* Este trabajo obtuvo el Premio Academia Espa-ñola de Dermatología y Venereología 2001.
INTRODUCCIÓN
La quimioterapia tópica ha jugado un importante papel en el arsenal terapéutico de los linfomas cutáneos de células T (LCCT) en estadios iniciales de la enfermedad. La mecloretamina tópica y la carmustina (BCNU) son los agentes quimioterápicos que de manera tópica se han utilizado para este fín.
La mecloretamina [metil-bis (2-cloroetilo) amina hidroclorida] (HN2) es el prototipo de las mostazas nitrogenadas, un grupo de compuestos que comparten una gran semejanza con el gas mostaza usado en la primera guerra mundial como arma militar. Una década más tarde, Goodman y Gilman, en la Universidad de Yale, observaron que sus propiedades citotóxicas eran muy selectivas para los tejidos con una rápida proliferación, en particular tejidos linfoides, postulando su posible papel terapéutico en linfomas. No fue hasta la década de 1950 (1) cuando la mecloretamina tópica entró a formar parte del arsenal terapéutico de los linfomas cutáneos. Las propiedades alquilantes sobre el DNA en las células en estado de rápida división y multiplicación es la base de su acción terapéutica.
La carmustina (biscloroetilnitrosourea), también llamada BCNU, se ha utilizado en el tratamiento de neoplasias del sistema nervioso central, linfomas, melanoma y otros tumores. Se viene utilizando de forma tópica para los LCCT desde 1971 (2). Al igual que el compuesto anterior, su principal modo de acción se debe a sus propiedades alquilantes sobre el DNA, intercalando enlaces cruzados que impiden la separación de las cadenas de DNA, paso previo para su replicación.
Se han descrito diversos efectos secundarios asociados al uso de BCNU tópico, la mayoría de ellos cutáneos. Entre los efectos sistémicos asociados a este tratamiento el más observado es una leve depresión de médula ósea y raramente alteraciones en las transaminasas. Entre los cambios cutáneos asociados al BCNU tópico destaca el eritema que en mayor o menor grado aparece prácticamente las áreas intertriginosas. Se trata de lesiones maculares similares a las quemaduras tras una intensa exposición solar. El eritema se acompaña de una leve disestesia que puede durar varios meses. En muchos casos el eritema es seguido de cambios telangiectásicos en la piel y a veces de áreas poiquilodérmicas que pueden persistir meses o años. Afecta principalmente tronco y glúteos y es excepcional en cara y manos. También se ha descrito reacciones liquenoides e hiperpigmentación cutánea, así como reacciones de hipersensibilidad, de poca intensidad y limitadas a la piel. No hemos encontrado ningún casos en la literatura de tumores asociados al uso de BCNU tópico (3, 4).
Es bien conocido que los agentes quimioterápicos, ya sean de forma tópica o sistémica, provocan frecuentemente erupciones cutáneas que en muchos casos son difíciles de diagnosticar, planteándose el diagnóstico diferencial con infecciones víricas, bacterianas y fúngicas, así como con la propia enfermedad y con erupciones medicamentosas provocadas por otro tipo de drogas. El conocer los cambios histopatológicos característicos de este tipo de erupciones supone una gran ayuda en el diagnóstico, así como en la identificación del agente sospechoso. Se han descrito varios patrones histológicos, característicos de distintos agentes quimioterápicos, utilizados tanto de forma sistémica como tópica.
Reddy et al publicaron en 1996 los hallazgos clínicos e histológicos en 10 pacientes diagnosticados de micosis fungoide tras tratamiento con mostaza nitrogenada tópica. Los hallazgos más destacados consistían en una moderada dermatitis de la interfase con atipia celular (5). En cuanto al BCNU, no hemos encontrado ningún estudio que describa los cambios histopalógicos que sufre la piel tras el tratamiento.
En el presente estudio revisamos 43 biopsias cutáneas procedentes de 15 pacientes diagnosticados de micosis fungoide tras tratamiento con BCNU tópico. El objetivo del estudio es describir y analizar los cambios histopalógicos producidos por la aplicación tópica de BCNU en pacientes con micosis fungoide. No es objetivo del estudio valorar la eficacia del tratamiento.
