INTRODUCCION
Las micobacterias atípicas son un grupo de micobacterias cuya incidencia no ha hecho más que aumentar durante los últimos años. Desde el punto de vista dermatológico existen varias especies que es necesario conocer para así poder atajar con prontitud estos procesos que pueden llegar a ser potencialmente mortales. Por lo tanto, el diagnóstico correcto y el tratamiento precoz constituyen hoy día uno de los retos más importantes al cual nos enfrentamos con este tipo de microorganismos. Antes de comenzar a describir por separado cada especie de micobacteria vamos a perfilar varios aspectos que creemos importantes para la mejor comprensión de estas infecciones cutáneas.
NOMENCLATURA
Desde que en 1882 Koch descubriera el agente productor de la tuberculosis no se han dejado de encontrar nuevas especies pertenecientes al género Mycobacterium. Este género incluye a M. tuberculosis, M. bovis, M. africanum, M. microti, M. leprae y un grupo de micobacterias caracterizadas por no ser patógenas en condiciones habituales, por presentar una amplia distribución por los diferentes ecosistemas y por ser capaces de comportarse como patógenos oportunistas ante situaciones de inmunodepresión. En 1959, Penso1 propuso el término de «micobacteriosis» para encuadrar una serie de procesos de las enfermedades infecciosas humanas ocasionados por micobacterias diferentes a M. tuberculosis y a M. leprae.
En 1899, Moeller los llamó «bacilos seudotuberculosos»; Borrel y Marmoreck, en 1901, los denominaron «bacilos paratuberculosos»; posteriormente Pinner en 1932, y Timpe y Runyon en 1954, emplearon el término «micobacterias atípicas»; Hauduroy, en 1955, «micobacterias anormales»; Runyon, en 1959, «micobacterias anónimas»; Corpe, Runyon y Lester, en 1963, «micobacterias inclasificadas» y Mattheus las denominó MOTT (Mycobacteria other than tubercule bacilli); en 1969, Marks y Selkon las engloban bajo la denominación de «micobacterias oportunistas»; Wolinsky, en 1979, «micobacterias no tuberculosas» (NTM) y Wayne y Sramek en 1992, PPEM (Potentiality pathogenic enviromental mycobacteria). También han recibido otras denominaciones como micobacterias comensales, saprofitas o seudotuberculosas2-4.
Basándose en esta polémica y confusión terminológica, la Sociedad Española de Neumología y Cirugía Torácica (SEPAR) creó un grupo de trabajo para consensuar una definición común y adecuada para todas ellas. En 1998 se publicaron unas recomendaciones para referirse a este grupo bacteriano en las que se acordó que el término que mejor se adecuaba era el de «micobacterias ambientales». Así, las especies M. tuberculosis y M. leprae, dado que no se aíslan del ambiente, quedarían fuera de esta clasificación. Sin embargo, este grupo de trabajo concluye que como no existe una forma incuestionable a la hora de denominar de forma conjunta a las micobacterias diferentes al bacilo de la tuberculosis, «se recomienda utilizar, siempre que sea posible, la denominación binomial», es decir, género y especie de cada micobacteria3.
Sin embargo, la polémica ha continuado en diversas publicaciones españolas, ya que muchos autores se guían por la denominación utilizada en uno de los manuales más usados en microbiología clínica5,6. Casal argumenta recientemente acerca de las tres denominaciones más usadas7-9. El término «no tuberculosas», propuesto por Wolinsky, que se utiliza hoy día con frecuencia, sería incorrecto ya que el apelativo tuberculosis se debe a la descripción que en 1680 llevó a cabo Franciscus Sylvius (1614-1672), que fue el primero en utilizar el término tubérculo para describir las lesiones específicas de la tuberculosis. Esos mismos tubérculos pueden ser ocasionados por otras especies de micobacterias. El término «micobacterias ambientales» usado por Ruiz et al3 y adoptado por la SEPAR, también sería inexacto, pues sólo deben denominarse así las micobacterias que utilizan el ambiente como reservorio. Cabe recordar que existen especies descritas recientemente aisladas sólo de enfermos inmunodeprimidos y no del ambiente10. El tercer término, «micobacterias atípicas» (por ser microbiológicamente distintas de la especie típica M. tuberculosis) parece ser el más aceptado por el Grupo Español de Micobacterias (GEM).
Por otra parte, dado que la inclusión o exclusión de una especie en concreto dentro de un mismo grupo clasificatorio es un proceso dinámico, con el paso del tiempo, según se van descubriendo nuevas características, ha surgido cierta confusión en cuanto a la nomenclatura de algunas micobacterias, como en el caso de M. chelonae y M. abscessus. Así, en muchos trabajos publicados, cuando se aísla M. chelonae, se refieren indistintamente a M. chelonae o a M. abscessus, siendo esta última elevada a la categoría de especie en 199211,12.
CLASIFICACION
Robert Koch fue el primero en establecer la relación causal del bacilo de la tuberculosis y la tuberculosis, bacilo que recibió la denominación de Mycobacterium tuberculosis en 1886. El género Mycobacterium incluye parásitos obligados, saprofitos y oportunistas. El alto contenido en guanina y citosina (G + C) del ADN micobacteriano (62-70 %) es similar al de otras bacterias productoras de ácido micólico, Nocardia (60-69 %), Rhodococcus (59-69 %) y Corynebacterium (51-59 %).
Son bacilos delgados de forma recta o ligeramente curvada, aerobios, inmóviles, no formadores de esporas, difíciles de teñir con la tinción de Gram, aunque se consideran grampositivos. Resisten la decoloración en las tinciones con ácido-alcohol (BAAR: bacilo ácido alcohol resistente) y mantienen el primer colorante como carbolfucsina (tinción de Ziehl-Neelsen y Kinyoun) o fluorocromos (auramina-rodamina).
De todos es conocida la clasificación de Runyon de 1954, y modificada en 1974, basada en las características de crecimiento de las micobacterias atípicas (tabla 1). En ella se establece una división natural entre las micobacterias de crecimiento lento (más de 7 días) y rápido (menos de 7 días) con su capacidad de pigmentación: fotocromógenas, si producen colonias no pigmentadas en la oscuridad pero pigmentadas si se exponen a la luz; escotocromógenas, si producen colonias amarillas o naranjas con y sin luz, incluso algunas incrementan los pigmentos tras la exposición, y no cromógenas, si son siempre no pigmentadas. Se manejan diversas clasificaciones, modificaciones de otras anteriores13,14. En la tabla 2 se reflejan las especies más frecuentes en la práctica clínica8. Existen otras formas de clasificación más prácticas para el facultativo como puedan ser aquellas basadas en la patogenicidad de las distintas micobacterias15. Nosotros basaremos nuestro trabajo describiendo aquellas especies que puedan ser más interesantes en la práctica clínica dermatológica.
La taxonomía procariota ha pasado de la clasificación en función de las características fenotípicas, formalmente ya obsoleta, a la utilización de estudios genotípicos y químicos. Así, con el aumento del poder discriminativo de estas técnicas, emergen y se diferencian nuevas especies. Se han descrito hasta el momento alrededor de 100 especies de micobacterias. Desde 1990 se conocen 42 nuevas especies de micobacterias, siendo la mayoría (23 especies) aisladas sólo de muestras clínicas (55 %); diez, aisladas del ambiente muestras clínicas, y sólo nueve, del ambiente. Entre las micobacterias de crecimiento lento predominan las cromógenas (14 de 21), mientras que las de crecimiento rápido son fundamentalmente no cromógenas (12 de 21). Sigue existiendo, no obstante, un importante reservorio de «nuevas especies»16. Existen cinco grandes grupos filogenéticos en el género Mycobacterium según las secuencias del 16S ADNr (el relacionado con M. simiae, crecedores lentos; el relacionado con M. terrae, crecedores rápidos y crecedores rápidos termotolerantes) y la mayor parte de las especies están relacionadas por sus características genotípicas y fenotípicas. No obstante, hay excepciones como M. heidelbergense igual a nivel fenotípico con M. malmoense, pero no cuando se comprueba genotípicamente.
EPIDEMIOLOGIA
Las micobacterias atípicas se encuentran ampliamente distribuidas en la naturaleza colonizando el agua (también en depósitos de hospitales), suelo, material vegetal, aire, animales (ganado bovino y porcino, peces, monos y aves), plantas o material quirúrgico17,18. En un estudio realizado en Estados Unidos se recogieron muestras de agua dulce y salada en diferentes puntos a lo largo de la costa Este, encontrándose el 61 % de las muestras contaminadas por micobacterias atípicas, principalmente M. terrae, M. gordonae y M. avium-intracellulare-scrofulaceum19.
Los mecanismos de transmisión suelen ser a través de las vías respiratoria y digestiva o mediante inoculación directa en el caso de la piel20. También se puede producir diseminación hematógena a partir de un foco visceral. El hombre no es un reservorio importante y no parece existir contagio entre personas21.
