INTRODUCCION
En julio de 2002, Pérez et al1 describieron los hallazgos clínicos e histopatológicos de una malformación epidérmica palmoplantar que denominaron hipoqueratosis palmar o plantar circunscrita, en una serie de 10 pacientes. Aportamos un nuevo caso, idéntico a los ya publicados, de esta entidad caracterizada por lesiones únicas eritematosas, circulares, netas, con piel deprimida.
OBSERVACION CLINICA
Una mujer de 61 años consultó en 1998 por una lesión única en la eminencia tenar de la mano derecha de varios años de evolución, estable y asintomática. Como antecedentes personales de interés, había sido diagnosticada de periarteritis nudosa cutánea por una historia de lesiones nodulares en piernas de 4 años de evolución, diabetes mellitus tipo 2, otoesclerosis bilateral, histerectomía total con anexectomía bilateral, glaucoma e hipercolesterolemia. A la exploración, en la eminencia tenar de la mano derecha, presentaba un área de piel eritematosa, deprimida, redondeada, de borde descamativo muy neto, de 0,7 cm de diámetro (fig. 1). Se practicó una biopsia cutánea del borde de la lesión, con el diagnóstico clínico de poroqueratosis o queratólisis. El estudio histológico evidenció una depresión de la epidermis, con un límite neto, en escalera, entre la piel normal y la piel afectada. La epidermis sobre la depresión mostraba una capa córnea adelgazada y una capa granulosa algo más fina que la piel normal circundante (fig. 2). Los cortes seriados no demostraron la presencia de laminilla cornoide. Tras conocer el artículo de Pérez et al1 realizamos el diagnóstico definitivo de nuestro caso, 4 años después de su visita inicial. La lesión ha permanecido sin cambios hasta el momento actual.
Fig. 1.--Aspecto clínico de la lesión.
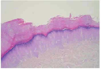
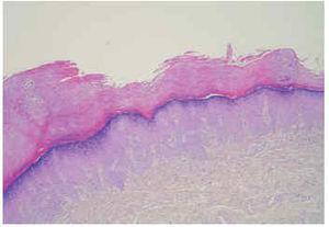
Fig. 2.--Depresión de la epidermis en «escalera» entre la piel normal y afectada. Adelgazamiento de las capas córnea y granulosa sobre el área deprimida, en contraste con la piel normal circundante (HE, ×100).
DISCUSION
La hipoqueratosis palmar o plantar circunscrita es una malformación epidérmica de reciente descripción1, que se caracteriza por lesiones únicas de piel eritematosa deprimida, bien delimitada, en eminencia tenar e hipotenar de palmas de manos o en la zona medial de la planta del pie; de varios años de evolución, estables y asintomáticas. Predomina en mujeres de edad media o avanzada y presenta una histopatología característica que permite confirmar el diagnóstico. Desde el punto de vista clínico, la mayoría de los casos descritos fueron diagnosticados de enfermedad de Bowen o de poroqueratosis1. La histopatología ayuda a excluir estas entidades, en especial la poroqueratosis1-3, ya que en la hipoqueratosis palmar no encontramos laminilla cornoide y la capa granulosa está presente en la totalidad de la depresión epidérmica. Su etiopatogenia es desconocida, aunque Pérez et al1 creen que representa una malformación epidérmica localizada y probablemente se deba a la existencia de un clon anómalo de queratinocitos.
El caso que presentamos es totalmente superponible a los otros diez descritos, cuyas características clínicas se resumen en la tabla 1, a la que aportamos nuestra paciente. El diagnóstico definitivo se confirma con la biopsia del borde de la depresión para comparar la capa córnea de la piel afectada con la de la piel normal.
Quizá la hipoqueratosis palmar sea más frecuente de lo publicado hasta ahora, y no se diagnostique, a nuestro parecer, por dos razones fundamentales: por una parte, porque el paciente no consulte debido a su escasa repercusión clínica y, por otra, como en el caso presentado, porque esta entidad no se había individualizado con anterioridad.








 
 
		
