Introducción
La tuberculosis continúa siendo un problema de salud importante en España. Su tasa de incidencia se sitúa en torno a 35 casos nuevos de enfermedad tuberculosa al año (por 100.000 habitantes), aunque en áreas como Galicia puede ser superior a 70 por 100.0001, hecho que se relacionó con el elevado nivel de desempleo y ausencia, en su momento, de un programa de prevención y control eficaz2. La tuberculosis cutánea sólo representa el 0,015 % de los diagnósticos que se realizan en las consultas externas de Dermatología de un hospital, y apenas el 1,5 % de las formas extrapulmonares de la tuberculosis3. La aparición de cepas resistentes, los pacientes con sida, el mayor uso de fármacos inmunosupresores y la inmigración desde países con una incidencia elevada de tuberculosis podrían generar un aumento de tuberculosis en nuestro medio4.
Las formas extrapulmonares suponen un 10 % del total de casos de tuberculosis. Dentro de ellas la tuberculosis ósea representa un 10 %. La afectación vertebral es su localización más frecuente (40-60 %), seguida de las metáfisis de los huesos largos. Su diagnóstico suele ser tardío por la falta de signos o síntomas específicos y su curso es indolente5,6.
La finalidad de este estudio prospectivo es evaluar los datos de escrofulodermia con afectación osteoarticular subyacente, haciendo hincapié en los datos clínicos, radiológicos y microbiológicos.
Material y métodos
Se estudiaron prospectivamente un total de 1.139 casos nuevos de tuberculosis seguidos entre los meses de enero de 1991 y diciembre de 2005, en una consulta monográfica de tuberculosis de la Unidad de Enfermedades Infecciosas. A dicha consulta se remitían la mayoría de los casos nuevos de tuberculosis (1.139 sobre un total de 1.782 casos declarados) de pacientes mayores de 12 años diagnosticados a nivel hospitalario o de Atención Primaria en el área sanitaria de Ferrol, población actual de 220.000 habitantes. Se recogieron los datos referentes a la fecha del diagnóstico, la edad, el sexo, los antecedentes personales, los órganos afectos por tuberculosis, la clínica general previa, la clínica cutánea, el tiempo de evolución, el Mantoux, los hallazgos radiológicos (radiografía de tórax o de otras áreas de las que fuese preciso), los analíticos, microbiológicos e histopatológicos; así como el tratamiento pautado y la respuesta terapéutica. En los pacientes en los que se realizó una biopsia cutánea la mitad de la pieza se empleó en el estudio histopatológico (tinción de hematoxilina y eosina y tinción con Ziehl-Neelsen para detectar bacilos ácido-alcohol resistentes [BAAR]); y la otra mitad para cultivo microbiológico en medio de Löwenstein-Jensen.
Resultados
Durante estos 15 años se realizaron controles en la consulta monográfica de tuberculosis a 1.139 nuevos casos. De ellos 33 (2,89 %) padecían tuberculosis osteoarticular. Sólo 6 presentaban un escrofulodermia con un foco tuberculoso osteo-articular subyacente, lo que supone el 0,52 % del total de tuberculosis y el 18,1 % de las tuberculosis osteoarticulares.
En la tabla 1 se muestran los datos de los pacientes con escrofulodermia y afectación ósea o articular subyacente: edad, sexo, fecha de diagnóstico, antecedentes personales, clínica general previa, localización de la lesión cutánea y su tiempo de evolución. Con relación al sexo destaca un predominio de varones (5 casos [83,3 %]) frente a una mujer, con edades entre 37 y 80 años. No se diagnosticó ningún nuevo caso en los últimos 5 años. Los antecedentes personales de los pacientes eran muy variados; el 50 % refería clínica general previa al diagnóstico de su tuberculosis, dos de ellos marcada pérdida de peso y uno escrofulodermia cervical secundaria a linfadenitis tuberculosa en los últimos 6 años. El tiempo de evolución de la lesión cutánea secundaria a la afectación ósea comprendía entre dos semanas y tres años, con una localización muy variable: dos casos en el tórax anterior izquierdo y uno en el área mandibular inferior derecha, escapular izquierda, preesternal (fig. 1) y en la nalga izquierda. También se diagnosticaron en este mismo periodo de tiempo 12 escrofulodermias con linfadenitis subyacente, en su mayoría localizadas en la región laterocervical.
Figura 1. Paciente número 4. Cicatrices hipertróficas transversales en el cuello secundarias a linfadenitis tuberculosa. Lesiones ulceradas que drenan material purulento, localizadas en zona superior preesternal y paraesternal izquierda.