Actualmente, las enfermedades producidas por micobacterias atípicas, no son de declaración obligatoria, con lo que las cifras de incidencia o prevalencia son puramente orientativas22. En general, existe una mayor incidencia en climas cálidos23. De forma específica existen varios estudios en diferentes partes del mundo. Las series más amplias están basadas en trabajos realizados en Estados Unidos donde, entre 1981 y 1983, se detectaron 5.469 aislamientos de micobacterias atípicas de los cuales 2.097 se consideraron enfermedad por micobacterias atípicas. De forma global se atribuyen cifras de 1,78 casos/100.000 habitantes. La mayor parte se aislaron de esputos (72,7 %) y lavados bronquiales (6,3 %), siendo la piel el foco en el 1,9 % de todos los casos. Los principales patógenos fueron M. avium (61,7 %), M. kansasii (23,8 %) y M. fortuitum (23,8 %). En niños, el principal agente aislado en los ganglios linfáticos fue el complejo M. avium en contra de la creencia que atribuía a M. scrofulaceum la principal causa de linfadenitis. Este último dato también está recogido en otros trabajos23. De forma global hay una mayor afectación en varones (59 %) si bien existe una prevalencia en mujeres en aislamientos de M. chelonae y M. simiae. La mayor incidencia se da en torno a la sexta década de la vida. Dentro de los grupos étnicos más afectados estaban los hispanos, blancos y negros y, entre los de menor incidencia, los asiáticos y los americanos nativos. El 73 % de los casos se dieron en zonas urbanas y el resto en el entorno rural24. En el norte de Australia, el principal agente aislado fue el complejo M. avium-intracellulare, que se aisló en 45 de los 59 aislamientos entre 1989 y 1997 (78 %). Esto supone, en ese territorio, una incidencia anual de 3,9 casos/100.000 habitantes23. En Sudáfrica, sobre una muestra de 8.850 esputos recogidos de forma aleatoria en personas adultas sanas, se cultivaron 604 cepas de micobacterias atípicas lo que representa una prevalencia del 7 %. El principal germen detectado fue M. intracellulare25. En Suiza se han registrado 0,5 casos/100.000 habitantes entre los años 1983 y 1988 en pacientes no infectados por el virus de la inmunodeficiencia humana (VIH)26. En un estudio realizado en Gales sobre 238 casos de micobacterias atípicas entre 1952 y 1978, el agente principal fue M. kansasii causando sobre todo enfermedades pulmonares en varones con una edad media de 46 años27.
En cuanto a la distribución geográfica de las especies de micobacterias atípicas en España, existe un extenso estudio donde se recogieron los datos de aislamientos de micobacterias atípicas en muestras clínicas de 11.128 pacientes durante 21 años (1976-1996). Las seis especies más frecuentes fueron M. gordonae (20,5 %), M. xenopi (19,4 %), M. avium complex (19,1 %), M. fortuitum (10,5 %), M. kansasii (6 %) y M. chelonae (5,5 %). En cuanto a su localización y número de casos en función de la comunidad autónoma fueron, por orden decreciente: Cataluña, 2.769 casos; Madrid, 806 casos; Aragón, 474 casos; Galicia, 302 casos; Navarra, 263 casos; Andalucía, 198 casos; Castilla-La Mancha, 190 casos; Valencia, 190 casos; Euskadi, 139 casos; Asturias, 129 casos; Castilla y León, 114 casos; Cantabria, 64 casos; Extremadura, 39 casos; Baleares, 37 casos; Murcia, 27 casos; Canarias, 10 casos, y La Rioja, 5 casos. Los autores concluyen que las especies de micobacterias atípicas que se aíslan en muestras clínicas son algo dinámico que puede cambiar en el tiempo en función de factores que actualmente desconocemos28.
En España se han publicado amplias series donde las micobacterias atípicas constituyen el 14,5 % de todas las micobacterias, siendo diagnosticados como enfermedad el 0,64 % de todos los aislamientos29. Las especies patógenas principales son M. avium, M. intracellulare y M. kansasii17. Entre las micobacterias de crecimiento rápido que se aíslan con más frecuencia están M. chelonae y M. fortuitum30. Según el Centro de Referencia de Micobacterias de la Universidad de Córdoba, entre 1993 y 1998 se aislaron en España 453 casos de micobacterias atípicas, lo que representa el 19,4 % respecto a todos los aislamientos de micobacterias. De entre ellas, las especies más frecuentemente aisladas, por orden de frecuencia, fueron M. avium-intracellulare, M. fortuitum y M. simiae31. Como puede verse existe una disparidad entre las especies que producen con más frecuencia patología respecto a las especies que se suelen aislar en el laboratorio. En estos casos, son importantes los criterios de patogenicidad entre los cuales se encuentran una sintomatología e histología compatibles junto a una respuesta al tratamiento instaurado.
FACTORES DE RIESGO
El factor de riesgo más importante asociado con enfermedad por micobacterias atípicas es el tabaco (66 %), seguido de la enfermedad pulmonar crónica (42 %), la infección por VIH (26 %) y el alcoholismo (20 %). Los casos que cursan con linfadenitis no tienen factores de riesgo23. El enfisema y la bronquitis crónica son las patologías sistémicas asociadas con más frecuencia24.
El VIH, los medicamentos inmunosupresores y la reducción en la inmunidad cruzada entre las micobacterias al existir un menor número de casos de contacto con el M. tuberculosis, han propiciado un mayor espectro de personas susceptibles a las micobacterias atípicas. Una disminución del recuento de CD4 por debajo de 40 cél./ml aumenta el riesgo en 2,5 veces de infección diseminada por micobacterias atípicas en el caso de pacientes portadores del VIH32. Otros factores que contribuyen a que exista un mayor número de casos son los cambios en los hábitos de vida como el tomar duchas frecuentemente, al exponernos a aerosoles con micobacterias, una mayor virulencia de las micobacterias atípicas, el envejecimiento de la población y el conocimiento de esta enfermedad entre los médicos23.
MÉTODOS DIAGNOSTICOS
Los laboratorios de microbiología pueden ofrecer prestaciones muy diversas para el diagnóstico y control de las infecciones micobacterianas, siendo muy importante una sólida colaboración de su personal con clínicos y epidemiólogos. Algunas de las sofisticadas técnicas actuales (amplificación genética, estudios de sensibilidad, técnicas de epidemiología molecular, etc.) son de coste realmente elevado y no está justificado su uso indiscriminado. Es necesario fijar las indicaciones y técnicas a utilizar en casos concretos, para la utilización más adecuada de los recursos disponibles33.
Muestras
Todo el procesamiento de las muestras en las que hay sospecha de que existan micobacterias debe realizarse en una cabina de bioseguridad34. Las normas generales de obtención de muestras para el diagnóstico microbiológico deben cumplirse también para el estudio de micobacterias, y pueden destacarse una serie de condiciones de las cuales depende la calidad de los resultados: indicación correcta en el volante de petición del estudio de micobacterias, selección de la muestra más adecuada y de mayor rentabilidad, cantidad suficiente que evite falsos negativos, recogida estéril y, si es posible, antes del inicio del tratamiento. En general, las torundas o hisopos no son recomendables por su escasa rentabilidad, por ello un resultado negativo no es fiable. Siempre que se practique una biopsia deberá remitirse un fragmento al servicio de anatomía patológica, teniendo en cuenta que para el laboratorio de microbiología la muestra debe enviarse sin fijadores ni conservantes, aunque puede humedecerse, si es necesario, en agua destilada. No conviene emplear suero salino, dado que las micobacterias atípicas son sensibles a este medio, ni agua del grifo por la presencia de micobacterias saprofitas y, por lo tanto, falsos positivos. En las lesiones cutáneas se debe limpiar con alcohol antes de aspirar la muestra debajo del borde de la lesión. El transporte rápido de las muestras al laboratorio es fundamental para evitar el sobrecrecimiento de flora acompañante, por lo que la conservación deberá hacerse a 4 °C si se retrasa la entrega más de 1 h (excepto muestras de sangre).
Es necesario eliminar de las muestras los microorganismos contaminantes que interfieren en la recuperación de las micobacterias, así como conseguir la licuefacción de los restos orgánicos, para que los agentes descontaminantes puedan destruir las bacterias no deseadas. Para muestras estériles, esto puede no ser necesario, pero sí deben ser concentradas.
Las micobacterias son más resistentes a los ácidos y bases fuertes, lo que permite utilizar estas técnicas de digestión-descontaminación. Pero si éstas no se usan adecuadamente pueden dar lugar a falsos negativos (exceso de descontaminación) o a un número elevado de contaminaciones (por defecto de descontaminación). Se acepta un índice de contaminación en medios sólidos entre un 3-5 %, y para medios líquidos depende del sistema utilizado. Los métodos de digestión-descontaminación más usados son los de Petroff (NaOH 4 %), Taquet y Tison (laurilsulfato sódico 3 % y NaOH 1 %) y Kubica (N-acetil-L-cisteína y NaOH).
Microscopia
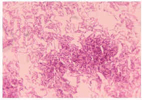
Es el método más sencillo, rápido y económico para el diagnóstico microbiológico, aunque presenta una sensibilidad muy inferior al cultivo (entre un 22-80 %), según donde se haya efectuado el estudio y del tipo de muestras estudiadas6. Las muestras respiratorias son las de mayor rentabilidad y siempre que se pueda se realizará concentración para incrementar la sensibilidad. En las técnicas de tinción utilizadas como la clásica de Ziehl-Neelsen o la de Kinyoun, aparecen de color rojo (fig. 1). La variante fluorocrómica (auramina) muestra los bacilos amarillo-naranja fluorescente, se visualizan más campos de la muestra al requerir objetivo de menor aumento (cribado más rápido y exhaustivo) y es la preferida por los microbiólogos (fig. 2); además, en los casos dudosos puede realizarse una tinción de Ziehl-Neelsen en el mismo portaobjetos.
