La epidermodisplasia verruciforme (EV) es una enfermedad en la que existe una mayor susceptibilidad genética a la infección por determinados subtipos oncogénicos del virus del papiloma humano (VPH). Entre otros hallazgos histológicos, en la EV suelen observarse unas células claras, grandes, ovaladas o redondeadas (células EV) en la capa granulosa, que según algunos autores se podrían considerar como un marcador histológico de inmunodepresión.
Material y métodosHemos estudiado 229 carcinomas espinocelulares (CE) para valorar si presentaban células EV y si se relacionaban con inmunodepresión, tanto localizada o cutánea (tumores con signos de intenso daño solar crónico o con una dermatitis de estasis intensa), como sistémica (pacientes inmunodeprimidos o ancianos).
ResultadosObservamos células EV en 33 carcinomas. No hemos encontrado relación significativa entre la existencia de células EV e inmunodepresión. Realizamos reacción en cadena de la polimerasa (PCR) en 8 lesiones, pero los resultados no fueron valorables porque el ADN estaba desnaturalizado.
ConclusionesNo hemos demostrado relación entre las células EV e inmunodepresión, localizada o sistémica, posiblemente porque la muestra no era adecuada (se podría considerar que prácticamente todos los CE estudiados se asociaban a signos de inmunodepresión, tanto aquellos que presentaban células EV como los que no). Serían necesarios más estudios que comparasen lesiones asociadas a inmunodepresión con otras que no. Es posible que estas células EV sean el resultado de los efectos citopáticos de determinados subtipos de VPH, como el VPH-5 o el VPH-8, aunque sería necesario demostrar esta hipótesis mediante técnicas de PCR o similar.
Epidermodysplasia verruciformis (EV) is associated with greater susceptibility to infection by certain oncogenic subtypes of human papillomavirus (HPV). Among other histologic findings, large, clear, oval or rounded cells (EV cells) are observed in the granular layer in EV, and some authors consider these cells to be markers of immunosuppression.
Material and methodsWe analyzed 229 squamous cell carcinomas (SCC) to determine whether EV cells were present and to assess whether their presence was associated either with localized or cutaneous immunosuppression (tumors with signs of severe chronic actinic damage or severe stasis dermatitis) or with systemic immunosuppression (immunocompromised or elderly patients).
ResultsWe observed EV cells in 33 SCC. No statistically significant relationship was observed between the presence of EV cells and immunosuppression. We performed polymerase chain reaction in 8 lesions, but the results were not informative as the DNA was denatured.
ConclusionsWe found no relationship between the presence of EV cells and localized or systemic immunosuppression, possibly because the sample was inadequate (almost all SCC studied were associated with signs of immunosuppression, irrespective of the presence or absence of EV cells). Further studies will be required to compare lesions associated with immunosuppression with those in which immunosuppression is absent. The presence of EV cells may be the result of cytopathic effects of certain HPV subtypes, such as HPV 5 or 8, but this will need to be demonstrated using techniques such as polymerase chain reaction.
La epidermodisplasia verruciforme (EV) es una enfermedad en la que existe una mayor susceptibilidad genética a la infección por determinados subtipos del virus del papiloma humano (VPH-EV), como los subtipos 5 y 8, y con menor frecuencia otros como el 9, 10, 12, 14, 15, 17, 19 a 25, 36 a 38, 47 y 49. También se suelen encontrar otros subtipos de VPH llamados cutáneos (VPH-cut), como el 1, 2, 3, 27, 28 ó 77, entre otros, que provocarían verrugas planas y otras lesiones benignas1. Clínicamente estos pacientes suelen presentar desde la infancia múltiples verrugas planas y vulgares, de gran tamaño, que confluyen en placas. Aproximadamente un tercio de los pacientes, en la segunda o tercera década de la vida, comienzan a presentar múltiples lesiones de enfermedad de Bowen (EB) y queratosis actínicas, así como múltiples carcinomas espinocelulares (CE), principalmente en las zonas fotoexpuestas2,3.
En un 90 % de estos tumores se detectan VPH-EV oncogénicos (predominando el subtipo VPH-5, y con menos frecuencia los subtipos 8, 14, 17, 20 ó 47). En las lesiones verrugosas también se detectan estos VPH-EV, así como otros VPH cutáneos como el VPH-3 o el VPH-101-3. La EV parece que sería la expresión de una alteración en la inmunidad celular4,5 y constituye el paradigma del papel oncogénico del VPH, actuando como sinérgico o potenciador de otros factores oncogénicos como las radiaciones ultravioletas (UV)1.
