La hiperplasia angiolinfoide con eosinofilia (HALE) es una enfermedad infrecuente, caracterizada por lesiones angiomatosas solitarias o múltiples que suelen localizarse en el cuero cabelludo y la cara. Presentamos un análisis retrospectivo de 9 casos de HALE. Clínicamente se manifestaban en forma de pápulas o, en algunos casos, de nódulos subcutáneos, agrupados formando lesiones múltiples localizadas en su gran mayoría en el cuero cabelludo, principalmente alrededor de la oreja. También observamos lesiones en localizaciones atípicas, como en otras áreas de la cabeza, el hombro, el cuello y el antebrazo. En estas localizaciones las lesiones adquirían una forma clínica peculiar que dificultaba su diagnóstico y que hay que tener en cuenta ante lesiones únicas, bien delimitadas, de aspecto vascular con ulceración o costra en la superficie. El tratamiento más utilizado fue la cirugía, y aunque se trate de una entidad que se engloba dentro de los procesos benignos, las recidivas fueron frecuentes.
Angiolymphoid hyperplasia with eosinophilia (ALHE) is a rare disease characterized by single or multiple angiomatous lesions typically located on the scalp and the face. We present a retrospective analysis of 9 cases of ALHE. The lesions appeared largely as multiple grouped papules or, in some cases, subcutaneous nodules, located mainly on the scalp, particularly around the ear. We also observed lesions in atypical locations, such as areas of the head other than the scalp, and the shoulder, neck, and forearm. At these sites the lesions had an atypical clinical appearance that made diagnosis difficult; this should be borne in mind in patients with single, well-delimited lesions with a vascular appearance and superficial ulceration or crusting. Surgery was the most common treatment in our series, and even though ALHE is considered a benign condition, recurrence was common.
La hiperplasia angiolinfoide con eosinofilia (HALE) es una entidad benigna, infrecuente e idiopática. Se caracteriza por pápulas, placas o nódulos en la piel o en los tejidos subcutáneos; estas lesiones pueden ser únicas o múltiples, a veces agrupadas, de coloración eritematosa, violácea o parda. Se pueden asociar con prurito, dolor o ser pulsátiles. Aproximadamente el 85% se localizan en la cabeza o el cuello, con predilección por la zona periauricular. Aunque se desconoce la patogenia de la HALE se ha considerado como un proceso reactivo a varios estímulos, incluyendo malformaciones vasculares, traumatismos o embarazo1. En la histología se evidencia una zona bien delimitada donde predomina la proliferación vascular con grandes células endoteliales epitelioides de abundante citoplasma eosinófilo, acompañadas de un infiltrado inflamatorio de linfocitos y eosinófilos de intensidad variable.
Las publicaciones más recientes sobre HALE se centran sobre todo en localizaciones atípicas como la lengua2, el pene3, los párpados o la órbita, y también existen otros artículos que hacen referencia a diferentes tratamientos realizados en casos aislados de manera exitosa, como el láser de colorante pulsado, la bleomicina intralesional, el imiquimod y el interferon-α2B4. También recientemente se han publicado varios artículos5,6 en los que se evidencia la clonalidad en algunos casos de HALE, entrando en la discusión de si podría tratase de un trastorno linfoproliferativo de bajo grado en lugar de un proceso reactivo, como se había postulado hasta ahora.
El objetivo de nuestro estudio es revisar las características clínicas, incidiendo en las localizaciones atípicas, la histología, el tratamiento y la evolución de esta entidad, así como establecer una comparación con los hallazgos descritos en la literatura.
MetodologíaHemos realizado un estudio retrospectivo de 9 casos de HALE diagnosticados desde 1989 hasta 2011 en nuestro centro. Se registró la edad, el sexo, las enfermedades asociadas, la localización de las lesiones, la clínica, el tratamiento y la evolución y se hizo una revisión histopatológica de todas las biopsias cutáneas disponibles (profundidad de la proliferación, intensidad y composición del infiltrado y la presencia o ausencia de agregados linfoides); únicamente en un caso se realizó estudio de clonalidad.
Casos clínicosEn la tabla 1 aparecen reflejadas las características clínicas de los 9 pacientes. Había 4 hombres y 5 mujeres de edades comprendidas entre los 15-61 años (media de 39,2 años). Como antecedentes patológicos de interés hay que destacar que el caso 3 presentaba una infección por el virus de la inmunodeficiencia humana (VIH) desde 1997 (con una carga viral actual de <40 copias/ml y unos CD4 de 792/mm3), así como una infección por el virus de la hepatitis C (VHC) sin complicaciones. También había padecido una neoplasia de cérvix en el año 2000 tratada con cirugía, radioterapia y quimioterapia sin evidencia de recurrencia hasta la actualidad.