Fig. 1.--Tinción de Ziehl-Neelsen.
Fig. 2.--Tinción de auramina con bacilos amarillo-naranja fluorescentes.
Aunque la especificidad del examen directo de la muestra para detectar micobacterias es elevada, la diferenciación de especies es imposible, aunque en ocasiones ciertas especies nos pueden orientar por ciertas peculiaridades: M. avium suele observarse como cocobacilos pleomórficos o M. kansasii como un bacilo de gran tamaño y peculiares granulaciones.
Cultivo
Siempre debe realizarse, ya que es más sensible, pudiendo detectar 10 bacterias/ml de muestra clínica digerida y concentrada. Normalmente es necesario para la identificación y permite asegurar, si hay negativización, la curación del paciente.
En la mayor parte de los laboratorios de microbiología se dispone de dos tipos de medios (sólidos y líquidos) cuya combinación da una mayor sensibilidad diagnóstica (fig. 3).
Fig. 3.--Medios líquidos (izquierda) y medios sólidos (derecha).
Medios sólidos
El medio más ampliamente utilizado es el de Löwenstein-Jensen (con base de huevo), que tiene la ventaja de una menor contaminación en su preparación y puede guardarse almacenado durante meses (fig. 4). Los medios sin base de huevo, como el Middlebrook 7H10 y 7H11, son de menor caducidad, pero son útiles para estudios de sensibilidad, contienen 2 % de glicerol que favorece el crecimiento de M. avium complex. Se incuban durante 2 meses a 37 °C y/o a 30 °C si se sospechan especies como por ejemplo M. marinum, M. ulcerans o M. haemophilum. Deben ser revisados semanalmente hasta descartarlos como negativos.
Fig. 4.--Medios sólidos para cultivo de micobacterias (Löwenstein-Jensen): positivo (izquierda) y negativo (derecha).
Medios líquidos
Tienen la ventaja de ser medios de enriquecimiento, por lo que la detección suele ser más rápida, pero presentan la desventaja de no poder visualizar la morfología de la colonia ni valorar los posibles cultivos mixtos hasta visualizar el crecimiento en un medio sólido. El tiempo medio de incubación suele ser de 42 días a 35-37 °C antes de descartarlos como negativos. Se usan también en pruebas de sensibilidad o de identificación. Algunos ejemplos de los sistemas utilizados:
Sistema Septi-Chek (Becton Dickinson) de lectura manual. Ofrece las ventajas del enriquecimiento de los medios líquidos (Middlebrook 7H9) y la combinación de diversos medios sólidos para distinguir las contaminaciones y cultivo mixto. La detección es menos rápida que el sistema radiométrico BACTEC 460TB, 19 y 7 días, respectivamente35.
Sistema BACTEC 460TB (Becton Dickinson) de lectura semiautomática. Revolucionó el campo del diagnóstico de las micobacterias y es el patrón de referencia. El BACTEC 12B utiliza Middlebrook 7H12, y como sustrato ácido palmítico marcado con 14C. El grado de radiactividad detectado es proporcional al grado de crecimiento del microorganismo (producción de 14CO2) muy precozmente. El BACTEC 13A con Middlebrook 7H13 se usa para muestras sanguíneas y aspirados de médula ósea.
Dado que el personal debe estar autorizado para el manejo de isótopos radiactivos esto ha favorecido el desarrollo de otros sistemas alternativos no radiactivos:
Sistema ESP Culture System II (Difco) de lectura automática. No radiométrico, con Middlebrook 7H9 enriquecido y unas esponjas de celulosa para ofrecer un hábitat natural y mayor superficie de cultivo midiendo el consumo de oxígeno.
Sistema MB/BacT (bioMérieux) de lectura automática. Basado también en el medio Middlebrook 7H9 modificado, con un sensor colorimétrico que detecta la presencia de CO2 (fig. 5). Posee un software muy completo y el incubador es común para los hemocultivos, por lo que puede ser de utilidad al no necesitar aparataje adicional.
Fig. 5.--Sistema MB/BacT de lectura automática.
Sistema BACTEC 9000 MB (Becton Dickinson) de lectura automática. Utiliza caldo Middlebrook 7H9 suplementado. Cada botella lleva un sensor fluorescente que detecta la disminución de O2. El incubador también es común para hemocultivos.
Sistema BACTEC MGIT 960 (Becton Dickinson) de lectura automática. Utiliza también un caldo de Middlebrook 7H9, detectando consumo de O2 mediante sensores fluorométricos. Es de gran capacidad (960 cultivos).
Procesos de identificación
Durante muchos años la identificación se ha llevado a cabo en función de las características fenotípicas (velocidad de crecimiento, morfología de las colonias, etc.) y a los resultados de pruebas bioquímicas. En la actualidad, la necesidad de identificar cada vez mayor número de aislados diferentes a M. tuberculosis y la importancia de un diagnóstico precoz, han motivado el desarrollo de nuevas y sofisticadas técnicas, pero que poco a poco han ido disminuyendo su complejidad36-39. Pueden resumirse en técnicas bacteriológicas, bioquímicas, cromatográficas y genéticas o de biología molecular.
Métodos bacteriológicos
Permiten asignar a las micobacterias a un subgrupo y seleccionar las pruebas bioquímicas u otros métodos para su ulterior identificación. Estas pruebas no pueden ser totalmente eliminadas, sobre todo en los laboratorios donde no se dispone de sondas de ADN o cuando los resultados de otros métodos son de difícil interpretación35,40.
Tinción de ácido-alcohol resistencia. Es el primer paso para confirmación del género Mycobacterium.
Velocidad de crecimiento. Se dividen en micobacterias de crecimiento lento (las colonias tardan más de 7 días en aparecer) y micobacterias de crecimiento rápido (menos de 7 días). A veces se ve influida por la temperatura de incubación.
Temperatura de crecimiento. La mayoría crecen bien a 37 °C, otras a 30 °C e incluso a 42 °C (como M. xenopi).
Morfología de las colonias. Se dividen en lisas, rugosas o mucosas. Puede ser orientativa.
Pigmentación y fotorreactividad. Así pueden encontrarse especies fotocromógenas, escotocromógenas y no cromógenas. Debe evaluarse cuidadosamente, ya que puede haber variaciones dentro de las especies (algunas cepas de M. avium, generalmente no cromógenas, con el tiempo pueden dar pigmentación irregular) y en función de la temperatura (M. szulgai es escotocromógeno a 37 °C y fotocromógeno a 25 °C).
Pruebas bioquímicas6
Las distintas pruebas bioquímicas se exponen en la tabla 3.
Análisis cromatográfico
Debido a la importante constitución lipídica de las micobacterias (20-40 % de su peso seco), el estudio de estos lípidos mediante diferentes sistemas (cromatografía de capa fina, cromatografía de gases y cromatografía de alta resolución [HPLC]) ha proporcionado una excelente vía de identificación41. Son técnicas rápidas (menos de 2 h), pero son técnicamente complejas y requieren una infraestructura muy cara, por lo que se usan en laboratorios de referencia.
Métodos genéticos
La identificación genotípica parece la mejor alternativa para una rápida identificación42. Sus principales ventajas consisten en una aplicación universal en todos los aislamientos, detección directa en la muestra, reconocimiento preliminar de nuevos taxones, identificación en especies de difícil cultivo, gran seguridad biológica y una adecuada relación coste-beneficio en laboratorios de nivel III o de referencia (pero no asequibles en otros centros). Las técnicas disponibles actualmente se exponen a continuación.
Sondas de ácidos nucleicos (AccuProbe). Se basan en el uso de sondas de ADN marcado con ésteres de acridina (quimioluminiscencia) y complementarias a fragmentos de ARNr específicos de cada especie. Son más sensibles cuando se usan a partir de cultivos en medio sólido que directamente en medios líquidos. Su aplicación queda limitada a M. tuberculosis complex (no diferencia entre las especies de este complejo), M. avium complex, M. avium, M. intracellulare, M. kansasii y M. gordonae. Se han descrito algunos aislados de M. terrae y M. celatum complex que producían falsos positivos con la sonda de M. tuberculosis complex43,44.
Amplificación de secuencias específicas de ADN. Requiere la amplificación mediante la reacción en cadena de la polimerasa (PCR) de una zona concreta (diana) y la observación directa de los fragmentos obtenidos o un posterior análisis postamplificación mediante restricción, hibridación o secuenciación (PCR-RFLP, PCR-hibridación reversa, etc.)45,46. En las micobacterias existen regiones bien conservadas de ADN específicas de género que flanquean regiones hipervariables específicas de especie. Las mejor estudiadas son el gen hsp65 que codifica la proteína micobacteriana de 65 kDa (heat shock) y regiones de la subunidad ribosómica 16S. Existen otras zonas útiles como la región intergenética 16S-23S ribosomal y los elementos de inserción. Existen diversas posibilidades: PCR del gen hsp65 y posterior análisis del polimorfismo de los fragmentos de restricción RFLP con las enzimas BstEII y HaeIII; secuenciación del 16S ARNr e hibridación en fase sólida. Estas técnicas están al alcance de pocos laboratorios, son costosas y complejas, aunque este campo está mejorando con nuevos secuenciadores, microchips, etc. Una importante base de datos de alta calidad ha sido llevada a cabo por el RIDOM Mycobacteria Project (http://www.ridom.de/ mycobacteria/)47.
