INTRODUCCIÓN
Las infecciones cutáneas causadas por Mycobacterium marinum se han denominado granuloma de las piscinas o granuloma de los acuarios. El Mycobacterium marinum fue aislado en 1926 y el primer caso fue descrito en 1951 en personas que se bañaban en piscinas contaminadas (1). Se encuentra en el suelo y en agua dulce y salada de lagos, piscinas y acuarios. Clínicamente, la infección comienza como una lesión cutánea inflamatoria, localizada, que eventualmente se vuelve verrugosa. La enfermedad se puede resolver espontáneamente, pero las lesiones pueden persistir más de 10 años. Un patrón esporotricoide a lo largo del trayecto linfático no es infrecuente y puede extenderse la infección al tejido celular subcutáneo (2). Histológicamente suele aparecer un infiltrado inflamatorio tuberculoide en la dermis, algunas veces con la formación de abscesos (3). Para realizar el diagnóstico se requiere un alto grado de sospecha, por lo que es necesario realizar una detallada historia clínica. Habitualmente se utilizan tres regímenes antibióticos en el tratamiento: tetraciclinas, rifampicina en combinación con otra droga, generalmente etambutol o cotrimoxazol. En algunos casos complicados es necesario combinar el tratamiento quirúrgico. La falta de largas series de pacientes y de estudios detallados hace difícil definir el tratamiento óptimo para las infecciones causadas por M. marinum (2).
DESCRIPCIÓN DE LOS CASOS
Caso 1
Mujer de 59 años que consultó por lesiones cutáneas en tercer dedo de mano y antebrazo derecho de 2 meses de evolución. Como antecedentes personales presentaba diabetes mellitus tipo 2 en tratamiento con antidiabéticos orales e hiperuricemia en tratamiento con alopurinol. La paciente había presentado febrícula sin otra alteración del estado general. Negaba contacto con plantas o heridas producidas al limpiar pescado. Tenía pecera en casa que según la paciente nunca limpiaba ella. A la exploración, en pliegue ungueal proximal de tercer dedo de la mano derecha, así como sobre la cara dorsal de la articulación interfalánica proximal del mismo dedo y cara extensora de antebrazo, siguiendo un trayecto lineal a lo largo de una cadena linfática, presentaba lesiones nodulares eritematodescamativas, levemente infiltradas y de consistencia media, dolorosas al roce (Fig. 1). Se realizó biopsia para estudio histológico y microbiológico. El estudio histológico con hematoxilina-eosina mostró fragmento cutáneo con amplia infiltración inflamatoria granulomatosa con necrosis y miroabscesificación, no hallándose inclusiones PAS positivas ni bacilos ácido-alcohol resistentes. En el cultivo, tras más de 1 mes de incubación, se obtuvo crecimiento de Mycobacterium marinum. Se instauró tratamiento con 200 mg al día de doxiciclina oral durante 2 meses con mejoría parcial, por lo que añadimos rifampicina 600 mg al día (según antibiograma) durante 6 meses, con buena respuesta al tratamiento.
FIG. 1.--Caso 1. Lesiones nodulares eritemato descamativas en dorso de mano y antebrazo derechos siguiendo una distribución esporotricoide.
Caso 2
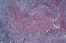
Varón de 17 años con antecedentes familiares de psoriasis que consultó por lesión asintomática en segundo dedo de mano derecha de 3 meses de evolución. Presentaba el antededente de una herida incisa y posteriormente esguince en ese dedo, por lo que llevó férula durante 15 días. Tras retirar la férula presentaba en el dedo aumento de partes blandas y placa eritematodescamativa, de borde neto, con pústulas y exudación en superficie. En cara interna de muñeca de la misma mano presentaba dos lesiones nodulares eritematosas, de consistencia blanda, no ulceradas. El paciente tenía una pecera en casa que él mismo limpiaba. No presentó fiebre ni alteración del estado general. Se realizó biopsia para estudio histológico y microbiológico. El estudio histológico con hematoxilina-eosina mostró lesión inflamatoria granulomatosa con necrosis coagulativa subcutánea (Fig. 2), no hallándose inclusiones PAS positivas ni formas bacilares ácido-alcohol resistentes. En el cultivo, tras 1 mes de incubación, se obtuvo crecimiento de Mycobacterium marinum. Se instauró tratamiento con 200 mg al día de doxiciclina oral durante 4 meses consecutivos, resolviéndose las lesiones.
FIG. 2- Caso 2. Histología (hematoxilina-eosina): lesión inflamatoria granulomatosa con necrosis caseosa.
