El objeto de nuestro trabajo es describir las características epidemiológicas, clínicas y analíticas de la infección aguda por parvovirus B19 en adultos.
Material y métodosPresentamos un estudio descriptivo retrospectivo de todos los casos de infección aguda por parvovirus B19, en mayores de 18 años, durante el año 2012, en el Hospital Universitario La Paz, Madrid.
ResultadosCuarenta y nueve pacientes adultos con infección aguda por parvovirus B19. La mayoría ocurrieron en mujeres jóvenes en primavera y principios de verano. La lesión cutánea fue el signo fundamental para el diagnóstico en más del 50% de los casos. Se encontraron todo tipo de exantemas purpúricos más o menos generalizados, siendo relativamente frecuente la forma de vasculitis (>18%). Las alteraciones en el hemograma y perfil hepático, leves o moderadas, se resolvieron espontáneamente, salvo en 2 pacientes inmunodeprimidos en quienes persistió una anemia crónica.
ConclusionesEs la serie más amplia de infección aguda por parvovirus B19 descrita, hasta la fecha, en la literatura. Ante exantemas purpúricos de cualquier distribución o lesiones de vasculitis, sobre todo si se acompañan de fiebre y artralgias y se presentan en mujeres jóvenes en primavera, debemos sospechar una infección aguda por parvovirus B19 y recomendar medidas para evitar el contagio a personas de riesgo.
Our aim was to describe the epidemiologic, clinical, and laboratory characteristics of acute parvovirus B19 infection in adults.
Material and methodsThis study describes all cases of acute parvovirus B19 infection in patients older than 18 years of age who were treated at Hospital Universitario La Paz in Madrid, Spain, in 2012.
ResultsForty-nine adults were treated for acute parvovirus B19 infection. Most were young women who were infected in the spring or early summer. In over half the cases skin lesions were key diagnostic signs.We saw the full range of types of rash of purplish exanthems that were fairly generalized; vasculitis was relatively common (in >18%). Mild or moderate abnormalities in blood counts and indicators of liver dysfunction resolved spontaneously in all but 2 immunocompromised patients, who developed chronic anemia.
ConclusionsThis is the largest case series of acute parvovirus B19 infection published to date. This infection should be suspected on observing signs of purplish skin rashes, no matter the location or pattern of distribution, or vasculitis, especially if accompanied by fever and joint pain in young women in the spring. Measures to avoid infection should be recommended to individuals at risk.
La enfermedad por parvovirus B19 en adultos es poco frecuente y está poco descrita en la literatura. La importancia de conocer las características epidemiológicas, clínicas y analíticas de esta infección en adultos reside en que, si reconocemos el cuadro clínico de forma precoz, podemos evitar el contagio de población de riesgo.
El parvovirus B19 es un pequeño virus ADN monocatenario, no encapsulado, descubierto en 1975 por Yvonne Cossart et al. de forma casual, mientras realizaban un cribado de hepatitis B en muestras de sangre1. Es el único virus de la familia Parvoviridae capaz de producir enfermedad en el humano. Se transmite por vía aérea con un periodo de incubación de 13 a 17 días2. Tiene especial apetencia por los progenitores de eritrocitos y por las células endoteliales, ya que actúa uniéndose a la proteína P presente en sus membranas3.
Generalmente infecta a niños en edad escolar a finales del invierno y se da con más frecuencia en regiones con climas templados4. En un tercio de los casos la infección es asintomática y, cuando produce enfermedad, lo hace mediante el bien descrito «eritema infeccioso» o «quinta enfermedad», que se caracteriza por la aparición de un eritema malar que respeta la zona periorificial confiriendo un aspecto de cara abofeteada y se sucede de un exantema reticulado en el tronco y las extremidades1,5. Las manifestaciones sistémicas, como la fiebre y las artralgias no siempre acompañan el cuadro, y cuando lo hacen aparecen como síntomas de baja intensidad.
