INTRODUCCIÓN
La granulomatosis alérgica de Churg-Strauss es una vasculitis sistémica granulomatosa que afecta a venas, vénulas, arteriolas y arterias; fue descrita por Churg y Strauss en 1949. Sus manifestaciones clínicas dependen de los órganos afectos. Los síntomas iniciales suelen ser rinitis alérgica, sinusitis recurrente y poliposis nasal (1). Aunque la manifestación sistémica predominante es el asma bronquial y puede preceder en muchos años a la aparición de vasculitis, su presencia no es imprescindible para el diagnóstico (2, 3). Dos tercios de los pacientes presentan infiltrados pulmonares fugaces por infiltración masiva de eosinófilos en alvéolos e intersticio. Otros hallazgos clínicos son: afectación renal, afectación gastrointestinal, neuropatía periférica, hipertensión arterial, cardiopatía, convulsiones y artralgias. Las manifestaciones cutáneas son frecuentes, aunque no diagnósticas; entre ellas se encuentra el granuloma necrosante extravascular de Churg-Strauss.
Presentamos un caso de granuloma necrosante extravascular de Churg-Strauss como manifestación cutánea de la granulomatosis alérgica de Churg-Strauss.
DESCRIPCIÓN DEL CASO
Mujer de 37 años de edad ingresada por fiebre, poliartralgias e infiltrados pulmonares bilaterales. Entre sus antecedentes patológicos destacaban: rinitis alérgica a pólenes de gramíneas, olivo y alternaria, sinusitis y poliposis nasal desde los 14 años, comenzando con sintomatología asmática 4 años después; un aborto y un embarazo por inseminación artificial. Durante el último año precisó varios ingresos hospitalarios por episodios febriles con foco respiratorio que se resolvieron con antibioterapia y esteroides sistémicos; en uno de ellos aparecieron lesiones cutáneas en manos y tobillos, mostrando el estudio histológico una vasculitis neutrofílica de pequeños vasos. Varios meses después presentó un brote de lesiones papulosas en dorso de manos y codos que fueron diagnosticados histológicamente de granuloma anular, curando espontáneamente.
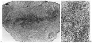
Nos consultaron por la aparición de escasas pápulas con umbilicación y costra necrótica central menores de 0,5 cm de diámetro localizadas en manos, muñecas y codos (Fig. 1). Simultáneamente presentaba vesículas hemorrágicas en dorso de ambos pies, con disposición lineal en el pie derecho. Se realizó biopsia excisional de una pápula localizada en codo y su estudio histopatológico mostró, bajo una intensa necrosis epidérmica, una dermatitis nodular granulomatosa necrosante, con degeneración basófila del colágeno, depósitos de mucina e infiltrado neutrofílico con leucocitoclasia (Fig. 2); algunos vasos dérmicos superficiales y profundos presentaban necrosis fibrinoide e infiltrado de neutrófilos y eosinófilos en su pared. Los hallazgos descritos fueron diagnósticos de granuloma extravascular necrosante de Churg-Strauss. En el resto de pruebas complementarias realizadas destacaba una anemia normocítica-normocrómica, 20.500 leucocitos con una eosinofilia del 50%; GOT, 70 UI/l; GPT, 63 UI/l; FA, 357; LDH, 496; factor reumatoide, 30 UI/ml; ANA negativo, ANCA específico MPO positivo (ELISA); resto de bioquímica sanguínea, proteinograma y orina normales. El lavado broncoalveolar mostró una alveolitis eosinofílica intensa.
FIG. 1.--Pápula con necrosis central localizada en codo.
FIG. 2.--A: Granuloma en empalizada con degeneración basófila del colágeno en dermis reticular superior. B: Degeneración basófila del colágeno e infiltrado neutrofílico con leucocitoclasia.
Con estos datos clínicos, histológicos y de laboratorio se llegó al diagnóstico de granulomatosis alérgica de Churg-Strauss. Se inició tratamiento con corticosteroides sistémicos con escasa respuesta, por lo que se añadió bolos mensuales de ciclofosfamida según pauta de Guillevin y Lhote (4) con respuesta satisfactoria: ciclos mensuales de 1.000 mg (0,6 g/m2) por vía endovenosa durante 6 meses y posteriormente pauta de mantenimiento con azatioprina oral 2 mg/kg/día.
DISCUSIÓN
La afectación cutánea de la granulomatosis alérgica de Churg-Strauss se produce en el 60-70% de los casos (5, 6). Clínicamente las lesiones se han dividido en tres categorías (7): maculopápulas semejando eritema multiforme, lesiones hemorrágicas y nódulos cutáneos y subcutáneos. Otras formas clínicas descritas son: livedo reticularis, úlceras y edema facial (6). También histológicamente se han establecido tres patrones (8): granuloma necrosante extravascular (50%), vasculitis leucocitoclástica (33%) y poliarteritis nudosa (17%). Se ha establecido una correlación entre los nódulos cutáneos y subcutáneos con el granuloma necrosante extravascular, correspondiendo a lo que se ha denominado granuloma necrosante extravascular de Churg-Strauss.