MATERIAL Y MÉTODOS
Se incluyen 43 biopsias cutáneas procedentes de 15 pa-ciente diagnosticados clínica e histológicamente de micosis fungoide (MF) en estadios I-IIa tratados con BCNU tópico en nuestro hospital desde enero de 1998 hasta diciembre de 1999. Se excluyeron todos aquellos pacientes en estadios avanzados de la enfermedad, así como aquellos con historia de radioterapia o quimioterapia sistémica previa o PUVA de muy larga duración. El diagnóstico histológico de MF se realizó de acuerdo con los criterios de Lever (6) y se utilizó la clasificación del Instituto Nacional del Cáncer (7). Se trataba de siete varones y ocho mujeres de edades comprendidas entre 29 y 79 años (media: 51,3 años).
Las biopsias se obtuvieron de zonas no fotoexpuestas de tronco o extremidades que mostraban áreas telangiectásicas o poiquilodérmicas tras tratamiento de 2 a 14 meses con 10 mg/día de BCNU tópico (Figs. 1 y 2). Se excluyeron todas aquellas muestras que mostraron signos clínicos o histológicos de MF en el momento de la toma de la muestra.
FIG. 1.--Piel de zona abdominal de aspecto poiquilodérmico marcado.
FIG. 2.--Piel de zona axilar con hiperpigmentación y telangiectasias.
Fueron fijadas en formol, incluidas en parafina y teñidas con hematoxilina-eosina. Se realizaron múltiples cortes de cada una de las muestras y se valoraron sólo aquellas que presentaban epidermis y dermis.
En la epidermis se estudiaron los cambios en el grosor de la misma, características del estrato córneo, cambios en la morfología de los queratinocitos y melanocitos, alteraciones a nivel de la capa basal, así como trastornos de la maduración celular. En la dermis se valoró el plexo vascular superficial, la morfología de las células endoteliales, la presencia de células intersticiales fusiformes, las características del infiltrado inflamatorio, así como la presencia de edema y fibrosis a este nivel.
En ocho biopsias se realizó estudio inmunohistoquímico con factor XIIIa (1/4000, Behring) que marca dendrocitos dérmicos, S-100 (1/4000, Dako) que tiñe melanocitos entre otras células, HMB-45 (prediluido, Master Diagnóstica MD) con afinidad por los melanocitos y CD-3 (prediluído, Dako) cuyo marcaje indica linfocitos T.
Todas las biopsias fueron valoradas por dos observadores independientes.
RESULTADOS
Los hallazgos histológicos presentes en las 43 biopsias obtenidas tras tratamiento con BCNU tópico se recogen en la tabla I y Figs. 3, 4, 5, 6, 7, 8, 9, y 10).
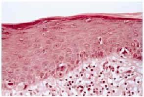
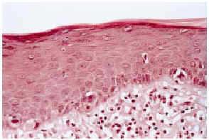
FIG. 3.--Evidentes alteraciones madurativas de los queratinocitos con atipia citológica y binucleada.
FIG. 4.--Dermatitis de interfase de tipo vacuolar con marcadas alteraciones madurativas de los queratinocitos y figuras de mitosis atípicas.
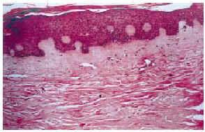
FIG. 5.--Piel con hiperqueratosis, acantosis y fibrosis dérmica.
FIG. 6.--Melanocitos atípicos basales.
FIG. 7.--Tinción con HMB-45 de las células anteriores.
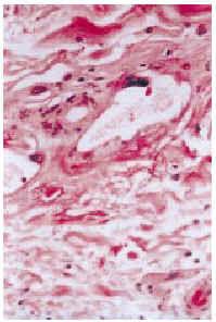
FIG. 8.--Piel con marcado edema dérmico y ectasia del plexo vascular superficial.
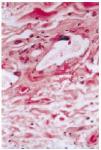
FIG. 9.--Ocasionales células endoteliales atípicas revistiendo los espacios vasculares.
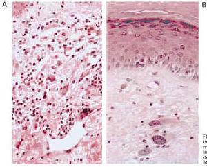
FIG. 10.--A: Proliferación de células intersticiales dérmicas fusiformes estrelladas y con frecuencia multinucleadas, asociadas a un moderado infiltrado linfocitario. B: Presencia de células intersticiales dérmicas de tamaño grande y con marcada atipia celular.