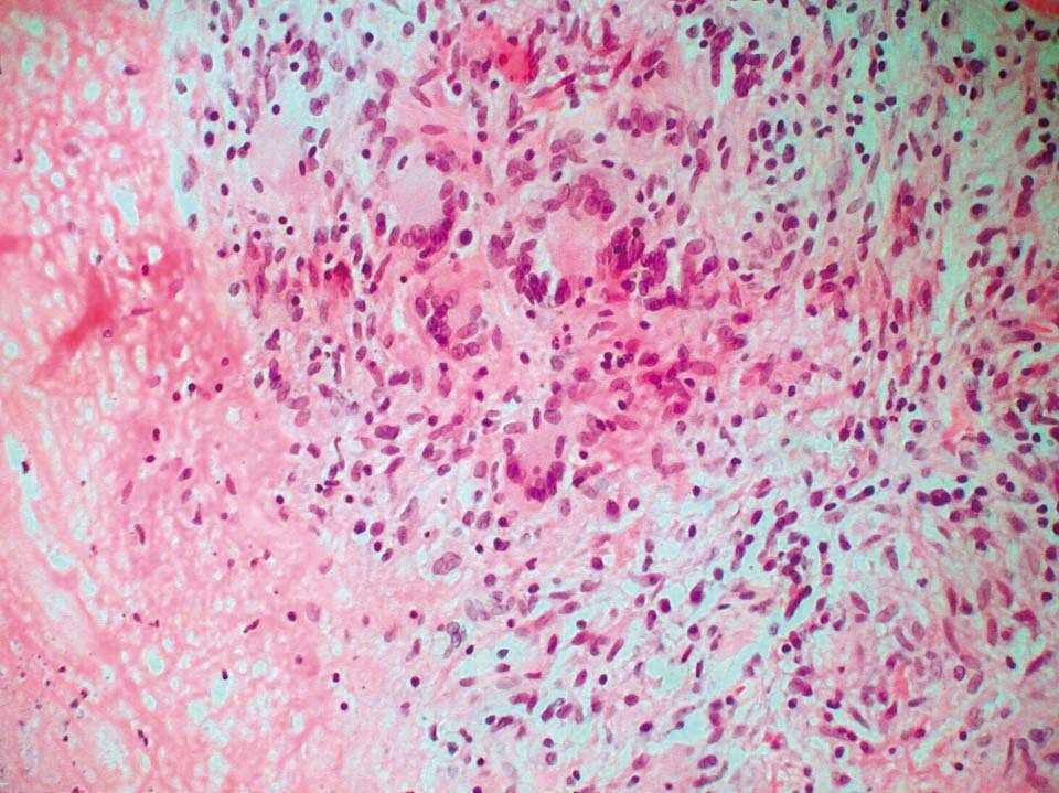
En la tabla 2 se exponen los datos referentes a las pruebas diagnósticas (estudio histopatológico, microbiológico, analítico, Mantoux y hallazgos radiológicos), tratamiento pautado y respuesta terapéutica. Se realizó estudio microbiológico de material purulento en los 6 casos y estudio histopatológico en la mitad. En todos los cultivos de material purulento (6) y de muestra de biopsia (3) se observó crecimiento en medio de Löwenstein-Jensen de colonias de Mycobacterium tuberculosis. Sin embargo, no se detectaron BAAR con la tinción de Auramina en 5 de los 6 casos de material purulento ni con la tinción de Ziehl-Neelsen en dos de las tres muestras de biopsia. El estudio histopatológico (3) mostró granulomas compuestos de células epitelioides, células gigantes de tipo Langhans rodeadas por linfocitos, en dos casos granulomas caseificantes (fig. 2) y no caseificantes en el otro. Entre los estudios de laboratorio, incluidos hemograma, bioquímica completa y análisis de orina, sólo destacaban en algún paciente datos propios de sus enfermedades o hábitos tóxicos previos. En dos la velocidad de sedimentación globular (VSG) fue alta.
Figura 2. Paciente número 5. Granulomas epitelioides con necrosis central (hematoxilina-eosina ×150).
La afectación ósea se detectó con radiografías, tomografía axial computarizada (TAC) y gammagrafía. Los huesos afectos fueron en dos casos las costillas y en uno la mandíbula inferior derecha, la escápula izquierda, el esternón y la rama isquio-pubiana izquierda (fig. 3). La radiografía de tórax demostró tuberculosis pulmonar en tres de los pacientes (50 %): uno con datos radiológicos de diseminación broncógena y dos compatibles con tuberculosis antigua. Uno de los pacientes asociaba linfadenitis tuberculosa cervical (n.º 4) y otro una tuberculosis intestinal (n.º 6).
Figura 3. Paciente número 5. Radiografía de cadera: áreas líticas y esclerosas en rama isquio-pubiana izquierda y pequeñas zonas de calcificación en los tejidos blandos.
En todos se realizó tratamiento tuberculostático específico con isoniazida, rifampicina y pirazinamida durante dos meses, continuando con isoniazida y rifampicina durante 4 meses más, y en tres se asoció tratamiento quirúrgico. En cuatro pacientes tras el tratamiento se resolvió el cuadro tuberculoso, persistiendo lesiones cicatriciales residuales. El paciente n.º 1 falleció por insuficiencia respiratoria sin haber completado el tratamiento; el n.º 4 se negó a que se le realizase cirugía, y dada su patología psiquiátrica se instauró el tratamiento médico de forma supervisada, pero resultó un fracaso y finalmente se estableció de nuevo la misma pauta terapéutica durante 9 meses con resolución del cuadro tuberculoso.
