Sr. Director:
Después de leer el artículo de Laguna et al1, publicado en esta revista, quisiéramos, además de aportar un nuevo ejemplo, plantear una serie de reflexiones acerca del manejo más adecuado de estos pacientes.
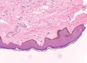
Presentamos el caso de un paciente de 29 años de edad, sin antecedentes personales de interés, que acude a nuestra consulta por presentar máculas multifocales heterocrómicas localizadas en el pene, completamente asintomáticas y que tiene desde los 14 años de edad. Desde entonces el paciente refiere que le han ido surgiendo nuevas lesiones pigmentadas con diversos tonos oscuros (fig. 1). En el estudio histológico se aprecia una hiperpigmentación de la capa basal, sin incremento en el número ni atipias de melanocitos (fig. 2).
Figura 1. Máculas heterocrómicas multifocales.
Figura 2. Hiperpigmentación de la capa basal, sin aumento de atipias ni de melanocitos (hematoxilina-eosina, x100).
Las máculas melanóticas del pene, erróneamente denominadas lentigos, son lesiones idiopáticas y benignas, en ocasiones multifocales, heterocrómicas e irregulares, que requieren diagnóstico diferencial con el melanoma de mucosas1. A diferencia de éste, las máculas melanóticas suelen aparecer en la edad adulta, no en ancianos, y tienden a permanecer estables durante décadas.
La histología confirma la naturaleza benigna del cuadro. Se caracteriza por acantosis sin elongación de las crestas interpapilares, hiperpigmentación de la basal sin aumento en el número de melanocitos (por lo que no deberían denominarse lentigos), incontinencia pigmentaria y presencia ocasional de melanófagos, todo ello en ausencia de atipias melanocíticas2.
Cuando las lesiones son heterocrómicas e irregulares, o el paciente refiere cambios o aumento en el número de las mismas, lo ideal sería la exéresis completa de la mácula para realizar un estudio histológico de toda la pieza. En las lesiones multifocales, que son las que suelen plantear el diagnóstico diferencial con el melanoma, la extirpación completa de la lesión no suele ser factible, por lo que es aconsejable realizar varias biopsias, eligiendo adecuadamente las zonas, para confirmar la benignidad del cuadro. Quizás la dermatoscopia sea una herramienta útil para designar la muestra histológica más adecuada3.
A pesar de que las máculas melanóticas no se consideran precursoras del melanoma existen escasas publicaciones que describen la posible transformación maligna de las mismas4,5. Kahn et al4 aportan el caso de una lesión pigmentada en el paladar, que se transformó en melanoma de mucosa; no obstante, en la lesión inicial se observaba una importante atipia cínica y, en la histología una hiperplasia de melanocitos, por lo que puede que realmente no se tratase de una mácula melanótica. Taylor et al5 sí que parecen documentar la evolución de una mácula melanótica a un melanoma invasivo, ya que en la primera biopsia, que incluía toda la lesión, sólo presentaba aumento de pigmentación en la basal sin hiperplasia ni atipias melanocíticas, y en las siguientes biopsias, realizadas 5 años después, se apreciaban nidos de melanocitos malignos que migraban atravesando la mucosa.
Nosotros, mientras no se dilucide de manera inequívoca si existe un verdadero potencial de malignización, creemos conveniente realizar controles clínicos periódicos. En la mayoría de los casos, dada la estabilidad de las lesiones, no serán necesarias nuevas biopsias, que deberán plantearse en los casos en los que aparecen cambios clínicos sospechosos. De nuevo la dermatoscopia y la monitorización con dermatoscopia digital pueden ser instrumentos adecuados para detectar cambios precoces y elegir el momento y el lugar de la biopsia3.




