Varón de 38 años que consulta por una lesión cutánea pigmentada y asintomática localizada en el brazo derecho, de dos años de evolución. Refiere un crecimiento y oscurecimiento de la misma en los seis meses previos a la consulta, sin sangrado ni ulceración. No presenta otras lesiones similares ni sintomatología sistémica.
ExploraciónEn el tercio proximal del brazo derecho se observa una placa de bordes irregulares y difuminados de color negro-azulado casi en su totalidad, salvo en el polo inferior, donde es pardo-rojizo (fig. 1). En la palpación se aprecia que no está infiltrada, aunque está deprimida en su extremo distal, su eje mayor mide 2cm. No se palpan adenopatías axilares ni cervicales.
DermatoscopiaSe observa una imagen de color azul-negro homogéneo, que pasa a marrón-rojizo en el tercio inferior, donde pueden apreciarse finas estructuras lineales blanquecinas. No se observa retículo pigmentado ni estructuras vasculares (fig. 2).
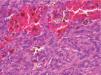
HistopatologíaLa lesión se extirpó en su totalidad. La histología mostraba una tumoración centrada en la dermis, de bordes mal definidos, compuesta por células fibrohistiocitarias, numerosos vasos, áreas colagenizadas en la periferia y abundante depósito de hemosiderina que se corroboró mediante la tinción de Pearls. En la epidermis existía hiperqueratosis y pérdida de crestas interpapilares, sin hiperpigmentación en la capa basal (figs. 3 y 4).
¿Cuál es su diagnóstico?
DiagnósticoDermatofibroma hemosiderótico.
DiscusiónEl dermatofibroma (DF) o histiocitoma es uno de los tumores del tejido conectivo más frecuentes. Generalmente aparece en mujeres jóvenes o de mediana edad, predominando en las extremidades inferiores. El tamaño medio es de 0,5 a 1cm, salvo en las formas gigantes1.
Se ha discutido si los DF representan un proceso reactivo a una picadura, pero actualmente se considera que son tumores benignos de estirpe histiocitaria, existiendo en algunos casos clonalidad2.
Suelen ser lesiones papulares o nodulares asintomáticas y solitarias que crecen de forma lenta en varios años. Pueden aparecer de forma eruptiva, y en un número elevado asociados a infección por el virus de la inmunodeficiencia humana (VIH) o a enfermedades del tejido conectivo3.
La extirpación suele ser definitiva, aunque a veces hay recurrencias2,3.
Se han descrito numerosas variantes que hacen referencia a los aspectos histopatológicos1: variante celular, aneurismática, epitelioide, pseudosarcoma, de células claras, atrófica, lipidizado, en empalizada y otras.
La variante aneurismática representa un 2 % del total4. Suele manifestarse como una lesión nodular azul oscura o marrón localizada en los miembros inferiores. En ocasiones crece rápidamente y sangra. Puede confundirse con tumores de estirpe melanocítica o vascular. Histológicamente es llamativa la presencia de hendiduras y espacios quísticos simulando espacios vasculares dilatados, pero sin revestimiento endotelial.
En algunos casos puede verse la coexistencia de dos tipos histológicos correspondiendo a distintos estadios evolutivos de la misma lesión. Este es el caso de los DF hemosideróticos, los cuales pueden ser una forma precursora del DF aneurismático4. Existe extravasación hemática de los capilares propios de la lesión, dando lugar a la formación de hemosiderina, que es fagocitada por los histiocitos dérmicos y por las células tumorales. Si la extravasación continúa, sobre todo en zonas con poco contenido en reticulina, podrían surgir los espacios dilatados típicos del DF aneurismático.
Sólo conocemos dos trabajos que hagan referencia a la dermatoscopia de la variante hemosiderótica5,6. Zaballos et al6 describen una serie de seis pacientes en la que destaca la presencia de áreas de pigmento homogéneas con un espectro de coloración variable desde gris azulado a marrón rojizo, dato observado en nuestro paciente. También observan finas estructuras blanquecinas lineales que se corresponden con fibrosis. En la periferia puede verse un retículo pigmentado. Todos estos datos orientan el diagnóstico de DF hemosiderótico o de DF aneurismático, pero no son suficientes para diferenciarlo del melanoma, por lo que la actitud indicada en estos casos es la extirpación de la lesión y su examen histológico.
Conflicto de interesesDeclaramos no tener ningún conflicto de intereses.