El estrato córneo mostraba en el 76,5% de los casos un grado variable de hiperqueratosis. El grosor epidérmico era normal en el 45% de las biopsias, atrófico en el 52,9% y aumentado en el 5,8%. Se observó una ligera degeneración hidrópica de la capa basal en el 76,5% de las muestras. En un 17,5% los queratinocitos sufrían ciertos cambios, la mayoría de las veces estaban aumentados de tamaño, con un gran núcleo de aspecto vacuolado y un nucléolo prominente, e incluso en algunos casos observamos queratinocitos binucleados o multinucleados con pérdida de polaridad. En zona suprabasal se reconocían ocasionalmente mitosis, que en algunos casos eran atípicas. Se encontraron células disqueratósicas en un 55% de los casos, así como una hiperpigmentación de la capa basal en el 70,6%. Los melanocitos mostraban un aumento de su tamaño en un 84,3% de las muestras y en un 35% eran además atípicos.
En el 96% de las biopsias a nivel de dermis papilar y porción superior de dermis reticular se observaban luces vasculares dilatadas, con células endoteliales prominentes y núcleo hipercromático en el 27,1% de las mismas. Numerosos melanófagos (80%), células fusiformes grandes de apariencia fibroblástica (63,3%), algunas de ellas estrelladas y en un caso con marcada atipia, edema (41,7%), fibrosis dérmica (36,7%) y un ligero infiltrado linfocitario (63,3%) fueron los otros hallazgos más destacados. En algún caso aislado encontramos espongiosis, infiltrados de eosinófilos o necrosis fibrinoide vascular. Todos estos cambios histológicos no estaban presentes en las biopsias diagnósticas de MF previas al tratamiento con BCNU tópica.
Los estudios inmunohistoquímicos demostraron que un gran porcentaje de células fusiformes grandes eran factor XIIIa positivas; por otra parte se pudo confirmar la naturaleza melanocítica de las células que se habían interpretado como tales, al resultar positiva la tinción con S100 y HMB-45.
DISCUSIÓN
Se han descrito diversos patrones histiológicos asociados a complicaciones cutáneas tras el tratamiento tópico o sistémico de agentes quimioterápicos.
Entre los principales patrones descritos encontramos dermatitis espongiótica, dermatitis de la interfase, alteraciones glandulares, alteraciones de los folículos, dermatitis sin afectación epidérmica, dermatitis esclerosante, hiperpigmentación, alteraciones vasculares y necrosis de tejidos blandos.
Los cambios histopatológicos descritos en este estudio tras tratamiento tópico con BCNU en pacientes con MF semejan parcialmente el patrón descrito de dermatitis de la interfase con alteraciones de la maduración asociado a agentes quimioterápicos como busulfán, bleomicina, metotrexante, etopósido y dacarbina entre otros (8-11), aunque en la mayoría de estos casos los fármacos se administran de forma sistémica. Sin embargo, las alteraciones en la dermis son mucho más expresivas tras el tratamiento con BCNU.
Nuestros hallazgos histológicos son muy similares a aquellos aportados por Reddy et al en 1996 tras tratamiento con mostaza nitrogenada tópica en pacientes con MF (5).
El patrón de dermatitis de la interfase con alteraciones de la maduración se caracteriza por degeneración hidrópica de la capa basal, células disqueratósicas y grandes queratinocitos atípicos con alteraciones más o menos marcadas de la maduración. El estrato córneo frecuentemente muestra una hiperqueratosis compacta y la epidermis presenta una atrofia cuyo grado depende de la intensidad de la reacción. En la dermis destacan los espacios vasculares dilatados y la presencia de «fibroblastos» estrellados (8).
Como hemos detallado antes en el apartado de resultados, la mayoría de nuestras biopsias mostraban los cambios típicos que caracterizan el patrón de interfase. Los cambios más frecuentes en epidermis fueron la hiperqueratosis, degeneración hidrópica de la capa basal, hiperpigmentación y melanocitos aumentados de tamaño, todos ellos en un porcentaje superior al 70%. Otros datos epidérmicos con una frecuencia superior al 50% fueron la atrofia epidérmica y la disqueratosis más o menos marcada. Por otro lado, en dermis destacaba la presencia de luces vasculares marcadamente dilatadas en casi todos los casos, así como numerosos melanófagos y células intersticiales fusiformes aumentadas de tamaño y en ocasiones estrelladas.
