Sr. Director:
La induración nodular perineal del ciclista, también denominada «higroma» isquiático, «tercer testículo», «testículos accesorios» de los ciclistas o nódulo de los ciclistas, es una entidad relativamente bien conocida por los especialistas en Medicina deportiva y por los propios ciclistas profesionales o aficionados, y prácticamente desconocida para el resto de los médicos1,2.
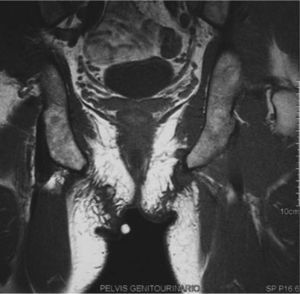
Presentamos el caso de un varón de 49 años, sin antecedentes de interés, que consultó por una lesión dolorosa a la compresión apreciada desde hacía un año sobre la región isquiática derecha. En la exploración física se objetivaba un nódulo de 4 cm, de consistencia elástica, recubierto por piel de características normales. Se solicitó una ecografía y una punción-aspiración que no fueron concluyentes. La resonancia magnética nuclear (RMN) (fig. 1) demostró una lesión nodular de aspecto fibrótico, de 3 cm de diámetro mayor, en íntimo contacto con la cara inferior de la rama isquiática derecha, así como cambios de trabeculación e infiltración de la grasa circundante, compatible con una «induración perineal de los ciclistas». En la región contralateral se observaban cambios similares, aunque menos evidentes. El paciente fue reinterrogado y confirmó su afición al ciclismo.
La lesión fue extirpada y estudiada histológicamente evidenciándose una lesión tumoral de bordes mal definidos, constituida por una formación quística multilocular de contenido fibrinoso sin celularidad epitelial o sinovial que la delimitara, con áreas circundantes de necrosis aséptica (fig. 2). En el resto de la lesión se apreciaba una proliferación fibrosa con presencia de células fusiformes sin atipia, áreas hemorrágicas, focos de degeneración mixoide y, ocasionalmente, grupos de adipocitos maduros atrapados en la proliferación fibrosa. Inmunohistoquímicamente las células fusiformes eran positivas para vimentina y factor XIII a y negativas para receptor de estrógenos, receptores de progesterona, S-100, CD 34, actina y desmina. El índice proliferativo Ki-67 era del 0 %.
Clínicamente la induración perineal de los ciclistas suele manifestarse como dos nódulos, uno a cada lado del rafe, aunque ocasionalmente se presenta como uno único («tercer testículo») que se localiza inmediatamente posterior al escroto, cerca de la tuberosidad isquiática. La piel que lo recubre presenta una apariencia normal y su tamaño suele oscilar entre 2-3 cm. A la palpación muestra una consistencia fibro-elástica, pudiendo evidenciarse adherencias al tejido conectivo adyacente1,2. Nuestro paciente consultó por un nódulo localizado en la región isquiática derecha, aunque la RMN reveló también una lesión incipiente de características similares en el lado contralateral.
Histológicamente se caracteriza por presentar una formación «pseudoquística central» que se desarrolla en un área de necrosis aséptica formada en el tejido conectivo de la fascia perineal superficial. Este tejido llega a estar homogeneizado y pierde su estructura fibrilar. También puede observarse diapédesis de eritrocitos y un leve infiltrado inflamatorio reactivo1-3. Algunos de estos hallazgos remedan a los encontrados en las fascitis isquémicas observadas sobre las prominencias óseas de pacientes ancianos, lo cual nos orienta sobre la etiopatogenia de este proceso2,4,5. Aunque controvertida, parece probable que el desarrollo de estas lesiones se relacione con la compresión del tejido blando entre el sillín y la tuberosidad isquiática, así como con la fricción de la fascia perineal contra las estructuras óseas debido a las vibraciones del sillín; esto induciría la degeneración del colágeno, los cambios mixoides y la formación del «pseudoquiste»1-3.
El diagnóstico de estos nodulos puede ser especialmente dificultoso si no se recoge el antecedente de la práctica del ciclismo. El diagnóstico diferencial deberá establecerse con procesos comunes y banales –quistes y lipomas–, y con otros más infrecuentes e importantes como el «angiomixoma agresivo». Esta rara variante de tumor mixoide tiene capacidad para infiltrar localmente y se asocia con un alto riesgo de recidiva local después de la extirpación, pero carece de potencial metastásico. Afecta generalmente a mujeres jóvenes y se origina en los tejidos blandos de la pelvis y el periné. También se ha descrito raramente en varones y en estos se desarrolla en el escroto o las ingles, manifestándose como masas o nódulos en estas regiones6,7.
El tratamiento de estas induraciones perineales de los ciclistas es generalmente quirúrgico, aunque si esto no fuera posible, por circunstancias propias del ciclismo profesional, podría intentarse un tratamiento conservador con reposo e infiltraciones de esteroides o hialuronidasa1-3.
Estos «nódulos del ciclista» constituyen un auténtico handicap para el ciclista profesional, y contraindican la realización de este deporte para el ciclista aficionado1.
Conflicto de intereses
Declaramos no tener ningún conflicto de intereses.