Detección directa en la muestra clínica. El diagnóstico precoz mediante la detección directa con el uso de la amplificación genómica es uno de los objetivos en micobacteriología. Hay sistemas comerciales para PCR, transcriptasa inversa, QB replicasa, reacción en cadena de la ligasa-LCR-, etc., utilizados principalmente para M. tuberculosis complex. Estas tecnologías deben ser usadas con responsabilidad, experiencia y altamente evaluadas.
Estudios de sensibilidad
Para M. tuberculosis existen métodos estandarizados y reproducibles. Las técnicas de biología molecular para el estudio de resistencias se iniciaron a principios de 1990 (deleción del gen katG asociado a resistencias a isoniazida, mutaciones en el gen rpoB que confieren resistencia a rifampicina, etc.). Sin embargo, otras micobacterias muestran amplia variabilidad en su sensibilidad a los antibióticos, no se ha conseguido la estandarización de los métodos, ni tampoco una clara correlación clínica. No existe un claro consenso en la necesidad de realizar estos estudios en M. avium complex u otras micobacterias de crecimiento lento48-51. Pueden usarse métodos como E-Test para CMI, disco-placa, o dilución en caldo52-55. Algunas técnicas como bioluminiscencia, citometría de flujo y sus variantes también se han aplicado en este campo.
En general, un 76 % de estas especies son resistentes a la isoniazida, un 57 % resistentes a etambutol y rifampicina (las de crecimiento lento suelen ser más resistentes a etambutol y más sensibles a rifampicina que las especies de crecimiento rápido) y un 40 % a estreptomicina16. La elección de la antibioterapia depende de la identificación del aislado. Por ejemplo, el uso de macrólidos para micobacterias de crecimiento rápido es habitual, pero si es del grupo de M. smegmatis (M. smegmatis, M. wolinskyi y M. goodii) o la tercera biovariante sorbitol positivo de M. fortuitum, éstos son intrínsecamente resistentes.
En resumen, es importante advertir al laboratorio de la sospecha clínica de micobacterias atípicas para que realice los cultivos pertinentes para su detección4. A diferencia de M. tuberculosis, su aislamiento no implica siempre enfermedad a no ser que se aísle en biopsias obtenidas en sitios estériles del organismo18, por lo que el hecho de aislar una micobacteria atípica en una zona no estéril como la piel no constituye un diagnóstico de enfermedad4. De todas formas, el aislamiento de micobacterias de crecimiento rápido (M. chelonae y M. fortuitum) de piel y tejidos blandos es clínicamente más significativo que el aislamiento en muestras respiratorias, de tubo digestivo o hemocultivos30.
FORMAS CLINICAS
Las formas clínicas de presentación de las micobacterias atípicas son la enfermedad pulmonar, la linfadenitis, la infección de catéteres, la afectación esquelética, la enfermedad diseminada y las infecciones de piel y tejidos blandos (tabla 4).
De todas ellas, la enfermedad pulmonar es la principal manifestación (62 %), siendo el complejo M. avium el principal causante. Los cambios encontrados en las radiografías de tórax son similares a los hallados en la tuberculosis con lesiones cavitadas en lóbulos superiores de forma uni o bilateral23.
Las linfadenitis se presentan en niños entre los 16 meses y los 10 años de edad. La edad media es en torno a los 3 años56,57. No parecen existir factores de riesgo asociados56. Se localizan en la región submandibular o preauricular y se caracterizan por ir aumentando progresivamente de tamaño de forma asintomática hasta un momento dado, que comienzan a supurar58. El diagnóstico diferencial más importante se plantea con la linfadenitis producida por M. tuberculosis. En el 80 % de las linfadenitis por micobacterias atípicas se aísla M. avium complex. En Australia y los Estados Unidos le sigue en frecuencia M. scrofulaceum, mientras que en el norte de Europa le sigue M. malmoense. En niños, sólo en el 10 % de las linfadenitis periféricas producidas por micobacterias se aísla M. tuberculosis, aislándose en el resto M. avium y M. scrofulaceum a diferencia que en los adultos, donde en el 90 % con este cuadro clínico se aísla M. tuberculosis. El conocimiento de estas diferencias epidemiológicas entre adultos y niños es fundamental dado que la gran mayoría de las micobacterias atípicas que producen linfadenitis en niños son muy resistentes a los fármacos antituberculosos y, al ser una enfermedad localizada, estará indicado el tratamiento quirúrgico22.
Los catéteres infectados son más frecuentes en infecciones por M. fortuitum, M. chelonae y M. abscessus. Menos frecuentes son los casos de artritis, sinovitis y osteomielitis.
Los casos diseminados se suelen dar en pacientes inmunodeprimidos con infecciones por M. avium-intracellulare, M. kansasii, M. abscessus y M. chelonae. Desde el punto de vista dermatológico, existen multitud de formas de presentación como pápulas, placas, nódulos, abscesos, etc. (figs. 6 y 7). Algunas micobacterias atípicas adoptan ciertos patrones morfológicos en cuanto a su distribución corporal. De esta forma, el patrón esporotricoide es más frecuente en M. marinum y M. kansasii siendo poco frecuente en el M. chelonae59,60.
Fig. 6.--Úlcera en región pretibial por M. chelonae.
Fig. 7.--Nódulos y fístulas de drenaje por M. chelonae.
Las micobacterias atípicas presentan reacción cruzada con M. tuberculosis en la prueba del Mantoux, produciendo en general una menor reacción ante dicho test. Se ha experimentado con análogos del PPD realizados a partir de diferentes especies de micobacterias atípicas pero debido a estas reacciones cruzadas su uso no es útil en la práctica clínica diaria18.
HISTOLOGIA
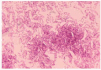
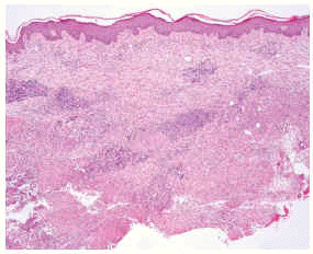
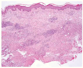
Las biopsias cutáneas deben de realizarse en los márgenes de la lesión61. Una vez procesada la muestra, la infección cutánea por micobacterias atípicas suele caracterizarse desde el punto de vista histológico por la heterogeneidad. Se han descrito diferentes tipos de patrones histológicos. En 1983, Santa Cruz y Strayer62 publicaron un trabajo en el que presentaban siete patrones diferentes a partir del estudio de 31 casos de micobacterias atípicas: granulomas bien formados, abscesos, infiltración histiocítica difusa, paniculitis, inflamación crónica inespecífica, granulomas sarcoideos y nódulos artritis reumatoide-like. Los dos primeros son los que se encuentran con más frecuencia en la práctica clínica diaria (figs. 8-10). En 1997, Rodríguez et al63 los resumían en tres: inflamación difusa o nodular granulomatosa con granulomas mixtos, abscesos con reacción granulomatosa débil, e inflamación granulomatosa dérmica profunda o subcutánea sin componente neutrofílico63. Otros autores han ido añadiendo patrones nuevos como la foliculitis necrosante aguda64.
Fig. 8.--Placa en dorso de mano por M. marinum.
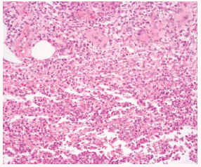
Fig. 9.--Inflamación granulomatosa en dermis profunda. (Hematoxilina-eosina, x40.)
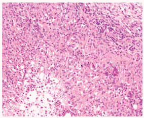
Fig. 10.--Detalle de granuloma supurativo. (Hematoxilina-eosina, x200.)
Esta variada presentación podría estar relacionada con el estado inmunológico del paciente y con el tiempo de evolución de las lesiones. En relación con lo primero, se han identificado algunas características en los patrones histológicos de pacientes inmunodeprimidos como la presencia de un infiltrado inflamatorio difuso en la dermis profunda y tejido celular subcutáneo. En personas inmunocompetentes, la inflamación suele afectar a la dermis profunda y más raramente al tejido celular subcutáneo con formación de granulomas en el 80 % de los casos. Este porcentaje se reduce al 60 % en inmunodeprimidos. Por su parte, el número de bacilos detectado en las muestras se relaciona claramente con el grado de inmunidad del huésped, siendo menor en sujetos inmunocompetentes. Algunos autores opinan que la presencia de un patrón bifásico con microabscesos de polimorfonucleares en dermis y tejido celular subcutáneo junto a la formación de granulomas epitelioides debería de ponernos en alerta ante la posibilidad de estar frente a un caso de micobacterias atípicas64. También resulta interesante cómo la histología puede modificarse en función del tiempo de evolución de las lesiones. De este modo, en pacientes inmunodeprimidos la formación de granulomas es más característica de las lesiones más evolucionadas (más de 3 meses) respecto a las más precoces, donde se observa un infiltrado neutrofílico o histiocítico pero sin la formación de granulomas. En pacientes inmunocompetentes, sin embargo, no se objetiva esta variabilidad, pues presentan granulomas independientemente del tiempo de evolución de las lesiones64.
