El granuloma anular (GA) es una enfermedad granulomatosa benigna de etiología desconocida y normalmente autolimitada, que se resuelve habitualmente de forma espontánea en un periodo de meses a años. Clínicamente cursa de forma típica con lesiones anulares localizadas en las manos, las extremidades superiores, el tronco o las extremidades inferiores, siendo más rara la afectación facial. Puede estar asociada con diabetes mellitus, procesos paraneoplásicos, trastornos tiroideos y con algunos fármacos1.
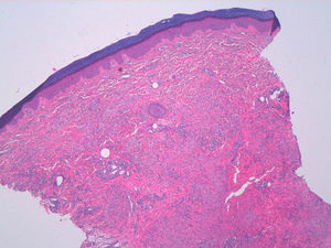
Una mujer de 38 años, con antecedente personal de trastorno alimentario en tratamiento farmacológico con topiramato desde hacía varios meses, acudió a consultas de dermatología por lesiones ligeramente pruriginosas de varios meses de evolución en el dorso de ambas manos. A la exploración física se apreciaban unas pápulas confluentes de morfología anular que asentaban sobre el dorso de los dedos de ambas manos y de la articulación metacarpofalángica de la mano izquierda (figs. 1 y 2). En el estudio histológico se observaba degeneración focal del colágeno y fibras elásticas, depósitos de mucina e infiltrado linfohistiocítico perivascular e intersticial en la dermis superior y media que confirmaba el diagnóstico de GA (fig. 3). En el análisis de sangre solicitado no se encontraron hallazgos significativos. La paciente fue tratada inicialmente con corticoides y tacrolimus tópico, y posteriormente con corticoterapia oral sin mejoría del proceso. Revisando la historia clínica de la paciente objetivamos una relación temporal entre la introducción del topiramato y la aparición de las lesiones de GA. Con la sospecha de GA secundario a topiramato, decidimos la retirada del mismo, previo consentimiento por parte del servicio de psiquiatría, logrando la resolución completa de las lesiones un mes después de la suspensión del medicamento.
Dentro de las dermatitis granulomatosas secundarias a fármacos se distinguen 4 tipos: dermatitis granulomatosa intersticial, exacerbación de nódulos reumatoideos secundaria a metotrexato, sarcoidosis secundaria a fármacos y GA secundario a fármacos.
Fue en 1980 cuando se publicó el primer caso de GA secundario a fármacos, en asociación con sales de oro para el tratamiento de la artritis juvenil4. Desde entonces han sido descritos otros casos en los que se han implicado principalmente el alopurinol, la calcitonina, el diclofenaco, los fármacos anti-factor de necrosis tumoral, los fármacos calcioantagonistas y diferentes quimioterapias2–7. Sin embargo, solo hemos encontrado 3 casos debidos a topiramato1,2,3 (tabla 1), todos ellos con lesiones localizadas en las extremidades inferiores, a diferencia de nuestro caso, en el que asentaban en las manos. Al igual que en los 3 casos descritos en la literatura, el caso presentado demuestra la existencia de una relación temporal entre la aparición del GA y la administración de topiramato, ya que las lesiones aparecieron justo después de la introducción del topiramato y desparecieron 2-3 semanas después de la suspensión del fármaco, sin recidivar posteriormente1,3. Además, a pesar de que es bien conocida la posibilidad de la resolución de las lesiones de GA tras una biopsia1,2,3, en nuestro caso no observamos mejoría tras su realización. Sin embargo, quedaría por confirmar la aparición de lesiones de GA con la readministración del tratamiento.
Casos de granuloma anular asociados a topiramato
| Edad | Sexo | Tiempo de latencia hasta la aparición de GA | Tiempo de latencia hasta la desaparición de GA | Localización | |
|---|---|---|---|---|---|
| Cassone G et al.1 | 50 | Mujer | Un mes | 2 semanas | Extremidad inferior izquierda | 
| Lagier L et al.2 | 44 | Mujer | 3 meses | 2 semanas | Dorso de pies Extremidades inferiores | 
| Ruzzetti M et al.3 | 29 | Mujer | 6 años | 2 semanas | Dorso manos Extremidades inferiores Dorso pies | 
| Heras S et al. | 38 | Mujer | 2 meses | Un mes | Dorso de manos | 
El topiramato es un antiepiléptico que posee una estructura derivada de la D-fructosa, un monosacárido, y difiere notablemente de los demás fármacos antiepilépticos. Está indicado en el tratamiento de crisis epilépticas parciales o generalizadas, prevención de la migraña, así como en el control de impulsos2,3. Su mecanismo de acción es múltiple incluyendo el bloqueo de los canales de sodio dependientes de voltaje, la potenciación del ácido amino-butírico mediante neurotransmisión y es antagonista de los receptores de glutamato3. Entre los efectos adversos cutáneos raros descritos en relación con el topiramato se encuentran alopecia, oligohidrosis, pénfigo, eritema multiforme, síndrome de Stevens-Johnson y necrosis epidérmica tóxica2, siendo excepcional la aparición de GA. La patogenia del GA secundario a topiramato es desconocida, estimándose que, dado el uso tan extendido de este fármaco, probablemente se trate de una entidad infradiagnosticada. Por ello, ante pacientes con un GA refractario a los tratamientos habituales es recomendable realizar una anamnesis detallada para descartar la implicación de algún fármaco en su aparición.
Conflicto de interesesLos autores declaran no tener ningún conflicto de intereses.









 
 
		
