INTRODUCCION
Los linfomas NK (natural killer), son un tipo poco frecuente de linfomas no hodgkinianos que se caracterizan por presentar marcadores celulares típicos de la célula NK, de los que el más específico es el CD56. Los principales subtipos de linfomas NK descritos en la literatura médica, son linfomas NK tipo nasal, linfoma/leucemia NK agresivo y linfoma/
leucemia NK blástico 1-3. En la última clasificación de linfomas cutáneos de la OMS-EORTC, se ha reconocido el linfoma NK blástico como entidad independiente 3-5.
Se trata de un linfoma infrecuente, que puede presentarse a cualquier edad, aunque predomina en edad media y ancianos y suele empezar con afectación extraganglionar, sobre todo cutánea, que en muchos casos es la primera manifestación de la enfermedad. Sigue un curso agresivo, ya que a pesar de haberse descrito buena respuesta inicial al tratamiento, son frecuentes las recidivas 2-6.
DESCRIPCION DEL CASO
Un varón de 78 años, con antecedentes personales de artrosis, glaucoma crónico y síndrome depresivo e intervenido de lentigo maligno melanoma en la cara hacía un mes, acudió a la consulta por una lesión cutánea eritematosa, asintomática, de rápido crecimiento en 3 meses de evolución, localizada en la mejilla derecha. No refería antecedentes de picadura ni traumatismo. No presentaba fiebre ni otra sintomatología acompañante.
A la exploración se observa una placa eritematopurpúrica, infiltrada al tacto, de superficie brillante, de 4 x 3 cm de diámetro en la región malar derecha (fig. 1). No se palpaban adenopatías laterocervicales, inguinales ni hepatomegalia o esplenomegalia.
Fig. 1.--Aspecto clínico del paciente, que presenta lesión eritemato violácea, infiltrada al tacto, de 3-5 cm de diámetro, localizada en región malar derecha.
Se realizaron bioquímica sérica, función hepática y hemograma que resultaron normales. En la tomografía computarizada se observaron pequeños quistes hepáticos, que fueron posteriormente confirmados con ecografía.
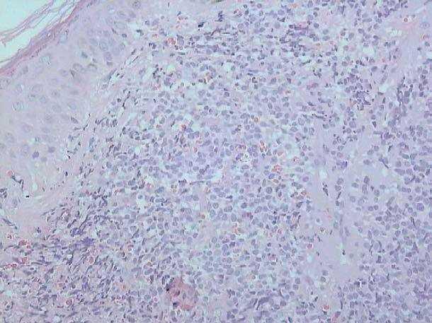
La biopsia cutánea mostró una proliferación monomorfa, de aspecto difuso, localizada en la dermis, con una característica banda subepidérmica respetada (fig. 2). Dichas células eran de aspecto linfoide, tamaño intermedio y con rasgos de atipia. El estudio inmunofenotípico de la médula ósea demostró una población de células con fenotipo compatible con malignidad que suponían el 34 % de las células totales (tabla 1). La técnica de hibridación in situ para la detección del virus de Epstein-Barr (VEB) resultó negativa. Por último se realizó estudio inmunohistoquímico en la piel (fig. 3), sangre periférica y médula ósea, apreciándose en las tres muestras, proliferación de células con clara positividad para CD56 y CD4, así como negatividad para CD2 y CD3 (tabla 2).
Fig. 2.--Infiltrado dérmico difuso, con respeto de banda subepidérmica, de células de aspecto linfoide con rasgos de atipia. (Hematoxilina-eosina, x40.)
Fig. 3.--Estudio inmunohistoquímico de la biopsia cutánea que de muestran positividad para el marcador CD56.
Se comenzó tratamiento con poliquimioterapia CVP (ciclofosfamida, vincristina y prednisona), con remisión parcial de la clínica cutánea tras cinco ciclos de la misma. En el momento actual el paciente sigue en remisión clínica después de 10 meses de seguimiento.
DISCUSION
Las células NK suponen el 10-20 % de los linfocitos normales de la sangre periférica. Se originan en la médula ósea, timo e hígado, a partir de precursores de células NK inmaduras (CD56+), por lo que existen diversos procesos linfoproliferativos de células NK en función del estadio de maduración de la célula de la que proceda 6,7.
