INTRODUCCION
La mastocitosis es un proceso hiperplásico que se caracteriza por infiltración de diversos órganos y tejidos por mastocitos maduros. Existe una mayor incidencia de esta enfermedad en pacientes jóvenes, siendo más del 65 % de los pacientes menos de 15 años 1.
La sintomatología típica de la mastocitosis varía según los órganos afectados y la densidad del infiltrado en cada órgano. Así, pueden presentarse síntomas debidos a la liberación de sustancias vasoactivas como histamina, heparina o leucotrienos contenidos en los mastocitos y síntomas debidos a la infiltración de diversos órganos por mastocitos (tabla 1). Los síntomas principales debidos a la desgranulación mastocitaria serían el prurito y el flushing, que consiste en un enrojecimiento facial y de la parte superior del tronco sin sudoración. Además, también estarían en relación con la liberación de mediadores mastocitarios la osteoporosis por liberación de heparina, las náuseas y los vómitos, la diarrea y el dolor abdominal y cuadros de taquicardia y síncope. Esta desgranulación mastocitaria puede estar provocada por diversos estímulos como el calor, la menstruación, el estrés, el ejercicio físico y diversos medicamentos, como los antiinflamatorios no esteroideos (AINE) y anestésicos. Ante determinados estímulos, la desgranulación mastocitaria puede ser tan intensa que provoque un choque anafiláctico. Entre los síntomas debidos a la infiltración mastocitaria se encuentran las alteraciones hematológicas por la infiltración de la médula ósea, como anemia, leucotrombocitopenia, leucocitosis o eosinofilia, hepatoesplenomegalia, cuadros de malabsorción por infiltración de la mucosa digestiva, osteoporosis por disminución en la absorción de calcio y osteosclerosis por infiltración ósea por los mastocitos.
La mastocitosis en el adulto es un proceso raro y tiene un curso clínico y biológico distinto al de la mastocitosis infantil. Se presentan 9 casos de mastocitosis en pacientes adultos y se analizan las diferencias fundamentales entre la mastocitosis infantil y la del adulto.
MATERIAL Y MÉTODOS
Se revisaron las historias clínicas y las biopsias cutáneas de los pacientes con el diagnóstico clínico de mastocitosis del adulto atendidos en nuestro servicio durante los últimos 10 años. De cada paciente se recogieron los siguientes parámetros: edad, sexo, fecha de comienzo de las lesiones cutáneas, morfología y distribución de las mismas, presencia del signo de Darier, hallazgos de la biopsia cutánea, anomalías analíticas y radiológicas, tratamiento administrado y respuesta del mismo. En 3 pacientes se investigaron las concentraciones séricas de triptasa.
RESULTADOS
En la tabla 2 se resumen las características clínicas de nuestros 9 pacientes. Brevemente, se trataba de 7 mujeres y 2 hombres. La edad de los pacientes variaba entre 25 y 75 años, con una edad media de 49,4 años. Tres pacientes referían sintomatología cutánea consistente en prurito o flushing, mientras que en los otros seis las lesiones cutáneas eran asintomáticas. En el paciente 2 existía, además de sintomatología cutánea, alteración del ritmo intestinal y episodios de dolor abdominal.
Desde el punto de vista dermatológico, la edad de comienzo de las lesiones cutáneas variaba entre 20 y 75 años, con una edad media de presentación de 39,83 años. Las lesiones cutáneas en todos los pacientes eran bastante similares, variando únicamente en su número y distribución (figs. 1 y 2). Todos los pacientes presentaban máculas y pápulas de coloración marrón o parduscas y en algunas de ellas se observaban finas telangiectasias superficiales. El signo de Darier era positivo en los primeros 2 casos y negativo en el resto de los pacientes. Las lesiones se distribuían por el tronco y extremidades, con una distribución centrípeta y mayor intensidad en el tronco. En uno de los pacientes existía afectación de la cara. Las palmas y las plantas estaban respetadas en todos los casos.