Caso 3
Mujer de 50 años que consultó por lesiones cutáneas en mano y antebrazo derechos de 2 meses de evolución. Trabajaba como camarera y no presenta antecedentes personales patológicos de interés. Tenía un jardín con rosales que cuidaba personalmente y una pecera que según la paciente no manipulaba. Comenzó hace 2 meses con tumefacción rojiza, dolorosa, a nivel de pliegue ungueal proximal del primer dedo de la mano derecha, que aumentó lentamente de tamaño, desarrollando en su superficie algunas pústulas que drenaban material seropurulento. Las lesiones eran persistentes pese a relizar tratamientos antibióticos orales pautados por su médico de cabecera. Un mes más tarde apareció una nueva lesión a nivel de la articulación metacarpofalángica del mismo dedo, sensible al roce.
En la exploración se apreciaba en el pliegue ungueal proximal del primer dedo de la mano derecha un área tumefacta e infiltrada localmente formada por la confluencia de pápulas eritematosas, congestivas, salpicadas por un punteado rojizo más intenso. En cara dorsal de articulación metacarpo-falángica del primer dedo de la mano derecha presenta lesión papulonodular, eritematosa, congestiva, con superficie lisa y brillante, no infiltrada en profundidad (Fig. 3). No se palpaban trayectos linfáticos ni linfadenopatías regionales, aunque sí molestias a la palpación en área de drenaje linfático local y dudosa adenopatía en un tercio medio del antebrazo.
FIG. 3- Caso 3. Tumefacción rojiza en pliegue ungueal proximal del primer dedo y nódulo eritematoso en articulación metacarpofalángica del mismo dedo en la mano derecha.
Se realizó biopsia cutánea de ambas lesiones para estudio histológico y microbiológico. El estudio histológico con hematoxilina-eosina de la lesión del dedo mostró en dermis nódulo inflamatorio con foco central abscesificado rodeado de una proliferación granulomatosa epitelioide. La lesión de la mano mostró un infiltrado inflamatorio crónico con formación de granulomas en dermis media y profunda. La técnica de PAS fue negativa para gérmenes. Tampoco se encontraron formas bacilares ácido-alcohol resistentes. Tras 2 meses de incubación se obtuvo crecimiento de Mycobacterium marinum.
Se instauró tratamiento con 200 mg al día de minociclina. La paciente abandonó el tratamiento a los 2 meses por intolerancia a la medicación, resolviéndose las lesiones. A los 6 meses no había presentado recurrencias.
DISCUSIÓN
La infección por Micobacterium marinum tiene una distribución mundial, pero con mayor prevalencia en regiones cálidas. El germen fue aislado en 1926 y el primer caso se describió en 1951 en personas que se bañaban en piscinas contaminadas. Se encuentra en el suelo y en el agua dulce y salada de lagos, piscinas y acuarios. Se ha descrito también en amas de casa con heridas producidas por espinas de pescado congelado (1).
En la literatura española se han publicado en los últimos 20 años 12 artículos de infecciones cutáneas causadas por Mycobacterium marinum. En ninguna de estas publicaciones se presenta una serie amplia de casos, probablemente debido en ocasiones a la dificultad para cultivar la micobacteria. Es en los últimos años cuando se ha producido un incremento en la comunicación del número de casos de esta infección cutánea, que puede ser consecuencia de la mayor sospecha clínica o del aumento verdadero de la incidencia (4-16).
La enfermedad se adquiere generalmente como resultado de la inoculación externa de heridas en contacto con agua contaminada de piscinas y acuarios. El Mycobacterium marinum prolifera en depósitos de agua que no son renovados con frecuencia (1). Este microorganismo sólo es patógeno en piel erosionada; por tanto, las localizaciones más frecuentes son los sitios expuestos a traumatismos. Pescadores y cirujanos son grupos de riesgo (17). Las infecciones aparecen como resultado de trauma previo, procedimiento quirúrgico, inyección de corticoides o sin inoculación aparente. La infección no se transmite de persona a persona y puede diseminarse en pacientes inmunocompetentes o en inmunodeprimidos, así como en pacientes en tratamiento crónico con corticoides (18-20, 27).
Desde el punto de vista clínico, Mycobacterium marinum es la micobacteria atípica que afecta la piel con más frecuencia. Las formas clínicas de presentación habituales son la nodular, en forma de lesión cutánea única, indolora, localizada en zona de pequeñas erosiones o traumatismos previos, habitualmente inadvertidos, o bien la forma clínica esporotricoide, con lesiones nodulares subcutáneas de disposición lineal siguiendo un trayecto linfático, a partir de una lesión de primoinoculación (2, 3). Mycobacterium marinum es la micobacteria no tuberculosa que más comúnmente produce a lo largo de los trayectos linfáticos nódulos subcutáneos semejando esporotricosis (21).