Existen ciertas particularidades histológicas como en el caso de M. avium-intracellulare, ya que puede carecer de necrosis caseosa, granulomas bien formados y células gigantes como sucede en la tuberculosis. Se caracteriza por un infiltrado crónico en la dermis profunda y el tejido celular subcutáneo con formación de abscesos65. A veces puede simular una lepra lepromatosa al presentar abundantes macrófagos fusiformes cargados de bacilos66. En M. marinum existen algunos parámetros diferenciadores como cambios epidérmicos con acantosis e hiperplasia seudoepiteliomatosa64. Durante la fase aguda en la dermis se encuentra un infiltrado linfohistiocitario inespecífico y, en lesiones de más de 3 meses de evolución, granulomas tuberculoides típicos67. En la forma esporotricoide se puede afectar, además de la dermis, el tejido celular subcutáneo18 y los granulomas aparecen a las pocas semanas68. Esta reacción granulomatosa plantea diagnóstico diferencial con la tuberculosis verrugosa cutánea o el lupus vulgar68. Recientemente, se han descrito dos casos de infección por M. marinum simulando lesiones de granuloma anular intersticial69. En M. haemophilum parece ser más frecuente la presencia de un infiltrado inflamatorio mixto compuesto de neutrófilos y macrófagos, con formación de granulomas en dermis y tejido celular subcutáneo70.
TRATAMIENTO
El tratamiento de las micobacterias atípicas difiere mucho en función de la forma clínica de presentación. Debido al desarrollo de resistencias bacterianas, es preciso asociar varios medicamentos71. Hoy día no existen pautas protocolizadas a la hora de tratar estos procesos. Sin embargo, se pueden dar una serie de recomendaciones generales en cuanto al tratamiento de estos pacientes4,72. En caso de infecciones diseminadas en cuadros de sida, hay que tener presente la presencia de M. avium-intracellulare en primer lugar, sin olvidar otras micobacterias atípicas como M. simiae o M. scrofulaceum. Se debe de incluir claritromicina (500 mg/12 h) o azitromicina (500 mg/día) en todas las pautas de tratamiento, si no sabemos el agente causante. Como segundo antibiótico incluir el etambutol (15-25 mg/kg/día) y, como tercero, rifabutina (300 mg/día), clofacimina (100 mg/día), rifampicina (600 mg/día) o ciprofloxacino (500 mg/12 h).
En las infecciones localizadas con afectación pulmonar (M. avium-intracellulare y M. kansasii) puede optarse por el seguimiento sin tratamiento, la resección o el tratamiento antibioterápico. Aquellos casos con afectación leve, como los VIH con micobacterias atípicas en esputo o en el lavado broncoalveolar, pero con escasas evidencias de lesión pulmonar, no se requiere tratamiento. En los demás casos se trata como ya se ha expuesto en el apartado anterior pensando en M. avium-intracellulare o con isoniazida (300 mg/día), rifampicina (600 mg/día) y etambutol (15-25 mg/kg/ día) en el caso de M. kansasii. La indicación quirúrgica se reserva para casos de fracaso del tratamiento médico, enfermedad localizada y ausencia de contraindicaciones.
En las linfadenitis está indicada la escisión quirúrgica sin quimioterapia, una vez que se ha descartado la tuberculosis.
En la afecciones de tejidos blandos y aparato esquelético suelen estar implicados M. fortuitum, M. abscessus o M. chelonae. Es conveniente hacer una limpieza quirúrgica pormenorizada de las lesiones e iniciar tratamiento con dos o tres de los siguientes antibióticos: claritromicina, clofacimina, amikacina, ciprofloxacino o sulfamidas. Por último, es importante destacar que la povidona yodada presenta una gran eficacia como esterilizante contra varias especies de micobacterias73.
En cuanto a los casos con lesiones cutáneas, a continuación se hace referencia pormenorizada de todas las características de las micobacterias atípicas que pueden encontrarse en nuestra práctica clínica diaria (tablas 5 y 6).
PRINCIPALES MICOBACTERIAS ATIPICAS
M. marinum
Fue descrito por primera vez en 1926 por Aronson74 en peces de agua salada en un acuario de Philadelphia. En 1951 se aisló como patógeno humano en nadadores de una piscina en Suecia75. Ha recibido también las denominaciones de M. platypoecilus y M. balnei, aunque posteriormente se ha demostrado que ambos términos hacían referencia a una misma micobacteria15. Hoy día también se emplea el término de «granuloma de las piscinas» o «de los acuarios» para referirse a este tipo de infecciones76. Pertenece al grupo I de Runyon de bacterias fotocromógenas y crece a temperaturas entre 30-32 °C en 5-14 días (velocidad de crecimiento moderada)6. Su reservorio principal es el agua de mar y estancada18. Entre los factores de riesgo se encuentran las actividades relacionadas con peces y agua dulce o salada contaminados como los acuarios, tanques de agua y piscinas. Se puede hallar también en granulomas por picadura de erizo77. Puede considerarse una enfermedad profesional en submarinistas o en trabajadores de astilleros78. La puerta de entrada suelen ser pequeñas erosiones o traumatismos recogidos en la historia clínica, si bien las lesiones pueden desarrollarse después del contacto con agua contaminada en ausencia de trauma previo15. En 1997 existían 8 casos descritos en la literatura española79.
En un tercio de los casos se localiza en extremidades. Con más frecuencia en extremidades superiores, en concreto, en dedos y cara posterior de manos (figs. 11 y 12). En las extremidades inferiores, la rodilla y la región pretibial son los lugares más afectados61,80.
Fig. 11.--Absceso dérmico. (Hematoxilina-eosina, x200.)
Fig. 12.--Lesión en dorso de mano por M. marinum.
Puede presentarse como lesiones nodulares, esporotricoides o diseminadas. Casi siempre son solitarias81. La distribución esporotricoide es la forma de presentación más frecuente cuando la infección es contraída por contagio en acuarios76,82-84 (fig. 13). Este patrón aparece en el 20-40 % de todos los pacientes85. La infección por M. marinum no suele cursar con sintomatología sistémica61. De forma infrecuente puede producir sinovitis u osteomielitis86,87 y en casos excepcionales llega a diseminarse88-90. Tras un periodo de incubación de 2-3 semanas se forma una pápula o pústula que evoluciona a una úlcera costrosa o un absceso. Las lesiones suelen ser autorresolutivas, cicatrizando en el periodo de 1-3 años18. Aquellas que presentan un menor tamaño pueden curar sin tratamiento, aunque otras pueden progresar. Por lo tanto, dado que no podemos saber qué evolución van a tener, es conveniente iniciar el tratamiento cuando se confirma el diagnóstico61.
Fig. 13.--Patrón esporotricoide por M. marinum.
Entre los tratamientos más frecuentemente recomendados se encuentran la minociclina, la doxiciclina y el etambutol más rifampicina72,84,91-93. También se utilizan la rifabutina94, el ciprofloxacino69 o la claritromicina69,92,94,95. El cotrimoxazol es para algunos el tratamiento de elección por su seguridad, precio y eficacia78. La duración de la antibioterapia suele prolongarse un mínimo de 6 meses o al menos 2 meses más después que las lesiones desaparezcan (lo que sea más largo)91. Otros aconsejan mantenerla durante periodos de un año18. Otros métodos de tratamiento incluyen: curetaje, crioterapia, electrocoagulación, calor local, corticoides intralesionales, incisión y drenaje15.
El diagnóstico diferencial incluye, entre otros; esporotricosis, leishmaniasis, tuberculosis cutánea, micosis o granulomas de cuerpo extraño79. La ausencia de adenopatías regionales llamativas sirve para diferenciar esta infección de la enfermedad por arañazo de gato y de la tuberculosis primaria por inoculación96.
M. chelonae
El término chelonae hace referencia al género al que pertenece la tortuga marina (Chelonia corticata) en donde fue aislado en el pulmón por Bergey en 192397. Su temperatura de crecimiento óptima está entre 28-32 °C98 y se constituye como el patógeno más importante del grupo IV de Runyon. Se encuentra en el agua y en el suelo59.
Al aislarse por vez primera se incluyó en el complejo M. fortuitum. En 1972, mediante marcadores fenotípicos, se descubrieron dos subespecies: M. chelonae chelonae y M. chelonae abscessus que permitieron su separación de M. fortuitum99. Estudios realizados sobre el ADN cromosómico parecen indicar que estas dos subespecies son en realidad especies distintas. Taxonómicamente las dos subespecies no se diferenciaban como tales en los primeros trabajos publicados, debido a la falta de disponibilidad de las técnicas precisas para ello y porque no era trascendente desde el punto de vista clínico. De esta forma, la mayor parte de casos publicados como infecciones nosocomiales o en pacientes con enfermedad pulmonar crónica citadas como M. chelonae eran debidas a la subespecie abscessus. En 1992 había tan sólo 16 casos publicados de aislamientos de M. chelonae chelonae identificado como subespecie100.
La separación del M. chelonae chelonae respecto a la subespecie abscessus se realiza bioquímicamente por la capacidad de esta última de no crecer ante la presencia de cloruro sódico al 5 %. A su vez, existe otro test bioquímico como es el uso de citrato como fuente de carbono que es positivo en M. chelonae chelonae y que constituye el test de elección para separar las dos subespecies100.
