radiaciones ultravioletas A 7, los efectos fotodinámicos de los compuestos fenólicos del gasóleo, la aplicación de cremas con hidroquinona 8, etc.
El estudio histológico revela la acumulación de un material coloide en la dermis superficial, eosinofílico y fisurado. Este material no se tiñe con tinciones para fibras elásticas o colágeno, rojo Congo, azul de toluidina o tinciones para mucopolisacáridos ácidos sulfatados. Se ha discutido mucho sobre el origen de esta sustancia. En relación con el milio coloide del adulto, Hashimoto y Black 9, mediante estudios inmunohistoquímicos con SAP, observaron que el origen del coloide estaba en un proceso de degeneración actínica de las fibras elásticas en tres fases diferentes hasta llegar a este material gránulo-fibrilar. La SAP es una glucoproteína normal plasmática, que está presente en las microfibrillas de las fibras elásticas y en todos los tipos de amiloidosis cutáneas. Camacho et al 10 señalan que la mayoría del material coloide es producido por los fibroblastos actínicamente transformados o por cualquier otra célula que proceda de las células mesenquimatosas primitivas, como son las células endoteliales. En relación con la forma juvenil, parece que derivaría de la degeneración de los queratinocitos, pues se han detectado células apoptóticas que se parecen a las células dañadas por el sol 11. En su tratamiento se han empleado diversas técnicas y fármacos como dermoabrasión, curetaje y electrocoagulación, crioterapia, láser de erbio, ácido retinoico, etc., con resultados desiguales 12. Nuestros 2 casos no presentaron mejoría tras aplicación de tretinoína tópica, por lo que adoptamos una actitud terapéutica conservadora.
Queremos destacar las escasas referencias bibliográficas sobre el milio coloide del adulto, aunque pensamos que es una patología infravalorada o infradiagnosticada, especialmente en nuestro país, con elevada actividad laboral al aire libre y con una tasa alta de radiación solar durante todo el año. Debemos sospecharlo ante cualquier lesión de aspecto pseudovesiculoso que asiente sobre áreas fotoexpuestas en varones de edad adulta con daño solar crónico. Se debe plantear diagnóstico diferencial fundamentalmente con hidrocistoma ecrino y liquen amiloideo, procesos fácilmente demostrables por estudio histológico.