Se ha descrito una amplia variabilidad de hallazgos histopatológicos en la EV6. En ocasiones los hallazgos son similares a los de las verrugas planas, aunque afectando casi la totalidad de la epidermis y con una mayor vacuolización citoplasmática. También es frecuente encontrar efectos citopáticos provocados por el VPH (granos de queratohialina más grandes y numerosos, coilocitosis, papilomatosis, etc.)7. Un efecto citopático característico de los VPH-EV es el hallazgo de células «hinchadas» (células EV), claras, grandes, ovaladas o redondeadas, con una apariencia globulosa y con vacuolización o microgránulos en su citoplasma. Suelen localizarse en el estrato granuloso de la epidermis y en ocasiones se agrupan formando nidos6. En la EV se pueden observar también células displásicas, o cambios celulares malignos, hacia EB y CE principalmente (con unos hallazgos histológicos similares a los de la EB o el CE, aunque con un mayor grado de disqueratosis)6.
InmunodepresiónCada vez es más frecuente la existencia de pacientes inmunodeprimidos: pacientes con sida, trasplantados en tratamiento con inmunosupresores, pacientes oncológicos, etc8. Además, la edad avanzada podría ser, por sí sola, un importante factor de inmunodepresión9.
Por otra parte, diversos estudios hablan de la inmunodepresión local y/o sistémica que puede producir la exposición a radiaciones solares de forma crónica10-12. Las radiaciones ultravioleta (UV) desencadenarían una cascada de alteraciones bioquímicas y celulares, cuyo resultado final sería la inducción de efectos inmunosupresores10-12.
Inmunodepresión y epidermodisplasia verruciformeEn ocasiones los pacientes inmunodeprimidos (ID) desarrollan lesiones clínica e histológicamente similares a las que aparecen en la EV13-15. Penneys et al (1992)16 encuentran relación entre la observación de células EV en la epidermis (aisladas o agrupadas en «nidos») y la existencia de inmunodepresión. Es decir, el hallazgo histológico de células EV en la piel podría considerarse una especie de marcador de inmunodepresión16.
Estábamos realizando un estudio sobre CE y observamos que algunos tumores presentaban células EV y que, la mayoría de ellos, pertenecía bien a pacientes ID, bien a tumores en los que existía una intensa elastosis solar. Basándonos en el estudio de Penneys et al16 nos planteamos estudiar si estos casos que presentaban células EV se asociaban con inmunodepresión (pacientes ID, ancianos o con un importante daño solar crónico).
Material y métodoHemos analizado 229 CE extirpados durante un período de 5 años en el Hospital Vega Baja de Orihuela, Alicante; aunque estos 229 CE correspondían a 199 pacientes (a 15 pacientes se les extirparon 45 CE), para nuestro estudio hemos considerado cada CE como un caso.
No se incluyeron en el estudio los CE que podían ser recidivas de CE extirpados previamente, en los que no se observó relación con la epidermis, ni los CE localizados en labio, en región ano-genital o en mucosas, ni aquellos CE en los que no era posible un buen análisis de la preparación histológica (borde libre tumoral muy escaso, biopsias parciales, curetaje y electrocoagulación, etc.).
Los datos clínicos (edad, sexo, localización, inmunodepresión, recidiva del CE, etc.) se obtuvieron de la historia clínica del paciente o del archivo de Anatomía Patológica.
En cada preparación histológica analizamos la zona adyacente al CE, determinando:
- 1.
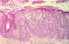
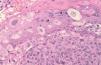
Células EV. Existencia de células similares a las observadas en la EV: grandes, de citoplasma microgranulado y grisáceo, redondeadas u ovaladas («como un globo»), localizadas habitualmente en la capa granulosa, de forma aislada o agrupadas «en nidos»6,16.
- 2.
Otros signos histológicos indirectos de infección por VPH: existencia de granos de queratohialina más grandes y numerosos (localizados en el citoplasma y el núcleo), pseudoparaqueratosis (núcleos redondeados en la capa córnea), papilomatosis y/o coilocitosis7. También determinamos si estos signos indirectos de VPH se localizaban en infundíbulos pilosos o en epidermis inter-infundibular (de forma similar a una verruga plana). En un mismo caso pueden coexistir varios signos indirectos de infección por el VPH o en ambas localizaciones.
- 3.
Elastosis solar. Presencia de elastosis solar (o degeneración basófila del colágeno) y valorar si ésta se extendía hasta la dermis reticular superficial, media o profunda. La medición de la profundidad de la elastosis puede ser menos objetiva en determinadas localizaciones en que la dermis tiene un menor grosor (como los pómulos o la frente), aunque se adaptaron los hallazgos valorados a cada caso concreto. Como casi todos los CE presentaban elastosis solar, esta variable se agrupó según la elastosis fuera leve (sin elastosis o hasta dermis reticular superficial), moderada (hasta dermis reticular media) o intensa (hasta dermis reticular profunda).