Como trastornos concomitantes en casos diseminados de M. chelonae chelonae están la artritis reumatoide (25 %) y los trasplantes (25 %). También son importantes aquellos pacientes que están en programa de hemodiálisis y los que sufren enfermedades autoinmunes que requieren corticoterapia sistémica100. También se han descrito varios casos en pacientes neutropénicos101. En pacientes trasplantados la infección se manifiesta como media a los 3,5 años después de haber recibido el trasplante102. Se ha descrito en pacientes con otras dermatosis como síndrome de Sweet103 y dermatomiositis104. Los pacientes con infección por VIH no parecen presentar mayor riesgo, aunque sí puede tenerlo el uso de corticoides sistémicos o el uso de catéteres intravenosos por periodos prolongados. En general, más del 90 % de los casos se dan en pacientes que toman corticoides a dosis relativamente bajas (5-20 mg/día) asociados o no a otros inmunosupresores. Los principales factores de riesgo para sufrir enfermedad cutánea por M. chelonae chelonae son los traumatismos previos y los tratamientos con corticoides100.
Se han descrito infecciones por catéteres peritoneales105,106, intervenciones de dacriocistorrinostomía107, laserterapia en miopía108, liposucciones109 (fig. 14), uso de violeta de genciana contaminado en intervenciones de cirugía plástica110, traumatismos por el uso de lavaplatos98, depilación111, inyecciones112-114, uso de broncoscopios115,116, heridas superficiales117 o en pacientes que tenían tortugas como mascotas118. También existen casos idiopáticos119,120. Aparte de la afectación cutánea, que suele ser la principal manifestación, esta micobacteria se ha visto relacionada en casos de endocarditis tricuspídea121, abscesos tiroideos122, linfadenitis103,123, lesiones gingivales118, queratitis124,125 y en otitis media-mastoiditis126,127.
Fig. 14.--Lesiones fistulizadas tras liposucción por M. chelonae.
El periodo de incubación oscila entre 3 semanas y 6 meses111. La principal presentación cutánea es la forma diseminada con 5-100 nódulos eritematosos circunscritos o con tendencia a confluir en grandes masas con fístulas de drenaje múltiples100 (figs. 15A y B y 16). También se puede presentar como nódulos subcutáneos simulando lesiones vasculíticas128. Se suelen localizar en las regiones dorsales de las extremidades100. Preferentemente afectan las extremidades inferiores129 y deberían entrar en el diagnóstico diferencial de los procesos que cursan con nódulos crónicos en dicha localización119 (fig. 17). No suelen tener disposición lineal ni esporotricoide. Las lesiones de mayor tamaño pueden ser dolorosas y son raros los síntomas sistémicos. En excepcionales ocasiones puede precederse de afectación pulmonar130 o de fiebre periódica131. La segunda forma de presentación, en orden de frecuencia, son las celulitis localizadas, los abscesos subcutáneos o la osteomielitis. La tercera forma es la relacionada con el uso de catéteres100.
Figs. 15A y B.--Nódulos por M. chelonae en extremidades inferiores.
Fig. 16.--Detalle de la anterior.
Fig. 17.--Lesiones en extremidades inferiores por M. chelonae.
De no tratarse, las lesiones tienden a cronificarse, y se pueden diseminar en pacientes inmunodeprimidos111. Al igual que sucede con la mayor parte de micobacterias atípicas no hay un tratamiento convencional para estas micobacterias, por lo que suelen ser frecuentes las combinaciones antibióticas. De esta forma, se encuentran tratamientos con claritromicina59,60,112, 117,119,128,132-134, rifampicina134, amikacina106,125, etionamida134, tobramicina120,132, ciprofloxacino21,59,60,120,134, minociclina104, cotrimoxazol114,128,134, eritromicina114,120 o cefoxitina126. En algunos casos también se han empleado procedimientos quirúrgicos asociados126. Para algunos, la claritromicina es el medicamento de elección93,135,136 en dosis de 500 mg/12 h durante 6 meses en no infectados por el VIH92,93; sin embargo, puede presentar resistencia a dicho antibiótico104,137,138. Esto ha propiciado la recomendación del uso en pacientes inmunodeprimidos de al menos dos medicamentos119,138. En casos de afectación sistémica se necesitan asociar tres o más antibióticos139. En inmunodeprimidos puede resultar eficaz una reducción de las dosis de inmunosupresores para alcanzar respuestas terapéuticas satisfactorias a los antibióticos59. En casos de enfermedad localizada pueden ser suficientes de 2 a 4 meses de tratamiento, mientras que en casos de infecciones graves se pueden necesitar más de 6 meses o 3 meses de tratamiento antibiótico tras ser realizado un desbridamiento amplio de la zona121. Es recomendable mantener el tratamiento de 4 a 6 semanas una vez que la sintomatología ha remitido140.
M. haemophilum
Descrito por Sompolinsky et al141 en 1978 a partir de unas úlceras cutáneas en un paciente con enfermedad de Hodgkin. Pertenece al grupo III de Runyon y requiere, a diferencia del resto de micobacterias, la presencia de hemoglobina o hemina en los medios de cultivo y una temperatura óptima entre 30-32 °C. Para su aislamiento también se necesitan periodos que oscilan entre 14-28 días. Estas dos especiales características han propiciado que los trabajos publicados sean escasos con menos de 120 casos descritos en la literatura médica142. Parece existir crecimiento en menor grado a temperaturas de 37 °C precisando, en este caso, periodos prolongados de incubación, de forma similar a lo que ocurre con otras especies de micobacterias atípicas como M. marinum y M. ulcerans15.
En las series de pacientes más amplias, las formas de presentación más frecuentes son las lesiones cutáneas seguidas de enfermedad pulmonar, artritis y osteomielitis. La mayor parte de pacientes se encuentran inmunodeprimidos presentando trasplantes de médula ósea, infección por VIH o cánceres hematológicos142,143. En el VIH pueden producirse artritis sépticas poliarticulares, especialmente cuando existen recuentos bajos de CD4144. Otro grupo de riesgo son los niños sanos con linfadenitis perihiliar y cervical70,145.
Las formas cutáneas o articulares tienen un pronóstico más favorable que las formas que cursan con afectación pulmonar142. También existen casos de afectación muscular con piomiositis en el curso de una polimiositis146. Las lesiones cutáneas suelen ser múltiples y generalmente afectan a las extremidades. Otras localizaciones menos frecuentes son la cara, abdomen, nalgas y mamas15,18. Se presentan en forma de pápulas, pústulas, abscesos y úlceras18. También se han descrito lesiones purpúricas70 y anulares145.
Queda por determinar la combinación eficaz de medicamentos para combatir esta micobacteria, así como la duración de la terapia18,92,93. Las tetraciclinas y el cotrimoxazol muestran resultados variables en cuanto a su actividad in vitro15. Existen tratamientos con ciprofloxacino, claritromicina, isoniazida, ofloxacino, etambutol y rifampicina70,72, azitromicina145 o cirugía15. En la mayor parte de trabajos publicados se caracteriza por ser resistente a isoniazida, estreptomicina y etambutol, siendo sensible a rifampicina o al ácido paraaminosalicílico (PAS). La mayor parte de los pacientes responden bien a los tratamientos aunque pueden requerir terapias prolongadas de meses o años15,70. Parece importante, para lograr un tratamiento eficaz, mejorar el estado inmunitario del paciente como pueda ser el inicio de terapia antirretroviral en el caso del VIH145.
M. fortuitum
Fue aislado en ranas por Kuster en 1905147. Pertenece al grupo IV de Runyon y requiere una temperatura óptima de 28 °C para su cultivo, apareciendo las primeras colonias a los 3-7 días. Se encuentra en el agua, suelo, polvo y animales148.
La puerta de entrada proviene de procedimientos quirúrgicos como catéteres105,149,150, liposucciones151, polipectomías152, inyecciones epidurales153, esternotomías61,154,155, extracciones dentarias156, agujas de electromiografía157, mamoplastias158 o implantación de prótesis mamarias de silicona61,159, por lo que parece estar implicado material quirúrgico contaminado152. A veces, puede ser debido a la administración de enemas160. Es excepcional en pacientes inmunocompetentes sin historia previa de traumatismos161.
Los pacientes inmunodeprimidos son más propensos a sufrir lesiones más graves y extensas162. La infección por el VIH no parece incrementar el riesgo de infección20. Las formas diseminadas son muy poco frecuentes describiéndose el primer caso a comienzos de la década de 1990 en un paciente adicto a drogas por vía parenteral y con sida163. Puede ocasionar un amplio espectro de enfermedades como endocarditis, meningitis, neumonías, queratitis, fístulas perianales, linfadenitis, osteomielitis, tenosinovitis y lesiones cutáneas. Estas últimas se pueden presentar como celulitis, abscesos, nódulos o úlceras que drenan un material serosanguinolento o purulento con zonas de necrosis subcutánea y linfadenopatías regionales148,161,164 (fig. 18). También puede presentarse como múltiples lesiones papulopustulosas162.
Fig. 18.--Pápulas diseminadas por M. fortuitum.