Hasta un 60-80% de la población llega a la edad adulta con anticuerpos IgG+ para parvovirus B196,7, por lo que la incidencia de síntomas de infección es mucho menos frecuente en adultos que en niños. Sin embargo, a diferencia de lo que ocurre en niños, cuando los adultos presentan síntomas todavía son contagiosos2, por lo que reconocer la infección de forma precoz puede tener importantes repercusiones epidemiológicas8.
En adultos sanos la infección aguda por parvovirus B19 produce una enfermedad que suele resolverse de forma espontánea. Afecta sobre todo a mujeres jóvenes, entre la cuarta y la quinta décadas de la vida y se manifiesta fundamentalmente con fiebre, poliartralgias periféricas y simétricas y exantema9. Las lesiones cutáneas descritas son, en general, lesiones purpúricas, ya sean generalizadas, de distribución distal y simétrica10, o de distribución localizada y asimétrica8.
En pacientes con factores de riesgo la infección aguda por parvovirus puede dar lugar a acontecimientos graves. Así, en pacientes con hemoglobinopatías puede producir crisis aplásicas11, en inmunodeprimidos anemia crónica12,13, y en embarazadas hydrops fetalis14.
El objeto de este trabajo es describir las características epidemiológicas, las manifestaciones clínicas y los hallazgos de laboratorio con los que suele presentarse la infección aguda por parvovirus en adultos en nuestro medio.
Material y métodosRealizamos un estudio descriptivo retrospectivo de los pacientes adultos diagnosticados de infección aguda por parvovirus B19 en el Hospital General Universitario La Paz, Madrid, durante el año 2012.
Incluimos en el estudio a todos los varones y mujeres de más de 18 años que presentaron, durante el periodo de tiempo estudiado, una IgM positiva para parvovirus B19. La determinación de anticuerpos frente a parvovirus se realizó mediante ELISA (Biotrin, Dublín, Irlanda).
Dos pacientes con IgM positiva para parvovirus B19 fueron considerados falsos positivos y se excluyeron del estudio: ambos presentaban títulos altos de IgM anti-VEB en ausencia de positividad de anti-EBNA IgG, con títulos bajos de IgM anti-parvovirus B19, por lo que se interpretó como una reacción cruzada en pacientes con una mononucleosis infecciosa.
Se recogieron las siguientes variables: fecha de diagnóstico; especialidad de procedencia del diagnóstico (dermatología, reumatología, medicina interna u otros), edad, sexo, antecedentes personales de interés, manifestaciones clínicas cutáneas y no cutáneas, alteraciones en el hemograma, el perfil hepático, el perfil renal; proteína C reactiva (PCR), anticuerpos antinucleares (ANA), estudio anatomopatológico de biopsia de piel y evolución. Además, para descartar y estudiar posibles reacciones cruzadas recogimos positividad concomitante de IgM específica de otros virus.
ResultadosCuarenta y nueve pacientes adultos presentaron una IgM positiva para parvovirus B19 durante el periodo de estudio (tabla 1). La serie estaba formada por 40 mujeres y 9 hombres con edades comprendidas entre los 20 y los 82 años. El 90% de los pacientes tenían entre 20 y 46 años, con una media de 37,5 años, coincidiendo mediana y moda en 36 años. Los meses de máxima incidencia fueron junio (12 casos) y julio (16 casos), mientras que durante los meses de otoño e invierno solo se diagnosticaron 3 casos.
