INTRODUCCION
El liquen estriado es una dermatosis asintomática y autolimitada, de etiología desconocida, descrita por Senear y Caro en 19411. Se presenta sobre todo en la infancia (de 5 a 15 años), y es más frecuente en niñas2.
La erupción se caracteriza por la aparición de pápulas aplanadas, eritematosas y a veces hiperqueratósicas, y ocasionalmente se observan vesículas. Suele tener una distribución lineal que sigue las líneas de Blaschko a lo largo de una extremidad, pero puede afectar a cualquier área del cuerpo. Las lesiones aparecen de forma súbita, con progresión distal o proximal durante días o semanas. Posteriormente se resuelven de manera espontánea en un plazo de entre 6 y 24 meses, aunque puede quedar una hipopigmentación residual transitoria que es más frecuente en niños con piel más oscura2-4. Describimos aquí un caso de liquen estriado bilateral con afectación de tronco y extremidades.
DESCRIPCION DEL CASO
Una niña de 8 meses de edad acudió a nuestro centro por la aparición de una erupción asintomática difusa y bilateral, de 1 mes de evolución.
En la exploración física se observaban numerosas pápulas eritematosas de aspecto variable entre liquenoide e hiperqueratósico. Estas lesiones se disponían de forma lineal siguiendo las líneas de Blaschko en el tronco y las extremidades (fig. 1) con una distribución bilateral pero asimétrica. En el abdomen las lesiones formaban semiarcos que se unían al llegar a la línea media, formando una línea vertical supra e infraumbilical (fig. 2). En la espalda las lesiones se disponían igualmente de forma lineal. En las extremidades superiores e inferiores, presentaba lesiones lineales en toda su longitud, que llegaban a las manos y los pies, respectivamente.
Fig. 1.--Lesiones papulares liquenoides siguiendo las líneas de Blaschko en cara lateral de tronco y extremidad superior.
Fig. 2.--Aspecto clínico de las lesiones en tronco anterior y extremidades inferiores.
La paciente no tenía ningún antecedente personal de interés. Entre los antecedentes familiares destacaba que su hermana de 2 años presentaba una erupción lineal en el antebrazo derecho compatible clínicamente con un liquen estriado que había aparecido a los 6 meses de edad y que todavía no había desaparecido (fig. 3).
Fig. 3.--Papulas liquenoides con distribución lineal en el antebrazo derecho de la hermana de la paciente.
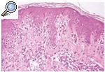
Se realizó una biopsia cutánea de nuestra paciente y en el estudio histopatológico de ésta se observó un epitelio discretamente acantósico, con hiperqueratosis ortoqueratósica, presencia de algunos queratinocitos necróticos, vacuolización de las células de la capa basal y borramiento de la unión dermoepidérmica por un infiltrado linfocítico. En la dermis se evidenció un edema del cuerpo papilar y un discreto infiltrado inflamatorio crónico de disposición preivascular (fig. 4).
Fig. 4.--Aspecto histopatológico: epidermis ligeramente acantósica, con hiperqueratosis ortoqueratósica, algunos queratinocitos necróticos, vacuolización de las células de la capa basal y borramiento de la unión dermoepidérmica por un infiltrado inflamatorio y dermis con edema papilar junto a un discreto infiltrado inflamatorio crónico perivascular. (Hemotoxilina-eosina, x100.)
La paciente no requirió ningún tratamiento y la resolución espontánea del proceso se produjo a los 16 meses, dejando una ligera hipopigmentación residual.
DISCUSION
El liquen estriado suele aparecer de forma unilateral en las extremidades con una distribución que sigue las líneas de Blaschko. La afectación del tronco, cabeza y cuello es menos frecuente. Las líneas de Blaschko son unas líneas que corresponden a la migración embrionaria de clones de células cutáneas, dérmicas y epidérmicas, derivadas de un número limitado de precursores. Tienen un patrón característico en forma de «V» en la zona dorsal, de «S» en el abdomen y de «U» invertida desde el área pectoral hacia la extremidad superior, que deriva del crecimiento longitudinal y la flexión del embrión5-7.
En la literatura existen muy pocos casos descritos de liquen estriado con afectación extensa y bilateral. Mopper y Horowitz8 en 1971 aportaron el caso de una niña de 2 años con una erupción lineal y asintomática en el abdomen, tórax anterior, espalda, nalgas y extremidades superiores que involucionó sin dejar ninguna lesión residual en 3 meses. En 1983 Patri9 describió el caso de un niño de 8 años que, tras un episodio de gastroenteritis, inició una erupción lineal muy pruriginosa de localización bilateral, que inicialmente afectaba al tronco y posteriormente se extendió al cuello, las extremidades superiores, la cabeza y la extremidad inferior derecha. Esta erupción desapareció progresivamente dejando una hiperpigmentación residual todavía presente a los 7 meses del inicio del cuadro. Taieb et al6 revisaron 18 casos de liquen estriado y encontraron tres con afectación de una extremidad superior y tronco. Aloi et al7 describieron en 1997 el caso de una niña india de 5 años de edad con lesiones lineales blaschkoides en tronco, cara, cuello y extremidades. La erupción remitió de manera espontánea a los 16 meses de edad.
Aunque el liquen estriado suele aparecer en niños entre 5 y 15 años, se han descrito casos en adultos10 y en niños de menor edad4,6. En nuestra revisión de la literatura el caso de menor edad publicado tenía 9 meses4. La corta edad de nuestra paciente, así como la gran extensión de las lesiones, nos hizo plantear otras posibilidades diagnósticas y obligó a la realización de una biopsia cutánea para confirmar el diagnóstico, que suele ser clínico y no precisa exploraciones complementarias. La incontinencia pigmenti puede presentarse de este modo sin fase vesiculosa previa. El nevo epidérmico sistematizado, sobre todo en su variedad inflamatoria, puede ser muy difícil de diferenciar si se desconocen los datos de la evolución.
Otro dato que queremos destacar es el hecho de que la hermana presentara también un liquen estriado que había aparecido unos meses antes de la erupción de las lesiones en nuestra paciente. La etiopatogenia del liquen estriado todavía es desconocida. La hipótesis más aceptada sugiere que existiría en la piel, probablemente debido a una mutación somática, un clon anormal de células cutáneas. Este clon no induciría ninguna respuesta inmunológica del organismo hasta la llegada de un estímulo desencadenante externo. Este factor externo induciría la expresión de algunos antígenos de superficie en el clon de células anormales, produciéndose una pérdida de su tolerancia inmunológica que provocaría una respuesta inflamatoria mediada por células T citotóxicas6,7. El aumento de incidencia durante los meses de primavera y verano, cuando las infecciones virales en niños son más frecuentes, así como la existencia de casos familiares, como el de nuestra paciente, sugieren que el factor desencadenante podría ser una infección viral3,4.
En conclusión, creemos que este caso es de interés para recordar la posibilidad de que un proceso benigno como es el liquen estriado pueda presentarse de forma extensa simulando enfermedades de mayor repercusión clínica como la incontinencia pigmenti o el nevo epidérmico.