Datos clínicos de los 9 pacientes con HALE
| Caso | Edad (años)/sexo | Número de lesiones | Tamaño (cm) | Síntomas | Características clínicas | Localización de las lesiones | Duración de las lesiones (años) | Tratamiento | Evolución |
| 1 | 15/H | 5 | 0,5-1,5 | Asintomático, leve aumento de tamaño con fiebre | Pápulas y placas marrones | Zona temporal | 1 | Corticoides intralesionales | Curación/remisión espontánea |
| 2 | 38/M | 13 | 0,2-3 | Prurito y dolor | Placas y pápulas eritematosas infiltradas con superficie irregular | Zona parietal I | 15 | Corticoides intralesionales, RT y exéresis quirúrgica | Recurrencia |
| 3 | 47/M | 2 | 4×3 | Prurito | Pápulas con tendencia a agruparse formando placas | Retroauricular D | 8 | Corticoides tópicos e intralesionales | Recurrencia |
| 4 | 61/H | 4 | 0,5-1,5 | Asintomático | Pápulas y nódulos eritematosos | Zona periorbitariaAntebrazo IHombro ICuello D | 1 | Exéresis quirúrgica | Curación |
| 5 | 29/M | >2 | 0,5-1,5 | Prurito y dolor | Nódulos subcutáneos con alopecia | Zona occipitoparietal | 6 | Corticoides intralesionales, exéresis quirúrgica, RT | Recurrencia/curación con RT |
| 6 | 27/H | 5 | 0,5-0,7 | Dolor | Pápulas y nódulos violáceos | Zona occipital | 4 | Corticoides intralesionales/exéresis quirúrgica | Recurrencia |
| 7 | 53/M | 1 | ND | ND | Pápula | Frente | 1 | Exéresis quirúrgica | Curación |
| 8 | 27/M | 1 | ND | ND | Pápula | Zona glabelar | 1 | Exéresis quirúrgica | Recurrencia |
| 9 | 56/H | 1 | ND | ND | Pápula | Mejilla D | 1 | Exéresis quirúrgica | Curación |
D: derecha; H: hombre; I: izquierda; M: mujer; ND: no disponible; RT: radioterapia.
Los síntomas más frecuentes asociados a las lesiones fueron el dolor (que apareció en 3 casos) y el prurito (también en 3 de los casos).
Hasta 2/3 de los casos presentaron lesiones múltiples (2-13 lesiones), en forma de pápulas o nódulos de coloración eritematosa a parduzca.
Todos los pacientes presentaron lesiones en la cabeza y en 4 de ellos focalizadas en la zona periauricular. El paciente del caso 4, además de las lesiones en la cabeza, también las presentaba en otras localizaciones menos típicas como el hombro, el cuello o el antebrazo.
Las características clínicas de las lesiones variaban en función de la localización. Las lesiones en la zona temporoparietal tenían gran tendencia a agruparse y formar placas de gran tamaño y con superficie irregular (fig. 1). Por el contrario, las lesiones en otras localizaciones no tenían esta tendencia a confluir, sino que eran pápulas solitarias, de márgenes muy bien definidos y con superficie costrosa o ulceración superficial (fig. 2).
Respecto al tiempo de evolución de las lesiones fue de uno a 15 años, con una duración media de 4,2 años; en el caso 1 pudimos observar remisión espontánea sin tratamiento, condición ya publicada en la literatura7.
La primera opción terapéutica en la mayoría de los casos (7 de los 9 casos) fue la resección quirúrgica, con recurrencia clínica en 4 de los casos. En las lesiones múltiples o de gran tamaño se utilizaron otras opciones terapéuticas como los corticoides intralesionales o tópicos o la radioterapia. Los corticoides intralesionales se utilizaron en 4 pacientes y fueron efectivos en la mitad de los casos. La radioterapia se utilizó sobre todo en los casos más antiguos de la serie con respuestas variables; en el caso 2 hubo una respuesta parcial y el caso 5 consiguió una respuesta completa. El paciente del caso 3 fue tratado con corticoides tópicos con mejoría del prurito, pero con persistencia de las lesiones sin disminución del tamaño de las mismas.