Características de la infección aguda por parvovirus B19 en adultos
| N.° de pacientes | Porcentaje (%) | |
|---|---|---|
| Epidemiología | ||
| Sexo | ||
| Mujeres | 40 | 82 |
| Hombres | 9 | 18 |
| Edad | ||
| 18-30 años | 13 | 27 |
| 31-40 años | 22 | 45 |
| 41-50 años | 9 | 18 |
| >50 años | 5 | 10 |
| Momento del diagnóstico | ||
| Invierno (enero a marzo) | 2 | 4 |
| Primavera (abril a junio) | 21 | 43 |
| Verano (julio a septiembre) | 25 | 51 |
| Otoño (octubre a diciembre) | 1 | 2 |
| Servicio de origen del diagnóstico | ||
| Dermatología | 23 | 47 |
| Reumatología | 9 | 18,5 |
| Medicina interna | 9 | 18,5 |
| Ginecología/obstetricia | 3 | 6 |
| Hematología | 3 | 6 |
| Otros (microbiología, centro de salud) | 2 | 4 |
| Clínica | ||
| Lesiones cutáneas | 27 | 55 |
| Exantema | 12 | 24 |
| Síndrome de lesiones en guante y calcetín | 5 | 10 |
| Vasculitis | 9 | 18 |
| Edemas | 1 | 2 |
| Artralgias | 26 | 53 |
| Fiebre | 20 | 41 |
| Adenopatías | 3 | 6 |
| Astenia | 3 | 6 |
| Hallazgos de laboratorio | ||
| Alteraciones del hemograma | 24 | 49 |
| Anemia | 6 | 12 |
| Trombocitosis | 3 | 6 |
| Alteración de leucocitos | 15 | 31 |
| Hipertransaminasemia | 5 | 8 |
| Elevación de PCR | 16 | 33 |
| ANA+ | 1 | 2 |
En cuanto a los antecedentes personales de nuestros pacientes 3 fueron considerados inmunosuprimidos por estar en tratamiento con inmunosupresores para su enfermedad de base. Uno de ellos recibía tratamiento con azatioprina e hidroxicloroquina por un lupus eritematoso sistémico. Los otros 2 recibían infusiones periódicas de infliximab por una artritis reumatoide y una hidrosadenitis supurativa, respectivamente. Un paciente fue considerado inmunocomprometido por presentar edad avanzada y pluripatología. Cinco pacientes fueron consideradas de riesgo por estar embarazadas.
El hallazgo clínico más prevalente fue la lesión cutánea, presente en 27 de nuestros pacientes (55,1%). La artralgia fue el síntoma sistémico más comunicado, afectando a 26 pacientes (53,1%). Se describieron sobre todo poliartralgias que afectaban a las falanges, las muñecas, los tobillos, los codos y las rodillas de forma simétrica. Algunos pacientes presentaron, sin embargo, monoartritis en el eje central: cervicalgias, lumbalgias y coxalgias. La fiebre formó parte del cuadro clínico en 20 de los pacientes (40,8%) y, generalmente, no ascendió por encima de 38,5°C. Las adenopatías laterocervicales (3 casos), la debilidad o astenia (3 casos) y los edemas de las manos y los pies (un caso) también aparecen en nuestro estudio como síntomas importantes en la sospecha clínica.
La lesión cutánea más frecuentemente descrita fue un exantema purpúrico, más o menos simétrico y más o menos generalizado en el tronco y las extremidades (12 casos). Seis pacientes presentaban lesiones purpúricas que, por su distribución característica, podían incluirse en el denominado «síndrome de lesiones purpúricas en guante y calcetín» (fig. 1) y 9 pacientes presentaron lesiones de púrpura palpable en la superficie anterior de los miembros inferiores, clínicamente compatibles con vasculitis (fig. 2). Un paciente presentó intensos edemas en las piernas, los pies, los antebrazos y las manos con despegamiento epidérmico, erosiones y púrpura.
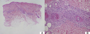
Las sospechas de vasculitis fueron confirmadas mediante estudio histopatológico de las muestras obtenidas mediante biopsia de piel. Se observaron infiltrados inflamatorios perivasculares superficiales y, en un caso, también profundos; engrosamiento del endotelio de los vasos; necrosis fibrinoide de los vasos y polvillo nuclear o fenómeno de leucocitoclasia (fig. 3).
Las serologías fueron solicitadas por los servicios de dermatología (23 casos), medicina interna (9 casos), reumatología (9 casos), hematología (3 casos), ginecología (3 casos), centro de salud (un caso) y microbiología (un caso).
