La vulva, como lugar de contacto con agentes virales como el virus del papiloma humano (VPH), puede ser asiento de neoplasias intraepiteliales (VIN) como la enfermedad de Bowen (EB)1. Asimismo puede verse afectada por la enfermedad de Paget extramamaria (EPE), dada la alta densidad de glándulas apocrinas de la región anogenital2. Además, en el epitelio vulvar hay que considerar siempre la posibilidad de una lesión melánica o, de forma más infrecuente, un tumor anexial intraepidérmico.
Rara vez se producen lesiones intraepiteliales combinadas vulvares de EB y EPE, como el caso que presentamos3–7.
Se trata de una mujer de 89 años con una lesión indurada en la vulva que afecta los labios mayor y menor izquierdo. La paciente no presenta otros antecedentes de interés. Se le practica una hemivulvectomía izquierda y se recibe en nuestro laboratorio una pieza de tumorectomía que mide 10×9cm,×3cm en su profundidad mayor. Se aprecia un endurecimiento de la zona referida como labio mayor y menor izquierdos ocupando una superficie de 5×3,5cm, que se corresponde al corte con un engrosamiento que alcanza un espesor máximo de 9mm.
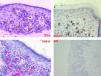
En el estudio microscópico se evidencian en la epidermis dos áreas claramente diferenciadas: una muestra una marcada distorsión de la arquitectura epidérmica, no pudiéndose diferenciar ninguno de los estratos normales, siendo estos sustituidos por células claramente atípicas, de citoplasma denso, eosinófilo, con algunos puentes intercelulares (fig. 1). En ningún punto la lesión infiltra la dermis; en la otra el aspecto es totalmente distinto y la maduración del epitelio es correcta, y de forma «salpicada» destaca la presencia de unas células atípicas, de citoplasma claro, vacuolado (con mucinas) y nucléolo muy prominente (fig. 2).
Se realiza un amplio panel de marcadores inmunohistoquímicos (IHQ): S-100, Melan-A y HMB-45 (marcadores melánicos), queratinas (AE1/AE3, ck/7, ck/20, ck/8, 34BetaE1), CEA, GCDFP-15, p16 y p53.
Ante una lesión intraepitelial vulvar como la que presentamos, el primer paso es descartar que se trate de una lesión melánica (nevus o melanoma) y no de una lesión epitelial. Dado que los marcadores melánicos S-100, HMB 45 y Melan-A fueron negativos tal posibilidad queda descartada.
Entre las lesiones epiteliales, un poroma maligno intraepidérmico se descarta morfológicamente por la ausencia de diferenciación ductal intraepidérmica y de rasgos poroides a nivel celular y una queratosis seborreica, por estar constituida por células escamoides sin atipia. Así pues, el diagnóstico diferencial se circunscribe a tres posibilidades: una EPE con rasgos bowenoides, una EB con rasgos pagetoides y una lesión combinada de EB y EPE.
En la EPE con rasgos bowenoides toda la lesión (tanto en las zonas pagetoides como en las bowenoides) expresa CEA y ck8, y no queratinas de alto peso (34 beta E12). Esto no ocurre en nuestro caso, en el que se evidencia una tinción dual, con áreas de EB que expresan queratinas de alto peso y que no expresan ck8, CEA y GCDF y otras de EPE que expresan CEA y GCDFP y no queratinas de alto peso, como la la 34beta E12 (figs. 3 y 4).
En la EB con rasgos pagetoides la situación es la inversa a la EPE con rasgos bowenoides; toda la lesión, tanto en las zonas de carcinoma escamoso intraepitelial como en las que presentan rasgos pagetoides expresa queratinas de alto peso molecular y no CEA, GCDFP ni queratinas de bajo peso como la ck8.
Así pues, una lesión con diferenciación morfológica e inmunohistoquímica dual sólo es coherente con una lesión combinada de EB y EPE en la que hay una expresión de las queratinas de alto peso molecular limitada a las áreas de EB y de CEA, GCDFP y ck8 a las áreas de EPE.
Son escasas las citas bibliográficas de lesión combinada vulvar. Solamente hemos encontrado 6 casos en la literatura, todos ellos descritos en la vulva3–8.
En relación con la etiopatogenia de esta lesión hay tres posibilidades; la primera hipotetiza que una parte del tumor sea una desdiferenciación de la otra, como ocurre en los liposarcomas o cordomas con focos de diferenciación divergente. Esta teoría no nos parece posible en nuestro caso, ya que no hemos evidenciado transición entre una y otra neoplasia a nivel morfológico ni inmunohistoquímico; la segunda, que sea un tumor de colisión (una lesión incidental) y, finalmente, la tercera posibilidad es que ambas partes del tumor deriven de una célula madre. Esta última hipótesis podría ser aplicada a nuestro caso, ya que, además de que estas células madre tienen probada su plasticidad celular, encaja con las teorías más actuales y reconocidas de la carcinogénesis. No obstante, la positividad inmunohistoquímica de p16 en las áreas de EB, siendo negativa en las de EPE (lo que indica que la EB está relacionada con el VPH y la EPE no) no permite descartar que se trate de una colisión de dos tumores diferentes, es decir, que sea una lesión incidental.
Desde el punto de vista terapéutico se optó por el diagnóstico de un carcinoma in situ vulvar con un tratamiento agresivo (vulvectomía), actitud que ha sido de elección ante este tipo de lesiones. Se están desarrollando otros tratamientos, como la terapia fotodinámica, que se utiliza ya en otras enfermedades como la psoriasis o el carcinoma basocelular; en el caso de la EB se han obtenido tasas de curación que oscilan entre el 90 y el 100% con dos sesiones9. En la EPE la cirugía con amplios márgenes oncológicos también es considerada de elección por muchos autores (2cm o más). El pronóstico es mejor cuanto más radical sea la extirpación, porque las células de Paget pueden encontrarse más allá de los límites macroscópicos de la lesión y, si no es adecuada la extirpación, puede recidivar. Últimamente se ha estudiado el tratamiento de estas lesiones con la cirugía micrográfica de Mohs10.






