El cáncer de mama ocupa el primer lugar en incidencia y mortalidad entre las neoplasias malignas del sexo femenino a nivel mundial1.
Estos tumores pueden producir metástasis tanto a nivel sistémico como cutáneo.
Las metástasis cutáneas se definen como neoplasias malignas que comprometen la dermis o el tejido subcutáneo sin mantener relación de contigüidad con el tumor primario que le da origen2.
Las metástasis cutáneas de neoplasias internas son un hecho infrecuente que pueden presentarse durante el curso evolutivo de la enfermedad neoplásica, así como ser la primera manifestación de esta3.
Caso clínicoUna mujer de 67 años con antecedentes personales de un carcinoma ductal infiltrante de mama derecha, diagnosticado y tratado hace 20 años con mastectomía radical, radioterapia y quimioterapia, y libre de enfermedad hasta la fecha, consultó por una lesión tumoral pigmentada localizada en la región mamaria derecha.
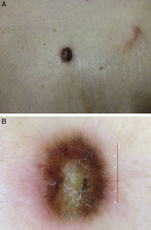
En la exploración física se constató que sobre la cicatriz de la mastectomía había una tumoración redondeada, de limites netos, de aproximadamente 1cm de diámetro, con una superficie queratósica, de color negro y con base eritematosa, levemente indurada a la palpación (fig. 1A). La dermatoscopía reveló la presencia de hipopigmentación central, con proyecciones radiales y glóbulos en la periferia. En el polo inferior se observaban vasos tortuosos (fig. 1B).
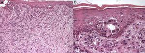
El estudio histológico de la lesión mostró la presencia de una infiltración dérmica difusa por células tumorales epiteliales con un moderado pleomorfismo celular y nuclear. Por sectores conforman estructuras ductales, y en otras las células tumorales se disponen en fila india. La infiltración tumoral comprometía la epidermis, con un marcado epidermotropismo. Se observaba la presencia de pigmento en las células tumorales superficiales y la dermis superficial (fig. 2).
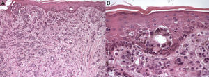
La inmunohistoquímica fue positiva para citoqueratina (CK): CK7 y negativa para S100, HMB45, Melan-A y CK20 (fig. 3). Presentaba una positividad focal para los receptores de estrógenos y de progesterona, y negativo para Hercep test®.
Con los hallazgos en la histopatología e inmunohistoquímica se llegó al diagnóstico de metástasis pigmentada de carcinoma de mama.
DiscusiónLa forma epidermotropa pigmentada es una presentación clínica infrecuente y atípica del carcinoma de mama descrita por primera vez por Azzopardi y Eusebi en 19774,5.
Existen diversas teorías sobre el origen del pigmento en este tipo de lesión, una de ellas plantea el aumento en el número de melanocitos y la síntesis de melanina en la lesión5,6. Otra sostiene que existe una transferencia de melanina desde los melanocitos hacia las células del carcinoma o incluso que las propias células tumorales pueden producir melanina6.
Clínicamente se presenta como una lesión tumoral de color negro, indurada que generalmente asienta próximo o sobre la cicatriz de la mastectomía7. El principal diagnóstico diferencial es el de melanoma, el cual clínica e histológicamente pueden simularlo4,7.
La dermatoscopia puede ser de utilidad en el diagnóstico, aunque existen pocos datos en la literatura sobre los hallazgos dermatoscópicos de las metástasis cutáneas, siendo las formas pigmentadas una de las menos frecuentes8.
En la histopatología de las metástasis de cáncer de mama se evidencia un compromiso de la dermis por las células tumorales, que pueden disponerse en forma individual, en fila india entre los haces de colágeno, conformando cordones, nidos, estructuras glandulares o agregados sólidos. A mayor aumento estas células muestran unos núcleos poligonales, hipercromáticos y pleomórficos. Las metástasis pigmentadas de cáncer de mama presentan conexión con la epidermis y ascenso pagetoide, tanto de células individuales como de nidos irregulares. Las células tumorales intraepidérmicas y dérmicas contienen melanina en su citoplasma, y también se evidencian numerosos melanófagos dérmicos4,9.
La inmunohistoquímica es otra herramienta que nos permite llegar al diagnóstico etiológico de la lesión, diferenciando otras enfermedades clínicamente similares como el melanoma, así como también es útil como factor pronóstico.
Los carcinomas de mama generalmente presentan un patrón CK7 positivo y CK20 negativo. La tinción para proteínas S100, HMB45 y Melan-A en la mayoría de los casos son negativas, esto lo diferencia del melanoma ya que este último suele expresar estas proteínas. También se pueden utilizar receptores hormonales para estrógeno y progesterona.
Otra técnica inmunohistoquímica útil para determinar el pronóstico y con implicación terapéutica es la realización de Hercep test®, el cual determina la sobreexpresión de la proteína HER2 en los tejidos del cáncer de mama, determinando un peor pronóstico10.
El tratamiento de la metástasis cutánea consiste en la exéresis de la lesión, aunque requiere una reestadificación para evaluar la actitud más adecuada del caso.
En conclusión, hemos mostrado un caso de metástasis cutánea pigmentada de cáncer de mama, que se presentó 20 años después del tumor inicial, destacando la importancia de su diagnóstico diferencial clínico e histológico con melanoma maligno.
Conflicto de interesesLos autores declaran no tener ningún conflicto de intereses.