En cuanto a los hallazgos analíticos hemos encontrado 6 casos de anemia leve (12,2%), que se resolvieron espontáneamente en 4 de ellos. Los otros 2 casos: el paciente de edad más avanzada y con pluripatología y el paciente de 75 años con artritis reumatoide en tratamiento con infliximab, ambos considerados inmunocomprometidos, fueron remitidos al servicio de hematología por anemia persistente. En 15 pacientes se detectaron alteraciones en la serie blanca (30,6%), fundamentalmente linfopenia, monocitosis y neutrofilia. Tres pacientes presentaron trombocitosis (6,1%). La PCR se elevó de forma leve-moderada en 15 pacientes (30,6%). Se objetivó en 5 casos una hipertransaminasemia leve-moderada y autorresolutiva (10,2%). Un paciente presentó un ANA positivo, no objetivado en peticiones previas, pero este parámetro solo se solicitó en 21 pacientes (tabla 1).
El 75,5% de los pacientes evolucionaron hacia la curación espontánea y al 20,4% de los pacientes se les administró corticoterapia sistémica para alivio sintomático. La corticoterapia sistémica fue útil en los pacientes que presentaron clínica de vasculitis y en el paciente que presentó intensos edemas: 9 pacientes mejoraron tras la administración de 12mg de betametasona intramuscular y el paciente que presentó una vasculitis con afectación tanto de los vasos superficiales como de los profundos en la biopsia cutánea requirió un ciclo de prednisona oral que se inició a dosis de 0,5mg/kg/día y se fue disminuyendo de forma progresiva (10mg cada 10 días). Los 2 pacientes de mayor edad permanecen en seguimiento por anemia crónica. Se realizaron controles ecográficos semanales en las 5 gestantes, sin hallarse complicaciones en ninguno de los casos.
En cuanto a la existencia de IgM positivas para otros virus, observamos una IgM positiva para el virus de Epstein Barr (VEB) en un 18,4% de los casos, mientras que un 6,1% de pacientes presentaban una IgM positiva límite, un 8,1% una IgM negativa límite y un 6,1% una IgM dudosa. No obstante, en todos los casos, los títulos de IgM eran muy superiores para parvovirus B19 y prácticamente insignificantes para el VEB, por lo que la positividad de la IgM para VEB fue considerada como reacción cruzada. No se encontraron positividades concomitantes con IgM de citomegalovirus. Las serologías frente a sarampión o rubéola no se determinaron en prácticamente ninguno de los casos.
DiscusiónPresentamos una serie de 49 adultos con infección aguda por parvovirus B19, la más larga descrita en la literatura que hemos tenido ocasión de revisar. La alta incidencia de casos en un periodo breve de tiempo respalda la teoría de que la infección experimenta ciclos epidémicos15–17.
Coincidiendo con lo referido en series anteriores, la infección aguda por parvovirus B19 parece más frecuente en mujeres jóvenes6, sobre todo a finales de la primavera y durante el verano18.
En lo previamente descrito, cuando el virus infecta a los adultos, a diferencia de lo que ocurre en niños, las manifestaciones sistémicas como las artralgias y la fiebre predominan sobre la lesión cutánea19–21. Sin embargo, en nuestra serie la lesión cutánea aparece como el síntoma o signo de mayor peso en el diagnóstico clínico.
Tanto en la literatura anterior como en nuestros pacientes se han descrito exantemas purpúricos de distribuciones variopintas en relación con la infección aguda por parvovirus B19 en adultos2,8. En 1990 se describió el «síndrome de lesiones purpúricas en guante y calcetín»22, y el parvovirus B19 está considerado como uno de los agentes etiológicos más importantes; de hecho se cree que es el responsable del cuadro en un 80% de los casos. Otros virus relacionados son el VEB, citomegalovirus, virus hepatitis B, virus varicela-zoster, virus herpes 6 y 7, sarampión, rubéola y coxsackie10. Este síndrome se caracteriza por la aparición de eritema y edema pruriginoso, urente o doloroso en manos y pies, con una nítida delimitación al nivel de las muñecas y los tobillos. El eritema evoluciona hacia lesiones purpúricas que van extendiéndose de forma centrípeta y puede acompañarse de lesiones en las mucosas y de síntomas sistémicos23–25. Los hallazgos histopatológicos descritos son inespecíficos. Se han observado grados variables de espongiosis epidérmica, focos de paraqueratosis, un discreto infiltrado perivascular alrededor del plexo vascular superficial de la dermis y hematíes extravasados alrededor de los capilares superficiales de la dermis26. En la literatura hay descritos más de 70 casos asociados a infección por parvovirus B1910, y en nuestra serie hemos encontrado otros 6 pacientes.
