INTRODUCCION
Las metástasis cutáneas de neoplasias internas no son frecuentes. Su presencia implica un mal pronóstico, puesto que son un signo objetivo de diseminación tumoral. El reconocimiento de estas lesiones tiene gran importancia ya que, a veces, constituyen la primera manifestación de un tumor maligno. Las metástasis cutáneas adoptan una expresividad clínica variable, incluyendo formas clínicas que se asemejan a otros procesos cutáneos de carácter benigno 1,2. Presentamos el caso de un paciente con metástasis cutáneas que simulaban un herpes zóster.
CASO CLINICO
Un varón de 62 años, sin antecedentes personales de interés, ingresó en el hospital para estudio de una anemia microcítica de 4 meses de evolución y diarrea. Desde hacía 2 meses el paciente presentaba unas lesiones cutáneas eritematosas, asintomáticas, localizadas en la fosa iliaca, ingle y tercio superior del muslo izquierdo, previamente diagnosticadas como herpes zóster por su médico de familia y tratadas con famciclovir oral sin mejoría. En la exploración física se observaban múltiples pápulas y vesículas sobre una base eritematosa, infiltradas, localizadas en la fosa iliaca, pubis, ingle, y tercio superior del muslo izquierdo, distribuidas siguiendo el dermatoma L1-L2 (fig. 1). Se acompañaban de un discreto linfedema del miembro inferior izquierdo. Se practicó biopsia cutánea cuyo estudio histopatológico mostró una epidermis normal, sin evidencia de infección viral y una dermis cuyos vasos linfáticos aparecían permeados por grupos de células de aspecto tumoral (fig. 2). Estas células eran grandes, pleomórficas, algunas de citoplasma claro con el núcleo desplazado hacia la periferia, remedando un «anillo de sello» (fig. 3). Estos hallazgos eran compatibles con una invasión linfática diseminada por células de un adenocarcinoma pobremente diferenciado. Ante estos datos y por la clínica que tenía el paciente se solicitó una colonoscopia, con la que se apreció una formación de características malignas en recto, tendente a estenosar. El estudio histopatológico de la lesión fue de adenocarcinoma de recto. Se completó estudio con gammagrafía ósea, en el que no se hallaron metástasis óseas y tomografía computarizada (TC) toracoabdominal en el que se observó, aparte de la masa tumoral, una adenopatía en área inguinal izquierda y adenopatías retroperitoneales altas de características metastásicas. El paciente fue intervenido quirúrgicamente y remitido al Servicio de Oncología para tratamiento con quimioterapia y radioterapia.
Fig. 1.--Pápulas y vesículas sobre la base eritematosa en la fosa iliaca, pubis, ingle y tercio superior de muslo izquierdo.
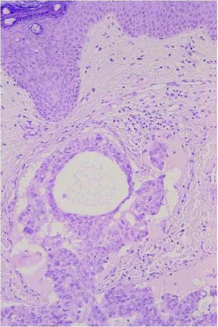
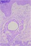
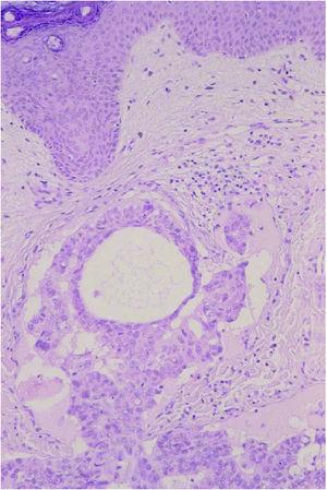
Fig. 2.--Dermis con vasos linfáticos permeados por grupos de células de aspecto tumoral. (Hematoxilina-eosina, ×40.)
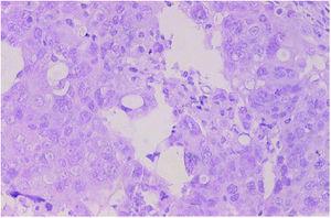
Fig. 3.--Células grandes, pleomórficas, algunas de citoplasma claro con el núcleo desplazado hacia la periferia remedando un «anillo de sello». (Hematoxilina-eosina, ×100.)
DISCUSION
La frecuencia de las metástasis cutáneas de neoplasias malignas internas.
Se estima entre el 0,6 y el 9 % de pacientes con cáncer 3. La presencia de estas metástasis constituye un signo de mal pronóstico, pues es un signo clínico de diseminación tumoral 4.
Clínicamente la mayoría de metástasis cutáneas se presentan como pápulas o nódulos de consistencia firme, no dolorosas, bien delimitadas, eritematosas o violáceas, solitarias o múltiples y de crecimiento progresivo. Sin embargo, existen otros patrones clínicos de presentación en los que las lesiones observadas simulan otros procesos cutáneos como la erisipela (metástasis cutáneas erisipeloides), alopecia areata, sarcoma de Kaposi, queratoacantoma, quistes sebáceos, morfea, granuloma piogénico, cilindromas múltiples, hidrosadenitis supurativa o un herpes zóster 1.
En nuestro caso, las metástasis cutáneas adoptaban un patrón de distribución que simulaba un herpes zóster 5-9.
En una revisión de la literatura médica, se señala que de 26 casos de metástasis cutáneas herpetiformes, 18 se debían a una neoplasia maligna interna, cuatro a un carcinoma de células escamosas de la piel, tres a melanoma y una a neoplasia anexial. Un paciente presentó metástasis herpetiformes 6 meses después de haber sido intervenido quirúrgicamente de un adenocarcinoma de recto 8. La edad media de los pacientes afectados por metástasis herpetiformes es de 61 años y la proporción hombre:mujer de 1,4:1. El pulmón y la mama son la localización más frecuente del tumor primario, y el tronco es el lugar de asentamiento en el 85 % estas metástasis, seguido de las piernas (11 %) y brazos (4 %) 7. La histología del tumor primario es compatible con adenocarcinoma en la mayoría de los casos 7. En el 12,5 % de pacientes las lesiones cutáneas preceden en su aparición al diagnóstico del tumor primario.
Existen diversas hipótesis que tratan de explicar el mecanismo por el cual estas metástasis adoptan esa morfología tan característica. Se ha sugerido un fenómeno isomórfico en el lugar donde previamente hubo una infección por herpes zóster. Otros autores abogan por una diseminación de células metastásicas por los vasos linfáticos perineurales, e incluso por los vasos fenestrados de la raíz del ganglio dorsal. También se ha atribuido a la implantación de células tumorales de forma accidental durante el acto quirúrgico 9.
Correspondencia:
José Torné.
Jardines, 11 2.º F.
47005 Valladolid. España.
itorne@aedv.es
Recibido el 10 de noviembre de 2005.
Aceptado el 14 de febrero de 2006.





