INTRODUCCIÓN
La micosis fungoide (MF) es el tipo de linfoma cutáneo de células T más común, caracterizado clínicamente por un curso indolente que afecta inicialmente a la piel, en forma de máculas, placas y tumores. Histológicamente presenta una infiltración de la epidermis por células T atípicas de mediano a gran tamaño con núcleos cerebriformes. Se han identificado múltiples tipos de MF (granulomatosa, hiperqueratósica, hipopigmetada, etc.), con distintas presentaciones clínicas e histopatológicas1-4.
La MF folicular (MFF) es un tipo de MF descrita recientemente, caracterizada porque los linfocitos neoplásicos se localizan en el epitelio de los folículos pilosos (foliculotropismo)5, generalmente sin evidencia de afectación epidérmica (epidermotropismo); puede existir mucinosis folicular asociada2, 6-7. Existen pocos casos descritos de MFF8, 9, siendo excepcional la existencia de afectación ganglionar específica2, 10-11, sobre todo en presencia de una afectación cutánea escasa.
Presentamos un paciente con MFF de larga evolución, con leve expresión en piel y con afectación ganglionar asociada (MF estadio IV A).
CASO CLÍNICO
Se trata de un hombre de 33 años, ex adicto a drogas por vía parenteral en tratamiento con metadona, no infectado por el virus de la inmunodeficiencia humana (VIH), infectado por el virus de la hepatitis C (VHC), que fue atendido en nuestra consulta por unas lesiones cutáneas pruriginosas de 10 años de evolución en antebrazo izquierdo y en muslo derecho, junto a una tumoración en ingle derecha de crecimiento progresivo y asintomática. El paciente refería astenia, anorexia y adelgazamiento en los últimos meses.
A la exploración física presentaba dos placas alopécicas de aproximadamente 12 cm en cara anterior de muslo derecho y 8 cm en antebrazo izquierdo (fig. 1), con hiperqueratosis folicular y leve eritema en superficie. En la ingle derecha se observó una masa de gran tamaño, de consistencia aumentada e infiltrada a la palpación. También se objetivaron múltiples pápulas costrosas en ambos miembros inferiores (MMII) y algunas aisladas en tronco, que sugerían lesiones de tipo prúrigo.
Fig. 1.--Placa alopécica con hiperqueratosis folicular en muslo derecho, junto a gran adenopatía inguinal.
Una biopsia tomada de una de las placas de alopecia mostraba en dermis reticular un denso infiltrado linfoide atípico con células cerebriformes dispuestas exclusivamente alrededor de folículos pilosos, con permeación folicular (figs. 2, 3 y 4). En estas estructuras se advertían pequeños microabscesos, así como células atípicas aisladas con halos perinucleares. No existía mucinosis folicular y la epidermis suprayacente no mostraba epidermotropismo. El estudio inmunohistoquímico fue intensamente positivo para CD3, CD43 y negativo para CD79 alfa y CD20. Una biopsia de la adenopatía inguinal demostró infiltración ganglionar específica por linfoma cutáneo.
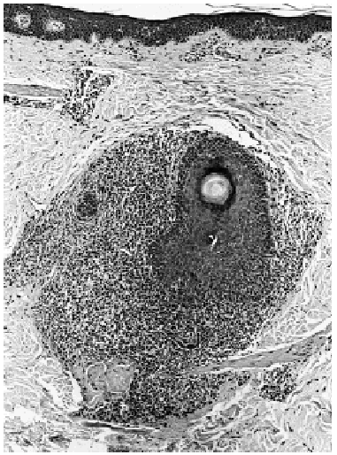
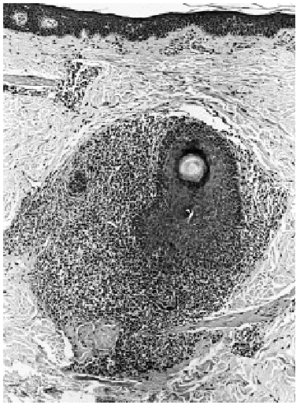
Fig. 2.--Imagen panorámica donde se observa un infiltrado linfoide denso, exclusivamente alrededor de los folículos pilosos (hematoxilina-eosina).
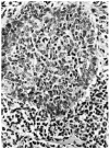
Fig. 3.--Detalle de la infiltración linfoide perifolicular (hematoxilina-eosina).
