INTRODUCCION
El hidroadenoma apocrino es una neoplasia anexial benigna que se presenta como un nódulo solitario, asintomático, de crecimiento lento, normalmente menor de 3 cm de diámetro. No tiene predilección en cuanto a la localización, y suele afectar a personas de edad media1.
En la literatura especializada se han utilizado otros términos para denominar este tumor como hidroadenoma de células claras, hidroadenoma sólido-quístico, hidroadenoma nodular, mioepitelioma de células claras y acrospiroma ecrino2.
DESCRIPCION DEL CASO
Un varón de 92 años, cardiópata, consultó por una lesión asintomática en ingle derecha de crecimiento lento y 2 años de evolución. El paciente negaba traumatismo previo en dicha zona.
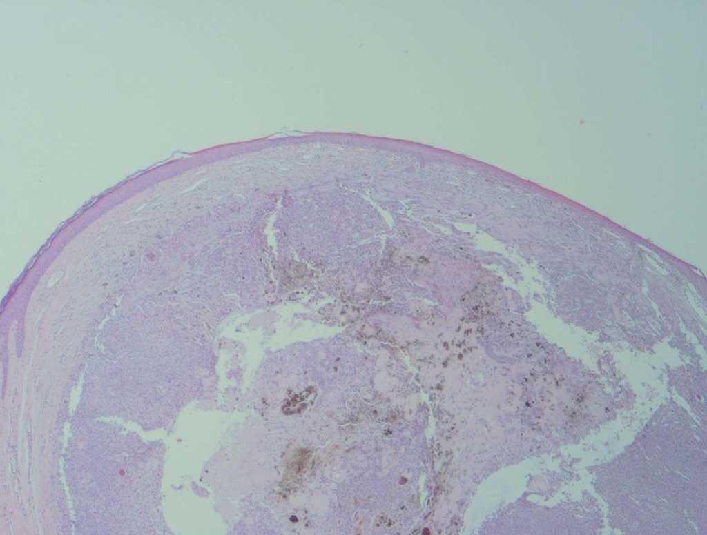
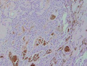
A la exploración se apreciaba una tumoración hiperpigmentada de 2 cm de diámetro, de consistencia firme, superficie lisa y bordes netos localizada en ingle derecha (fig. 1). El estudio histopatológico evidenció una tumoración sólida, dérmica, bien delimitada, pero no encapsulada, que no contactaba con la epidermis ni con la hipodermis (fig. 2). Estaba compuesta por células poligonales, ovoides o redondeadas, de límite bien definido y citoplasma amplio, con núcleos ovoides o redondeados, de cromatina fina, sin pleomorfismo significativo y con mitosis frecuentes. También se observaban células de características similares, aunque con citoplasmas claros. En el centro había áreas de fibrosis con abundante melanina (fig. 3) y en otras zonas se apreciaban cavidades pseudoglandulares que contenían mucina.
Fig. 1.--Tumor hiperpigmentado de 2 cm de diámetro localizado en la ingle derecha.
Fig. 2.--Tumor dérmico bien delimitado, no encapsulado, con áreas celulares muy basófilas y zonas de esclerosis central con abundante pigmento melánico. (Hematoxilina-eosina, x25.)
Fig. 3.--Células tumorales sin atipia ni mitosis, alguna estructura ductal y abundante melanina. (Hematoxilina-eosina, x200.)
DISCUSION
El hidroadenoma apocrino tiene una histogénesis incierta. Se ha propuesto una diferenciación tricolémica, mioepitelial, ecrina o apocrina3. Según algunos autores, los signos de secreción por decapitación en las formaciones ductales y los casos con diferenciación folicular o sebácea apoyan su diferenciación apocrina3,4.
Habitualmente se trata de una neoplasia endofítica, multilobulada, circunscrita, no encapsulada y confinada a la dermis. El componente sólido o quístico se encuentra en diferentes proporciones; es más frecuente el patrón sólido, seguido del sólido-quístico y, en ocasiones, del túbulo-quístico5.
El diagnóstico diferencial debe establecerse con el hidroadenoma poroide, el tricolemoma, la metástasis cutánea de un carcinoma renal y el tumor glómico; en este caso son de gran utilidad las técnicas de inmunohistoquímica4,6.
Al igual que en otros tumores de las glándulas sudoríparas, existe una variante pigmentada7,8, no tan frecuente como en los poromas ecrinos9,10. Los casos descritos de esta variante presentan los tumores localizados en el antebrazo7 y el hombro8. El hallazgo histológico de melanocitos y pigmento melánico en las células y macrófagos se relaciona con el llamado fenómeno de colonización melanocítica, siendo aún el origen de esos melanocitos incierto10.
Es una neoplasia benigna y la simple extirpación suele ser curativa. La transformación maligna o las variantes malignas de inicio son poco frecuentes4.





