Introducción
Las leishmaniasis son un conjunto de enfermedades con distinto espectro clínico, producidas por un grupo heterogéneo de protozoos del género Leishmania, del que existen más de dos docenas de especies. La infección se transmite por medio de la picadura de mosquitos vectores de los géneros Phlebotomus y Lutzomya, actuando como reservorios distintas especies de mamíferos, roedores e incluso el propio ser humano. Existen multitud de especies de Leishmania según la zona geográfica.
Se trata de una enfermedad endémica en nuestro país, donde existen tanto formas cutáneas como viscerales. La única especie causante de leishmaniasis en nuestro medio es Leishmania infantum, sin embargo, con el aumento progresivo de población inmigrante, es posible observar cuadros clínicos de leishmaniasis importados, producidos por otras especies distintas y con rasgos clínicos diferentes. Presentamos un caso de leishmaniasis cutánea en un paciente senegalés, con unos rasgos clínicos algo distintos de las formas de leishmaniasis cutánea que estamos más habituados a ver en nuestro país, peculiaridades muy posiblemente atribuibles al tipo de especie productora de leishmaniasis en Senegal: L. major.
Caso clínico
Se trata de un varón de 38 años, procedente de Senegal, que llevaba en España tan sólo 20 días, sin antecedentes médicos de interés, y que acudió a la consulta por la aparición de unas lesiones cutáneas asintomáticas en la muñeca derecha, de mes y medio de evolución (el cuadro comenzó en Senegal), que poco a poco habían ido creciendo y se habían ulcerado. Había realizado diversos tratamientos con antibióticos tópicos y sistémicos sin obtener ninguna respuesta.
En la exploración física se apreciaban dos nódulos ulcerados, en dorso y cara volar de la muñeca derecha, de 5 cm de eje mayor, con un centro necrótico y friable y bordes sobreelevados e infiltrados (figs. 1 y 2). El resto de la exploración física fue normal, incluyendo ausencia de adenopatías.
Figura 1.
Figura 2.
El diagnóstico diferencial se planteó fundamentalmente con infecciones bacterianas, fúngicas, por micobacterias, tumores malignos y úlcera tropical. Se procedió a la biopsia con punch de 6 mm de los bordes de la lesión y se realizó cultivo para bacterias, hongos y micobacterias, resultando negativo.
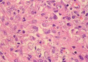
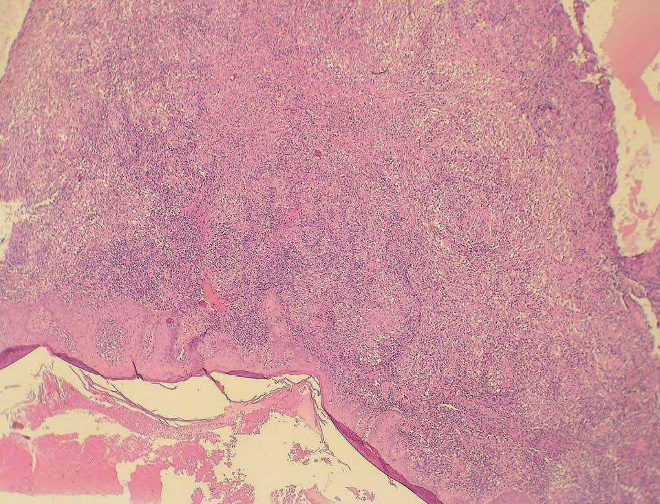
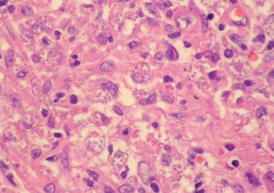
El resultado de la biopsia mostró un denso infiltrado inflamatorio en dermis superficial y profunda, acompañado de numerosos cuerpos ovalados de unas 6 micras, tanto dentro como fuera de los macrófagos, que se corresponden con los amastigotes (forma intracelular que adopta la Leishmania en el huésped, a diferencia de la forma promastigote que adopta en el mosquito vector) (figs. 3 y 4).
Figura 3.
Figura 4.
El diagnóstico microbiológico fue leishmaniasis cutánea por L. major, atendiendo a criterios clínico-epidemiológicos.
Dado que las lesiones de nuestro paciente destacaban por ser múltiples, grandes y muy inflamatorias, se optó por un tratamiento sistémico con glucantime (antimoniato de meglumina) 20 mg/kg/día durante 28 días vía intramuscular. Al mes de tratamiento las lesiones presentaban claros signos de regresión, en forma de cicatrices hipopigmentadas, algo deprimidas y un tanto inestéticas.
Discusión
La leishmaniasis constituye un gran problema de salud pública, siendo endémica en 88 países (16 desarrollados y 72 subdesarrollados), con una prevalencia de 12 millones de enfermos y una incidencia de unos 2 millones de casos nuevos al año. Además, las cifras oficiales subestiman la realidad debido a que se trata de una enfermedad muy infradeclarada (sólo en 40 países es de declaración obligatoria) 1.
Existen multitud de especies de Leishmania según la zona geográfica, y clásicamente se han dividido de manera didáctica en formas del «Viejo Mundo» (Asia, Europa y África) y formas del «Nuevo Mundo» (América). La clínica es muy variada, pero la podemos agrupar en tres grandes síndromes: la leishmaniasis visceral o Kala-azar, mortal y sin tratamiento; la leishmaniasis mucocutánea o espundia, que produce lesiones erosivas de mucosa nasal, oral y faríngea provocando gran desfiguración y la leishmaniasis cutánea, de la que nos ocuparemos de ahora en adelante.
