INTRODUCCION
La hiperplasia angiolinfoide con eosinofilia es una proliferación vascular poco común que suele asentar en la cara y el cuero cabelludo de mujeres de edad media. Su naturaleza es debatida e, incluso, inicialmente se consideró una fase de la enfermedad de Kimura1. Aunque esta hipótesis ya ha sido descartada2. Dada su naturaleza benigna, la necesidad de tratamiento viene condicionada por su localización habitual en zonas visibles. Se han probado diversos tratamientos para conseguir el mejor resultado estético posible con las mínimas molestias para el paciente. En los últimos años se han comunicado algunos casos con buena respuesta al láser de colorante pulsado (LCP)3-7.
Se describe un caso con lesiones clínicas muy floridas tratado con éxito con LCP.
DESCRIPCION DEL CASO
Una mujer de 55 años con diagnóstico de hiperplasia angiolinfoide con eosinofilia de 9 años de evolución fue remitida a nuestro hospital para valoración de tratamiento. La paciente presentaba una placa formada por la confluencia de varios nódulos rojo-violáceos de consistencia gomosa, muy pruriginosa y pulsátil, que afectaba a un área de aproximadamente 8 × 3,5 cm en la piel preauricular, el trago y la raíz del hélix derechos (fig. 1). La lesión había sido biopsiada en cinco ocasiones, siempre con el diagnóstico de hiperplasia angiolinfoide con eosinofilia. En el último año había recibido tratamiento radioterápico sin ningún resultado (dosis total y fraccionamiento no reseñados). La paciente aportaba una arteriografía, una resonancia magnética (RM) craneal y una tomografía computarizada (TC) del oído derecho. La arteriografía descartó la presencia de una comunicación arteriovenosa subyacente. La RM craneal sólo detectó lesiones cutáneas periauriculares derechas, así como una silla turca parcialmente vacía. La TC del oído derecho demostró una mastoides bien neumatizada y un oído medio libre con la cadena osicular conservada, además de un aumento de partes blandas preauricular.
Fig. 1.--Varios nódulos rojo-violáceos confluentes en la piel preauricular, el trago y la raíz del hélix derechos.
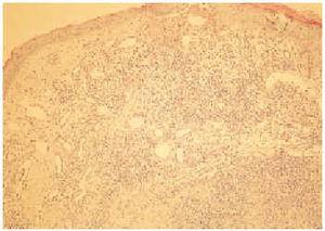
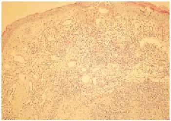
En el estudio histológico se apreció, bajo una epidermis suprayacente adelgazada y ulcerada en algún punto, una proliferación vascular mal definida en la dermis reticular superficial y media acompañada de un denso infiltrado inflamatorio (fig. 2). Esta proliferación estaba constituida por vasos con luces de diámetro variable, de pared fina en la dermis superficial y gruesa en la dermis media. Los endotelios vasculares se componían de células prominentes, con amplios citoplasmas eosinófilos y núcleos vesiculosos, pero no se apreciaban ni pleomorfismo ni mitosis. En algunas zonas de la dermis media la proliferación vascular era muy densa, a modo de cordones celulares de aspecto epitelioide con luces vasculares pequeñas y escasas. El infiltrado inflamatorio que rodeaba a estos vasos se componía predominantemente de linfocitos y de un gran número de eosinófilos (fig. 3).
Fig. 2.--Proliferación vascular en la dermis reticular superficial y media acompañada de un denso infiltrado inflamatorio, con una epidermis suprayacente adelgazada y ulcerada en algún punto.
Fig. 3.--Detalle de las luces vasculares tapizadas por células endoteliales prominentes. La estroma muestra un infiltrado rico en linfocitos y eosinófilos.
Se inició tratamiento con LCP (Scleroplus, Candela Internacional Corporation, Wayland, Massachusetts, EE.UU.) aplicado en cinco sesiones separadas entre sí por intervalos de 2 meses. Se empleó doble pulso en las tres primeras sesiones y pulsos simples en las dos últimas, con intensidades comprendidas entre 10 y 12,5 J/cm2 (595 nm, 1.500 μs, 7 mm) y una media de 97 disparos por sesión. Tras la primera sesión se observó una mejoría marcada del prurito, con una práctica desaparición de las lesiones a partir de la tercera sesión. El resultado final fue excelente, con sólo un discreto eritema e hipopigmentación residuales (fig. 4).
