Un varón de 59 años, con historia personal de infarto de miocardio 2 años antes y diabetes mellitus tipo 2, fue valorado en nuestra unidad por presentar unas lesiones cutáneas generalizadas asintomáticas con una cierta fotodistribución, de un año de evolución, no respondedoras a corticoides tópicos. No refería hábito tabáquico. El paciente tomaba diariamente fenofibrato, aspirina, acenocumarol, metformina, pantoprazol, ácido fólico y bisoprolol. Negaba relación de la dermatosis con el contexto laboral debido a que las lesiones permanecieron tras abandonar su trabajo como escayolista.
En la exploración dermatológica se observaban unas pápulas eritematovioláceas anulares, con los bordes sobreelevados, que se agrupaban formando placas en el dorso de las manos (fig. 1A).
Presentación clínica del paciente. A) Placas eritematoparduzcas arciformes con tendencia a la coalescencia en dorso de manos y cara dorsal de antebrazos. Las lesiones tenían leve infiltración al tacto y carecían de componente epidérmico apreciable. B) Las lesiones se extendían a cara volar de los antebrazos con menor coalescencia y afectación.
En ambos brazos se observaban algunas lesiones anulares aisladas más pequeñas (aproximadamente de 3-4mm), de una coloración discretamente rosada (fig. 1B).
Se le realizó el fototest con lectura inmediata para la determinación de la dosis urticariforme mínima, y a las 24h para la determinación de la dosis eritemática mínima, y con diferentes fuentes de iluminación. Además, se realizó fotoprovocación y fotoparches. En el fototest inmediato la lectura fue normal tanto en UVA como en UVB. A las 24h la dosis eritemática mínima obtuvo valores normales para el fototipo (31mJ/cm2), así como para la respuesta a UVA. En la doble lectura de los fotoparches de la batería estándar, junto con los fármacos que el paciente tomaba habitualmente (enfrentando parches irradiados con UVA 13,32J/cm2 frente a parches no irradiados), no se observó ninguna reacción indicativa de fotosensibilidad cutánea de origen exógeno a las 24 y a las 48h de la irradiación lumínica (fig. 2A).
Estudio fotobiológico del paciente. A) Lectura de fotoparches a las 48h. En el lado izquierdo se colocaron los fotoparches para irradiación UVA durante 6min con lámpara Philips® HB 404 de alta presión (13,32J/cm2). En lado derecho, parches no irradiados. No se observó reacción de tipo contacto o fotocontacto de la batería estándar ni de los fármacos que el paciente tenía prescritos. El estudio también fue negativo a las 96h. B) Fotoprovocación en el primer día de irradiación (7min; 15,54J/cm2). La zona fotoprovocada tenía 2 componentes: a la izquierda, zona irradiada directamente con UVA; en el lado derecho, zona cubierta con placa de Petri con agua para eliminar el componente infrarrojo (IR) de la irradiación. C) Fotoprovocación a las 144h. Se observan micropápulas milimétricas aisladas en el lado izquierdo de la zona irradiada. Algunas de las lesiones son más grandes en el borde. En zona con aislamiento del IR también se observan lesiones, pero en menor cuantía.
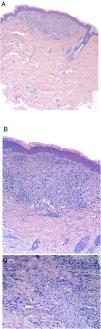
Además, se le realizó una prueba de fotoprovocación de las lesiones irradiando en espalda y hombro, tanto con UVB (no se obtuvo respuesta) como con UVA (fig. 2B), empezando a visualizar unas micropápulas y eritema a las 48h según la pauta propia de fotoprovocación (a una dosis de 24,42J/cm2). Las lesiones se fueron reproduciendo los siguientes días de la fotoprovocación hasta el sexto, con una dosis acumulada de 97,71J/cm2. Ante este hallazgo, se decidió realizar una biopsia cutánea de las lesiones neoformadas, así como de las pápulas preexistentes. El estudio histopatológico de sendas biopsias mostró numerosos histiocitos y células gigantes multinucleadas distribuidos de forma intersticial en la dermis papilar y reticular (fig. 3A y B). No se observaban fenómenos de fagocitación de las fibras elásticas en los macrófagos intersticiales (fig. 3C). Dados los hallazgos clinicopatológicos, se diagnosticó al paciente de granuloma anular (GA) fotoinducido por UVA.
Histología de las pápulas neoformadas tras fotoprovocación. A) Infiltrado dérmico de tipo intersticial bien circunscrito. A pequeño aumento no se observan granulomas ni afectación epidérmica (tinción de hematoxilina-eosina ×2, magnificación ×20). A mayor detalle se observa que dicho infiltrado es de tipo linfohistiocitario, con un componente importante de células de citoplasma grande que envuelven los haces colágenos con un patrón de dermatitis granulomatosa intersticial (tinción de hematoxilina-eosina ×10, magnificación ×100). C) A gran aumento no se observan imágenes de elastofagocitosis, descartando el diagnóstico de granuloma actínico (tinción de hematoxilina-eosina ×20, magnificación ×200).
El GA es una dermatosis inflamatoria benigna y autolimitada de origen incierto1,2. Se caracteriza por la presencia de pápulas dérmicas sin un componente epidérmico apreciable, con una tendencia a la coalescencia para formar placas de aspecto arciforme o anular, asintomáticas en su mayoría1,3. La etiología exacta se desconoce, aunque se ha relacionado con multitud de comorbilidades, incluyendo neoplasias malignas3, infecciones víricas o fármacos2. Aunque la mayoría se resuelven de forma espontánea, incluso tras la realización de la biopsia, algunas lesiones pueden dejar unas cicatrices permanentes4.
El GA diseminado se ha relacionado más específicamente con condiciones sistémicas como la diabetes mellitus1,5, y excepcionalmente con la exposición solar6. Por otra parte, el granuloma actínico, descrito por O’Brien, se caracteriza por presentarse con unas lesiones similares al GA en zonas fotoexpuestas7, si bien histopatológicamente difieren en que en el primero existe una degeneración de las fibras elásticas y los histiocitos del infiltrado exhiben fenómenos de elastofagocitosis, o fagocitación de estas8.
Existen pocas publicaciones sobre casos de GA inducido por radiación lumínica4,9,10. La radiación solar se considera una de las potenciales causas de GA según algunos estudios. No obstante, se ha intentado reproducir de forma infructuosa las lesiones de GA con ultravioleta1. Creemos que este es el primer caso de un granuloma anular fotoinducido en condiciones experimentales en el contexto de un estudio fotobiológico. Existen algunos casos publicados de GA fotoinducido en el contexto de toma de medicamento, como por ejemplo la paroxetina10, pero en este paciente se descartó la etiología farmacológica a través de la realización de fotoparches. No obstante, consideramos que, a pesar de la ausencia de medicamento, en este caso ha podido existir un antígeno preformado que haya podido sufrir un cambio conformacional ante la exposición a UVA y haya desencadenado una dermatitis granulomatosa tipo GA.
El tratamiento de esta entidad suele ser insatisfactorio; se han probado diversas opciones, incluyendo retinoides orales, antipalúdicos o fototerapia5,9. A nuestro paciente se le recomendó fotoprotección tópica exhaustiva con un índice de protección solar elevado que incluyera fotoprotección para UVA e infrarrojo, así como fotoprotección oral. Tras 9 meses de seguimiento el paciente no ha vuelto a presentar nuevas lesiones y las previas se habían estabilizado.
Conflicto de interesesLos autores declaran no tener ningún conflicto de intereses.