Las principales diferencias entre nuestros hallazgos y aquellos aportados por Reddy et al tras tratamiento con mostaza nitrogenada tópica fueron un mayor porcentaje de degeneración hidrópica de la capa basal (76,5% frente a 53,3%), una atrofia epidérmica más marcada (52,9% frente a 26,6%), pero un porcentaje mucho menor de alteraciones en la maduración de los queratinocitos (17,5% frente a 100%).
Ambos estudios mostraban cambios en dermis, tales como telangiectasias, células de aspecto fibroblástico aumentadas de tamaño y en ocasiones estrelladas y grandes melanocitos, pero sorprendentemente en ambos estudios la atipia en dermis no se limitaba a las células descritas previavemente, sino que en un 27,1% de nuestras biopsias y en un 60% de aquellas estudiadas por Reddy tras mostaza nitrogenada tópica se extendía a las células endoteliales, que se tornaban prominentes y con núcleos grandes e hipercromáticos.
Es ampliamente conocido que el uso de agentes alquilantes, como la mostaza nitrogenada, modifican la estructura del DNA celular, como hemos señalado anteriormente, provocando enlaces cruzados en las cadenas de DNA que impiden la separación de ambas cadenas, paso previo y necesario a la replicación del mismo. Por todo esto su uso tópico se ha señalado como riesgo potencial de desarrollar neoplasias cutáneas como queratosis actínicas, y carcinomas basocelulares y espinocelulares (12). Sin embargo, hasta la fecha no hay ningún caso descrito tras el uso de BCNU tópica. Quizá el menor porcentaje de alteraciones en la maduración de los queratinocitos frente a las observadas con mostaza nitrogenada podría explicar ese hecho.
Es bien conocido que en la piel sana se encuentran presentes células dendríticas que expresan factor XIIIa y que en diversas entidades patológicas tanto reactivas como neoplásicas se encuentran aumentadas en número y tamaño (sarcoma de Kaposi, micosis fungoide, psoriasis, dermatitis atópica, etc.). Asimismo en algunos casos tras PUVA de larga duración y tras radioterapia se ha observado células dérmicas alteradas que marcaban con factor XIIIa.
El presente estudio añade el tratamiento tópico con BCNU a la lista de entidades en las que el dendrocito dérmico se encuentra en mayor número de lo normal, y además sugiere que la mayoría de las células dendríticas atípicas que se observaron en dermis proceden del dendrocito dérmico. Su papel exacto sigue sin conocerse; probablemente estas células podrán modificarse en respuesta a la expresión de citocinas. También se ha especulado sobre su papel patogénico en aquellas entidades donde existen fenómenos de fibrosis en la dermis (13).
Este estudio nos ha permitido conocer los cambios histopatológicos característicos de las lesiones cutáneas tras el uso de BCNU tópico, que hasta ahora no conocíamos. Se necesitan nuevos estudios que incluyan un amplio número de pacientes tratados con BCNU tópico para poder determinar cómo y en qué grado la presencia de determinados cambios histopatológicos va asociada a mayor riesgo de carcinogénesis cutánea futura.
CONCLUSIONES
El BCNU tópico debe ser añadido a la lista de agentes quimioterápicos que producen atipia histológica en la piel.
Los hallazgos histopatológicos tras el tratamiento con BCNU tópica corresponden a una dermatitis de la interfase con alteraciones de la maduración y marcadas alteraciones dérmicas.
La principal diferencia con los cambios observados tras el tratamiento con mostaza nitrogenada tópica es el menor porcentaje de alteraciones en la maduración celular.
Hasta el momento la descripción de los hallazgos histopatológicos típicos tras el tratamiento con BCNU tópico no había sido detallada.
Aunque la presencia de un notable menor porcentaje en las alteraciones de la maduración de los queratinocitos frente a la mostaza nitrogenada parecen indicar un menor riesgo de carcinogénesis cutánea, se necesitan estudios adicionales que lo corroboren.













