INTRODUCCION
Las micobacterias incluyen microorganismos que en relación con el hombre se comportan como patógenos obligados, como patógenos oportunistas y como saprofitos1. Estos dos últimos tipos, a diferencia de las micobacterias obligadas, rara vez provocan enfermedad como consecuencia del contacto personal. Generalmente, la infección depende de la presencia de microorganismos en el medio ambiente y del estado inmunológico del enfermo, pero no se sabe con precisión qué es lo que determina que estos microorganismos se conviertan en patógenos. Timpe y Runyon crearon la primera clasificación de trabajo de las micobacterias, basándose en la rapidez de crecimiento y la producción de pigmento en los cultivos2. Se dividen en dos grupos: de crecimiento lento y de crecimiento rápido. En el grupo de crecimiento rápido las patógenas para el hombre son M. fortuitum, M. chelonae, M. abscessus y para algunos autores también la M. smegmatis3.
M. chelonae se encuentra como saprofito ampliamente distribuida en el ambiente, agua, tierra, polvo y ocasionalmente coloniza las vías respiratorias y gastrointestinales (esputo, saliva, jugo gástrico, etc.). Puede encontrarse también contaminando materiales quirúrgicos como catéteres, equipos de diálisis, utensilios de laboratorio, desinfectantes, inyecciones y preparados farmacológicos2, 4. Está habitualmente implicada en infecciones cutáneas con tres formas de presentación: una localizada en pacientes inmuno- competentes y con un antecedente previo de algún tipo de herida penetrante o traumatismo; una forma diseminada en pacientes inmunosuprimidos, y una tercera forma en relación con catéteres. También puede causar infecciones pulmonares, cardíacas, osteomielitis, meningitis, bacteriemia, queratitis e infecciones diseminadas. Generalmente aparece de forma esporádica, pero también existen brotes epidémicos5.
Presentamos 6 pacientes con infección cutánea localizada y sólo uno de ellas refería un antecedente traumático.
DESCRIPCIÓN DE LOS CASOS
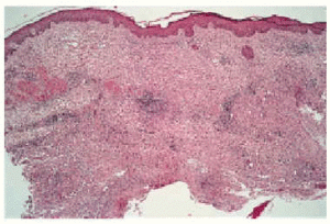
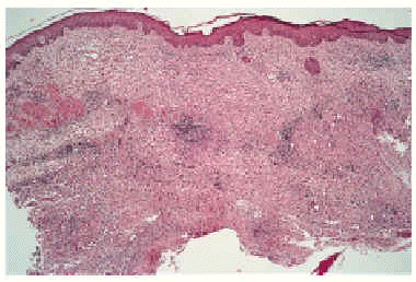
Hemos revisado desde el año 1995 hasta la actualidad las historias clínicas de pacientes con sospecha de infección cutánea por M. chelonae. Sólo los casos con cultivo positivo para este microorganismo fueron incluidos en esta revisión (tabla 1). Se trata de 6 pa-cientes, todas ellas mujeres, con edades comprendidas entre los 16 y 62 años (edad media: 24 años). Referían la aparición de 1 a 4 meses antes de la consulta de una o más lesiones de diferente morfología (pápulas, pústulas o nódulos) que en alguna ocasión se rompían y drenaban un material purulento (fig. 1). Las lesiones estaban localizadas de forma predominante en extremidades inferiores (fig. 2). Todas eran pacientes previamente sanas y no relataban un claro antecedente traumático, excepto la paciente número 6 que refirió el antecedente previo de una liposucción (fig. 3). Ninguna tenía fiebre, dolor o síntomas de enfermedad sistémica. Todas habían realizado tratamiento previo con cloxacilina sin respuesta. Con la exploración presentaban lesiones inflamatorias que se describen en la tabla 1. La mayoría eran lesiones nodulares de localización preferente en extremidades inferiores. El estudio anatomopatológico mostraba densos infiltrados inflamatorios de carácter agudo o crónico y abscesos o lesiones granulomatosas, sin obser- varse focos de necrosis caseosa (fig. 4). En ningún caso se encontraron bacilos ácido-alcohol resistentes en el interior de los granulomas mediante la tinción de Ziehl-Neelsen. En todos los casos se aisló una micobacteria de crecimiento rápido, que posteriormente fue tipificada como M. chelonae en medios de cultivo Coletsos y Lowenstein y en medio BACTEC MGIT 960, medio líquido, con sistema radiométrico para detectar el crecimiento. Las pruebas complementarias realizadas incluyeron un sistemático de sangre, bioquímica sanguínea, sistemático de orina, proteinograma, cuantificación de inmunoglobulinas, serología virus de la inmunodeficiencia humana (VIH), prueba de Mantoux y radiografía de tórax, con resultados normales o negativos. En todas las pacientes se instauró tratamiento con un régimen de antibióticos orales que incluía claritromicina en 5 de ellas, con buenos resultados. Excepto en una paciente que no acudió a revisión, en todas las demás no se encontraron lesiones nuevas y persistían sólo lesiones residuales.