En general las lesiones fuera del área periauricular, al tratarse de lesiones mejor delimitadas y sin tendencia a confluir, respondieron mejor al tratamiento, que en la mayoría de los casos fue quirúrgico.
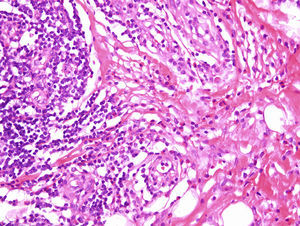
Los hallazgos histopatológicos fueron muy parecidos en todos los casos y se resumen en la tabla 2. Los tumores eran predominantemente intradérmicos, aunque en 3 casos encontramos variantes subcutáneas. Se presentaban como proliferaciones bien delimitadas y vagamente lobuladas de vasos de tamaño capilar alrededor de varios vasos centrales, revestidos en todos los casos de células endoteliales de gran tamaño que protruían hacia la luz y contenían abundante citoplasma eosinófilo, a menudo con vacuolas citoplasmáticas. Aunque dichas células endoteliales eran prominentes no mostraron en ningún caso pleomorfismo o actividad mitótica. Alrededor de estos vasos se encontraba un infiltrado inflamatorio variable compuesto principalmente por linfocitos y eosinófilos (fig. 3) con aisladas células plasmáticas e histiocitos. En 3 de los casos pudimos observar nódulos linfoides sin claros centros germinales situados en la zona más profunda de la dermis o del tejido subcutáneo. El estroma era mixto, fibroso y mixoide. En 2 de los casos encontramos algunos trombos intravasculares en diferentes estadios de organización. Se realizaron estudios de clonalidad únicamente en el caso 4, sin que se pudiera evidenciar ninguna población monoclonal.
Datos histopatológicos
| Caso | HALE intradérmica | HALE subcutánea | Proliferación vascular | Infiltrado inflamatorio | Agregados linfoides |
| 1 | Sí | No | ++ | E: ++L: ++H: +P: +M: − | No |
| 2 | No | Sí | +++ | E: +++L: +++H: −P: +M: − | Sí |
| 3 | No | Sí | ++ | E: +L: ++H: −P: −M: − | No |
| 4 | Sí | No | +++ | E: ++L: ++H: −P: +M: − | Sí |
| 5 | Sí | No | +++ | E: +++L: +++H: −P: +M: − | No |
| 6 | Sí | No | +++ | E: +L: ++H: −P: +M: − | No |
| 7 | Sí | No | ++ | E: +L: ++H: −P: +M: − | No |
| 8 | No | Sí | +++ | E: +++L: ++H: −P: +++M: − | Sí |
| 9 | Sí | No | +++ | E: ++L: ++H: −P: +M: − | No |
+: leve; ++: moderado; +++: intenso; E: eosinófilos; H: histiocitos; HALE: hiperplasia angiolinfoide con eosinofilia; L: linfocitos; M: mastocitos; P: células plasmáticas.
La HALE es una entidad infrecuente e idiopática que se manifiesta habitualmente como tumores múltiples. El principal diagnóstico diferencial es con la enfermedad de Kimura8, que se presenta habitualmente en pacientes asiáticos como nódulos profundos o lesiones subcutáneas que suelen involucrar glándulas salivares mayores, adenopatías regionales y se acompañan de aumento de IgE y eosinófilos en sangre periférica. Otras entidades a tener en cuenta dentro del diagnóstico diferencial son: el sarcoma de Kaposi, el angiosarcoma, el hemangioendotelioma epitelioide, el nódulo angiomatoso epitelioide cutáneo9,10 o las metástasis cutáneas, entre otros.
En los casos publicados, igual que en nuestra serie, se ha observado un leve predominio femenino2,11 afectando sobre todo a personas jóvenes o de mediana edad2. El embarazo, los traumatismos y las malformaciones vasculares se habían postulado como factores desencadenantes o agravantes de la HALE12, en nuestros casos no hemos encontrado ninguna de estas situaciones. En nuestra serie pudimos observar un paciente con infección por el VIH y el VHC, y aunque la asociación de HALE con estas infecciones es extremadamente rara, sí que está descrita en la literatura donde hay 2 casos publicados13.
