La hiperhidrosis afecta al 3% de la población1. Su manejo abarca terapias tópicas, sistémicas y quirúrgicas2. En ocasiones, es una manifestación de otras patologías como el síndrome del opérculo torácico (SOT), también conocido como el síndrome del estrecho torácico superior. Describimos a continuación 2 pacientes con una hiperhidrosis secundaria a un SOT.
Una mujer de 23 años, con antecedente de anemia en tratamiento con hierro oral, consultó por un edema y un aumento de la sudoración de la mano derecha de 6 años de evolución. Recientemente había percibido un empeoramiento con una sensación de ardor y la imposibilidad para el cierre de la mano. Además, la paciente refería una cianosis distal.
En la exploración física, se observó un edema, eritema e hiperhidrosis en la palma derecha y una cianosis acral (fig. 1). A la palpación supraclavicular derecha presentaba un dolor que no se reproducía de forma contralateral. La prueba de Adson fue positiva.
Se realizaron una radiografía de tórax y una ecografía del miembro superior derecho, sin alteraciones.
Se realizó un electromiograma en el que se observó una neuropatía mixta de predominio sensitivo en los nervios mediano, cubital y radial derechos.
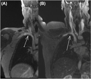
En la resonancia magnética dinámica en abducción se observó una compresión del plexo braquial y de la vena subclavia a nivel del espacio costoclavicular, que desaparecía con la postura anatómica (fig. 2).
Fue diagnosticada de SOT mixto neurogénico y venoso derecho y remitida a Cirugía Torácica y Cirugía Vascular donde recomendaron manejo conservador. Por pérdida de seguimiento, desconocemos la evolución clínica.
Una mujer de 27 años, fumadora, sin otros antecedentes personales de interés, acudió por un aumento de la sudoración en la axila y la mano izquierda de 5 años de evolución. Además, refería cervicalgia, dolor y parestesias de la extremidad superior izquierda. En la exploración física, se objetivó una hiperhidrosis en el miembro superior izquierdo. La radiografía de tórax no mostró alteraciones, mientras que en la radiografía cervical se observó una megaapófisis transversa bilateral en la vértebra C7.
En la resonancia magnética dinámica se observó una oclusión completa del estrecho costo-clavicular de la vena subclavia izquierda con la extremidad en abducción forzada.
Se diagnosticó de SOT mixto neurogénico y venoso y se derivó a Cirugía Vascular. Inició tratamiento rehabilitador sin mejoría. Se le propuso cirugía descompresiva que la paciente desestimó. Posteriormente se perdió el seguimiento.
El SOT afecta entre 8-25 personas por cada millón de habitantes-año. Predomina en mujeres3 con mayor incidencia a los 20 y 50 años4.
Distinguimos tres subtipos: neurogénico, secundario a la compresión de estructuras del plexo braquial y que supone más de un 90% de los casos5; venoso, por la compresión de la vena subclavia y arterial, por la compresión de la arteria subclavia5. El subtipo venoso corresponde a un 3-5% de los casos y el arterial a menos del 1%3. Pueden presentarse formas combinadas3.
La compresión puede ocurrir en el triángulo de los escalenos, espacio costoclavicular o espacio pectoral menor. Puede ser secundaria a una costilla cervical, anomalías musculares del triángulo de los escalenos o traumática3,5.
La clínica es variada y depende de las estructuras afectas. Por la compresión nerviosa, se puede asociar dolor, parestesias y pérdida de fuerza. Estos síntomas se agravan con la abducción del miembro superior o la carga de peso y mejoran en reposo6.
Como reflejo de la afectación vegetativa puede observarse hiperhidrosis, algodistrofia refleja o clínica vasomotora.
Puede aparecer edema y cianosis por la compresión venosa o palidez, frialdad y signos de isquemia secundarias a la compresión arterial5.
El diagnóstico es clínico y requiere de una exhaustiva anamnesis y exploración física.
La prueba de Adson consiste en pedir al paciente que eleve la barbilla e hiperextienda o flexione el cuello hacia el lado afecto. Se considera positiva si reproduce la clínica6,7.
Una radiografía cérvico-torácica permite descartar anomalías esqueléticas, como la presencia de una costilla cervical6 o un tumor de Pancoast que podría presentar una clínica similar al SOT.
La resonancia magnética es una técnica capaz de diferenciar las estructuras afectas. Permite realizar estudios dinámicos al reproducir la clínica y visualizar el punto de compresión6. Podríamos considerarla la prueba diagnóstica de elección.
La arteriografía se reserva para los casos de SOT arterial en los que se plantee un manejo quirúrgico o en los que exista compromiso de la extremidad5. No es útil en el diagnóstico del SOT neurogénico. En algunos centros esta técnica ha sido sustituida por la angiotomografía computarizada5.
El tratamiento requiere un abordaje multidisciplinar. El 80% de los pacientes responden al tratamiento conservador rehabilitador8,9. La cirugía descompresiva se reserva para aquellos pacientes con mala evolución clínica o con compromiso de la extremidad8,9.
Describimos 2 casos en los que la hiperhidrosis unilateral fue el síntoma clave del SOT. Es necesario conocer la fisiopatología y la clínica asociada para considerar el diagnóstico en estos pacientes.
Conflicto de interesesLos autores declaran no tener ningún conflicto de intereses.




 
		