Se han descrito formas diseminadas y otras con afectación de estructuras subyacentes, como articulaciones o hueso. La mayoría de las infecciones se adquieren durante la limpieza de acuarios o por ocupaciones o aficiones relacionadas con la exposición al agua o a los peces; por ello algunos autores consideran las infecciones cutáneas por Mycobacterium marinum como una dermatosis ocupacional (17). Afecta a las extremidades superiores hasta en un 90% de los casos, siendo las localizaciones más frecuentes los dedos y el dorso de las manos, probablemente porque la temperatura corporal a nivel acro es similar a la óptima (32°) para el crecimiento de esta micobacteria (1, 3). La infección comienza como una lesión cutánea inflamatoria, localizada, que eventualmente se vuelve verrugosa. Suele tener un curso tórpido y en ocasiones evoluciona hasta la supuración y ulceración de las lesiones. La enfermedad se puede resolver espontáneamente, pero también puede persistir más de 10 años. Puede producirse la afectación de la sinovial si la lesión asienta sobre una articulación (2). Se ha descrito infección diseminada en pacientes inmunocompetentes como resultado de un retraso en el diagnóstico (19, 22-24). La artritis séptica secundaria a infecciones por Mycobacterium marinum es rara, frecuentemente monoarticular, asociada con afectación de tejidos blandos y otros cambios locales. Se han descrito infecciones profundas incluyendo tenosinovitis (la más frecuente), bursitis y artritis. Las artritis pueden ser difíciles de tratar y las complicaciones son frecuentes. Estas infecciones son con frecuencia subdiagnosticadas o diagnosticadas como artritis reumatoide, infecciones de tejidos blandos o procesos asépticos como tendinitis y abscesos fríos (18, 25-30).
El estudio histológico en la fase aguda muestra un infiltrado dérmico linfohistiocitario inespecífico. En lesiones más evolucionadas encontramos un infiltrado inflamatorio tuberculoide en la dermis, algunas veces con la formación de abscesos. No es habitual encontrar bacilos ácido-alcohol resistentes (1, 3, 22, 31, 32).
El retraso en el diagnóstico es frecuente. Éste se basa fundamentalmente en los hallazgos clínicopatológicos, siendo muy útil una historia de contacto con acuarios, peces o actividades relacionadas con ambientes marinos. Por tanto, es importante realizar una detallada historia clínica. La obtención de material para cultivo puede hacerse de los peces enfermos, habitualmente peces tropicales, de las lesiones cutáneas, así como de grietas, tuberías y depósitos de agua (1, 16, 22). Cuando existe la sospecha de artritis causada por la micobacteria, la muestra de tejido infectado puede obtenerse mediante aspiración o sinovectomía. La gammagrafía con Tecnecio 99 es una técnica sensible para detectar osteomielitis, pero no distingue entre ésta y otra infección de tejidos blandos; sin embargo, la resonancia nuclear magnética es igual de sensible y más específica para realizar el diagnóstico de osteomielitis (27).
Otros procedimientos diagnósticos utilizados son las pruebas cutáneas con proteína purificada de la micobacteria, las cuales pueden ser falsamente positivos en más del 40% de los pacientes no infectados y no pueden utilizarse para diferenciar entre especies de micobacterias (27). Recientemente se han desarrollado varios métodos moleculares para la identificación rápida de micobacterias, especialmente útiles cuando el cultivo falla, lo cual ocurre en aproximadamente un 50% de los casos. La mayoría de estos métodos se basan en la reacción en cadena de la polimerasa (PCR) y consisten en la amplificación de secuencias que son específicas para la micobacteria (21, 33-35).
Otros métodos utilizados para el diagnóstico de las infecciones causadas por micobacterias han sido la cromatografía de gases líquidos y la cromatografía de capa fina (36).
Mycobacterium marinum es una micobacteria de crecimiento lento, fotocromógena (con la exposición a la luz los cultivos del material infectado en medio de Lowenstein-Jensen a 32° C producen un pigmento amarillento en un 50% de los casos), crece en los medios habituales de cultivo para micobacterias de 30° a 33° C y su crecimiento se inhibe a 37° C. El período habitual de incubación es de 2 a 3 semanas. Sólo es posible aislar el gemen causal en el 50% de los casos, siempre en relación con ambientes marinos. Está relacionado antigénicamente con Mycobacterium tuberculosis, produciendo conversión de la prueba de la tuberculina (22, 31). Las infecciones humanas no producen inmunidad permanente frente a la infección (1, 22, 37).
El diagnóstico diferencial debe de hacerse fundamentalmente con otras micobacterias atípicas, esporotricosis, micosis profundas, nocardiosis, sífilis terciaria, tuberculosis verrucosa, tularemia, enfermedad por arañazo de gato, leishmaniasis, celulitis, osteítis, etc. (2, 21, 25, 30, 31, 34, 38).
