Historia clínica
Un varón de 10 años de edad, sin antecedentes personales ni familiares de interés, consultó por brotes recurrentes de lesiones en zonas fotoexpuestas, de 3 años de evolución, que aparecían sobre todo en los meses estivales.
Exploración física
A la exploración física, el paciente presentaba lesiones polimorfas en la cara, las orejas y los antebrazos. Se observaban vesículas de contenido seroso de unos 2 mm de diámetro (fig. 1), costras y un gran número de cicatrices deprimidas de aspecto varioliforme (fig. 2).
Figura 1.
Figura 2.
Exploraciones complementarias
Se solicitaron análisis de sangre con hemograma y bioquímica completa, ANA y ENA y una determinación de porfirinas en sangre, heces y orina de 24 horas resultando todo normal.
Histopatología
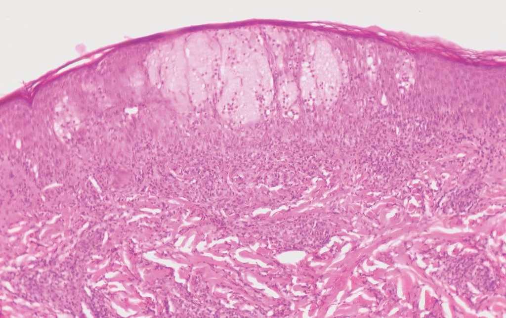
Se realizó una biopsia de una vesícula que puso de manifiesto una ampolla intraepidérmica con algún queratinocito necrótico y un abundante infiltrado inflamatorio dérmico (fig. 3). El estudio de inmunofluorescencia directa fue negativo.
Figura 3. (Hematoxilina-eosina, x100.)
¿Cuál es su diagnóstico?
Diagnóstico
Hydroa vacciniforme.
Evolución y tratamiento
Se informó al paciente y a los padres de la necesidad de tomar medidas de fotoprotección solar. En la primera revisión tras el diagnóstico, las lesiones habían mejorado y no habían aparecido nuevas a pesar de estar en época estival.
Comentario
Hydroa vacciniforme es una fotodermatosis idiopática adquirida descrita por Bazin en 1862. Es una entidad infrecuente, con una prevalencia de 0,34 casos por 100.000 habitantes. Suele iniciarse en la infancia, con un pico de incidencia bimodal: uno de 2 a 6 años y otro entre los 12 y los 14 años. Predomina en el sexo masculino siendo en éste de inicio más tardío y de mayor duración1.
Se caracteriza por brotes de lesiones vesiculosas que se distribuyen de forma simétrica en áreas fotoexpuestas, con predilección por la cara y el dorso de las manos, apareciendo a las pocas horas de la exposición solar. Las vesículas tienden a umbilicarse por el centro, pasan a fase de costra y en el plazo de 1-6 semanas curan dejando una cicatriz redondeada de aspecto varioliforme. La afectación de mucosas es rara, aunque se han descrito en la bibliografía casos con afectación oral y ocular2,3.
Esta entidad suele remitir espontáneamente tras la adolescencia y son raras las complicaciones. De forma infrecuente se han descrito formas severas que se acompañan de síntomas sistémicos y cuadros donde la cicatrización puede llevar a la reabsorción de los cartílagos nasal y auricular con la consiguiente deformidad2.
El estudio histológico es característico7, apareciendo en fases iniciales una vesícula intraepidérmica con un infiltrado en dermis de neutrófilos y linfocitos. En estadios más tardíos se observan, además, agregados de queratinocitos necróticos. En casos severos se han llegado a describir cambios de vasculitis y paniculitis. El estudio de inmunofluorescencia directa es negativo, dato que puede servir para el diagnóstico diferencial.
La etiología exacta del Hydroa vacciniforme es desconocida. Se han descrito casos familiares que han dado paso a hipótesis sobre la existencia de algún determinante genético4. Otros autores son de la opinión que el Hydroa supone una variante cicatricial de la erupción polimorfa lumínica. Aunque se ha sugerido desde siempre la existencia de una fotosensibilidad a radiación UVB, actualmente la hipótesis patogénica más aceptada es que las radiaciones de mayor longitud de onda sean las causales5. Este hecho viene corroborado por la reproducción de las lesiones cuando se expone a los pacientes a radiaciones de 320-390 nm; para algunos autores la ausencia de esta fotorreproducción sería un factor de buen pronóstico6.
El diagnóstico diferencial se plantea, por un lado, con otras fotodermatosis que pueden aparecer en la infancia, como la protoporfiria eritropoyética, la erupción polimorfa lumínica vesiculosa, el prúrigo actínico o el lupus eritematoso ampolloso y, por otro lado, con entidades más comunes como son el impétigo ampolloso y el herpes simple. Con la ayuda de la historia clínica, los datos de laboratorio (porfirinas en orina, sangre y heces y estudio autoinmunitario) y la histología obtenemos datos suficientes para hacer el diagnóstico diferencial.
El tratamiento de esta entidad es difícil7,8. Lo principal es la protección solar, con el uso de fotoprotectores solares tópicos y ropa adecuada. En aquellos casos en los cuales este tratamiento conservador no sea suficiente se pueden emplear agentes sistémicos; se ha utilizado PUVA, antipalúdicos, azatioprina, ciclosporina A, beta carotenos, dietas ricas en ácidos grasos poliinsaturados y talidomida, todos ellos con resultados variables. En un estudio realizado en el año 20001 se sometió a 4 pacientes a terapia con UVB de banda estrecha con resultados esperanzadores.
Conflicto de intereses
Declaramos no tener ningún conflicto de intereses.
Correspondencia:
Almudena Mateu.
Hospital de Sagunto.
CC.EE. Virgen del Puig.
Avda. de la Hispanidad, s/n.
Puerto de Sagunto. Valencia. España.
Correo electrónico: amateupuchades@yahoo.es
Aceptado el 27 de octubre de 2006.





