Varón de 62 años de edad, con antecedentes personales de poliposis intestinal, que consultó por lesiones pruriginosas de 6 días de evolución en la mejilla izquierda. Las lesiones progresaron y aparecieron también en la mejilla contralateral y en el cuello asociando fiebre de 38°C. Había realizado tratamiento, sin mejoría, con prednicarbato crema al 0,25% durante 3 días. No refería episodios previos similares.
Exploración físicaEn la exploración dermatológica se observaban pápulas foliculares eritematosas de aproximadamente 3mm de diámetro con una zona central erosivocostrosa que se distribuían individualmente o agrupadas por el área de la barba (fig. 1). Se evidenciaba también la presencia de algunas vesículas intactas (fig. 2).
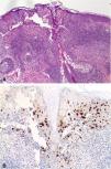
HistopatologíaSe realizó estudio histológico de una de las lesiones que puso de manifiesto una lesión vesiculosa intraepidérmica con presencia de células grandes agrupadas, con moldeamiento nuclear, pérdida de la relación núcleo/citoplasma y presencia de inclusiones virales nucleares en vidrio deslustrado. Además se observaba una inflamación mixta de predominio linfocitario en la dermis y en el folículo piloso adyacente, en el cual se apreciaban queratinocitos necróticos (fig. 3A).
Otras pruebas complementariasLos estudios de laboratorio, que incluían hemograma y bioquímica completa fueron normales.
¿Cuál es su diagnóstico?
DiagnósticoBasándonos en los hallazgos clínicos e histopatológicos, se estableció el diagnóstico de foliculitis herpética.
Evolución y tratamientoSe realizó también un estudio inmunohistoquímico que fue positivo para virus herpes simple de tipo 1 (fig. 3B).
Mediante tratamiento con aciclovir oral (200mg 5 veces al día) y la aplicación de solución acuosa astringente de sulfato de zinc al 1:1.000 durante 5 días el paciente experimentó una resolución completa de las lesiones.
ComentarioLa foliculitis herpética es una manifestación infrecuente de la infección por virus herpes (VHS-1, VHS-2 y VVZ), siendo pocos los casos notificados en la literatura. Se puede tratar de una entidad infradiagnosticada debido a la tendencia natural de las lesiones a la resolución en menos de 2 semanas1. En 1972 Izumi et al introdujeron el término de sicosis herpética para designar la foliculitis por virus del herpes simple que afectaba al área de la barba2. Este cuadro se caracteriza por el rápido desarrollo de lesiones papulovesiculares precedidas por quemazón o prurito en pacientes con antecedentes de herpes simple facial y afeitado con maquinillas manuales, que no respondan a tratamiento con antifúngicos o antibacterianos1-3. Se han descrito formas extensas y necrotizantes en pacientes inmunodeprimidos o en el contexto de primoinfección herpética1,4. En la histología los cambios más frecuentes son un infiltrado linfocitario denso intra y perianexial junto con extravasación eritrocitaria. En la epidermis se encontrarán cambios citopáticos tales como fenómenos de balonización, células gigantes multinucleadas y queratinocitos necróticos3,5. El diagnóstico es fundamentalmente clínico y puede apoyarse en la correlación histopatológica, en técnicas de inmunohistoquímica o en la reacción en cadena de la polimerasa para una correcta identificación del subtipo viral5,6. El diagnóstico diferencial se debe establecer sobre todo con foliculitis bacterianas y fúngicas, demodicidosis, picaduras de insectos o foliculitis eosinofílica1,3,4. El tratamiento de elección es aciclovir 200mg 5 veces al día durante 5 días o valaciclovir 500mg 2 veces al día durante 5 días1,6. Es importante conocer esta forma infrecuente de presentación de la infección por virus herpes y mantener un alto grado de sospecha en pacientes con factores de riesgo y lesiones foliculares vesiculosas de presentación aguda en el área de la barba.
Conflicto de interesesLos autores declaran no tener ningún conflicto de intereses.





