Varón de 12 años de edad con antecedentes familiares de melanoma que consultó por cambios en una lesión pigmentada localizada en la espalda de 2 meses de evolución. Según refieren los familiares la lesión la presentaba desde hacía años y tras un traumatismo aumentó de tamaño y adquirió un color violáceo. El paciente tan solo aquejaba molestias con el roce.
Exploración físicaA la exploración física se objetivó una mácula pigmentada localizada en la región escapular izquierda, de una tonalidad eritemato-violácea que le confería un aspecto contusiforme con puntos equimóticos en el área central (fig. 1A). Los hallazgos dermatoscópicos más característicos fueron áreas que simulaban un patrón reticular fino marrón claro en la periferia y un patrón pseudolacunar de fondo con vasos trombosados en el área central (fig. 1B).
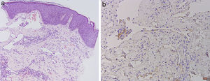
HistopatologíaSe realizó biopsia-punch de la lesión evidenciándose vasos dilatados irregulares en la dermis superficial, con presencia de células endoteliales prominentes sobre la luz vascular adoptando una morfología en tachuela. Además se objetivó una ligera hiperplasia epidérmica con hiperpigmentación de la capa basal (fig. 2A).
El estudio histológico se completó con técnicas de inmunohistoquímica que mostraron positividad del anticuerpo D2-40 en las células endoteliales que tapizaban los vasos de la lesión, un anticuerpo que marca la podoplanina y que es específico del endotelio linfático (fig. 2B).
¿Cuál es su diagnóstico?
DiagnósticoHemangioma hemosiderótico en diana (hemangioma de células en tachuela).
Evolución y tratamientoSe le informó del resultado histológico y de la benignidad de la lesión a la familia, por lo que se decidió actitud expectante.
ComentariosEl hemangioma hemosiderótico en diana (HHD) es una lesión vascular que suele aparecer en adultos jóvenes localizándose en el tronco y en las extremidades. Clínicamente suele manifestarse como una lesión papulosa violácea con halo eritemato-parduzco que puede expandirse periódicamente y desaparecer, con persistencia de la pápula central1. La dermatoscopia es una herramienta no invasiva útil en el diagnóstico de la lesión, apoyado sobre una minuciosa anamnesis, ya que se postula que el HHD puede aparecer como consecuencia de traumatismos previos sobre hemangiomas pre-existentes2. En el caso presentado el paciente reconoció haber tenido un antecedente traumático previo, y a la dermatoscopia se identificó una lesión no palpable con una red de pigmento sobre una mácula eritematosa de aspecto pseudo-lacunar con presencia de puntos equimóticos en el área central sugestivos de vasos trombosados.
Se han publicado tan solo 7 casos de HHD con hallazgos dermatoscópicos1–5, la mayoría en adultos jóvenes en los que se han descrito como lesiones en diana con patrón lacunar central palpable y halo eritemato-violáceo. Tan solo en 2 casos se describe un retículo pigmentado fino en la periferia1,3 que histológicamente se ha correlacionado con el depósito de hemosiderina en la dermis media1, pero también con una hiperplasia epidérmica lentiginosa con elongación de las crestas3. Esta última opción parece ser la más acertada, ya que la presencia de depósitos de hemosiderina en la dermis se traduciría en áreas y/o puntos azul-grises en la dermatoscopia.
En cuanto a su etiología no existe unanimidad al respecto; Franke et al.6 defienden un origen linfático con positividad para el anticuerpo D2-40, tal y como ocurrió en nuestro caso.
El diagnóstico diferencial habría que plantearlo fundamentalmente con otras lesiones vasculares como el sarcoma de Kaposi en placa (especialmente variante linfangiomatosa) o el linfangioma adquirido progresivo, lesiones de estirpe melanocitaria como el nevus melanocítico y otros tumores benignos como el dermatofibroma o lesiones inflamatorias como picaduras de insecto3.
Al ser una lesión benigna sin ninguna repercusión clínica no precisa tratamiento. La dermatoscopia y la historia clínica suelen ser herramientas útiles para llegar a un diagnóstico certero, pero en caso de duda o por motivos estéticos la exéresis de la lesión sería el tratamiento definitivo, no habiéndose descrito recidivas.