- 4.
Dermatitis de estasis. Si existían signos de dermatitis de estasis intensa asociada como otro posible factor de inmunodepresión.
Consideramos inmunodepresión aquellos casos en los que se observaba una intensa elastosis solar (como traducción de daño solar crónico), intensa dermatitis de estasis, así como los que pertenecían a pacientes inmunodeprimidos o a pacientes ancianos.
Técnica de reacción en cadena de la polimerasaLa técnica de reacción en cadena de la polimerasa (PCR) posibilita amplificar secuencias específicas de ADN, obteniendo millones de copias de un único fragmento de ADN, lo que permite disponer de una secuencia de ADN en cantidad suficiente para su posterior estudio molecular17.
Se realizó PCR a 8 CE con evidentes signos histológicos indirectos de infección por el VPH, incluyendo 5 que presentaban células EV. Si la técnica era positiva para el ADN de VPH (de tipo mucoso o de tipo cutáneo-EV) entonces se llevaba a cabo un tipaje específico del VPH (técnica de singled PCR modificada). Se utilizaron dos controles internos, uno para comprobar que la técnica de PCR estaba correctamente realizada y otro para comprobar que el ADN de la muestra no se había desnaturalizado («muestra inhibida»). Los resultados que obtuvimos no fueron valorables, ya que los 8 casos tenían el ADN desnaturalizado, por lo que no analizamos más casos con PCR.
Análisis estadísticoLos datos fueron procesados mediante el paquete estadístico SPSS 12.0 para Windows.
La relación entre variables cualitativas y la comparación de proporciones en grupos independientes se estudió mediante un análisis de tablas de contingencia por la prueba de Chi-cuadrado de Pearson, considerando significativos los riesgos de error inferiores al 5 % (p < 0,05)18.
La relación entre variables continuas (edad, por ejemplo) y las cualitativas se analizó mediante el análisis de la varianza (ANOVA)18.
Para estudiar si existía relación entre la observación de células EV y otras múltiples variables (sexo, elastosis solar, inmunodepresión, si existía una queratosis actínica o una EB como lesión preexistente, signos indirectos de infección por el VPH, etc.) se realizó un análisis de regresión logística. Estos análisis de regresión logística nos permiten calcular la odds ratio (OR), y así estimar la asociación de cada variable de forma independiente, es decir, eliminando la posibilidad de que una variable confunda o dependa de otras19.
Los casos dudosos o que no permitiesen un buen análisis de alguna variable se consideraron como «no valorables» y no se incluyeron en el estudio estadístico de esa variable.
ResultadosObservamos células EV (aisladas o agrupadas en nidos) en 33 lesiones (14,73 %) (figs. 1-4).
Tras comparar los CE que presentaban células EV con el resto, no hemos encontrado relación (p > 0,05) entre la existencia de células EV y edad, pacientes ID, dermatitis de estasis, sexo, ni con localización en áreas fotoexpuestas. Tampoco hemos encontrado relación significativa entre los CE en los que existían células EV y la elastosis solar (tabla 1), ni aun agrupando la elastosis solar en ausenteleve, moderada e intensa, ni tampoco segmentando la muestra en grupos según exista o no inmunodepresión (para estudiar por ejemplo si existía relación con la elastosis solar únicamente en los pacientes inmunocompetentes, ya que los ID presentaban una elastosis solar menor).
Células de epidermodisplasia verruciforme y elastosis solar (%)
| Sin elastosis solar | Dermis reticular superficial | Dermis reticular media | Dermis reticular profunda | Total | ||
| Células EV | Sí | 1 (3,2) | 6 (19,3) | 9 (29) | 15 (48,4) | 31 (100) |
| No | 5 (2,6) | 28 (15) | 75 (40,1) | 79 (42,2) | 187 (100) | |
| Total | 6 (100) | 34 (100) | 84 (100) | 94 (100) | 218 (100) |
En 11 lesiones no se pudo analizar bien la elastosis solar adyacente al tumor y se consideraron como no valorables.
EV: epidermodisplasia verruciforme.
En el análisis de regresión logística comprobamos que existe relación independiente entre la observación de células EV y EB como lesión previa, con una odds ratio = 10,001 [2,798 – 35,741], así como con signos indirectos de infección por el VPH en la epidermis inter-infundibular, con odds ratio = 5,717 [1,134 – 28,817].
