Sr. Director:
El escleredema es una rara entidad de etiopatogenia desconocida que se caracteriza por áreas de induración en la piel de la región cervicofacial, parte alta del tronco o miembros superiores, de curso habitualmente progresivo y rebeldes al tratamiento. Aunque la mayoría de los casos de escleredema se han descrito en pacientes diabéticos, se ha publicado asociado con menor frecuencia a otras entidades como paraproteinemias e infecciones 1.
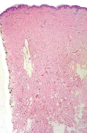
Un varón de 64 años de edad con antecedentes de diabetes mellitus tipo 2 complicada con retinopatía, nefropatía, neuropatía y arteriopatía en tratamiento con insulina que consultó por una placa eritematoviolácea empastada al tacto de 2 años de evolución en la parte alta de la espalda, sin repercusión sobre la función respiratoria o la movilidad de tronco o miembros superiores (fig. 1). La bioquímica sanguínea reveló las siguientes alteraciones: glucosa, 269 mg/dl; fosfatasa alcalina, 369 U/l; GOT, 48 U/l; GPT, 94 U/l; GGT, 158 U/l. No se detectaron alteraciones en hemograma, resto de bioquímica y sedimento de orina, hormonas tiroideas, proteinograma, cuantificación de inmunoglobulinas, ANA, anticuerpos antimitocondriales y anti-LKM, serologías para VHB, VHC, VIH, lúes y Borrelia, ni en la radiografía de tórax. Se detectó positividad de los anticuerpos antimúsculo liso (1/80) y la ecografía abdominal mostró hallazgos de esteatosis hepática. El estudio histopatológico mostró fibras de colágeno gruesas separadas por espacios claros en dermis media y profunda sin infiltrado inflamatorio ni incremento de la cantidad de fibroblastos (fig. 2). Las tinciones específicas para mucina mostraron depósitos focales muy discretos. La epidermis e hipodermis eran normales y los anejos cutáneos estaban conservados. La lesión fue tratada con pomada de clobetasol el 0,05 % sin mejoría. El paciente rechazó otros tratamientos. En los últimos meses la lesión se halla estable sin limitar los movimientos del tronco ni alterar la función respiratoria.
Fig. 1.--Afectación bilateral y simétrica de la parte alta de la espalda en forma de grandes placas induradas eritematosas.
Fig. 2.--El estudio histopatológico mostró un engrosamiento de la dermis reticular con fibras de colágeno ensanchadas y separadas entre sí. (Hematoxilina-eosina, x10.)
Actualmente se usan indistintamente los términos de escleredema o escleredema de Buschke en lugar del de escleredema adultorum ya que muchos pacientes tienen menos de 20 años de edad. En los casos asociados a diabetes los varones se afectan con una frecuencia 10 veces superior a las mujeres. Las lesiones suelen extenderse gradualmente afectando cuello, parte alta de la espalda y hombros y están bien delimitadas 1. Histopatológicamente, el escleredema se caracteriza por un engrosamiento de los haces de colágeno de la dermis reticular separados entre sí por grietas. En ocasiones, puede ser muy difícil demostrar la presencia de mucina, siendo preciso realizar biopsias sucesivas y recurrir a tinciones especiales 2.
El escleredema también se ha descrito en relación con faringitis estreptocócica, gripe, varicela, sarampión, parotiditis, paraproteinemias (generalmente IgG-k), mieloma múltiple, macroglobulinemia de Waldenström, púrpura anafilactoide, insulinoma maligno, artritis reumatoide, síndrome de Sjögren, hiperparatiroidismo primario, poliserositis, miositis localizada, cirrosis biliar primaria, deficiencia de IgA, dermatomiositis o exposición a disolventes orgánicos 1.
Las alternativas terapéuticas descritas son fotoféresis extracorpórea (en pacientes con paraproteinemia) 3, radioterapia 4, radiación con baño de electrones 5, PUVA-fotoquimioterapia 6,7, ciclosporina 8, metotrexato 9, penicilina a altas dosis y pulsos de dexametasona 10. Sin embargo, la mayoría de los casos responden escasamente al tratamiento y algunos pueden evolucionar a una grave limitación de los movimientos de la parte superior del tronco y/o a una enfermedad pulmonar restrictiva.