El granuloma necrosante extravascular fue descrito en 1951 como una manifestación específica de la granulomatosis alérgica de Churg-Strauss (8, 9). Histológicamente consiste en un granuloma en empalizada que rodea un foco central de colágeno basófilo y fragmentado de morfología estrellada localizado en dermis superior, infiltración neutrofílica y leucocitoclasia (10).
En 1971, Winkelmann describió este granuloma asociado a diferentes procesos mediados por inmunocomplejos (tabla I), por lo que se propuso el nombre de granuloma necrosante de Winkelmann (6, 11, 12), evitando así la identificación del granuloma de Churg-Strauss con el síndorme de Churg-Strauss. Se han observado granulomas en empalizada similares en las lesiones cutáneas de la artritis reumatoide denominadas pápulas reumatoides (13, 14) y necrobiosis reumatoide ulcerativa superficial (15).
La presentación clínica consiste en pápulas o nódulos de coloración eritematoviolácea o color piel normal con umbilicación central y necrosis, de distribución simétrica en codos y zonas distales de miembros superiores que cursan en brotes (9, 17, 18). Nuestra paciente presentó lesiones cutáneas que tanto clínica como histológicamente eran típicas de este granuloma necrosante.
Chu y cols. en 1994 postularon una hipótesis patogénica para la formación de estos granulomas: el depósito de inmunocomplejos produciría un vasculitis leucocitoclástica en las vénulas dérmicas que secundariamente originaría una degeneración del colágeno y posteriormente una reacción granulomatosa de la dermis alterada (17). En base a esta hipótesis proponen el término de «dermatitis neutrofílica y granulomatosa en empalizada». Grilli y Requena no comparten esta teoría patogénica; para ellos la degeneración de los haces de colágeno sería el resultado de la liberación de enzimas lisosomales por parte de los neutrófilos y/o eosinófilos del infiltrado, el colágeno degenerado atraería a los histiocitos que se dispondrían en empalizada alrededor (el área central de colágeno degenerado tendrá apariencia basófila o eosinófila en función del predominio de neutrófilos o eosinófilos) (19).
Se ha propuesto un espectro de hallazgos histopatológicos que reflejan la evolución de este granuloma necrosante extravascular; el diagnóstico diferencial histopatológico variará en función del estadio evolutivo de la lesión biopsiada (17). En lesiones iniciales se encuentra una vasculitis leucocitoclástica con un denso infiltrado de colágeno degenerado; en esta etapa habría que hacer diagnóstico diferencial con la vasculitis leucocitoclástica de cualquier etiología y con la dermatitis neutrofílica reumatoide. Cuando la lesión está plenamente desarrollada se ve un granuloma en empalizada rodeando fibrina, colágeno degenerado basófilo y restos de leucocitoclasia; su diagnóstico diferencial incluiría el granuloma anular, los granulomas de la enfermedad de Wegener y los granulomas propios de la enfermedad de Churg-Strauss. En las lesiones tardías el granuloma en empalizada mostraría más fibrosis y menos polvillo nuclear, por lo que habría que diferenciarlo de los granulomas de la necrobiosis lipoidea.
En nuestro caso cabe destacar que se habían realizado dos biopsias previas en brotes distintos de lesiones cutáneas y cuyo diagnóstico histopatológico fue vasculitis neutrofílica de pequeños vasos en la primera y granuloma anular en la segunda. De acuerdo con la descripción de Chu y cols. (17) pensamos que ya en estos momentos el diagnóstico histológico correspondería a un granuloma necrosante extravascular, pero en fase inicial en la primera biopsia y en una lesión establecida con abundantes depósitos de mucina en la segunda.
En resumen, el granuoma necrosante extravascular de Churg-Strauss es un tipo especial de granuloma en empalizada con degeneración basófila del colágeno que puede observarse en múltiples procesos, siendo, por tanto, inespecífico. Puede considerarse un marcador cutáneo de vasculitis sistémica o enfermedad linfoproliferativa, y su hallazgo nos obliga a buscar patología sistémica asociada. En nuestro caso se trató de una granulomatosis alérgica de Churg-Strauss. Fue necesario realizar tres biopsias cutáneas hasta encontrar los datos histológicos característicos del granuloma necrosante extravascular de Churg-Strauss, por lo que creemos oportumo realizar biopsias seriadas en aquellos casos con hallazgos clinicopatológicos que sugieran esta entidad.








 
 
		
