Un varón de 52 años, hipertenso en tratamiento dietético, refería haber padecido unas lesiones papulosas y vesiculosas pruriginosas de unos tres años de evolución, de intensidad fluctuante aunque siempre presentes, de predominio en los antebrazos, en menor medida en la región cervicofacial, el abdomen y los miembros inferiores. Realizó tratamiento antihistamínico y con prednisona (15 mg/día), sin mejoría. Negó antecedentes personales y familiares de atopia. Trabajaba en una fábrica manipulando piezas de carrocería de automóviles, sin clara mejoría en periodos vacacionales.
Exploración físicaEl examen cutáneo evidenció la presencia de múltiples excoriaciones sobre una base eritematosa, que formaban placas excoriadas extensas de aspecto eccematoso, localizadas en los antebrazos, la región cervicofacial, el abdomen y los miembros inferiores (fig. 1). Se procedió a la toma de muestras de las lesiones mediante una biopsia cutánea y una impronta cutánea obtenida con una tira adhesiva transparente, colocada posteriormente sobre un portaobjetos para su visualización mediante microscopía óptica.
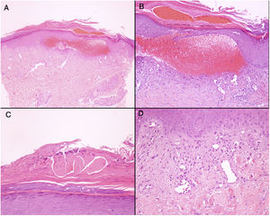
Pruebas complementariasLa analítica de sangre, que incluía IgE, no mostró alteraciones significativas. Se realizaron pruebas epicutáneas con la batería estándar del Grupo Español de Investigación en Dermatitis de Contacto y Alergia Cutánea, con un resultado negativo. La biopsia mostró la presencia de una ampolla hemorrágica subepidérmica e hiperqueratosis con acantosis, todos ellos cambios compatibles con una lesión por rascado (fig. 2). En la muestra obtenida mediante la tira adhesiva se apreciaron numerosos fragmentos lineales de diámetro variable en microscopía de luz polarizada, compatibles con fibra de vidrio (fig. 3).
¿Cuál es su diagnóstico?
DiagnósticoDermatitis por fibra de vidrio (DFV)
Evolución y tratamientoEl paciente reconoció un contacto estrecho con fibra de vidrio en la manipulación de piezas de carrocería. Se recomendó la utilización de ropa de protección en el ámbito laboral y se prescribió tratamiento tópico con betametasona y gentamicina, asociado a antihistamínicos orales. Debido a un control subóptimo de la clínica, el paciente obtuvo la baja laboral durante varios meses con una mejoría franca y mantenida del cuadro. Finalmente consiguió la incapacidad laboral manteniéndose completamente asintomático.
ComentarioLa fibra de vidrio es un material manufacturado ampliamente utilizado en el ámbito de la construcción, aunque debido a sus propiedades de aislamiento térmico, acústico y eléctrico, su uso no se limita de forma exclusiva a este sector. Se trata de un material químicamente inerte que no desarrolla sensibilización, si bien las resinas y otros aditivos utilizados en los productos finales que contienen fibra de vidrio podrían eventualmente generarla, y por ende inducir cuadros de eccema alérgico de contacto1. No obstante, la DFV pura, descrita por primera vez por Sulzberger y Baer en 19422, es una dermatitis de contacto irritativa considerada una causa frecuente de dermatitis ocupacional, cuyo mecanismo fisiopatogénico consiste en la penetración de fragmentos de vidrio a través de la capa córnea, produciendo una irritación mecánica3. Aunque menos descrito, es también posible el mecanismo aerotransportado4. Desde un punto de vista de clínico, se objetivan con frecuencia excoriaciones secundarias a un prurito incoercible, que en última instancia pueden simular cuadros de prurigo, dentro de un amplio espectro de lesiones eccematosas. Cabe destacar que la intensidad de la irritación es proporcional al diámetro de los fragmentos, e inversamente proporcional a su longitud. La anamnesis resulta fundamental para la identificación de una exposición a la fibra de vidrio, por lo que resulta primordial conocer la existencia de esta entidad. Un obstáculo a su reconocimiento consiste en que exposiciones prolongadas generan tolerancia a la fibra, mientras que son los pacientes con exposiciones cortas los que desarrollan lesiones5. Las pruebas de contacto no son útiles en su diagnóstico por lo expresado con anterioridad, aunque pueden tener relevancia para identificar sensibilizaciones concomitantes a los aditivos. El estudio histopatológico, aunque de baja rentabilidad como ilustra nuestro caso, podría eventualmente poner de manifiesto fragmentos de vidrio birrefringentes engarzados en la capa córnea3. Una prueba sencilla y no cruenta es la obtención de muestra cutánea de la zona de lesión mediante tira adhesiva, con la consiguiente visualización de fragmentos de fibra de vidrio entre restos córneos mediante microscopía electrónica6, lo cual permite llegar a un diagnóstico de certeza.