Fig. 1.--Caso 7. Múltiples pápulas hiperpigmentadas en la espalda.
Fig. 2.--Caso 6. Múltiples lesiones papulosas hiperpigmentadas en la espalda.
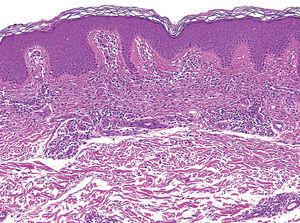
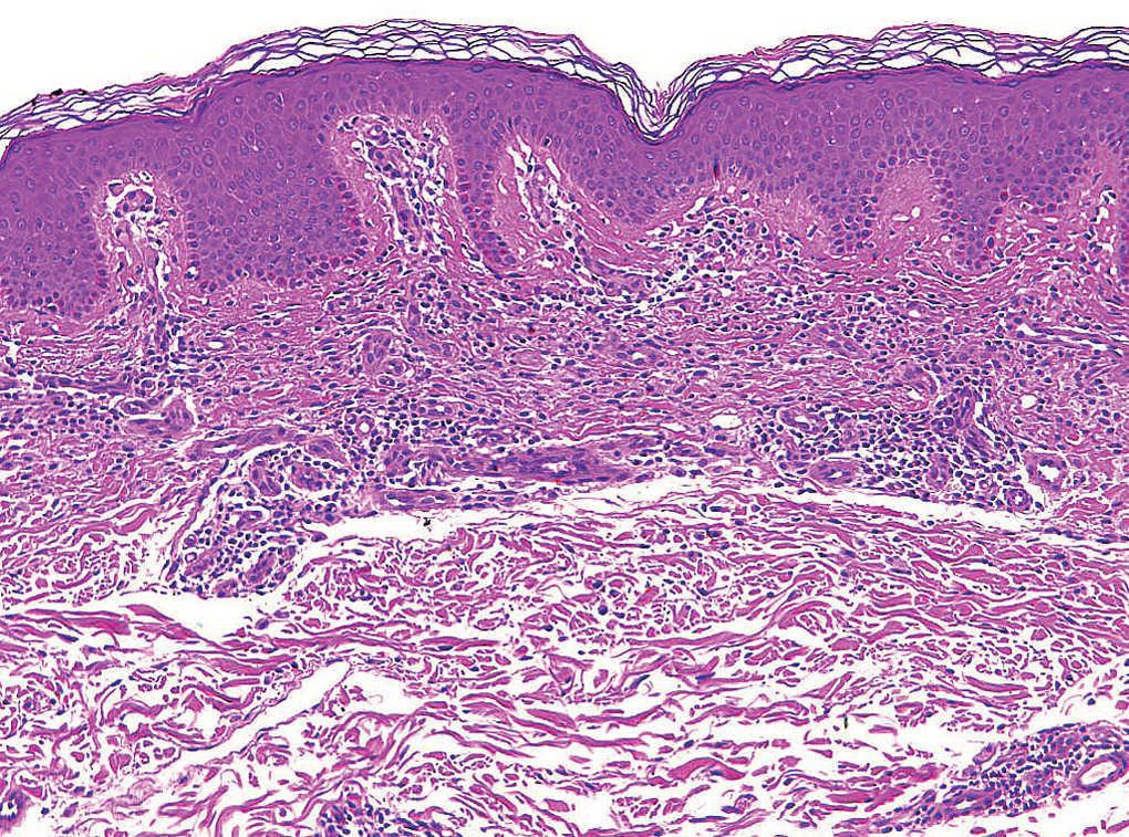
En todos los pacientes se realizaron biopsias cutáneas que mostraron hallazgos similares. Se identificaba un infiltrado intersticial en la dermis papilar y media por unas células muy monomorfas, de citoplasma redondo, con unos gránulos en su interior metacromáticos con la tinción de Giemsa (fig. 3). Estas células se identificaron como mastocitos (fig. 4).
Fig. 3.--Detalle del infiltrado de disposición liquenoide. Obsérvese la ausencia de epidermotropismo. (Hematoxilina-eosina, x40.)
