HISTORIA CLINICA
Mujer de 68 años de edad, sin antecedentes dermatológicos de interés, que hace 4 años, consulta por la aparición en la espalda de una placa blanquecina, indurada y muy pruriginosa que iba aumentando de tamaño progresivamente (fig. 1). Sucesivamente le fueron apareciendo lesiones de similares características, persistentes, en miembros superiores, inferiores y tórax sin sintomatología sistémica acompañante. En la actualidad consulta por la aparición hace un mes sobre una de las placas preexistentes en región pretibial derecha, de una lesión ampollosa de contenido claro, que se ha ido extendiendo progresivamente. La paciente no refería ningún traumatismo local.
Fig. 1.--Placa blanquecina, indurada que ocupa la mitad derecha de la espalda casi en su totalidad.
EXPLORACION FISICA
En región pretibial derecha, presentaba una placa de coloración pardusca con áreas blanquecinas de 12 × 4 cm aproximadamente, de bordes mal definidos y en la superficie de la misma, una ampolla de contenido líquido claro de distribución longitudinal y bordes irregulares de 9 × 2 cm (figs. 2 y 3). En mitad derecha de la espalda, cara anterior del tronco y miembros superiores, grandes placas de varios centímetros de diámetro, induradas al tacto, de centro blanquecino, ligeramente deprimido y brillante.
Fig. 2.--Placa pardusca pretibial derecha con ampolla de distribución longitudinal (12 × 4 cm), con contenido líquido claro y bordes irregulares.
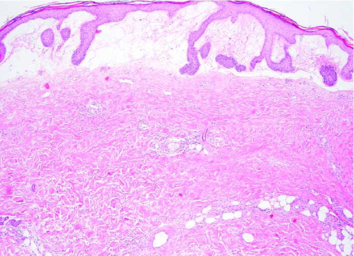
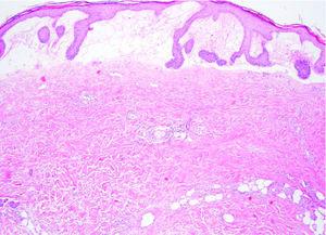
Fig. 3.--Biopsia de placa en espalda. Marcada fibrosis en dermis papilar y reticular superficial. (Hematoxilina-eosina, ×20.)
EXPLORACIONES COMPLEMENTARIAS
Durante los 4 años de seguimiento, se realizaron varias analíticas con hemograma, bioquímica, VSG, ANCAS, ACAS, ANA, ENA, FR, proteinograma inmunoglobulinas, C3, C4, serologías (lúes, VHB, VHC), encontrándose únicamente una β -talasemia minor ya conocida y discretas elevaciones de la IgA y C4 de forma aislada. Las demás determinaciones se encontraban dentro de la normalidad o fueron negativas.
Se tomaron varias muestras para estudio histopatológico, de la espalda en el momento de la primera visita (fig. 3) y de la ampolla de la región pretibial derecha (fig. 4).
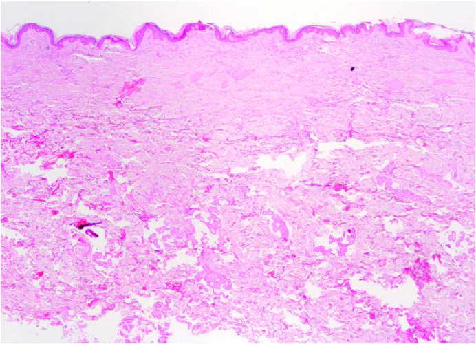
Fig. 4.--Biopsia de ampolla. Ampolla subepidérmica a expensas de marcado edema de dermis papilar; haces colágenos compactos y engrosados. (Hematoxilina-eosina, ×40.)
DIAGNOSTICO
Morfea ampollosa.
HISTOPATOLOGIA
En la biopsia de la placa de la espalda (fig. 3) se observa un fragmento de piel con discreta hiperqueratosis y de forma más significativa, una marcada fibrosis en forma de haces colágenos gruesos dispuestos de forma compacta en la dermis papilar y reticular más superficial; asimismo se observan ligeros infiltrados perivasculares de células redondas. No hay alteraciones en dermis profunda ni en el tejido celular subcutáneo.