Fig. 1.--Lesión abscesificada en cara interna de pierna.
Fig. 2.--Varias lesiones nodulares en cara posterior de extremidades inferiores.
Fig. 3.--Lesiones nodulares eritematosas en cara lateral del muslo izquierdo.
Fig. 4.--Reacción inflamatoria granulomatosa confluente, con fenómenos de abscesificación en dermis profunda (hematoxilina-eosina, 40x.)
DISCUSIÓN
La infección cutánea primaria por M. chelonae suele ocurrir en pacientes inmunocompetentes en relación con un traumatismo, herida, incisión quirúrgica, inyecciones, introducción de catéteres, depilación, mesoterapia y últimamente tras procedimientos cosméticos como mamoplastia, estiramiento, lipoescultura y liposucción2, 4. En una revisión reciente de 100 pacientes con infección por M. chelonae, el 60% estaba inmunosuprimido y solamente un 5% no presentaba un claro antecedente traumático6. La infección por micobacterias produce una clínica cutánea inespecífica, aunque se distinguen dos formas clínicas; una localizada en forma de celulitis o abscesos y otra diseminada con nódulos múltiples (5 a 100). Algunos autores describen una tercera forma clínica esporotricoide7. El período de incubación varía de 3 semanas a 12 meses, lo que en ocasiones dificulta encontrar la relación con el traumatismo inoculador8, 9. No se suele asociar a adenopatías periféricas ni síntomas sistémicos. El curso clínico suele ser subagudo o crónico, con respuesta lenta y frecuentes recidivas. Las biopsias cutáneas de lesiones producidas por infecciones por micobacterias atípicas muestran un espectro histológico inespecífico en forma de infiltrados inflamatorios y abscesos o lesiones granulomatosas linfohistocitarias, a veces con necrosis caseosa o con colecciones de neutrófilos dentro de los mismos. Utilizando tinciones como la de Ziehl-Neelsen y auramina, en algunos casos se encuentran bacilos ácido-alcohol resistentes en el interior de los granulomas6. En ninguno de nuestros casos se evidenciaron bacilos ácido-alcohol resistentes en las muestras. El diagnóstico de confirmación se realiza, por tanto, mediante cultivo en medios especiales para micobacterias. Las micobacterias de crecimiento rápido son muy resistentes a los tuberculostáticos habituales y a otros antimicrobianos y por ello es recomendable realizar un antibiograma previo antes de iniciar el tratamiento9, 10. M. chelonae es, dentro del grupo, el más resistente. Entre los antibióticos que se han utilizado destacan doxiciclina, ciprofloxacino, ofloxacino, eritromicina, estreptomicina y otros aminoglucósidos, entre ellos la amikacina. Se han descrito buenos resultados con los nuevos macrólidos, como claritromicina y roxitromicina11, 12. Aunque la duración del tratamiento no está bien definida, es recomendable que sea superior a 3 me-ses, pero este período depende de la clínica, la evolución y el estado inmunológico del huésped. Generalmente existe una cronicidad y una lenta repuesta (meses o años) al tratamiento. Cinco de nuestras pacientes respondieron bien al tratamiento simple o combinado con claritromicina y se aumentó el tratamiento durante 3 a 9 meses con buena respuesta.
Como conclusión queremos destacar que la presencia de lesiones con secreción purulenta de evolución crónica en mujeres, sin un claro antecedente traumático, puede estar causada por micobacterias atípicas, en concreto M. chelonae, por lo que realizar una biopsia con cultivo en medios adecuados estaría indicado para obtener el diagnóstico y pautar el tratamiento correcto.







