INTRODUCCION
La tuberculosis extrapulmonar, después de un periodo de baja incidencia, comienza a ser un hecho frecuente, debido en gran parte al sida 1,2. Dentro de la tuberculosis cutánea, el lupus vulgar es la forma más frecuente en Europa 3. Habitualmente se debe a una reinfección endógena, por diseminación hematógena o linfática, en un paciente con alto grado de inmunidad frente a Mycobacterium tuberculosis, aunque también es posible la inoculación directa 1,2,4,5.
Se presenta el caso de un paciente que desarrolló lesiones de lupus vulgar en la mejilla izquierda de 9 años de evolución, y en la cara de flexión del antebrazo izquierdo posiblemente secundario a un escrofuloderma en su infancia.
DESCRIPCION DEL CASO
Acudió a nuestra consulta un paciente varón de 58 años de edad, con antecedentes de hipertensión arterial, hipercolesterolemia e hiperuricemia en tratamiento con captopril, pravastatina y alopurinol, respectivamente. Consultó por una placa eritematosa, localizada en la mejilla izquierda, de 9 años de evolución, que se había iniciado como una pequeña pápula asintomática y había crecido lentamente. A la exploración se observaba una placa de 3 por 1 cm, de color rojizo apagado, con alguna telangiectasia mínima, y de superficie irregular y brillante (fig. 1). Al ser sometida a diascopia tomaba un color amarillento. Al completar la exploración, también se apreciaron en la cara de flexión del antebrazo izquierdo, dos placas, de aspecto cicatrizal, que el paciente recordaba desde su infancia y por las que no consultaba (fig. 2). La placa más proximal presentaba un borde activo formado por la confluencia de pápulas rojizo-marronáceas brillantes, de aspecto similar a la lesión de la mejilla. La otra placa presentaba un aspecto atrófico cicatrizal y, según el paciente, se le había curado hacía mucho tiempo. Al parecer estas lesiones habían sido supurativas durante años en la niñez, y sólo habían sido tratadas con remedios caseros, ya que nunca habían sido valoradas por ningún médico. El resto de la exploración física fue normal.
Fig. 1.--Placa eritematosa en la mejilla izquierda.
Fig. 2.--Lesiones cicatrizales en la cara flexora del antebrazo izquierdo.
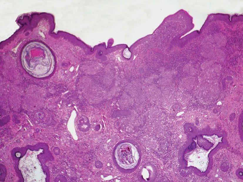
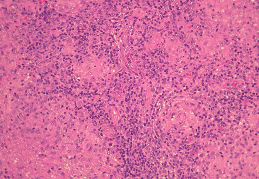
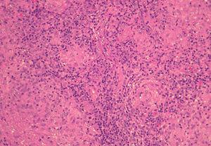
Se realizó una biopsia de la lesión facial y del borde activo de la placa del antebrazo. El estudio histológico mostró, bajo una epidermis respetada, un infiltrado granulomatoso dérmico (fig. 3). Los granulomas eran de tipo tuberculoide, aunque sin necrosis caseosa central. Estos granulomas eran confluentes, formados por histiocitos, algunos de aspecto espumoso y escasas células de Langhans. En la periferia de los granulomas se observaban abundantes linfocitos (fig. 4). En la tinción con de Ziehl-Neelsen no se detectaron bacilos ácido-alcohol resistentes.
Fig. 3.--Granulomas tuberculoides, con abundantes linfocitos en la periferia de los mismos. (Hematoxilina-eosina, x10.)
Fig. 4.--Detalle de los granulomas tuberculoides formados por histiocitos y con abundantes linfocitos en la periferia. (Hematoxilina-eosina, x20.)
Como pruebas complementarias se realizó una analítica básica, que fue normal, así como una radiografía de tórax que no mostró alteraciones. El test de Mantoux fue positivo, con una reacción vesiculosa de 21 mm de diámetro. Se realizó un cultivo de la biopsia cuyo resultado, a los 60 días, fue negativo. Con todos estos hallazgos se estableció el diagnóstico de lupus vulgar. Se realizó tratamiento con isoniazida, rifampicina y piracinamida durante 2 meses y posteriormente 4 meses más con isoniazida y rifampicina, tras los cuales las lesiones se resolvieron quedando únicamente una zona de aspecto cicatrizal con telangiectasias.
DISCUSION
La tuberculosis cutánea representa el 1,5 % de los casos de tuberculosis extrapulmonar 6. El lupus vulgar es la forma más frecuente de tuberculosis cutánea en los países industrializados 1,3,5. Se suele producir por la reinfección de la piel mediante diseminación hematógena o linfática, o directamente, desde un foco visceral, en personas con alto grado de inmunidad frente a M. tuberculosis 1. Aunque con menos frecuencia, también se han descrito casos de infección exógena o en el punto de inoculación primaria, sobre un tatuaje 7, en el punto de inyección de la vacuna de bacilo de Calmette-Guérin (BCG) 8. Aproximadamente el 30 % de los pacientes desarrollan el lupus vulgar en el lugar de un escrofuloderma previo 2. En este sentido, consideramos probable que las dos lesiones que nuestro paciente tenía desde la infancia en la cara flexora del antebrazo izquierdo fueran de escrofulodermas y sobre una de las cuales desarrolló un lupus vulgar.
Las lesiones típicas de lupus vulgar consisten en pequeñas pápulas, de color marrón-rojizo, que forman placas de bordes irregulares y de crecimiento lento. Al aplicar diascopia se obtiene una imagen «en jalea de manzana». El lugar más frecuente de aparición es la cabeza y el cuello 9. La lesión evoluciona a la ulceración central y formación de cicatrices que pueden producir deformaciones y mutilaciones 1,4.
Desde el punto de vista histológico el lupus vulgar se caracteriza por la presencia, en la dermis reticular, de granulomas tuberculoides. Estos están formados por células epitelioides y células gigantes tipo Langhans y una corona de abundantes linfocitos en la periferia, a diferencia de los granulomas sarcoideos que se describen clásicamente como «desnudos», puesto que el infiltrado linfocitario acompañante es escaso o nulo. El cultivo suele ser negativo, como en nuestro paciente, y solamente es positivo en el 6 % de los casos 1,3,4.
Dado que el lupus vulgar es una reactivación cutánea de una tuberculosis quiescente, la prueba de Mantoux suele ser positiva 4. De todas formas, un Mantoux negativo puede indicar estado de inmunodepresión y, en consecuencia, hace más probable la afectación tuberculosa visceral, lo que ocurre en el 9 al 19 % de los casos de lupus vulgar 3.
Aunque el lupus vulgar es considerado una forma crónica y benigna de tuberculosis cutánea, se han descrito casos de desarrollo de un carcinoma espinocelular a partir de lesiones de lupus vulgar 9.
El tratamiento del lupus vulgar, de acuerdo con la Organización Mundial de la Salud, es el mismo que el de la tuberculosis pulmonar, con un régimen de isoniazida, rifampicina y pirazinamida durante 2 meses seguido de 4 meses de isoniazida y rifampicina 2,4.