Habitualmente se han utilizado tres regímenes antibióticos en el tratamiento de las infeciones causadas por Mycobacterium marinum: tetraciclinas (la minociclina a dosis de 200 mg/día durante una media de 2 meses sigue siendo para muchos autores el tratamiento de elección), rifampicina asociada o no con etambutol y cotrimoxazol. En muchos casos estos regímenes antibióticos curaran la infección, pero otros casos son resistentes al tratamiento (2). Aunque in vitro el microorganismo sea sensible a un determinado fármaco, en la práctica puede no responder a ese tratamiento (22, 39). Ocasionalmente se han descrito curaciones espontáneas de la enfermedad. En casos complicados o de enfermedad persistente puede ser necesario añadir tratamiento quirúrgico, siendo más útil cuando la infección está bien localizada. Si la lesión asienta sobre una articulación, a veces es necesaria la sinovectomía para completar el tratamiento (2).
En un estudio de 31 casos llevado a cabo por Edelstein y cols., etambutol más rifampicina fueron más útiles que minociclina, pero este resultado tiene que ser confirmado por estudios clínicos de series más amplias (3). Algunos autores defienden que las infecciones limitadas a la piel responden con éxito con trimetropinsulfametoxazol o tetraciclinas, mientras que la rifampicina sola o en combinación con etambutol es más eficaz cuando están afectadas estructuras profundas (40).
A pesar de la buena actividad in vitro de las nuevas quinolonas frente a micobacterias atípicas, algunos autores dudan sobre su eficacia clínica; sin embargo, se han publicado en los últimos años algunos estudios que consideran estos fármacos como alternativas eficaces para el tratamiento (32, 41-46).
Los nuevos macrólidos, como claritromicina o azitromicina, pueden ser también útiles (32, 45, 47-50). Un aumento de la temperatura local como la inmersión de la extremidad afectada en agua caliente puede ser otra alternativa.
El tratamiento de la artritis causada por Mycobacterium marinum incluye con frecuencia una combinación de tratamiento médico y desbridamiento quirúrgico. En estos casos la combinación de fármacos es preferible a la monoterapia y la duración de la quimioterapia no puede determinarse por la literatura. Una recomendación es continuar la quimioterapia por un mínimo de 6 meses o al menos 2 meses después de la aparente resolución de la enfermedad (2, 26-28).
De todo lo señalado se concluye que la falta de largas series de pacientes y de estudios detallados hace difícil definir la duración y tratamiento óptimo de las infecciones causadas por Mycobacterium marinum (2).
En resumen, hemos presentado tres casos de infección cutánea causada por M. marinum, dos con una distribución esporotricoide y uno con una localización cutánea fija.
En el segundo caso existe el antecedente de herida previa en la zona que actuó probablemente como puerta de entrada, así como el antecedente epidemiológico de contacto con un acuario.
En el primero y tercer casos no existen, sin embargo, datos epidemiológicos tan claros, por lo que suponemos que la puerta de entrada fue una erosión inadvertida en la mano. Estos pacientes tenían pecera en casa aunque negaban el contacto con ella. En los tres casos las lesiones cutáneas aparecieron en la extremidad superior dominante (en todos los casos la mano derecha) por ser un lugar, como ya hemos comentado, donde con más frecuencia se producen pequeñas erosiones o traumatismos. El tiempo de evolución de las lesiones previo a la sospecha diagnóstica fue de 3 meses en el segundo caso y de 2 meses en el primero y tercer casos. En el cultivo se obtuvo crecimiento de Mycobacterium marinum en todas las muestras. En ninguno de los pacientes se encontraron bacilos ácido-alcohol resistentes en los cortes histológicos.
Mientras que en el segundo y en el tercer caso el microorganismo fue sensible a tetraciclinas, tanto in vitro como in vivo, en el primer caso, a pesar de ser la micobacteria sensible in vitro a este antibiótico, la respuesta clínica no fue favorable, siendo necesario combinar rifampicina para conseguir una buena respuesta clínica. Por tanto aunque in vitro el microorganismo sea sensible a un determinado fármaco, en la práctica clínica puede no responder a este tratamiento, siendo necesario ensayar otras modalidades terapéuticas.
Hemos considerado interesante exponer estos casos de infección cutánea por Mycobacterium marinum debido a que las publicaciones de estas infecciones en la literatura española no son muy frecuentes, probablemente en muchos casos por la dificultad para aislar el microorganismo causal más que por la real baja incidencia de esta enfermedad.
Debemos tener presente este cuadro en el diagnóstico diferencial para llevar a cabo un diagnóstico precoz que prevenga futuras complicaciones, tanto locales como sistémicas.