El parvovirus B19 ya aparece en la literatura como factor etiológico de vasculitis25, pero aparece como un hecho poco frecuente. Lo más llamativo de nuestra serie es, sin duda, la alta incidencia de lesiones cutáneas clínicamente compatibles con vasculitis en pacientes sin otro agente causal aparente. Así, más de un 18% de los casos se presentaron con púrpura palpable en los miembros inferiores, y en una ocasión, con lesiones necróticas que testificaban la intensidad del proceso.
Las artralgias y la fiebre constituyen en la literatura revisada los síntomas más frecuentes en la infección aguda por parvovirus B19 en adultos18–20; mientras que en nuestro estudio, a pesar de ser síntomas frecuentes, la erupción cutánea fue descrita en un mayor número de casos. Otros signos o síntomas como las adenopatías, la debilidad o astenia y los edemas, también descritos en otras series19, deben hacernos sospechar infección aguda por parvovirus en un contexto clínico compatible.
A diferencia de otras series en las que la anemia acompaña a más del 80%20 de los casos, en nuestra serie solo afectó a un 12,2%, y fue autolimitada en los pacientes inmunocompetentes tal y como se describe habitualmente. La persistencia de la anemia en los otros 2 pacientes podría estar relacionada con la cronificación de la infección aguda por parvovirus B19 que se ha comunicado en pacientes inmunodeprimidos, ya que el inicio de la misma coincide con la detección de IgM de parvovirus en sangre. Según nuestro trabajo el hallazgo analítico más frecuente es la alteración de la serie blanca (sobre todo linfopenia, monocitosis y neutrofilia) y, en discrepancia con lo descrito en la literatura19, en vez de trombocitopenia, hemos encontrado 3 casos de trombocitosis. Tampoco en nuestra serie aparece la hipertransaminasemia transitoria de forma tan frecuente como en otras series, donde afecta a casi el 90% de los casos19, estando únicamente presente en el 10,2% de los pacientes.
Ninguno de nuestros pacientes presentó enfermedad grave asociada a la infección aguda por parvovirus B19 pero, en la literatura, se han descrito casos aislados de hepatitis aguda y fulminante27, glomerulonefritis aguda28, encefalitis aguda y neuropatía periférica29, miocarditis y anemia aplásica asociados con infección aguda por parvovirus B19, incluso en adultos inmunocompetentes.
En la literatura previa se ha asociado el parvovirus B19 a todo tipo de enfermedades autoinmunes: artritis reumatoide juvenil, artritis reactiva, lupus eritematoso sistémico, dermatomiositis, polimiositis, esclerosis sistémica, cirrosis biliar primaria y citopenias autoinmunes30-32. Según Lunardi et al. el parvovirus B19 no solo produce un efecto lítico en células endoteliales y tóxico a nivel de progenitores de plaquetas, sino que, además, da lugar a la formación de anticuerpos que, por reacción cruzada, van a atacar a autoantígenos, pudiendo desencadenar incluso una enfermedad autoinmune30. Este hecho explicaría la alta incidencia de vasculitis en nuestra serie. Demostrar que la infección por parvovirus B19 es capaz de desencadenar no solo una respuesta autoinmune, sino también una enfermedad autoinmune, requeriría un estudio sistemático de autoanticuerpos de un mayor número de pacientes, así como un seguimiento a más largo plazo.