La forma característica de leishmaniasis cutánea en el «Viejo Mundo» es el botón de oriente y, según la zona geográfica, puede estar producida por las siguientes especies: L. infantum, L. tropica, L. aethiopica y L. major2,3.
En España, así como en el resto de países del suroeste europeo (Francia, Italia, Chipre, Malta, etc.) la única especie de leishmania identificada como causante de leishmaniasis cutánea es L. infantum, en la que por análisis enzimático mediante electroforesis es posible distinguir varios zimodemos (cepas que se distinguen por su distintinto perfil enzimático) 4. Dos especies de flebotomos han sido identificadas como vectores: P. perniciosus y P. ariasi2.
En Senegal la leishmaniasis cutánea es endémica y está producida por la especie L. major (zimodemo MON-26) 5 (fig. 5). El reservorio lo conforman varias especies de roedores (Tatera, Aricanthus, Mastomys, etc.) 6 y el principal vector es P. duboscji7.
Figura 5.
En cuanto a la clínica de la leishmaniasis cutánea existe un gran polimorfismo clínico, y el tipo de lesión va a depender de tres factores: parásito (patogenicidad, virulencia, etc.), vector (número de picaduras, tipo de saliva, etc.) y huésped (susceptibilidad genética y estado inmunitario) 8. Las lesiones suelen afectar áreas descubiertas, como cara y extremidades. Son normalmente asintomáticas, a no ser que se sobreinfecten. No es posible distinguir la especie de leishmania por el aspecto clínico de la lesión, pero ante el caso atípico que se nos presentaba, nos preguntamos si existirían rasgos clínicos característicos de L. major que pudieran diferenciarla de las lesiones por L. infantum. En efecto, existen rasgos clínicos orientativos de cada especie:
En nuestro medio la lesión típica por L. infantum suele comenzar como una pequeña pápula eritematosa, única o múltiple, parecida a la picadura de un mosquito, asintomática o levemente pruriginosa, que se infiltra y crece lentamente para formar, en uno o tres meses un nódulo o placa infiltrada, que puede llegar a ulcerarse para transformarse en costrosa. Bajo la costra queda una úlcera de fondo irregular y bordes elevados. La lesión puede permanecer durante meses o incluso años, y si se dejara evolucionar acabaría por curar espontáneamente. La transmisión suele ser periurbana y el perro es el principal reservorio 8.
Sin embargo L. major produce la llamada úlcera rural, húmeda y zoonótica 7. Las dos formas clínicas más frecuentes son las formas ulceradas y las costrosas 9. Las lesiones suelen ser a menudo múltiples, muy inflamatorias y exudativas 10, existiendo casos descritos de infecciones de tipo esporotricoide (múltiples lesiones siguiendo un trayecto linfangítico), así como formas de lesishmaniasis difusa 11 y linfadenitis necrotizante y supurativa 12.
El reservorio lo forman fundamentalmente roedores (Tatera gambiana, Mastomys erythroleucus, etc.) 6 y la transmisión suele producirse en el entorno rural.
El diagnóstico se hace fundamentalmente mediante examen microscópico, buscando parásitos en frotis de exudados, biopsias cutáneas y muestras de punción-aspiración con aguja fina. Otras técnicas, como la reacción en cadena de la polimerasa (PCR), no se realizan habitualmente, salvo con fines de investigación.
Las leishmaniasis cutáneas localizadas, sobre todo las del «Viejo Mundo», no siempre necesitan tratamiento por su tendencia natural hacia la curación espontánea, y cuando se decide tratarlas (por ser grandes, múltiples, o se prevea cicatriz inestética), el tratamiento intralesional con antimoniales pentavalentes sería de elección. Se suele utilizar antimoniato de meglumina (glucantime) a dosis variables, entre 0,1-2 ml por lesión dos veces a la semana, quincenal o mensual 13. Otras alternativas serían el tratamiento tópico con una fórmula de paramomicina, el imiquimod 14 y la criocirugía para lesiones pequeñas 15,16. El fluconazol oral, a dosis de 200 mg/día durante 6 semanas ha demostrado ser un tratamiento eficaz y seguro en casos de leishmaniasis cutánea por L. major MON-26, como pone de manifiesto el estudio hecho por Alrajhi AA et al 17. Sin embargo, otras especies distintas de L. major pueden no responder a este tratamiento. Aunque algunas formas pueden requerirlo, como el caso de nuestro paciente, la terapia sistémica con antimoniales no suele ser necesaria.
Con la presentación de este caso de leishmaniasis importada, con una clínica poco habitual en nuestro medio, se pretende aportar nuestra corta experiencia para llamar la atención sobre la necesidad para el dermatólogo de familiarizarse con cuadros de dermatología tropical, pues con el aumento progresivo de la población inmigrante y de los viajes al extranjero, estos cuadros se convertirán en una parte importante de nuestra práctica diaria en un futuro muy próximo.
Conflicto de intereses. Declaramos no tener ningún conflicto de intereses
Correspondencia:
Beatriz González Llavona.
Sección de Dermatología. Hospital Virgen de las Nieves.
Avda. Fuerzas Armadas, s/n. 18014 Granada.
Aceptado el 18 de octubre de 2006.