Sin el tratamiento adecuado las infecciones pueden persistir hasta periodos de 8 años148. No existen estudios controlados sobre el tratamiento más adecuado para estas micobacterias92,93,151. Se han descrito tratamientos con amikacina148,152,156,160,161, claritromicina148,150,160-162,164, isoniazida153, etambutol153, doxiciclina162, cefoxitina156,161, ciprofloxacino150,156,160,161, ofloxacino164, rifampicina153, imipenem152, cotrimoxazol160, etionamida152 o cirugía161,164. En casos graves, puede ser necesaria la administración intravenosa de cefoxitina más amikacina durante 2 a 4 semanas, para después, si se produce mejoría clínica, pasar a un régimen oral ajustado en función de las sensibilidades bacterianas20,151. En general, es sensible a amikacina, cefoxitina, imipenem, ciprofloxacino, cotrimoxazol, claritromicina y violeta de genciana105,165. En pacientes con poco grado de inmunosupresión se pueden tratar con 1 o 2 antibióticos, mientras que en casos de inmunodepresión grave puede ser necesaria una triple terapia20. Por supuesto, es fundamental extraer los materiales contaminados causantes de la infección como son catéteres o prótesis159,166.
M. avium-intracellulare
Pertenece al grupo III de Runyon. Se trata de una micobacteria atípica de distribución universal que se aísla en agua, suelo, polvo doméstico y en diversos animales como pájaros, ganado bovino y porcino. Es muy abundante en climas templados con aguas y terrenos ácidos y pantanosos167. Crece lentamente a 37 °C. El complejo M. avium (MAC, del acrónimo inglés) incluía las especies M. avium, M. intracellulare (MAI) y, en épocas anteriores, a M. scrofulaceum (MAIS). A través de procesos de hibridación con sondas de ADN se han diferenciado dos especies, M. avium y M. intracellulare, que permiten caracterizar con exactitud el origen de las patologías, por lo que la denominación MAC ha quedado obsoleta4.
Previamente a la aparición del sida, existían muy pocos casos y todos ellos eran en pacientes con enfermedades pulmonares crónicas, siendo excepcional la diseminación de las lesiones. Más raras aún eran las lesiones cutáneas como lo demuestra el hecho que en 1981 sólo se habían descrito 2 casos con infección cutánea primaria168. También puede afectar a pacientes con sarcoidosis sistémica83 o leucemia169. La infección suele contraerse por vía respiratoria, siendo la enfermedad pulmonar crónica la forma más frecuente de presentación168.
En Estados Unidos está considerada la micobacteria atípica que causa con más frecuencia enfermedad pulmonar en pacientes no afectados por el VIH17. En pacientes con sida se presenta de forma diseminada en recuentos inferiores a 100 CD4/ml170. En España, en el Registro Nacional de Casos de SIDA, se recogieron 21 casos de pacientes VIH con esta infección durante 1998171. Parece existir una inmunidad cruzada con M. tuberculosis, lo cual podría explicar la baja incidencia de enfermedad diseminada en países con alta incidencia de enfermedad o infección tuberculosa, como en el caso de España171.
La afectación cutánea es muy poco frecuente. Existen tres formas de presentación que incluyen úlceras o nódulos subcutáneos aislados producidos por inoculación traumática en tronco o extremidades (fig. 19); linfadenitis cervical que puede evolucionar a un absceso cutáneo y múltiples nódulos o úlceras en casos diseminados172. En estos últimos, se observa la presencia de fiebre, adelgazamiento, anorexia, dolor óseo y abdominal, diarrea, linfadenopatías y esplenomegalia, detectándose en los hemocultivos en medios especiales en más del 90 % de los casos17,171,173. También se puede diagnosticar mediante el cultivo del aspirado de médula ósea o por el estudio de la biopsia cutánea174. En general, los casos con afectación cutánea suelen asociarse a compromiso pulmonar, a diferencia de los casos de linfadenitis y osteomielitis175. Se atribuye a estas micobacterias el 80 % de los casos de linfadenitis y el 20 % restante a M. scrofulaceum173. También puede simular lesiones de sarcoidosis cutánea175. Se han descrito casos asociados con liquen scrofulosum176 y síndrome de Sweet103. Como hecho aislado existen casos de varios miembros inmunocompetentes de una misma familia con afectación puramente cutánea, secundarios a sistemas de agua caliente domiciliario contaminados con M. avium177.
Fig. 19.--Lesiones por venopunción en paciente VIH por M. avium.
El tratamiento se basa en el uso de varios antibióticos y de la cirugía, que deben de combinarse en casos diseminados172. Algunos de los tratamientos recogidos en la literatura médica son isoniazida, claritromicina, cicloserina, azitromicina, clofacimina, rifabutina, rifampicina o ciprofloxacino71,172,173,177. Se suelen necesitar al menos dos de estos medicamentos, siendo los más empleados la azitromicina y la claritromicina, asociándose por separado con alguno de los anteriores173. En casos de lesiones diseminadas en pacientes inmunocompetentes, puede usarse la pauta de claritromicina/azitromicina más etambutol más rifampicina92,93. La duración media de los tratamientos oscila entre 18 y 24 meses178. La duración en el caso de pacientes con sida es de por vida171. En pacientes con VIH que inician tratamiento antirretroviral, puede existir el denominado síndrome de restauración de la inmunidad que consiste en la reactivación de una infección por micobacterias atípicas al recuperar el organismo la capacidad de respuesta inmunitaria170. En España no se está recomendando la profilaxis primaria en pacientes VIH que inicien tratamiento antirretroviral de alta eficacia171, aunque en casos de pacientes inmunodeprimidos o en VIH con menos de 50-100 CD4/ml, se recomienda administrar de forma indefinida claritromicina (500 mg/12 h) o azitromicina (1.200 mg semanalmente)92,93. El tratamiento de mantenimiento, como profilaxis primaria, puede suspenderse en aquellos casos que, de forma mantenida durante más de 6 meses, consigan una recuperación del estatus inmunológico con más de 100-150 CD4/ml92,93,171. El tratamiento en caso de profilaxis secundaria (supresión postratamiento) se efectúa con claritromicina o azitromicina, asociados ambos a etambutol (15 mg/kg/día)92,93.
M. ulcerans
El primer caso confirmado fue publicado en 1948 por MacCallum et al179 en Australia, si bien los primeros casos fueron descritos en 1897 por Sir Albert Cook en Uganda, aunque posteriormente no fueron publicados en revistas médicas. En dicho país, existe una zona endémica donde se describieron gran cantidad de casos en los años 1950, de donde toma el sobrenombre de «úlcera de Buruli». Suele encontrarse en zonas próximas a los ríos o en aguas estancadas; por ello, afecta, en la mayor parte de los casos, a la población rural de países tropicales o subtropicales (Uganda, Congo, sureste de Asia y Australia). Se han descrito también casos esporádicos en Europa180,181.
El microorganismo causante crece mejor a temperaturas de 30-32 °C, y produce una toxina denominada micolactona, que es la responsable de la destrucción tisular.
Suele afectar principalmente a niños y adolescentes. Se transmite a partir de heridas o picaduras de insectos, y se localiza donde éstas son más frecuentes, en la extremidades inferiores. Se desconoce el modo de transmisión, pero parece que podrían estar implicados ciertos insectos acuáticos de las especies Naucoris y Dyplonychus. El periodo de incubación es aproximadamente de 2 meses, a partir de los cuales se desarrolla en la puerta de entrada un nódulo asintomático o pruriginoso de 1-2 cm de diámetro que evoluciona a una úlcera indolente de crecimiento lento y progresivo que no se suele acompañar de síntomas sistémicos. También existen lesiones tipo pápula, placa o formas edematosas. En ocasiones, pueden desarrollarse osteomielitis u osteítis subyacentes182. Existen casos de afectación diseminada descritos en pacientes infectados por el VIH182. Como datos clínico-epidemiológicos que pueden orientar a su diagnóstico figuran el hecho de que el paciente viva o haya viajado a una zona endémica, sea menor de 15 años de edad y que la lesión esté localizada en las extremidades inferiores.
Sin aplicar ningún tratamiento, las lesiones suelen ser autorresolutivas en el plazo de 3-6 meses, pero a costa de dejar secuelas irreversibles con formación de cicatrices retráctiles y contracturas. Otras posibles complicaciones son el sangrado, la infección secundaria de las lesiones o la destrucción de estructuras adyacentes. El tratamiento es fundamentalmente quirúrgico, con amplias exéresis que deben de llegar a la fascia subyacente, a no ser que ésta también esté afectada y posterior reconstrucción mediante injertos cutáneos. De vital importancia es el tratamiento rehabilitador para prevenir deformidades. Se asocia a lo anterior tratamiento antibiótico con rifampicina180, claritromicina180 o etambutol en casos de amplias lesiones o casos diseminados. Otra pauta es la que asocia rifampicina más amikacina o etambutol junto a cotrimoxazol de 4 a 6 semanas92.
