INTRODUCCION
Descrita por primera vez por Harrist en 1982 1, la hidradenitis ecrina neutrófila (HEN) es una dermatosis inflamatoria poco frecuente, que habitualmente ocurre en un paciente diagnosticado de leucemia mieloblástica aguda. Aparece a los 7-10 días del inicio de un ciclo de quimioterapia junto con fiebre y ausencia de respuesta al tratamiento con antibióticos 2. Presentamos un caso de HEN en un paciente neutropénico.
DESCRIPCIÓN DEL CASO
Un varón de 70 años, diagnosticado de leucemia aguda mieloblástica (subtipo M4 de la FAB) secundaria a un síndrome mielodisplásico diagnosticado hacía un mes, ingresó en el servicio de Hematología por un cuadro de malestar general, astenia, anorexia y fiebre de 5 días de evolución. Se consultó con nuestro servicio por la aparición de lesiones cutáneas asintomáticas en tronco y extremidades de 5 días de evolución. Se trataba de múltiples placas eritematosas de distribución asimétrica por tronco y zona proximal de extremidades. Las lesiones eran redondeadas o anulares bien delimitadas, discretamente infiltradas y no presentaban descamación ni otros signos de afectación epidérmica; el tamaño oscilaba entre 1,5 y 3 cm de diámetro (fig. 1). El paciente había iniciado 20 días antes un tratamiento paliativo con tioguanina 40 mg al día, tras haber rechazado la posibilidad terapéutica con quimioterapia.
Fig. 1.--Placas de aspecto anular, con bordes bien delimitados e infiltración moderada.
Entre las pruebas complementarias destacaba únicamente una neutropenia de 120/mm 3. Se realizó biopsia del borde de una de las lesiones, y se evidenció con tinción de hematoxilina-eosina un infiltrado neutrofílico moderado perivascular superficial y profundo, mucho más intenso alrededor de las glándulas sudoríparas ecrinas (fig. 2), junto con escaso edema de la dermis superior, todo ello compatible con HEN. Los hemocultivos y los cultivos cutáneos fueron negativos. El cuadro remitió a las 4-5 semanas de su inicio con corticoides sistémicos (prednisona 60 mg/día en dosis decrecientes). No se produjeron recidivas. No se realizó prueba de provocación con el mismo fármaco.
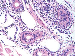
Fig. 2.--Infiltrado neutrofílico en las glándulas ecrinas, donde se aprecia incluso destrucción glandular. (Hematoxilina-eosina, x200.)
DISCUSION
Se desconoce la fisiopatología exacta de la HEN, aunque se considera como principal mecanismo etiopatogénico la concentración de agentes quimioterápicos o de sus metabolitos tóxicos en las glándulas ecrinas o en el propio sudor, con la consiguiente citotoxicidad 3,4. Se ha propuesto también la posibilidad de una reacción paraneoplásica 5 o la causa infecciosa 6 y nunca se ha llegado a definir un mecanismo causal claro, por lo que sólo se puede hablar de diferentes hipótesis patogénicas que apuntan a distintas etiologías como responsables de un mismo cuadro clínico e histológico.
En la mayoría de los casos descritos el paciente es portador de una enfermedad maligna. La más frecuente es la leucemia aguda mieloblástica 7-11, pero se ha descrito también en enfermedad de Hodgkin 7, linfoma no Hodgkin 9, carcinoma testicular 7, osteosarcoma 12, cáncer de ovario 5, leucemia linfoide crónica 13 y leucemia mieloide crónica 7. También se informa de casos en el contexto de enfermedades no neoplásicas como virus de la inmunodeficiencia humana (VIH) 9,14, enfermedad de Behçet u otras vasculitis 15-17 y reticuloide actínico en tratamiento con metotrexato 18. E incluso se ha descrito en pacientes completamente sanos 7,19, lo que apunta a la necesidad de buscar otros mecanismos etiopatogénicos.
La peculiaridad de nuestro caso es el hecho de presentarse en un paciente neutropénico 8,20, y de producirse tras tratamiento con tioguanina, hechos escasamente referidos en la literatura especializada. Se postula como explicación del infiltrado neutrofílico en estos pacientes neutropénicos el tropismo dérmico de los pocos neutrófilos que aparecen en sangre, como sucede en cuadros como el síndrome de Sweet. Pensamos que el cuadro puede ser secundario al tratamiento con tioguanina. Está descrito en la literatura médica un caso de HEN en un paciente tras tratamiento conjunto de tioguanina más citarabina y daunorrubicina y la recidiva del cuadro en el mismo paciente tras nuevo ciclo con los mismos fármacos 11, pero no aparece ningún caso descrito tras tratamiento sólo con tioguanina. En nuestro paciente no se realizó la prueba de provocación, por lo que no podemos asegurar que la tioguanina fuera la causa desencadenante. Tras retirar el fármaco el cuadro remitió y no ha presentado recidivas en ausencia del mismo.




