Dr. Director:
El liquen amiloide es la forma de presentación más frecuente de la amiloidosis cutánea localizada. Se trata de una erupción de aspecto liquenoide debida al depósito de amiloide, intensamente pruriginosa, que se presenta como pápulas hiperqueratósicas que pueden confluir formando placas y que afecta característicamente las áreas pretibiales. Presentamos un caso de localización y clínica típica de liquen amiloide que se resolvió en un breve plazo de manera completa con corticoterapia tópica.
Un paciente de 71 años, consultó por presentar una lesión intensamente pruriginosa, en zona pretibial de pierna izquierda de 2 años de evolución, que había sido tratada con corticoides tópicos de mediana potencia (fluocortín, 0,75 %) sin mejoría. La exploración física reveló una erupción compuesta por pápulas hiperqueratósicas múltiples que se agrupaban formando una placa de bordes irregulares y mal definidos, de coloración ocre, en zona pretibial de pierna izquierda (fig. 1). Las exploraciones complementarias realizadas incluyendo hemograma, bioquímica, estudio de coagulación y serología de hepatitis A, B y C se encontraban dentro de la normalidad o fueron negativas.
Fig. 1.--Aspecto clínico de placa pretibial de liquen amiloide.
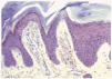
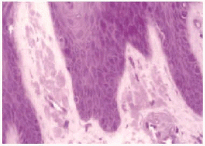
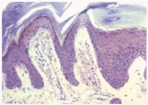
Una biopsia de la lesión cutánea mostró en la tinción con hematoxilina-eosina (fig. 2), un epitelio con una zona de intensa hiperqueratosis, acantosis y papilomatosis con algún cuerpo coloide aislado. En dermis papilar se observaron pequeños depósitos, bien delimitados de una sustancia amorfa, acidófila que daba reacción metacromática con el cristal violeta (fig. 3) y era positiva para rojo Congo (fig. 4). En esa misma zona se observaron incontinencia de pigmento.
Fig. 2.--Epitelio con hiperqueratosis, acantosis y papilomatosis. En dermis papilar, depósitos de sustancia amorfa.
Fig. 3.--Depósitos papilares que dan reacción metacromática con el cristal violeta.
Fig. 4.--Sustancias en dermis papilar rojo Congo positiva.
Con el diagnóstico de liquen amiloide, el paciente fue tratado con corticoides de alta potencia (propionato de betametasona), y se logró la remisión completa de sus lesiones cutáneas en un plazo de 3 meses, sin presentar lesiones residuales.
Se han utilizado diversos tratamientos para el liquen amiloide sin que ninguno de ellos haya resultado totalmente resolutivo. Los corticoides de media y alta potencia tópicos o intralesionales han resultado útiles en casos leves1. La aplicación tópica de dimetilsulfóxido en la mayoría de casos no produce resultados satisfactorios2, mientras que su administración oral produce una notable mejoría, pero son necesarios períodos muy largos de administración1. Los retinoides orales pueden ser beneficiosos en algunos pacientes, pero éstos suelen sufrir una recaída al abandonar el tratamiento1. La dermoabrasión logra resultados satisfactorios en lesiones localizadas pero su utilización está limitada, ya que es necesaria la hospitalización y produce molestias en el paciente1. Finalmente, en estudios recientes se han obtenidos buenos resultados con el láser Nd:YAG de doble frecuencia3. En nuestro paciente la aplicación tópica de un corticoide de alta potencia incluyó la resolución completa de la lesión.