La evolución de la enfermedad, al igual que sucede en lo descrito en la literatura6, fue muy favorable, resolviéndose la clínica de forma espontánea en la mayoría de los pacientes en menos de 2 semanas. Los posibles datos de infección persistente aparecen en nuestro estudio, coincidiendo con la mayoría de los artículos publicados, en los pacientes inmunodeprimidos13.
Hay poco descrito en la literatura sobre el tratamiento de la infección aguda por parvovirus B19, seguramente por el hecho de que, cuando produce enfermedad, suele ser autolimitada. La infusión de inmunoglobulinas constituye, según algunos artículos, un tratamiento eficaz de la infección persistente13,31. Los corticoides sistémicos se relacionan, cuando son administrados durante largos periodos, con un aumento de la predisposición a padecer infecciones33. Sin embargo, en la revisión de Barah et al. de los casos descritos en la literatura de infección por parvovirus B19 asociada a afectación neurológica, los corticoides sistémicos asociados a infusión de inmunoglobulinas aparecen como un tratamiento eficaz34. En nuestro estudio los pacientes que recibieron corticoterapia sistémica mejoraron clínicamente en un corto periodo de tiempo.
Las embarazadas con infección aguda por parvovirus deben mantener controles periódicos obstétricos para descartar sufrimiento fetal. Se recomienda realizar controles semanales y hasta el final del embarazo, ya que el riesgo de afectación fetal permanece incluso meses después de la desaparición de los síntomas de la infección aguda14.
En cuanto a las reacciones cruzadas, hemos recogido una alta tasa de reacciones cruzadas con VEB, con hallazgos de IgM levemente positivas, límites o dudosas en un 38,7% de los pacientes. En la literatura previa se describen reacciones cruzadas frente a VEB, citomegalovirus, rubéola y sarampión35,36.
Es importante recalcar que el reconocimiento temprano de la infección aguda por parvovirus B19 en adultos puede tener importantes beneficios epidemiológicos. Debe sospecharse ante exantemas purpúricos de cualquier distribución, sobre todo si se acompañan de fiebre y artralgias y se presentan en mujeres jóvenes durante la primavera o el verano. La localización en la parte distal de los miembros de lesiones cutáneas, ya sea como púrpura no palpable (púrpura en guante y calcetín), púrpura palpable (probable vasculitis) es especialmente sugestiva. Debe realizarse el diagnóstico diferencial con otras viriasis y con entidades que se presenten con lesiones purpúricas, como la capilaritis purpúrica, que también aparece en mujeres jóvenes en primavera y verano y se manifiesta con lesiones purpúricas en las piernas, pero que suelen respetar el dorso y las plantas de los pies, y no se asocian a fiebre, artralgias ni malestar general.
Hemos presentado un estudio descriptivo y retrospectivo, por lo que asumimos probables sesgos. A pesar de que presentamos una serie amplia con respecto a lo previamente descrito, sería necesaria una muestra más amplia para poder extraer conclusiones con una mayor extrapolación epidemiológica en nuestro medio. Serían necesarios estudios prospectivos en los que se unificaran los criterios de solicitud de serologías para parvovirus B19 que, teniendo en cuenta el carácter epidémico de la viriasis, debería mantenerse durante varios años.
Responsabilidades éticasProtección de personas y animalesLos autores declaran que para esta investigación no se han realizado experimentos en seres humanos ni en animales.
Confidencialidad de los datosLos autores declaran que han seguido los protocolos de su centro de trabajo sobre la publicación de datos de pacientes y que todos los pacientes incluidos en el estudio han recibido información suficiente y han dado su consentimiento informado por escrito para participar en dicho estudio.
Derecho a la privacidad y consentimiento informadoLos autores declaran que en este artículo no aparecen datos de pacientes.
Conflicto de interesesLos autores declaran no tener ningún conflicto de intereses.
A don Manuel Rodríguez Domínguez, catedrático de lengua y literatura española, por la revisión del texto en español.
A Mr. Martin J. Smith, BA, por la revisión del texto en inglés.






