A 27-year-old woman with a past history of diabetes mellitus and primary hyperparathyroidism was assessed for multiple asymptomatic skin lesions on the trunk. The first lesions appeared 6 years earlier and additional lesions developed gradually.
Physical ExaminationPhysical examination of the trunk revealed soft, poorly defined papules of various sizes (0.5-1.5cm) the color of normal skin (Fig. 1). Multiple erythematous papules measuring only a few millimeters were also observed on the nose and cheeks (Fig. 2).
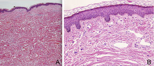
HistopathologyBiopsy specimens were taken from an abdominal lesion and a facial lesion. In the first specimen, hematoxylin-eosin staining showed preservation of the epidermis and a thickened dermis with no adnexal structures, occupied by an accumulation of dense collagenous fibers distributed in an irregular manner (Fig. 3A). In the second specimen, hematoxylin-eosin staining revealed vascular dilation with irregular and perivascular fibrosis in the dermis, as well as multinucleated giant cells with a stellate appearance (Fig. 3B).
Additional TestsThe following laboratory tests were carried out: complete blood count, routine biochemistry, parathyroid hormone (130ng/L, elevated), calcium, vitamin D (23.1ng/mL, high). An abdominal computed tomography scan and an octreotide scan revealed no pathological findings.
What Is Your Diagnosis?
DiagnosisCollagenomas on the abdomen and facial angiofibromas in the context of multiple endocrine neoplasia type 1 (MEN1) syndrome.
Clinical Course and TreatmentA genetic study with polymerase chain reaction detected a deletion in the MEN1 gene.
In a year of follow-up, the patient has remained clinically stable without treatment.
CommentMEN1 is a neoplastic syndrome whose autosomal dominant inheritance pattern was described by Wermer in 1954. The skin manifestations are as follows: angiofibromas in 88% of cases, collagenomas in 72%, lipomas in 34%, and guttate hypomelanosis and gingival papules in 6%. Deletion of the MEN1 gene has been detected in genetic studies of these lesions. The MEN1 gene, located in the q13 region of chromosome 11, encodes the protein menin. This gene is probably involved in the regulation of various cellular functions such as DNA replication and repair.1,2
Angiofibromas associated with MEN1 syndrome tend to be smaller, less numerous, located on the upper lip and vermilion border, and have a later onset than those associated with tuberous sclerosis.
Collagenomas associated with MEN1 syndrome are typically multiple and located on the trunk and the proximal part of the extremities. The differential diagnosis should include other dermatoses that cause collagenomas, such as familial cutaneous collagenoma, which presents collagenomas at birth or in the first years of life as well as visceral malformations; eruptive collagenomas, which have a sudden onset and are associated with syphilis, human immunodeficiency virus infection, and proliferative syndromes; Birt-Hogg-Dubé syndrome, which is associated with the other characteristic manifestations of MEN1 syndrome, including fibrofolliculomas and/or trichodiscomas; storiform collagenomas associated with Cowden syndrome; and cerebriform collagenomas associated with Proteus syndrome.3
The combination of more than 3 angiofibromas and any collagenomas has a sensitivity of 75% and a specificity of 95% for the diagnosis of MEN1 syndrome; these percentages are similar to those for endocrine manifestations (hyperparathyroidism and gastrinomas).4–6
In patients with cutaneous manifestations characteristic of MEN1 syndrome, some authors suggest annual monitoring of calcium, prolactin, insulin, gastrin, and glucose serum levels starting at 10 years of age in order to establish an early diagnosis, since cutaneous manifestations can appear earlier than endocrinologic manifestations.7
Our patient presented the characteristic cutaneous manifestations of MEN1: collagenomas on the trunk and facial angiofibromas. This case therefore shows that dermatologists can play an important role in the early diagnosis of this neoplastic syndrome.
Conflicts of InterestThe authors declare that they have no conflicts of interest.
Please cite this article as: González-Ponce B, López-Jiménez EC, Borrego-Hernando L. Lesiones eritematosas en la cara y pápulas en el tronco de una mujer joven. Actas Dermosifiliogr. 2017;108:941–942.