En la biopsia de la ampolla (fig. 4), hay un marcado edema de la dermis papilar que da lugar a la formación de una ampolla subepidérmica. En la dermis subyacente se observan infiltrados perivasculares e intersticiales constituidos por linfocitos y eosinófilos. En la dermis superficial se encuentran haces colágenos compactos y engrosados, sin objetivarse alteraciones de las fibras elásticas. No hay dilatación de vasos linfáticos. El estudio de inmunofluorescencia directa con los antisueros anti-IgG, anti-IgA, anti-IgM y anti-C3, fue negativo.
COMENTARIO
La morfea ampollosa constituye una rara variante de morfea descrita por primera vez por Morrow en 1896 en un varón de 66 años. Hasta la actualidad se han comunicado aproximadamente 100 casos en la literatura especializada 1. En ellos se ha visto que es más frecuente en mujeres de mediana-avanzada edad y que las localizaciones predominantes son el abdomen y los miembros inferiores.
El mecanismo causal de las ampollas en las placas de morfea no está claro aunque existen varias teorías patogénicas. Para algunos autores, las lesiones serían secundarias a linfedema debido a la obstrucción de los linfáticos por el proceso de fibrosis dérmica que se vería favorecido por la presión hidrostática 2,3. Para otros como Pautrier, serían las alteraciones tróficas a consecuencia de los cambios vasculares (arteritis y flebosclerosis). Otros autores (O'Leary, SuWP, Greene) afirman que la ampolla se debe a traumatismo localizado. Daoud et al 4 realizan un estudio retrospectivo de 1.071 pacientes con esclerodermia o morfea de los que 13 presentaban ampollas; en el 66 % de estos últimos encontraron dilatación de linfáticos así como un incremento del depósito de proteína básica principal de los gránulos eosinófilos en los 10 casos en los que se determinó este depósito. Rencic et al 5 tras una revisión de 53 casos de esclerodermia (localizada, generalizada y sistémica), encuentran 4 casos con ampollas para las que proponen tres mecanismos patogénicos; uno de ellos inflamatorio que produciría el desarrollo de un patrón histopatológico de liquen escleroatrófico, otro mecanismo fibrótico/obstructivo que provocaría la aparición de un patrón linfangiomatoso y, por último, describen la posibilidad de patogenia autoinmune por encontrar anticuerpos circulantes contra el colágeno tipo VII en un paciente y en otro estar asociado a un pénfigo foliáceo.
En nuestro caso, no se demostró dilatación de vasos linfáticos, ni afectación vascular; por otra parte, la negatividad de la inmunofluorescencia directa tampoco apoyaría la existencia de una causa autoinmune. Lo más destacable es la presencia en las dos biopsias, de haces colágenos compactos, hialinizados, afectando únicamente a la porción superior de la dermis, correspondiendo a una morfea superficial histológica sobre placas de morfea típicas clínicamente. De esta manera, el diagnóstico diferencial clínico-patológico inicial, habría que establecerlo con enfermedades en las que aparezcan ampollas subepidérmicas de forma aislada, como puede ser el penfigoide ampolloso localizado, la epidermolisis ampollosa adquirida o el liquen escleroatrófico ampolloso extragenital. En este sentido, Winkelman considera al liquen escleroatrófico (LEA) una morfea superficial, y en el mismo paciente o incluso en la misma biopsia pueden coexistir lesiones clínicas y/o histológicas de LEA y morfea. En la actualidad, existe una tendencia creciente entre los distintos autores a pensar que la morfea ampollosa está estrechamente relacionada con el liquen escleroatrófico, e incluso, que ambas entidades pudieran considerarse como formas clínicas de una misma enfermedad 6-10.
Declaración de conflicto de intereses Declaramos no tener ningún conflicto de intereses.
Correspondencia:
Silvia Pérez-Gala.
Servicio de Dermatología.
Hospital Universitario de La Princesa.
Diego de León, 62.
28006 Madrid. España.
silviapg@aedv.es
Recibido el 14 de julio de 2005.
Aceptado el 13 de febrero de 2006.






