Historia clínica
Un varón de 38 años, sin antecedentes de interés, consulta por lesión nodular asintomática de varios años de evolución en el antebrazo derecho y refiere que había aumentado de tamaño y cambiado de color en los últimos 6 meses.
Exploración física
Se aprecia una lesión nodular policroma con zonas pardo-rojizas y otras gris-negruzcas de 1,5 cm indurada a la palpación, adherida a planos superficiales en antebrazo derecho. La lesión era más grande a la palpación de lo que se apreciaba a la inspección (fig. 1). No se palpaban adenopatías locorregionales.
Figura 1.
Histopatología
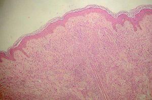
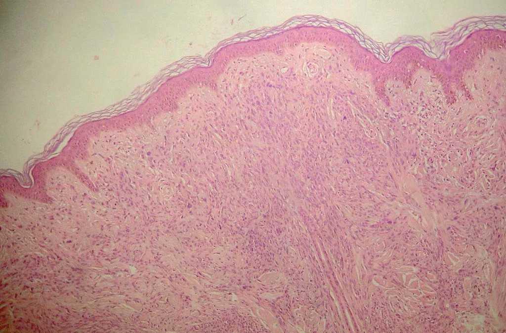
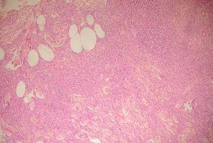
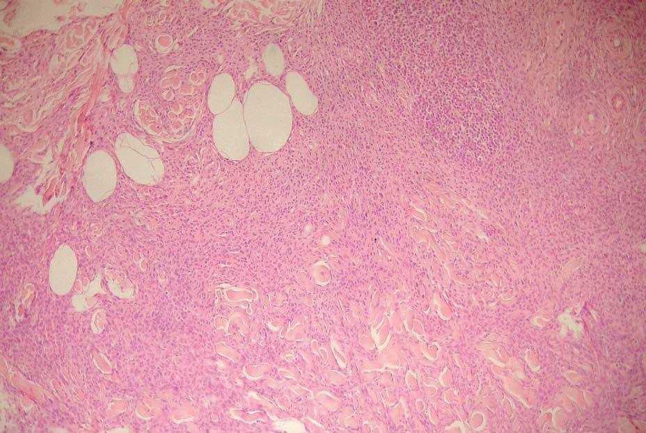
Se realizó la extirpación completa de la lesión y se procedió a su posterior estudio histológico, en el que se apreciaba una lesión compuesta de células melanocíticas pleomorfas en dermis que profundizaba hasta tejido celular subcutáneo con un borde romo bien definido (fig. 2). La lesión estaba constituida por células epitelioides y fusiformes que disecaban las fibras de tejido conjuntivo, rodeaban los tallos pilosos e infiltraban las glándulas ecrinas y el tejido graso (fig. 3). No se identificaron atipias ni mitosis. Con técnicas de inmunohistoquímica las células eran S 100 y Melan A positivas y HMB 45 negativas.
Figura 2.
Figura 3.
La actividad proliferativa medida con el Ki 67, tanto en superficie como en la profundidad de la lesión, era menor del 5 %.
¿Cuál es su diagnóstico?
Diagnóstico
Nevus penetrante profundo.
Evolución
Tras un año de seguimiento no ha presentado recidiva local, ni adenopatías locorregionales.
Comentario
El término nevus penetrante profundo fue usado por primera vez por Seab et al en 1989 1 para referirse a una variante rara de nevus melanocítico adquirido, caracterizada histológicamente por nidos de melanocitos pleomórficos que penetran en profundidad en dermis reticular y a menudo invaden la grasa subcutánea. En 1991 Barnhill et al 2 describieron el nevus fusocelular plexiforme con características histológicas considerablemente similares al nevus penetrante profundo, por lo que ambos términos se consideran sinónimos.
Clínicamente la forma de presentación más frecuente es como pápulas o nódulos pigmentados en la cabeza, parte superior del tronco y proximal de las extremidades, en pacientes entre 10 y 30 años, con prevalencia similar en ambos sexos. La extirpación simple es curativa y las recurrencias son raras.
Mientras la mayoría de los autores están de acuerdo en las manifestaciones histológicas distintivas del nevus penetrante profundo, algunos cuestionan que sea una entidad específica, y lo consideran una forma de nevus combinado, ya que comparte algunas características clínicas e histológicas con el nevus azul celular, el nevus azul común y el nevus de Spitz, y a veces se encuentran también elementos de nevus melanocítico adquirido común 3-5.
Ocasionalmente presentan atipias citológicas y actividad mitótica, características de los nevus displásicos, aunque ningún autor lo considera como tal, como constatan Sanchez Yus et al en su trabajo a este respecto 6. Diversos autores resaltan que es frecuente la confusión del nevus penetrante profundo con el melanoma maligno, tanto clínica como histológicamente 1-5,7. Elder y Xu 8 engloban bajo el término MELTUMP (melanocitic tumours of uncertain malignant potencial) a las proliferaciones melanocíticas que forman tumores en la dermis y por tanto tienen una potencial capacidad metastásica. Ejemplos de estas lesiones serían el nevus de Spitz atípico, el nevus penetrante profundo, los posibles melanomas nevoides o el nevus azul celular, en los cuales el incremento de la actividad mitótica y la atipia citológica no permiten, en ocasiones, excluir el diagnóstico de melanoma invasivo.
Mehregan et al 9 marcaron con anticuerpos frente a PCNA (proliferating cell nuclear antigen) 8 nevus penetrantes profundos y registraron una actividad proliferativa baja comparada con el melanoma.
En cuanto al diagnóstico diferencial con el melanoma maligno éste suele presentar marcada atipia celular y arquitectual, mientras que el nevus penetrante profundo no presenta extensión pagetoide de melanocitos, la epidermis no suele estar adelgazada, ni muestra acantosis irregular, no hay reacción fibroinflamatoria irregular en dermis y el PCNA está en menos del 5 % de las células (en melanomas malignos está presente en el 25-75 % de las células).
Las recurrencias tras la extirpación simple son raras, aunque se han descrito en alguna serie 5.
Graham 10 en 1996 describió el único caso de nevus penetrante profundo maligno en una mujer de 23 años que tuvo metástasis axilar y que a los 5 años de seguimiento, tras realizarle la extirpación y disección axilar, permanecía libre de enfermedad.
El nevus de nuestro paciente presenta simetría en su morfología, no se identifican atipias, mitosis ni componente névico en la unión dermoepidérmica y carece de infiltrado fibroinflamatorio dérmico, características de benignidad del nevus penetrante profundo.
Conflicto de intereses. Declaramos no tener ningún conflicto de intereses
Correspondencia:
M.ª Asunción Arregui.
Servicio de Dermatología. Hospital Santiago Apóstol.
Olaguibel, 29. 01004 Vitoria-Gasteiz. España.
Aceptado el 26 de octubre de 2006.