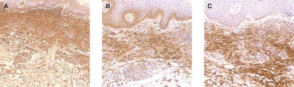
Fig. 4.--Características inmunohistoquímicas del infiltrado del paciente 7. La mayoría de las células del infiltrado expresan vimentina (A), CD 117 (B) y CD 68 (C).
Se demostró afectación sistémica, confirmada por biopsia de médula ósea, en 2 pacientes. En esta se identificaban mastocitos maduros agrupados en hileras rodeados de una estroma fibrosa y desestructuración arquitectural de la médula ósea. No se observaban lesiones MEL (zonas donde se agrupan mastocitos, eosinófilos y linfocitos) en la biopsia de la médula ósea. También se pusieron de manifiesto radiológicamente lesiones óseas de aspecto osteoporótico en 3 pacientes. Desde el punto de vista hematológico, las anomalías más comunes consistían en trombocitosis en un paciente y leucotrombocitopenia en otro. Las concentraciones de triptasa sérica estaban elevadas en los 3 pacientes en que se investigaron (casos 1, 6 y 7), que presentaban unas concentraciones de 20,1; 85,9 y mayor de 200 μg/l, respectivamente (valores normales < 13,5 μg/l).
El tratamiento administrado consistió en antihistamínicos por vía oral. Los fármacos administrados fueron cetirizina en los casos 1, 6 y 7 y ketotifeno en el caso 2, con buena respuesta y control de la sintomatología. En la paciente 4 se administró además psoraleno y luz ultravioleta (PUVA), con una dosis total de 294,42 J/cm 2, obteniéndose una buena respuesta clínica.
COMENTARIO
Existen numerosas clasificaciones de las mastocitosis. En la tabla 3 se presenta la clasificación más reciente de las mastocitosis 2.
La mastocitosis del adulto muestra una serie de diferencias respecto a la mastocitosis de edad infantil. Estas diferencias se encuentran fundamentalmente en la patogenia, clínica y curso biológico de ambas entidades. La clínica cutánea en el adulto es muy monomorfa y se caracteriza por la presencia de máculas y pápulas de menos de 1 cm de diámetro y coloración pardo-rojiza. Los bordes son discretamente difusos y la morfología ovalada. Esta sintomatología cutánea contrasta con la forma de presentación característica en los niños en forma de urticaria pigmentosa, con lesiones más polimorfas, o de mastocitoma. Además, las lesiones en el adulto tienden a la cronicidad, con regresión espontánea de las lesiones cutáneas en menos del 10 % de los casos 3, mientras que en niño la regresión espontánea es más frecuente, pues puede darse en el 50 % de los casos y casi en el 100 % en el caso concreto del mastocitoma 4. La sintomatología sistémica en los pacientes que hemos descrito nosotros es muy poco frecuente, si bien diversos estudios sobre mastocitosis en el adulto revelan que estos síntomas debidos a la infiltración y liberación de sustancias por mastocitos no es tan inusual y es similar en frecuencia a la mastocitosis infantil 5. Lo más habitual suele ser un discreto prurito y el signo de Darier es con gran frecuencia negativo. Por último, la afectación sistémica en el adulto es prácticamente constante, con infiltración mastocitaria de la médula ósea en más del 90 % de los casos y afectación ósea en más del 50 % 1, mientras que en los niños la afectación sistémica es mucho menor, existiendo infiltración de médula ósea por mastocitos en aproximadamente el 50 % de los casos, si bien en aquellos casos en los que aparece afectada la médula en los niños, suele ser en forma de pequeños agregados mastocitarios perivasculares focales 6. Este último punto permite presuponer de entrada que en todos los casos de mastocitosis del adulto existe afectación sistémica. Pese a esto, la mayoría de los autores recomienda realizar estudios de extensión y controles anuales o bianuales rutinarios para el diagnóstico y seguimiento de los pacientes, ya que estos pacientes parecen tener un mayor riesgo de desarrollar neoplasias hematológicas 2,4. De todas maneras, el comportamiento biológico de la enfermedad suele ser indolente tanto si existe afectación sistémica como si no 5. Algunos autores sostienen que existe una relación directa entre la intensidad y extensión de lesiones cutáneas y una mayor probabilidad de afectación sistémica 7. La existencia de osteoporosis en estos pacientes no confirma la existencia de afectación sistémica porque puede deberse a la liberación de heparina por los mastocitos sin que esto suponga una infiltración ósea, ya que la heparina tiene acción osteoclástica 1. También se postula que la osteoporosis pueda deberse al déficit de absorción de calcio por la infiltración de la mucosa digestiva y liberación de sustancias como la histamina y prostaglandinas 1. Además, la osteoporosis puede ser debida únicamente a la descalcificación ósea asociada a la edad avanzada, independiente de la enfermedad de base.
