INTRODUCCION
Un granuloma es un patrón de respuesta inflamatoria crónica, constituida esencialmente por acumulaciones de células epitelioides, generalmente mezcladas con un número variable de células gigantes, linfocitos, células plasmáticas, fibroblastos y macrófagos. Desde el punto de vista histológico se clasifican en tuberculoides, sarcoideos, necrobióticos, supurativos y de cuerpo extraño. La característica esencial de estos últimos es la presencia de un material identificable, ya sea exógeno o endógeno, alrededor del cual se disponen histiocitos, células gigantes multinucleadas (de cuerpo extraño y tipo Langhans) y un número variable de células inflamatorias1.
Tradicionalmente la presencia de material extraño identificable en granulomas epitelioides cutáneos excluía el diagnóstico de sarcoidosis. Hoy en día esta hipótesis es cuestionable.
La inoculación de este material extraño por un traumatismo previo puede inducir la formación de granulomas en individuos predispuestos.
DESCRIPCION DEL CASO
Se trata de un varón de 71 años, entre cuyos antecedentes destacaba la explosión de una mina de scheelita (wolframato cálcico) hacía 27 años, que le había provocado múltiples impactos en cara y dorso de las manos. Carecía de antecedentes familiares de interés. Desde hacía tres meses refería la aparición brusca de varias lesiones nodulares asintomáticas en cara, que habían seguido un crecimiento rápido hasta alcanzar el tamaño actual (figs. 1 y 2). No presentaba sintomatología asociada. En la exploración cutánea se evidenciaron varias lesiones nodulares eritematosas, de superficie brillante y diámetro variable, induradas al tacto a nivel supraciliar y en ambos párpados inferiores. Presentaba, además, múltiples tatuajes de color negro-grisáceo como secuela de los impactos tras la explosión de la mina. El resto de la exploración por aparatos fue anodina.
Fig. 1.--Lesiones cutáneas en la cara.
Fig. 2.--Detalle de las lesiones de los párpados.
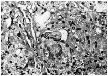
Se realizó una biopsia cutánea de una de las lesiones, cuyo estudio histológico mostró una epidermis normal. Por debajo de ésta, desde la dermis superficial hasta el límite dermo-hipodérmico, se observaba un denso infiltrado granulomatoso constituido por células epitelioides, células gigantes multinucleadas y tipo Langhans, rodeadas por una discreta corona linfocitaria. En el interior de estos granulomas se distinguía un material extraño de color verde amarillento y forma geométrica (figs. 3 y 4).
Fig. 3.--Granuloma epitelioide con células gigantes en la dermis (hematoxilina-eosina, x 40).
Fig. 4.--Material extraño dentro de granuloma (hematoxilina-eosina, x 120).
Se realizaron tinciones de Ziehl y PAS, que resultaron negativas.
La pieza se remitió al Departamento de Petrología, donde el material extraño fue identificado como «turmalina» (borosilicato).
Se solicitó analítica que incluía pruebas de función hepática, calcemia y niveles de enzima convertidora de la angiotensina (ECA), que resultaron normales. Dentro de las pruebas de imagen, la radiografía de tórax fue normal; la gammagrafía con galio objetivó un discreto aumento de la captación en ambos hilios pulmonares. Se solicitó, además, exploración oftalmológica, que no evidenció patología ocular.
El paciente fue remitido al servicio de Medicina Interna, con el diagnóstico de granulomas epitelioides de cuerpo extraño o sarcoidosis cutánea.
Hasta el momento la actitud ha sido expectante, pues el paciente no aqueja sintomatología alguna y, pese a la discreta captación observada en la gammagrafía, se decidió no someterle a pruebas diagnósticas más agresivas. Desde el punto de vista dermatológico, las lesiones han sido tratadas con corticoides tópicos de potencia alta, sin mejoría.
DISCUSION
La sarcoidosis es una enfermedad multisistémica de etiología desconocida, caracterizada por la acumulación de linfocitos y fagocitos mononucleares, que induce la formación de granulomas epitelioides no caseificantes, provocando una alteración anatómica y funcional en los órganos y tejidos afectos2.
La incidencia en España es de 1,4/100.000/año. La mayoría de los pacientes son adultos jóvenes, con un ligero predominio femenino. La raza negra presenta formas clínicas más graves y crónicas, mientras que en países nórdicos de Europa y en España la forma clínica más frecuente es el síndrome de Löfgren3.
La etiopatogenia sigue siendo desconocida. Se ha postulado que la enfermedad ocurre cuando un huésped susceptible genéticamente es expuesto a un antígeno ambiental específico. Cuando esto sucede, se desencadena una respuesta inflamatoria exagerada, constituida por gran número de macrófagos activados y linfocitos CD4 +, que inducen la producción de citocinas. Como consecuencia, se produce la formación de granulomas en los tejidos afectos.