M. abscessus
Se encuentra ampliamente distribuido pudiéndose aislar del suelo, polvo y agua. Presenta una gran resistencia ante los métodos de esterilización y desinfección por lo que pueden verse implicados en brotes de infecciones nosocomiales. En la mayor parte de los casos descritos en seres humanos se adquiere por la inoculación ante traumatismos accidentales, intervenciones quirúrgicas o inyecciones183,184. Desde 1992 se considera una nueva especie diferente de M. chelonae12. La identificación y la diferenciación de las especies de M. chelonae y M. abscessus tiene poca relevancia a la hora de diferenciar cuadros clínicos puesto que estos son muy parecidos, con la excepción de que un 90 % de las enfermedades pulmonares son producidas por M. abscessus y que la mayor parte las infecciones cutáneas diseminadas están provocadas por M. chelonae185 por lo que remitimos al lector a lo ya referido en el trabajo de esta última micobacteria.
M. scrofulaceum
Figura como el segundo agente causal de linfadenopatías cervicales, precedido tan sólo por M. avium intracellulare186. Es una micobacteria de crecimiento lento que se encuentra en agua y en el tracto respiratorio humano. Sus principales manifestaciones clínicas son la linfadenitis cervical en niños y la enfermedad pulmonar en adultos. En un amplio estudio realizado en Estados Unidos entre 1958 y 1990 se recogieron 105 casos de linfadenitis en niños, de los cuales M. scrofulaceum era el principal agente causal hasta el año 1978, a partir del cual, comenzaron a imperar los casos atribuidos a M. avium complex. Estos autores no se explican el porqué de dicho cambio epidemiológico. El comienzo de la enfermedad es en torno a los 3 años de edad, siendo menores de 5 años el 80 % de los casos. Parece existir una ligera preponderancia en mujeres y una predilección estacional en invierno y primavera187. Resulta fundamental, en el caso de la linfadenitis, saber si el germen causante es M. tuberculosis o una micobacteria atípica, dado que el tratamiento en el primer caso es la asociación de cirugía y antibioterapia, además de las consideraciones epidemiológicas específicas que se derivan de dicha enfermedad; por el contrario, de demostrarse una micobacteria atípica, el tratamiento es fundamentalmente quirúrgico. Con más probabilidad estaremos ante una linfadenitis por micobacterias atípicas en el caso de que la prueba de Mantoux sea inferior a 15 mm, la radiografía de tórax sea normal, la ausencia de exposición ante otro paciente con tuberculosis, la prueba de Mantoux negativa en los miembros familiares y la edad del paciente menor de 4 años188. Se manifiesta como un nódulo localizado preferentemente en la región yugular o submandibular, unilateral, eritematoso o violáceo, que puede fistulizar en el 20 % de los casos. El tono violáceo de la piel parece ser característico de infección por micobacterias atípicas. Es de carácter asintomático o levemente doloroso y no se suele acompañar de síntomas sistémicos189. De forma excepcional puede producir lesiones cutáneas en forma de papulopústulas a través de traumatismos en dedos190-193 así como cuadros diseminados192. Se ha asociado a síndrome de Sweet103, lupus eritematoso sistémico192 y a osteomielitis194.
Entre los tratamientos que pueden administrarse figuran la rifampicina186,190, etambutol186,193, azitromicina190,195, isoniazida193, claritromicina186, kanamicina195 y etionamida195. Algunos autores recomiendan asociar claritromicina más clofacimina con o sin etambutol92,93. El tratamiento de elección, en caso de adenopatías, es la extirpación quirúrgica que ha de ser precoz para evitar complicaciones como la cronificación de las lesiones o la fistulación186. Algunos autores aconsejan que la intervención quirúrgica se realice antes de un mes desde el comienzo del cuadro, para así lograr un resultado estético satisfactorio57.
M. kansasii
Se trata de una micobacteria, de lento crecimiento, fotocromógena perteneciente al grupo I de Runyon. Fue aislada en 1953196 y crece a una temperatura óptima de 37 °C. Su hábitat natural se encuentra en el medio acuático, detectándose en piscinas, depósitos de agua o en aguas residuales. En agua corriente es capaz de sobrevivir durante un año197. Afecta principalmente a personas inmunodeprimidas. Se han descrito casos en pacientes con sida, trasplantados renales, lupus eritematoso sistémico, cánceres hematológicos, vasculitis, dermatomiositis, leiomiosarcoma, tratamientos con corticoides sistémicos prolongados, etc.198. En el 72 % existe un trastorno inmunodepresivo que favorece la aparición y diseminación de las lesiones; en el 28 % restante aparece en pacientes inmunocompetentes. En estos casos el modo de infección es a través de pequeños traumatismos cutáneos199. Existe un caso con lesiones diseminadas en un paciente inmunocompetente asociado a tubercúlide papulonecrótica200.
El primer caso de lesiones cutáneas por esta micobacteria data de 1965196, y hasta 2001 se han registrado 45 casos adicionales199. Predomina en varones en torno a la quinta década de la vida198. Su principal manifestación clínica es en forma de infección pulmonar en pacientes con enfermedad respiratoria previa. Otras formas de presentación son linfadenitis en niños, meningitis, tendinitis, sinovitis, infecciones oculares, artritis, empiema, osteomielitis, síndrome del túnel carpiano e infecciones hepáticas o esplénicas199,201-203.
La forma de presentación clínica es muy variada, al igual que sucede con otras micobacterias. Entre las manifestaciones clínicas se han descrito nódulos, pápulas, pústulas, úlceras, celulitis, lesiones esporotricoides, etc., de carácter generalmente indolente. El tratamiento de las formas cutáneas gira en torno a la exéresis quirúrgica199,202 y a la administración de antibióticos como eritromicina199, isoniazida197,198,200-207, etambutol197,198,200-204,206, rifampicina197,198,200-206, estreptomicina206,207, PAS207 o pirazinamida204.
M. szulgai
Es una micobacteria escotocromógena del grupo II de Runyon descrita por primera vez en 1972208, sin que hoy día esté aclarado su origen ambiental209. Se trata de un patógeno humano muy poco frecuente; en la literatura especializada, hasta el año 2000, sólo se han recogido una treintena de casos como causante de enfermedad pulmonar en pacientes con afectación previa en forma de enfermedad cavitaria o fibrosis210. Cursa como si fuera una tuberculosis convencional con infiltrados en los lóbulos superiores o cavitación211.
A la escasez de casos pulmonares hay que añadir la dermatológica, con tan sólo 5 casos descritos hasta el año anteriormente referido. La mayor parte de casos descritos están asociados a inmunodepresión210. Pueden presentarse en forma de pápulas eritematosas ocasionalmente ulceradas209. Existen pacientes con infección por esta micobacteria en forma de síndrome del túnel carpiano asociado a tenosinovitis212,213, osteomielitis209,214,215 o de queratitis tras cirugía ocular con láser216-218.
El tratamiento se basa en la administración de isoniazida209,210,219-221, rifampicina209,210,219-222, etambutol209,210,219-222, estreptomicina221, ciprofloxacino222 o claritromicina210,218, así como escisión o drenaje de las lesiones210.
M. gordonae
Su nombre se debe a su descubridora, una microbióloga americana llamada Ruth E. Gordon. Existen muy pocos casos descritos de infección por esta micobacteria perteneciente al grupo II de Runyon que normalmente se considera como contaminante, recogiéndose tan sólo 21 casos hasta 1992223. Incluso en pacientes inmunodeprimidos o con alteraciones en los estudios radiológicos torácicos se considera no patógena, pudiendo encontrarse otras causas o agentes microbiológicos que expliquen estas alteraciones. A pesar de su amplia distribución, tanto en el suelo como en el agua, tampoco se han descrito brotes epidémicos verdaderos con esta micobacteria, lo que refleja su baja patogenicidad224. Sí se han recogido brotes seudoepidémicos en relación con medios Bactec contaminados225 o por agua contaminada226. Es necesario, para que sea considerado patógeno, su aislamiento repetido en las muestras que se remiten para estudios de laboratorio, la presencia de múltiples colonias en cada medio de cultivo y de enfermedad clínica y/o histología compatible con infección por micobacterias y la erradicación del microorganismo conforme mejora la situación clínica del paciente223. Muchos de los casos recogidos en la literatura médica están mal documentados y no cumplen los criterios relatados223.
Algunos autores apoyan el hecho de su patogenicidad ante su aislamiento en pacientes con infección pulmonar, lesiones cutáneas227-229, peritonitis230, endocarditis231, bacteriemia232 o ileítis233. En el caso de afectación pulmonar esta es más frecuente en varones entre la quinta y octava década de la vida con enfermedad pulmonar previa, localizándose radiológicamente a nivel de los lóbulos superiores. Muchos de estos casos acaban cronificándose a pesar de los tratamientos223. Las lesiones que afectan a piel y a tejidos blandos son más frecuentes en mujeres jóvenes sin enfermedad de base, sin síntomas sistémicos asociados y con respuesta favorable a los tratamientos223. Suelen localizarse en sitios de traumatismos como las extremidades y desde el punto de vista dermatológico cursan con pápulas, placas, nódulos o úlceras.
El tratamiento se basa en la administración de claritromicina229,232, rifabutina232, rifampicina228,229,233, isoniazida228,229,233, minociclina228 o etambutol232,233 o mediante cirugía227.
AGRADECIMIENTOS
Queremos expresar nuestra gratitud hacia el Dr. Jesús Fernández Herrera por el magnífico material iconográfico que nos ha aportado para la elaboración de este trabajo.



