Se han descrito en los últimos años varias mutaciones en el protooncogén c-kit relacionadas con la patogenia de las mastocitosis 8. Este protooncogén codifica una proteína tirosina cinasa, que se encuentra en la membrana citoplasmática de los mastocitos y actúa a modo de receptor del denominado SCF (stem cell factor). Este SCF estimula la proliferación de los mastocitos y otras células hematopoyéticas, así como de los melanocitos, explicándose de esta manera los procesos hematológicos y la hiperpigmentación de las lesiones cutáneas que se observan en los pacientes con mastocitosis 9. En concreto, una mutación, la que sustituye un Asp por Val en el codón 816, se encuentra casi constantemente en las mastocitosis del adulto y es menos frecuente en la mastocitosis infantil 1,10. Otros autores, sin embargo, postulan que esta mutación en el codón 816 no es tan infrecuente en la mastocitosis pediátrica, pues se produce la sustitución de Asp por Val hasta en el 27 % de los casos 11. En el 42 % de los casos analizados en dicho estudio se observaron mutaciones en el codón 815 y 81611. Estas mutaciones producirían una hiperactivación del receptor del SCF y una proliferación excesiva de mastocitos.
El tratamiento de la mastocitosis del niño y del adulto es similar. Deben evitarse los factores desgranuladores de mastocitos como el alcohol y múltiples fármacos como AINE o anestésicos generales. Existen protocolos bien establecidos de anestesia general para pacientes que deben ser intervenidos qurúrgicamente 12. Además, los pacientes deben ser adiestrados en la autoadministración de adrenalina subcutánea para el hipotético caso de que sufrieran una picadura de insecto que podría resultar fatal. También se puede instaurar un tratamiento profiláctico con antihistamínicos si se cree conveniente. En general, los antihistamínicos anti-H1 son eficaces a la hora de reducir el prurito, el flushing y la taquicardia. Si estos no controlan totalmente la sintomatología, se pueden añadir antihistamínicos anti-H2. También se pueden usar otros fármacos como cromoglicato disódico que mejora fundamentalmente los síntomas gastrointestinales 13,14, corticoides tópicos o sistémicos y PUVA. Algunos autores emplean el cromoglicato disódico como tratamiento de primera elección, en forma de crema en pacientes pediátricos y por vía oral en pacientes adultos 15. La terapia con PUVA, en 4 dosis semanales, mejora los síntomas de prurito e urticarización tras 1 o 2 meses de tratamiento 16,17, aunque el efecto es pasajero en aproximadamente 6 meses. Todos los pacientes con mastocitosis deberían portar una dosis de adrenalina para poder administrársela subcutánea en caso de choque anafiláctico secundario a estímulos más intensos (aunque también puede aparecer de manera espontánea). Por último, en pacientes con enfermedad más grave, se pueden usar fármacos como el interferón a2b o la cladribina 1, con diversos resultados, y radioterapia para aliviar los dolores óseos 9. El interferón también se usa en casos de osteoporosis grave y mastocitosis indolentes que no responden al tratamiento convencional 15.