A partir de los linfocitos NK maduros se originan la leucemia/linfoma NK agresivo, en cuya histología se observa proliferación de células medianas con núcleos redondos CD56+ y marcadores de maduración de las células NK, como Granzima B y TIA-1 y el linfoma NK tipo nasal que presenta proliferación celular polimórfica, CD56, Granzima B y TIA-1 positivos. Ambos procesos son más frecuentes en la población asiática y se asocian prácticamente siempre al VEB 1,3,6,8,9.
A partir de las células NK inmaduras, con marcadores TIA-1 y Granzima B negativos, se originan los linfomas NK blásticos (tabla 3).
El linfoma NK blástico suele diagnosticarse en personas de edad media o ancianos. Comienza frecuentemente con afectación extraganglionar, fundamentalmente cutánea, que sucede a lo largo del curso de la enfermedad en el 100 % de los casos publicados. Puede presentarse como lesión única (mácula, placa o nódulo) o bien como lesiones múltiples diseminadas en forma de placas o nódulos infiltrados eritematosos 3,6,8-12. Otros órganos frecuentemente afectados en el curso de esta enfermedad son bazo, hígado, sangre, ganglios linfáticos y médula ósea.
Histológicamente se observa una proliferación monomorfa de células mononucleares de mediano tamaño, que presentan positividad para marcadores de células NK inmaduras, como son CD56, CD4, CD43 y CD68 y marcadores de antígenos de células dendríticas, como TCL1 (T-cell leucemia 1), CLA (cutaneous lymphocyte associated antigen) y CD123, siendo negativos para los antígenos panT (CD2, CD3, CD5, CD7), antígenos B (CD19, CD20, CD30), marcadores de células NK maduras (TIA-1, Granzima B), mieloperoxidasa y reordenamiento para el receptor de las células T (TCR), así como hibridación in situ para VEB. Estos parámetros inmunohistoquímicos, se observan en el 90 % de los casos publicados anteriormente (tabla 3) 3,4,6,8-12.
La estirpe celular de la que procede está todavía en discusión. En un principio, se postuló su origen en las células NK inmaduras, debido fundamentalmente a su positividad para CD56 y su negatividad para marcadores de maduración de dichas células (Granzima B y TIA-1). Sin embago, el marcador CD56 no es específico de las células NK, sino que se puede expresar en otras estirpes celulares mieloides y linfoides inmaduras, como los blastos de las leucemias agudas monocíticas, que expresan también CD4, CD56 y CD68 2,3,6,9. Estudios más recientes, demuestran una gran similitud inmunohistoquímica de estas células con las células dendríticas plasmocitoides tipo 2 2,4 al expresar ambas marcadores comunes como CD123, TCL1 y CLA. Este último, expresado en el 90 % de los casos, parece el responsable del tropismo cutáneo que presenta esta neoplasia.
Por todo esto, es posible que esta neoplasia cuyos criterios clínicos, morfológicos e inmunohistoquímicos coinciden con el denominado en clasificaciones anteriores de la Organización Mundial de la Salud (OMS), linfoma NK blástico, proceda de una subpoblación de células dendríticas plasmocitoides que aún no están muy bien caracterizadas. Quizá por eso, en las reuniones de consenso mantenidas por la OMS y la Organización Europea para la Investigación y Tratamiento del Cáncer (EORTC), se ha elaborado una nueva clasificación de los linfomas cutáneos donde se clasifican estas lesiones como entidades independientes con el término de linfoma cutáneo o neoplasia hematodérmica CD4/CD56+*3-5.
Se han tratado con diversas pautas de quimioterapia y buena respuesta inicial a la misma. Aun así, la evolución suele ser generalmente fatal, ya que a pesar del buen estado general del paciente en el inicio de la enfermedad, la ausencia de afectación extracutánea y la buena respuesta inicial al tratamiento, suele haber una rápida recaída, que se manifiesta de forma casi constante con una recidiva cutánea y rápida afectación hematológica (invasión medular y fase de leucemización), y menos frecuentemente con afectación del sistema nervioso central. La supervivencia es habitualmente breve, entre 1 y 3 años a partir del diagnóstico 3.
Correspondencia:
María Calvo. P.º de los Parques, 6, portal 4, 2.º C. 28109 Alcobendas. Madrid. España.
mcalvopulido@yahoo.es
Recibido el 6 de octubre de 2005.
Aceptado el 13 de febrero de 2006.