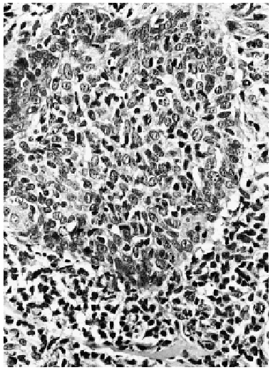
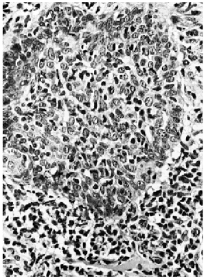
Fig. 4.--Imagen a gran aumento con los linfocitos atípicos distribuidos alrededor de restos de folículo, con intensa permeación del mismo (hematoxilina-eosina).
El reordenamiento del receptor de células T fue monoclonal en piel. En una tomografía axial computarizada (TAC) se visualizaban adenopatías pélvicas, ilíacas e inguinales y hepatoesplenomegalia. El resto de pruebas complementarias realizadas, incluyendo una biopsia de médula ósea, fueron normales o sin alteraciones significativas.
Con estos datos se estableció el diagnóstico de MFF cutánea y ganglionar, estadio IV A, con lo que se instauró tratamiento con quimioterapia tipo CHOP (ciclofosfamida, vincristina, procarbacina y prednisona). Tras el segundo ciclo se advirtió un claro descenso de la adenopatía inguinal, junto a un aclaramiento de las placas. Se administró un total de 5 ciclos, tras los cuales se realizó biopsia de la masa inguinal, que no demostró signos de infiltración, y una nueva TAC, en la que no se advirtieron adenopatías torácicas ni abdominopélvicas. Las lesiones de tipo prúrigo desaparecieron al mes del inicio, dejando hiperpigmentación residual. Las placas cutáneas persistían con alopecia, aunque desapareció el componente de hiperqueratosis y eritema. Una biopsia de una de estas placas demostró ausencia de infiltración tumoral.
COMENTARIOS
La MF es la forma más común de linfoma cutáneo de células T, originada primariamente en piel y con tendencia a permanecer en ella hasta estadios tardíos, en los que puede afectar a ganglios linfáticos y órganos internos. La MFF es una rara variante de MF descrita en 1985 por Kim5, en la que el infiltrado atípico se localiza en los folículos pilosos (foliculotropismo). Su patogenia es desconocida; algunos autores la relacionan con la expresión de moléculas de adhesión intercelular tipo 1 (ICAM-1)12. Clínicamente se manifiesta en forma de comedones, quistes, hiperqueratosis folicular con o sin alopecia, y en algunos casos como placas con aspecto de «piel de naranja»13. En contra de lo que ocurre en la MF clásica, el prurito puede ser intenso, lo que representa un parámetro de actividad de la enfermedad2.
Histológicamente la MFF presenta un denso infiltrado de linfocitos atípicos rodeando y penetrando en los folículos pilosos, pero respetando generalmente la epidermis. Las características morfológicas e inmunohistoquímicas son indistinguibles a las de la MF clásica3, 12, 14-15. Para algunos autores no debe existir mucinosis folicular asociada16-18. Debido a la localización perifolicular de los infiltrados dérmicos se considera que los pacientes con MFF se encuentran en un estadio tumoral de su enfermedad2.
El diagnóstico diferencial de la MFF se establece principalmente con la papulosis linfomatoide folicular19, en la que las lesiones tienden a resolverse espontáneamente, y con la mucinosis folicular asociada a MF4, que presenta un depósito de mucina en el folícu-lo piloso, pero el infiltrado de linfocitos atípicos se localiza en la epidermis. También debe plantearse con procesos con lesiones comedonianas extensas, como el cloracné, la foliculitis, u otros13.
Los pacientes con MFF, debido a la profundidad del infiltrado, responden peor a los tratamientos habituales utilizados en la MF clásica. Se han utilizado múltiples opciones, como radioterapia local, baño de electrones, corticoides tópicos, mostaza nitrogenada, psoraleno y luz ultravioleta (PUVA) sola o asociada a retinoides o interferón alfa, etc. La poliquimioterapia generalmente se reserva para pacientes que desarrollan enfermedad extracutánea2.
La afectación ganglionar por la MFF es rara2, 10, 11, y cuando aparece suele coexistir con una afectación cutánea extensa. Sin embargo, nuestro paciente, a pesar de que la afectación cutánea es escasa en forma de dos únicas placas localizadas en miembros, presentaba afectación ganglionar asociada. Además, aunque la MFF suele conllevar un peor pronóstico y ser más resistente a los tratamientos habituales de la MF clásica2, las lesiones de nuestro paciente, tanto cutáneas como ganglionares, permanecieron estables a pesar de la larga evolución del cuadro. Posteriormente se obtuvo una buena respuesta al tratamiento, con desaparición de la infiltración por linfoma tanto a nivel cutáneo como ganglionar.