Otra hipótesis propuesta afirma que la sarcoidosis es una enfermedad en la que la capacidad del sistema inmune para eliminar partículas de material extraño está alterada, y la presencia de este material extraño, no siempre aparente ni detectable, provoca el estímulo necesario en la piel y otros órganos para la formación de los granulomas4.
El diagnóstico se establece cuando los hallazgos clínicos y radiológicos se apoyan en la evidencia histológica de granulomas no caseificantes diseminados en uno o más tejidos, o en una prueba de Kveim positiva5.
En un 25% de casos de sarcoidosis aparecen lesiones cutáneas, y generalmente lo hacen al inicio de la enfermedad2, 6, y no es infrecuente realizar el diagnóstico de esta entidad en la consulta dermatológica6.
Estas lesiones se clasifican en específicas (granulomatosas) o reactivas (eritema nudoso). Dentro de las específicas existe una serie de variedades clínicas, de las que las más comunes son pápulas, placas y nódulos, lesiones subcutáneas7 e infiltración de cicatrices antiguas8, 9.
Tradicionalmente, la demostración de material ex-traño en reacciones granulomatosas cutáneas excluía el diagnóstico de sarcoidosis10, 11, pero actualmente hay numerosos estudios que rechazan esta teoría. Es conocida la predilección de la sarcoidosis por afectar cicatrices y áreas donde previamente ha habido un traumatismo y donde la presencia de material extraño es un hallazgo esperado. También lo es la aparición de granulomas sarcoideos sobre tatuajes12. La descripción de sarcoidosis cutánea asociada a cuerpos extraños y de sarcoidosis sistémica con granulomas de cuerpo extraño como primera manifestación clínica ha llevado a muchos autores a postular que estos cuerpos extraños actuarían como un «nido» para la formación del granuloma, a modo de fenómeno de Koebner, y que la presencia de éstos no excluye el diagnóstico de sarcoidosis8.
Marcoval et al sugieren que todos aquellos pacientes con granulomas cutáneos de tipo sarcoideo deben ser evaluados para descartar la presencia de una sarcoidosis sistémica, a pesar de tener una historia de traumatismo previo o material extraño identificable en la biopsia cutánea12.
La ausencia de afectación sistémica tampoco excluye el diagnóstico de sarcoidosis; de hecho, existen formas de afectación exclusivamente cutánea en el 27% de la población blanca13, que son indistinguibles de las lesiones cutáneas de las formas sistémicas. Ahora bien, en todos aquellos pacientes con lesiones cutáneas sin afectación sistémica debe realizarse un despistaje de sarcoidosis sistémica de forma periódica, pues ésta puede aparecer en cualquier momento de la evolución14.
En nuestro caso, el diagnóstico de granulomas de cuerpo extraño resulta muy evidente una vez realizado el estudio histológico, pero no es tan fácil intentar explicar la existencia de un período de latencia tan largo. Este espacio de tiempo tan prolongado se ha descrito con el sílice15, y se han propuesto dos teorías para explicarlo. Por un lado, se cree que con el tiempo el sílice pasa a una forma coloidal soluble, que desencadena la respuesta inmune granulomatosa; sin embargo, esta hipótesis no podría explicar la reactivación simultánea de las lesiones. La otra hipótesis se basa en que se produce una respuesta de hipersensibilidad retardada sólo en individuos predispuestos; esto explicaría la baja incidencia de granulomas por sílice a pesar de su abundancia en la naturaleza16. Para algunos autores, las partículas de sílice por sí solas son incapaces de generar una respuesta inmune, y de hecho sólo lo hacen cuando sobreviene una sarcoidosis8.
En nuestro caso el material identificado fue borosilicato, que pudo visualizarse en su forma mineral, con lo cual se puede rechazar la teoría del paso a una forma coloidal. Si la explicación a la reactivación de las lesiones tras 27 años es la existencia de una respuesta de hipersensibilidad retardada en un individuo susceptible, podemos presuponer que esa susceptibilidad es la base sobre la que asienta el desarrollo de una sarcoidosis. Nuestro paciente no ha recibido un diagnóstico definitivo. Tras un año de seguimiento, las pruebas diagnósticas de imagen siguen sin ser concluyentes, y las lesiones cutáneas se mantienen estables.
Tras la revisión bibliográfica realizada, en la que ni la presencia de cuerpo extraño en el interior de los granulomas ni la ausencia de afectación sistémica excluyen el diagnóstico de sarcoidosis, nos encontramos ante la duda de si nuestro paciente corresponde a ese 27% de la población blanca con afectación cutánea, al que debemos realizar un seguimiento periódico en búsqueda de una posible afectación sistémica, o si, por el contrario, no se trata más que de granulomas de cuerpo extraño con una forma de presentación poco habitual.