Fig. 4.--Aspecto 3 semanas después de la última sesión de láser de colorante pulsado.
DISCUSION
La hiperplasia angiolinfoide con eosinofilia fue descrita en 1969 por Wells y Whimster1 como una forma tardía de la enfermedad de Kimura. Estudios posteriores han demostrado que se trata de dos enfermedades diferentes, pero la confusión inicial entre ambas entidades se mantuvo durante años. La enfermedad de Kimura es una enfermedad inflamatoria de los tejidos blandos en la que proliferan el tejido linfoide y los vasos, y se acompaña de linfadenopatía, eosinofilia periférica y elevación de la IgE. Por su parte, la hiperplasia angiolinfoide con eosinofilia es para algunos autores un tumor vascular benigno, mientras que para otros, por su frecuente asociación con una comunicación arteriovenosa subyacente y la presencia de un antecedente traumático en algunos casos, se trata más bien de un proceso hiperplásico vascular reactivo como resultado de un fenómeno reparativo de una vena o arteria2.
La enfermedad suele manifestarse en pacientes de edad media, preferentemente mujeres. Cursa con la aparición de una o varias pápulas y nódulos confluentes en la piel de la cabeza, en especial en la región periauricular, la frente y el cuero cabelludo. Más raramente, puede aparecer en otras localizaciones. Las lesiones son persistentes, en ocasiones pulsátiles y pueden causar prurito o dolor. La única manifestación sistémica asociada es una ocasional eosinofilia periférica. Histológicamente, se caracteriza por la presencia de nódulos dérmicos o hipodérmicos con un doble componente, vascular e inflamatorio. El componente vascular está representado por vasos gruesos con endotelios de células epitelioides con citoplasmas vacuolados. La estroma se encuentra infiltrada por linfocitos, eosinófilos y mastocitos, a veces con depósitos de mucina2.
Entre las opciones terapéuticas para la hiperplasia angiolinfoide con eosinofilia se incluyen la extirpación quirúrgica, la crioterapia, la electrocoagulación y la radioterapia, como opciones más frecuentes, pero también se han utilizado los corticoides orales, tópicos o intralesionales, los retinoides orales, la pentoxifilina oral y la vinblastina sistémica e intralesional6,7. En los últimos años se han utilizado en su tratamiento distintos tipos de láser. Inicialmente se utilizó el láser CO28, pero con frecuencia dejaba cicatrices. Posteriormente se utilizó el láser de argón9, pero también producía lesiones tisulares no selectivas, con la consiguiente formación de cicatrices. Los mejores resultados se han obtenido con el LCP7. Este láser basa su acción en el principio de la fototermólisis selectiva por el que determinados cromóforos cutáneos sólo absorben determinadas longitudes de onda de la luz. Así pues, utilizando una longitud de onda adecuada para un cromóforo diana en concreto, se conseguirá una destrucción selectiva de éste sin afectar a las estructuras vecinas. En el caso del LCP el cromóforo es la oxihemoglobina, contenida en abundancia en los vasos; por tanto este láser es ideal para el tratamiento de lesiones vasculares localizadas en la dermis superficial. Los resultados obtenidos con los LCP antiguos3-6 de 585 nm y 450 μs han sido superados por los modernos7, por su mayor longitud de onda (595 nm) que aporta mayor penetración, y por su mayor duración del disparo (1.500 μs) que permite destruir vasos mayores. El tamaño y la localización habituales de los vasos en la hiperplasia angiolinfoide con eosinofilia son los adecuados para el tratamiento con el LCP. La comodidad de este tratamiento, así como los excelentes resultados que ofrece con mínimos o ningún efecto secundario salvo un dolor leve durante cada sesión y una púrpura inmediata que desaparece en días, hacen del LCP, si se dispone de él, el mejor tratamiento para este proceso.