Aunque estos 229 CE fueron considerados en nuestro estudio como casos independientes, en realidad correspondían a 199 pacientes: a 184 pacientes se les extirpó 1 CE y a 15 pacientes 45 CE (9 pacientes con 2 CE extirpados, 3 pacientes con 3 CE extirpados, un paciente con 4 y dos pacientes con múltiples extirpaciones, uno con 6 y otro con 8 CE).
En estos pacientes con varios CE extirpados observamos un mayor porcentaje de células EV: 9 de 45 CE presentaban células EV (un 20 %, estos 9 CE con células EV correspondían a 6 pacientes, 2 de ellos ID), mientras que en el resto de CE observamos células EV en 24 de 184 CE (un 13,04 %). No hemos encontrado diferencias significativas entre estos dos grupos (p > 0,05).
DiscusiónSegún el estudio de Penneys et al (1992)16 la observación de células EV supondría una especie de marcador de inmunodepresión. Nosotros no hemos encontrado relación entre la observación de células EV e inmunodepresión, tanto localizada como sistémica, aunque es posible que esto se deba a que la muestra no sea la adecuada por los siguientes motivos:
Las radiaciones solares producen importantes efectos inmunosupresores10-12, además la edad avanzada podría ser otro factor inmunosupresor9. Los pacientes con un importante daño solar crónico (objetivable histológicamente como una intensa elastosis solar), así como aquellos con una edad avanzada (o ambas, ya que habitualmente los pacientes de mayor edad también presentan mayor elastosis solar)20 podrían considerarse como ID, al menos de forma «localizada» o cutánea21. En nuestra muestra la mayoría de pacientes tienen una edad avanzada, y además casi todas las lesiones también tienen una intensa elastosis solar (hasta la dermis reticular media o profunda), tengan o no células EV. Es decir, podríamos considerar que casi todos los pacientes de nuestro estudio (incluyendo los inmunocompetentes) presentan inmunodepresión, tanto los que presentan células EV como los que no, lo que podría explicar que no existan diferencias entre ambos grupos. Serían necesarios más estudios que comparasen una población inmunocompetente (y/o lesiones sin signos de daño solar crónico) con pacientes ID, de edad avanzada o con una intensa elastosis solar, para valorar si, efectivamente, la existencia de estas células EV se puede considerar como un buen marcador de inmunodepresión (local y/o sistémica).
Hemos observado células EV6,16, aisladas o agrupadas en nidos, en 33 lesiones (14,73 %). Es posible que éstas sean el resultado de los efectos citopáticos por parte de algunos subtipos de VPH (como el VPH-5 o el VPH-8, que son los subtipos encontrados con mayor frecuencia tanto en los tumores de enfermos con EV como en los pacientes ID)1,21-24. El hecho de que no aparezcan estas células EV en todos los pacientes ID y solamente aparezcan en algunos pacientes, apoyaría la hipótesis de que estas células están provocadas por algún subtipo concreto de VPH, aunque sería necesario confirmar esto con estudios de PCR o técnicas similares. Nuestros resultados con PCR no fueron concluyentes, probablemente debido a problemas en las muestras; se ha descrito que el ADN puede degradarse y no ser detectable («muestras inhibidas») si las lesiones permanecen más de 24 horas en formol o si se mantienen mucho tiempo incluidas en parafina25,26, algo que pudo ocurrir con los CE de nuestro estudio.
Respecto a los otros resultados, la observación de estas células EV se relaciona con la existencia de EB como lesión preexistente y con signos indirectos de infección por el VPH en la epidermis inter-infundibular (tipo verruga plana). Además, en nuestro trabajo, estas células EV se observan más frecuentemente en los pacientes a los que se les extiparon varios CE. Todos estos hallazgos nos recuerdan lo que ocurre en los enfermos de EV, que desarrollan numerosas lesiones de EB y lesiones tipo verrugas planas, previamente al desarrollo de múltiples CE invasores2,3. Esto mismo ocurre también en algunos pacientes ID8,21,22.
Como conclusión es posible que la observación de células EV sea un marcador histológico de inmunodepresión, aunque serían necesarios más estudios para confirmar esta hipótesis. Nosotros no hemos encontrado relación entre estas células EV e inmunodepresión, aunque podría deberse a que la muestra no es adecuada, ya que prácticamente todos nuestros casos se podrían considerar como asociados a inmunodepresión. Por otra parte, sería interesante realizar estudios con PCR, hibridación in situ o técnicas similares27 para comprobar si estas células EV se deben al efecto citopático de algunos subtipos de VPH, como el VPH-5 o el VPH-8.
Conflicto de interesesDeclaramos no tener ningún conflicto de intereses.
Premio August C. Stiefel 2006.