Discusión
La escrofulodermia, también llamada tuberculosis colliquativa cutis o escrófula, fue la forma de tuberculosis cutánea más frecuente en Europa. Actualmente, salvo en algunas series7,8, predomina el lupus vulgar4 por la mejora de las condiciones higiénicas y los programas de vacunación9.
La escrofulodermia es el resultado de la reactivación de M. tuberculosis en pacientes previamente infectados o sensibilizados. Era más frecuente en la infancia, pero en la actualidad se observa en adultos y ancianos3. Se produce por la extensión directa a la piel de un foco tuberculoso subyacente a nivel óseo, articular, del epidídimo o de un empiema pleural, y con mayor frecuencia sobre ganglios linfáticos cervicales, aunque puede afectarse otro territorio ganglionar como el axilar, el paratraqueal, el epitroclear o el inguinal9-12. Raramente se produce después de la vacunación con bacilo de Calmette-Guérin (BCG)13.
La tuberculosis osteoarticular es consecuencia, en muchas ocasiones, de una diseminación hematógena o linfática de M. tuberculosis con el pulmón como foco primario, aunque es posible la afectación desde ganglios linfáticos infectados. Las fístulas cutáneas como forma de inicio son excepcionales. Al igual que en nuestros pacientes, pueden encontrarse lesiones cutáneas en las extremidades o en el tronco en casos de afectación tuberculosa de falanges, articulaciones, esternón o costillas. Sólo en el 1-3 % de las formas osteoarticulares hay lesiones a nivel costal5,6, sin embargo en nuestra serie encontramos dos casos.
Clínicamente, la lesión inicial se manifiesta como un nódulo subcutáneo firme, eritematoso y desplazable, que se adhiere a la piel y tras reblandecerse la perfora formando úlceras y fístulas que drenan material caseoso o purulento. Las úlceras suelen tener bordes azulados, con márgenes socavados y tejido de granulación friable en la base. La evolución es crónica, pueden regresar espontáneamente después de varios años y dejar cicatrices queloideas y retráctiles, que permiten el diagnóstico retrospectivo3,4,10. El 30 % desarrolla un lupus vulgar en esta zona o en su proximidad14.
La incidencia de afectación interna en pacientes con tuberculosis cutánea se sitúa entre el 1,7-38,2 %14-16. En nuestro trabajo encontramos hasta un 50 %, cifra similar a la de otras series que apuntan a que es más elevada en el escrofuloderma, con predominio de afectación a nivel pulmonar7,14.
Los casos avanzados presentan anemia normocítica normocrómica, aumento de globulinas y de VSG e hipoalbuminemia como datos analíticos destacados4. En Galicia la tasa de coinfección de tuberculosis y virus de la inmunodeficiencia humana (VIH) es del 8 %1, aunque no se detectó ninguna entre nuestros pacientes. Cabe resaltar también que no había inmigrantes en nuestra serie.
En los casos típicos el examen histopatológico revela en la zona profunda y periférica de los abscesos granulomas tuberculoides con caseificación, siendo inespecífico en los abscesos y áreas necróticas del centro de la lesión. El pus o el tejido permiten generalmente cultivar M. tuberculosis (como se pudo apreciar en nuestros pacientes) y diferenciar este cuadro del causado por micobacterias no tuberculosas. Los BAAR se identifican mediante tinciones específicas en aproximadamente la mitad de los casos. La prueba de la tuberculina suele ser muy positiva7,8. En la actualidad está adquiriendo gran importancia la reacción en cadena de la polimerasa (PCR) para detectar ADN de M. tuberculosis, aunque un resultado negativo no descarta la enfermedad3,10.
El tratamiento de la tuberculosis cutánea no difiere del tratamiento general de la tuberculosis, aunque en la escrofulodermia con afectación ósea podría estar indicada la cirugía5.
El diagnóstico diferencial ha de realizarse con micosis profundas (esporotricosis), actinomicosis, goma sifilítico, osteomielitis crónica bacteriana, amebiasis, acné conglobata e hidrosadenitis supurativa entre otros3,4.
El diagnóstico y el tratamiento precoz son esenciales en un programa de control de la tuberculosis, de ahí la importancia de conocer las distintas formas clínicas. Aportamos 6 casos de escrofulodermia, entidad infrecuente en nuestro medio, con la idea de ayudar a su diagnóstico, destacando la alta probabilidad de afectación interna y la importancia de descartar afectación ósea subyacente en todos estos pacientes.
Conflicto de intereses
Declaramos no tener ningún conflicto de intereses.
Correspondencia:
Benigno Monteagudo-Sánchez.
Rosalía de Castro, 38, 3.ºB.
15706 Santiago de Compostela.
Correo electrónico: benims@hotmail.com
Aceptado el 12 de marzo de 2007.