Nos parece importante remarcar que las lesiones fuera de la zona temporoparietal eran clínicamente distintas a las que se describen clásicamente en la HALE, y se manifestaban en forma de pápulas bien delimitadas, en ocasiones con ulceración superficial y sin tendencia a confluir, por lo que hay que tener en cuenta esta entidad en el diagnóstico diferencial de las tumoraciones de aspecto vascular fuera de la zona periauricular.
Histológicamente los hallazgos encontrados fueron similares a los descritos en la literatura y hallamos variantes subcutáneas en 3 casos. Los estudios inmunohistoquímicos demuestran que la mayoría de los linfocitos eran linfocitos T, pero ocasionalmente también pudimos observar algunos linfocitos B formando los agregados linfoides7.
Aunque el curso natural de la HALE es benigno y de crecimiento lento, la recurrencia después de la extirpación quirúrgica es habitual, como ocurrió con 4 de nuestros casos. Las lesiones no confluyentes menos típicas de HALE respondieron mejor al tratamiento quirúrgico con menos recidivas, posiblemente porque se trataba de lesiones mejor delimitadas.
Tal y como ya esta descrito, existen algunos casos de remisión espontánea de las lesiones14, y aunque es una condición rara la pudimos observar en 2 lesiones de un paciente.
En la literatura reciente hay casos exitosos de remisión completa con el tratamiento con corticoides intralesionales15, sin embargo en nuestra serie solo fue efectivo en la mitad de los pacientes en los que se utilizó, quizás porque el tratamiento no fue tan prolongado como el realizado en los artículos publicados, donde se llevó a cabo mensualmente durante 6 meses. En lo que se refiere a la radioterapia, hay algún caso tratado con éxito, sobre todo en localizaciones complejas como la mano16. Otro tratamiento que se ha utilizado en las lesiones de HALE es la laserterapia17; nosotros no hemos utilizado esta técnica, ya que no disponemos de ella en nuestro centro.
Durante el seguimiento de los pacientes (1-15 años) no se evidenció ningún proceso maligno concomitante.
Por otro lado, hay que señalar que la patogénesis de la HALE no está bien definida, si bien se ha estado discutiendo durante años si se trataba de un cuadro reactivo o si era una verdadera neoplasia vascular. Algunos autores han detectado virus herpes humano 8 en lesiones de HALE18, mientras que otros no han podido reproducir los mismos resultados19,20. Miteva et al.21 sugerían un componente linfático en la HALE dada la positividad del D2-40 en la histología de un caso, hecho no corroborado posteriormente en otros estudios.
Recientemente, se han demostrado poblaciones clonales de células T en varios casos de HALE5,6, por lo que estos autores sugerirían que algunos subtipos de HALE podrían tener un origen en las células T y que podrían representar un proceso linfoproliferativo benigno o de naturaleza maligna de bajo grado17. Solo hemos tenido la oportunidad de analizar la clonalidad en uno de los casos estudiados y no hemos encontrado evidencia de la misma.
En resumen, aunque en nuestra serie de casos hemos encontrado unos datos clínicos e histopatológicos muy parecidos a los de la literatura, nos gustaría enfatizar el hecho de que existen localizaciones atípicas donde la clínica no es clásica de HALE, por lo que el diagnóstico es mucho más complicado y hay que tenerlo en cuenta ante lesiones únicas, bien delimitadas, de aspecto vascular con ulceración o costra en la superficie.
Aunque es una entidad que se engloba dentro de los procesos reactivos y se ha considerado benigna, la persistencia en el tiempo, la mala respuesta a los tratamientos disponibles, con recidivas frecuentes y el hallazgo de clonalidad en algunos casos, abre muchos interrogantes respecto a su etiopatogenia. Aclarar si es un proceso tumoral o reactivo es uno de los enigmas a resolver y su baja prevalencia requiere de estudios multicéntricos para avanzar en su etiopatogenia y en el tratamiento.
Responsabilidades éticasProtección de personas y animalesLos autores declaran que para esta investigación no se han realizado experimentos en seres humanos ni en animales.
Confidencialidad de los datosLos autores declaran que han seguido los protocolos de su centro de trabajo sobre la publicación de datos de pacientes y que todos los pacientes incluidos en el estudio han recibido información suficiente y han dado su consentimiento informado por escrito para participar en dicho estudio.
Derecho a la privacidad y consentimiento informadoLos autores declaran que en este artículo no aparecen datos de pacientes.
Conflicto de interesesLos autores declaran que no tienen ningún conflicto de intereses.
A la Dra. Fernández-Figueras por su amable cesión de las imágenes histológicas.







